Доброго времени суток,
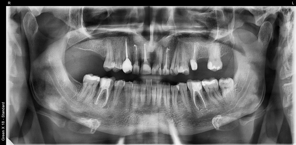
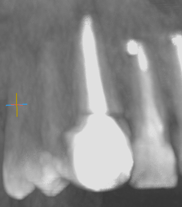
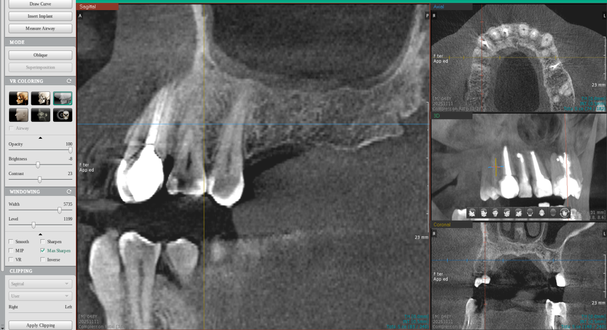
Делали 13 зуб, хронический периодонтит. Дистальная стенка ушла под десну. Делали эндо, врач почему-то решила сразу пломбировать каналы и сделать реставрацию композитом. Ничего не сказала, но на ОПТГ и КТ вот такая картина. Как будто трещина, да? Включая и материал в канале тоже - фрагментация какая-то...
Перелом?
https://drive.google.com/file/d/1FxSeiMHFj8OaDL7Js...
https://drive.google.com/file/d/1EhnE9mjCJhDbc6A_9...
https://drive.google.com/file/d/1sf08MyOaJa-x2RtcK...
https://drive.google.com/file/d/1HeyFbDQxIcuNR6UPQ...

2 ответа
Нет...
Спасибо. Посмотрим что на следующем снимке будет. Так-то боли и подвижности нет. Первый раз такое на КТ вижу у себя.