Добрый День!
Обратился в одну клинику по поводу консультации
Интересовала в частности развалившаяся 6-ка сверху.
уже давно леченная -перелеченная.
Вердикт -надо кроме нее удалить также и 4 и 5 рядом стоящие - типа киста.
По поводу 6 ки я еще готов удалить так как там похоже невозможно что-то сделать но 4-ка с 5-кой свиду не такие плохие. возможно их перелечить ?
Заранее Спасибо за ответы.





6 ответов
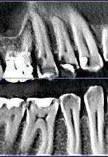
Отскринте нормально снимок: чтобы полностью было видно и корни зубов!
Добрый вечер, может опять не так сделал?
tecom, нормально! А вот на 4 и 5 кисты нет! Но лечить зубов очень много: практически каждый...
Плюс ещё пародонтит в том числе на 4 и 5...
Юрий Жигурт,
Спасибо Большое , знаю что запустил (затянул) - теперь вот расхлебываюсь.
6-ку я так понимаю все-равно лучше удалить ? у меня такая же на другой стороне там тоже огромная пломба со штифтом
вот уже лет 10 и пока стоит. Если вычистить и опять сделать пломбу ( понятно что коронке не на чем держаться.)
Просто немного очумеваю - такое чуство никто особо не хочет бороться за зуб - легче пол-рта удалить и нашлепать имплатнов, видимо такая тенденция, а как они будут себя вести через какое-то время непонятно. Все равно лучше свой зуб - даже под коронкой. жаль что Вы далеко от меня - я бы Вам доверился.
tecom, "никто особо не хочет бороться за зуб - легче пол-рта удалить и нашлепать имплатнов, видимо такая тенденция"
- не видимо, а тенденция! Но, проблема в том, что борьба за зуб, именно борьба, а не её видимость, гораздо сложнее имплантации и стОит гораздо дороже последней...