Добрый день!
Откололся кусок зуба. Зуб с массивной пломбой и штифтом.
Врач советует удалить зуб и поставить имплант. Можно ли сохранить зуб и установить коронку?

Добрый день!
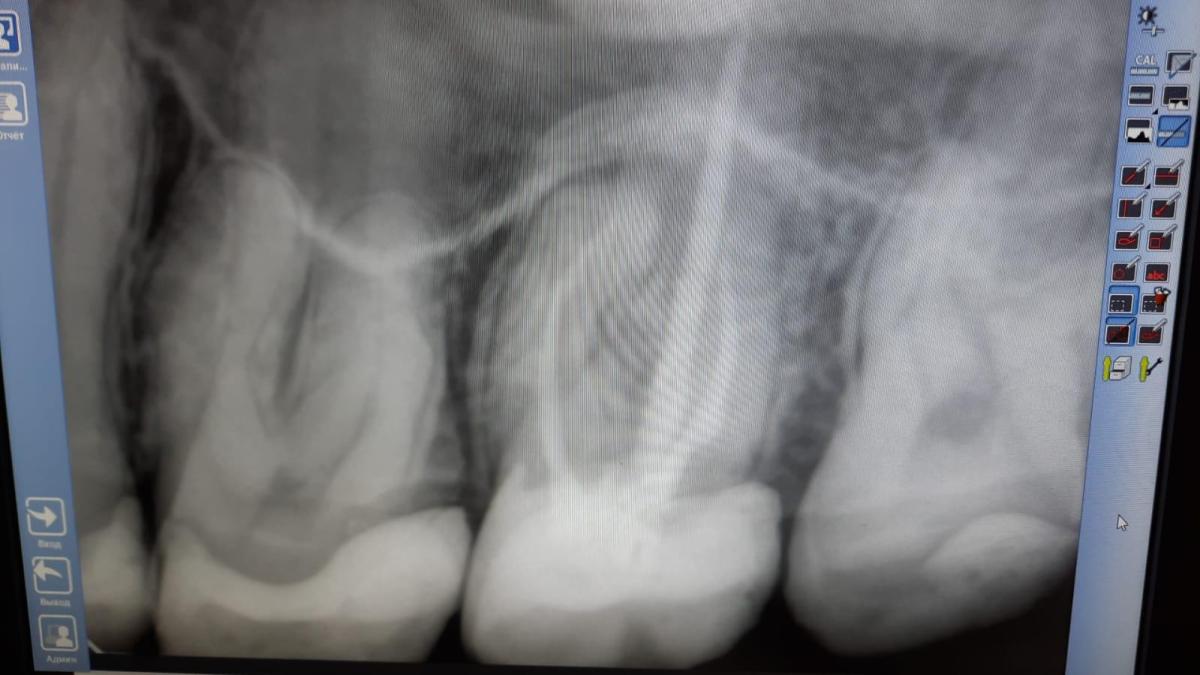
Откололся кусок зуба. Зуб с массивной пломбой и штифтом.
Врач советует удалить зуб и поставить имплант. Можно ли сохранить зуб и установить коронку?

4 ответа
Можно!
а нет ли воспаления корня рядом со штифтом?
VadTir, Вы спросили: "Можно ли сохранить зуб и установить коронку?", я ответил - можно!
Зуб надо перелечить!
спасибо