Добрый день.
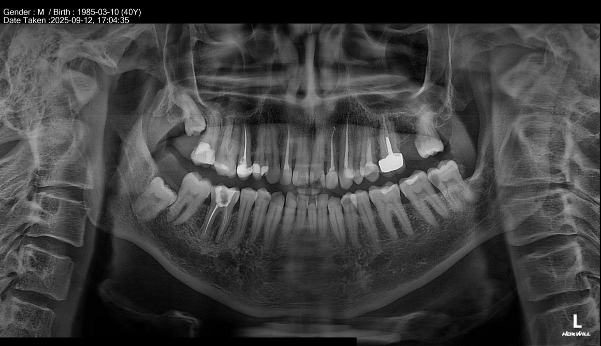
Ортопантограмма сделана неделю назад (12 сентября 2025 года).
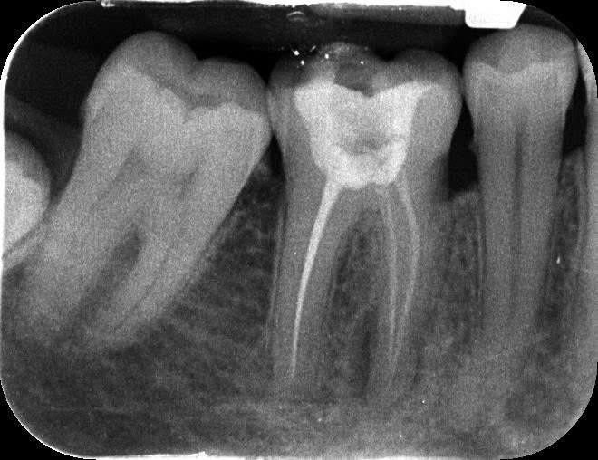
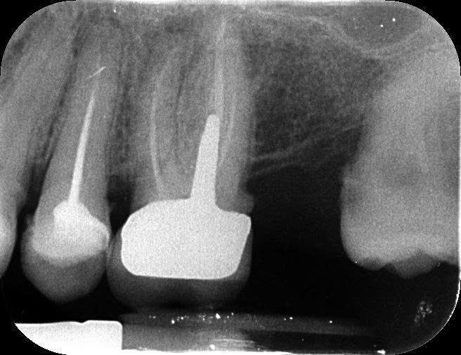
Прикладываю также прицельный снимок 46 зуба (в центре на центральном снимке) и 25 зуба (верхний левый второй премоляр, на прицельном снимке крайний слева) 7-месячной давности (27 февраля 2025 года).
Беспокоит 46 зуб (нижний моляр справа). Лет 15-20 назад запломбировали каналы.
С начала августа он стал реагировать на горячее (небольшая кратковременная боль, 2-3 секунды). Самопроизвольной боли не было. Я перешел на более мягкий режим чистки и реакция на горячее исчезла.
Потом я заболел вирусной инфекцией и 21 августа реакция на горячее вернулась. Вместе с этим болела шея (у меня кифосколиоз) и мышцы рук (я их раньше много тренировал). Они у меня всегда вместе с зубами болят в конце вирусной инфекции.
Через 5 дней (26 августа) я отравился и 46 зуб воспалился (запах, покраснение, тянущая боль при надавливании). Остановил воспаление полосканием хлоргексидином (0,2%). Потом иногда испытывал дискомфорт в деснах (небольшая ноющая боль, чувство распирания). Потом все прошло. Так нередко у меня бывает.
Потом неделю назад (13 сентября) еще раз был дискомфорт в 46 зубе. Я снова пополоскал хлоргексидином. Опять все прошло.
Я проконсультировался у 2 разных докторов очно. Но так и не пришел к единому заключению. Я только понял, что есть апикальная инфекция у корня 46 зуба из-за прошлого некачественного лечения каналов.
Вопросов много. Буду благодарен за ответы на любые из них.
По 46 зубу:
- Что делать с 46 зубом (перелечивать каналы или пока наблюдать, а если заболит, то удалять)?
- В каком состоянии корень 46 зуба? Выдержит ли он перелечивание каналов и возможно установку коронки?
- Откуда идет воспаление у 46 зуба: из каналов или со стороны десны?
- Если перелечивать каналы 46 зуба, то какой прогноз на перспективу?
По деснам:
- У каких зубов (номера) есть убыль костной ткани и на сколько (%, мм)?
- Есть ли пародонтит?
- Есть ли поддесневой камень и пародонтальные карманы?
- Надо ли делать deep clean (или кюрретаж)?
По другим проблемам:
- Почему после вирусов у меня ноют зубы, десны, шея и мышцы рук? Как это взаимосвязано?
- На 38 зубе врач обнаружил кариес. Надо ли его удалять или можно пока наблюдать?
- На 25 зубе (верхний левый второй премоляр) надо ли перелечивать каналы или просто поставить пломбу?
- Есть ли еще какие-то проблемы?
Всем спасибо за ответ

2 ответа
"По 46 зубу": перелечить возможно, а есть-ли смысл - решать Вам.
"По деснам": с пародонтологом надо встречаться чаще...
"Почему после вирусов у меня ноют зубы, десны, шея и мышцы рук? Как это взаимосвязано?": если человек болен, то болен весь организм, а не отдельный орган...
"На 38 зубе врач обнаружил кариес. Надо ли его удалять или можно пока наблюдать?": лучше не наблюдать, а лечить - скорее всего пульпит!
"На 25 зубе (верхний левый второй премоляр) надо ли перелечивать каналы или просто поставить пломбу?: я бы перелечил...
"Есть ли еще какие-то проблемы?: есть!
Юрий Жигурт, спасибо за информацию