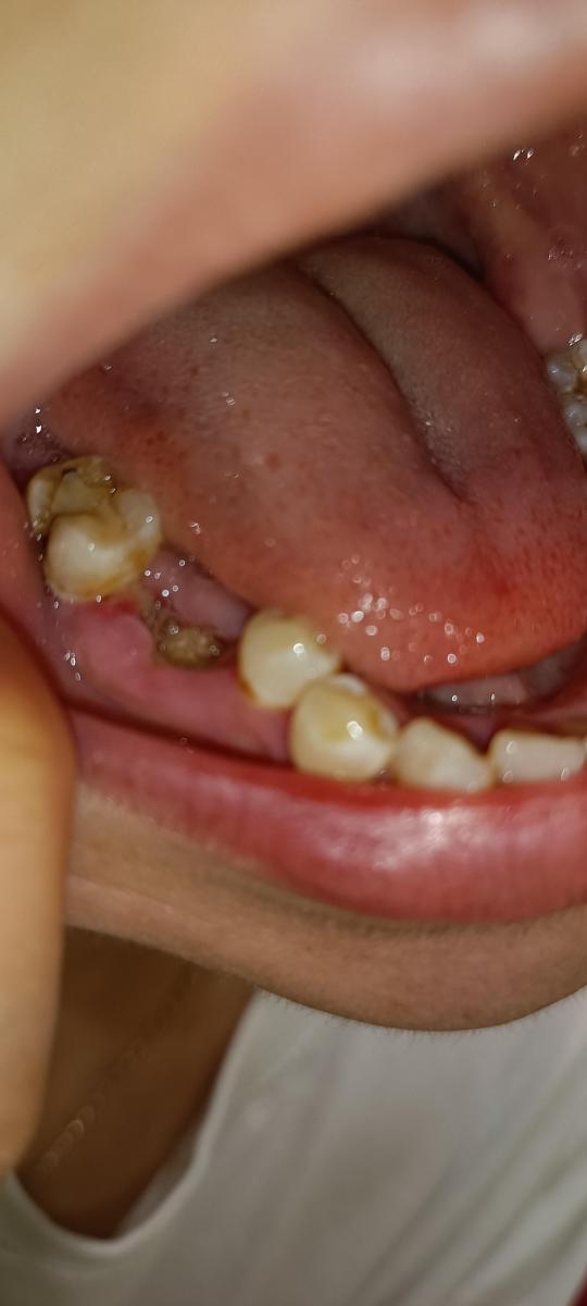
Здравствуйте. 19 числа удалили зуб, под ним был пародонтит. Из рекомендаций было только не полоскать рот и не прикладывать теплое, я их соблюдала. Возле лунки после удаления было видно такое же пятнышко красное как на фото, но поменьше. Пятен 2, возле соседних с лункой зубов. Через 2 дня началось воспаление десен, стала мазать десна и лунку Метрогилом Дента, вспомнив рекомендации другого хирурга после удаления зуба. Красное пятно стало покрываться светлым налетом, меньше болело. А в субботу при чистке зубов небольшое количество налета из лунки смылось обнажив красное пятно, и как мне кажется лунку. Она выглядит пустой, на дне видно что-то белое. Из симптомов: боль менее интенсивная, но все же я на обезболивающих, они помогают, остаётся ощущение лёгкой пульсации в лунке и тянущие боли наплывами. Все терпимо даже без обезболивающих. В состоянии покоя, ночью боли практически нет, лишь лёгкий дискомфорт. Сейчас продолжаю использовать Метрогил от воспаления десен (стало намного легче) и закладывая его в лунку, так же делаю после еды ванночки с Хлоргексидином, и слегка полощу лунку после еды. Есть визуально альвеолит? Нужно ли бежать к врачу?

2 ответа
Учитывая, что Вы сами назначили себе метрогил и хлоргекседин, то и дальше справитесь самостоятельно...
Юрий Жигурт, всегда при удалении зубов назначали и Метрогил и Хлоргексидин, всегда все заживало быстро и почти безболезненно. Конечно нужно было дождаться приема, но к врачу я смогу попасть только в среду, а ответ хотелось бы получить уже сейчас. Большое спасибо вам за ваше участие, и неравнодушие, ваш ответ был очень информативен. Вы такой же потрясающий специалист как я пациент.