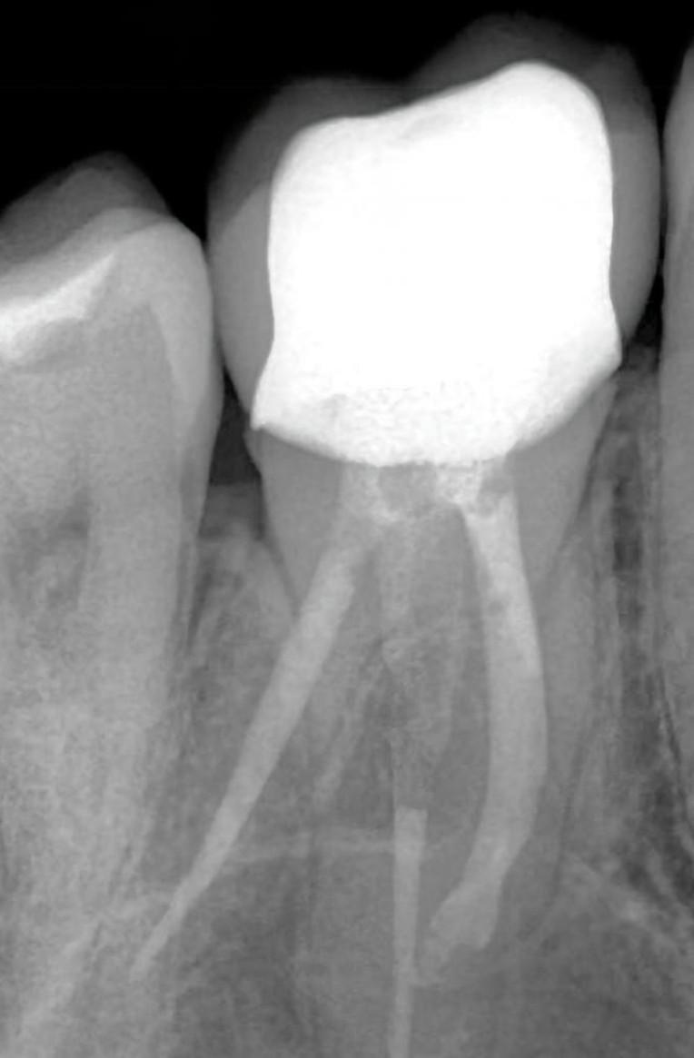
После установки коронки в межз.пространства стала забиваться пища и воспаляться десна.Также она не совпадала по цвету. Ортопед заверил что конструкция точно без зазоров и нависаний прилегает к зубу.(сн.1)
Коронку для корректировки цвета сняли и отправили на доработку. Оттиски второй раз не делали. После повторной установки спустя некоторое время стала воспаляться десна с небной стороны. Мною был сделан снимок для оценки состояния зуба. На снимке после корректировки (меняли только цвет как сказал специалист), часть конструкции с небной стороны изменилась.(сн.2) Граница соприкосновения не видна( вероятно керамика на снимке имеет схожую структуру с зубом.) Так как воспаляется и отслаивается десна именно в этом месте, возникает вопрос. Реально ли сделать второй раз идеальное прилегание без снятия слепков? Если корректировали по старым оттискам, зачем тогда переделывали, ведь получится первоначальный вариант?

1 ответ
Прилегание зависит от многих факторов, а не только от слепков...