Здравствуйте!
Ж, 45 лет, хронических заболеваний нет, алкоголь, наркотики не употребляю, не курю.
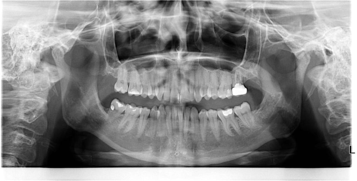
Больше года периодически поднывал зуб сверху справа. При этом я обсолютно нормально ем холодное, горячее, сладкое, сплю, просто чувствую как-будто бы зуб немного тянет вверх. Я думала это зуб 15. В феврале обратилась к стоматологу. Доктор меня осмотрела, сделала прицельный снимок, сказала что с 15 все в порядке, возможно это 16 и нужно удалять нервы. Так же нужно запломбировать зуб 26.
Я ошарашенная стоимостью услуг, на лечение не согласилась, решила сначала "переварить" услышанное, подумать над бюджетом. Отложила лечение на потом.
В июле у меня на десне возле зуба 27 появилась припухлость (почувствовала ее я зыком), я испугалась, решила что это что-то с зубом под коронкой (при этом зуб не болел совсем) и побежала к другому врачу. Доктор меня осмотрел, сделал ортопантонограмму, сказал что не знает что с десной, а основная моя проблема — это парадонтит 2 степени. Нужно делать уз чистку и пить витамин С 1000 мг. На вопрос, нужно ли лечить зуб 16, ответил, что не нужно, а зуб 26 — можно полечить. На зуб 27 поставил пломбу и это должно мне помочь с десной.
На уз чистку я не записалась, так как меня больше беспокоит тянущий зуб.
Пару месяце назад стал давать о себе знать зуб 26 (немного ноет). Обратилась к третьему стоматологу. Жаловалась на зубы 16 и 26. Доктор провел осмотр, смотрел снимок, сказал что не видит причин и не знает почему у меня болят зубы )
Все три раза я обращалась я в частные стоматологические кабинеты.
Уважаемые доктора, пожалуйста, прошу вас подсказать, нужно ли мне таки удалять нервы в зубе 16 и пломбировать зуб 26, пить витамин С 1000 мг и делать уз чистку.


5 ответов
Я бы начал с 47...
Спасибо, Юрий Иванович!
Про 47 поняла. Пойду на приеме к четвертому врачу и сама укажу на зуб 47.
Если Вы пишете, что начали бы с 47, то значит и другие тоже нужно лечить?
3179788, есть над чем работать...
Спасибо, Юрий Иванович!
не пойму я ваших стоматологов .То сплошные СТ , а то банальные периапикал сделать не могут.а по теме . Мне кажется у 14(26) под ДО пломбой есть кариес и уже как бы не пульпит.