Здравствуйте, уже год беспокоит увеит и повышенная температура. Врач сказал искать причину увеита в воспалении в близлежащих органах. Проверила пазухи носа, лор не заметил патологий и перенаправил к стоматологу из-за отека на снимке над зубами. Подскажите, из-за чего может быть отек на снимке, если лор-патологии исключены? Что с зубами?

3 ответа
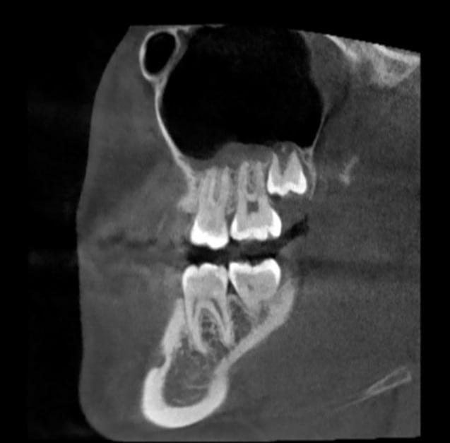
С зубами всё нормально (во всяком случае в том срезе КТ, который Вы предоставили), а при гипертрофии слизистой гайморовой пазухи, говорить об отсутствии патологии со стороны ЛОР-органов не приходится...
Я правильно поняла, у вас увеит?
Но причиной увеита становятся туберкулез, сифилис, герпетическая инфекция, синусит, отит, тонзиллит, кариес, сепсис и другие болезни. Воспаление сосудистого тракта может быть осложнением тупой травмы или ожога глаза, проникающего ранения. В основе патологии также могут лежать аутоиммунные процессы.
А почему причину ищем в области стоматологии?
Анна Адеева, здравствуйте, да, увеит. В стоматологии ищу причину потому что все другие перечисленные Вами пункты уже проверила. Ещё потому что в области челюсти есть увеличенные лимфоузлы – за ухом и перед ним, и какие-то неприятные ощущения в пазухах хотя снимки чистые(