Присоединяйтесь к Клубу стоматологов в MAX

Можно ли поставить коронку или удаление?

17 декабря 2025 г., 15:08

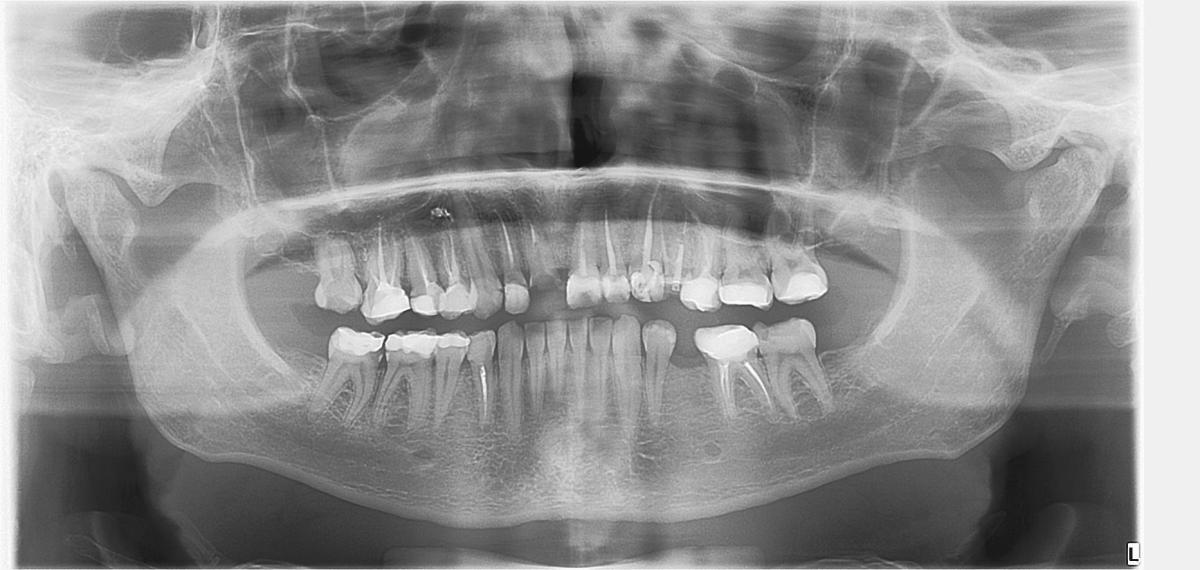
Здравствуйте, предстоит тотальное протезирование. Скажите, пожалуйста можно ли резец восстановить коронкой или только удаление?

4 ответа

И конень не пролечен, и коронковая часть зуба практически=0, зачем брать такие риски и вкладываться, не рассчитывая априори на длительный период использования, хотя бы 3-5 лет?

Поэтому вы сами сделайте вывод из моей консультации

Ответить 21 декабря 2025, 14:41 21.12.25, 14:41

Согласна с предыдущим мнением доктора.Если бы разговор шёл об отдельно стоящий зубе и коронке на него,то можно было бы пробовать спасти.

А поскольку речь идёт о тотальном протезировании,то риск не нужен.Единственное,что посоветовала бы,после удаления заполнить лунку удалённого зуба аллографтом(костным имплантатом) для последующего сохранения костной структуры.

Ответить 21 декабря 2025, 16:59 21.12.25, 16:59

SGanem, Анна Адеева, спасибо вам. Скажите, пожалуйста, врачи говорят, что надо резцы с пломбами менять на коронки. Но, если смотреть на снимок выше, после удаления пломб своего зуба останется столько же примерно, сколько и там, где вы сказали уже не восстановить. Есть ли повышенная вероятность в данном случае, что после удаления пломб окажется, что там тоже уже можно только поставить импланты и удаление пломбы было зря ? Может быть есть любая другая полезная информация, которую можно понять по панорамному снимку ? Мне также собираются ставить винт, чтобы увеличивать место под имплант на нижней челюсти

Ответить 22 декабря 2025, 2:31 22.12.25, 2:31

AnonimQues, Ваша логика понятна,но при препарировании зубов под коронки,пломбы обрабатываются частично,а не удаляются полностью,а дальше уже врач при осмотре принимает решение,если стоит укрепить зубы штифтовыми культевыми вкладками или нет.

Ответить 26 декабря 2025, 19:01 26.12.25, 19:01