О клинике
Высокий профессионализм, системный подход и безупречное следование мировым стандартам стоматологической практики создают в нашей клинике атмосферу комфорта. Наши клиенты настолько доверяют нам, что могут позволить себе заснуть в кресле.
Врачи
Статьи
Создание прикрепленной кератинизированной десны в области имплантатов - необходимость или опция?
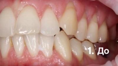
Часто пациенты, особенно те, у которых ранее была имплантация, удивляются, когда в плане лечения видят пункты про мягкотканную пластику. Ведь раньше им ее не проводили. Конечно, мы на консультации объясняем, что это означает и для чего она проводится. А еще показываем на фотопротоколе границу подвижной и кератинизированной прикрепленной десны, объясняем, что от ее наличия и ширины зависит долгосрочный прогноз имплантатов.
Имплантация с направленной тканевой регенерацией
Пациент, 1981 г.р., был направлен по рекомендации после радикальной гайморотомии с целью имплантации с синус-лифтингом. В анамнезе - сезонная аллергия на цветение. Все хирургические манипуляции планирует проводить вне сезона аллергической реакции и под седацией.
Контакты
Москва, Дербеневская набережная, 1/2
посмотреть на карте
м. Павелецкая
показать телефон +7 (495) 120-01-88, +7 (495) 633-26-86
перейти на сайт canadadent.ru
- Пн – Пт: 09:00 — 21:00
- Cб: 09:00 — 21:00
- Вс: 09:00 — 21:00

