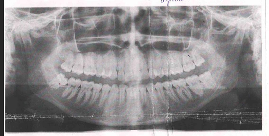
Здраствуйте. Выросли все 4 зуба мудрости почти незаметно за исключение правого нижнего, который сразу удалили, как стал беспокоить. Врач порекомендовал удалить все остальные. Левый нижний находится под капюшоном, верхние не беспокоят, но есть изменения в прикусе и улыбка стала будто уже (не знаю связано ли это с зубами мудрости). В чем вопрос, нужно ли удалять верхние зубы мудрости, если удалятся нижние (левый нижний скорее всего точно буду удалять, ибо как мне сказали он ретинированный и повреждает соседний 7-ой зуб)? Заранее спасибо за ответ.

3 ответа
Если, мы говорим о нормальном соотношении зубных рядов, то симметрия всегда предпочтительна: как по вертикали, так и по горизонтали...
Юрий Жигурт, спасибо за ответ. А есть ли важность в каком порядке это все дело удалять?
Elena2001, важности нет!