Здравствуйте, подскажите, светлый участок, может ли быть глубоким кариесом?
На эмали есть небольшое пятнышко после лечения Icon месяца 2 назад (пятно посветлело, но полностью не ушло).
Сейчас зуб начал болеть, на холодное/горячее не реагирует, просто болит.
Вчера сделала КТ.
До лечения Icon пятно выглядело так (было гладким, не шершавым), после лечения нет в хорошем качестве, но пятно светлее.

5 ответов
Может быть, а может и не быть...
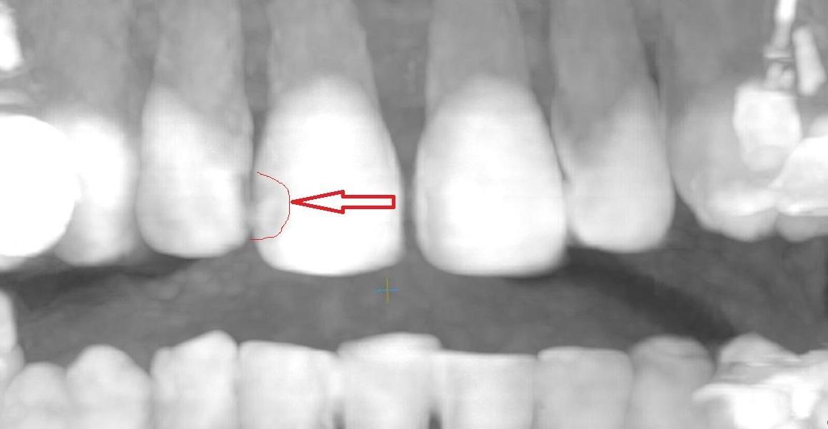
Юрий Жигурт, Подскажите, пожалуйста, есть ли кариес на 11 зубе (сторона контактная с 12 зубом)? Или его признаки. Если да, то насколько глубоко? Если возможно покажите, пожалуйста, стрелочкой где это наблюдается. Спасибо!
https://drive.google.com/file/d/13O6IdXkIku3Wb1KF0...
anastasiiia, есть основания предполагать:
Я была у нескольких врачей, один сказал - трогать не стоит, возможно не будет развиваться или крайне медленно будет развиваться, второй сказал, что вообще ничего нет в дентине. Но у меня сомнения(
anastasiiia, я всё сказал...