Здравствуйте, хочу услышать мнения профессионалов
Моя история началась с далекого детство, когда носила пластины
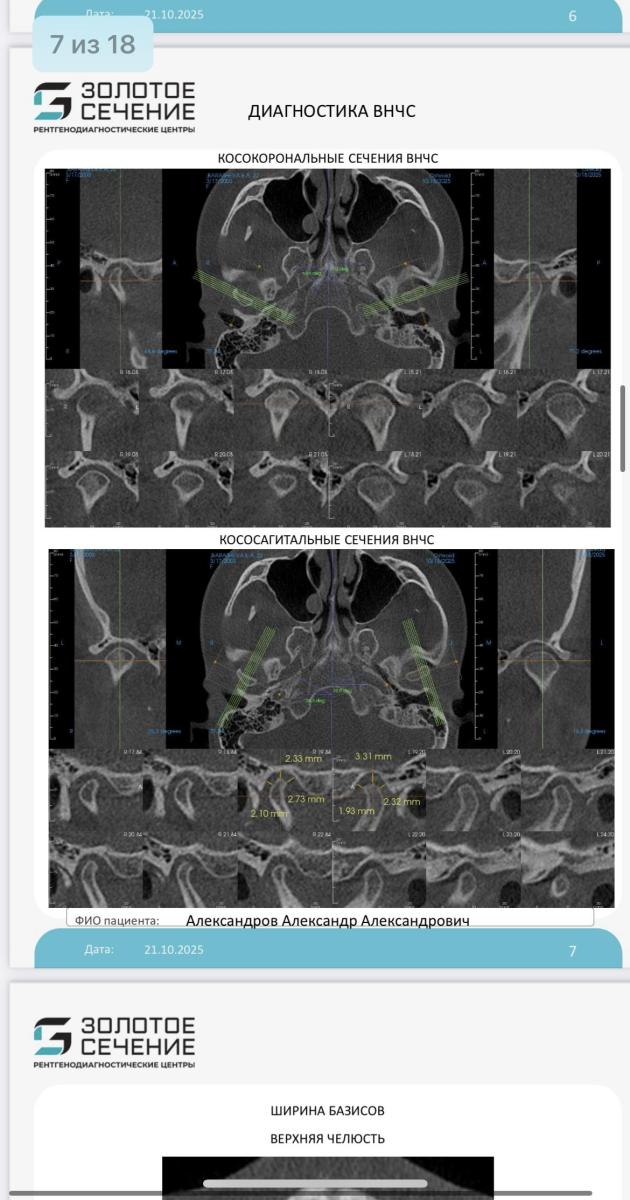
У меня открытый прикус, в детской стоматологии мне сказали делать только операцию
Сейчас уже прохожу во взрослой клинике обследование и тоже самое говорят, брекеты при открытом прикусе не помогут только члх
Подскажите как выйти на компромисс, без чл

1 ответ
Мы обсуждали эту тему. Причину и пути решения я Вам озвучил! Ожидаете что-то новое?