Присоединяйтесь к Клубу стоматологов в MAX

Зубная боль после пломбирования

6 марта 2026 г., 10:27

Здравствуйте, у меня болит зуб после пломбирования, когда я жую, чувствую, будто жую деснами и нервами, уже две недели. Шестой зуб. Подскажите, пожалуйста, хорошо ли мне его запломбировали? Спасибо

6 ответов

Есть ощущение, что зуб мешает по высоте?

Ответить 06 марта 2026, 10:47 06.03.26, 10:47

Нет, высота меня не беспокоит. У меня как будто дыра между зубами, и я жую прямо деснами и нервами.

Ответить 06 марта 2026, 11:40 06.03.26, 11:40

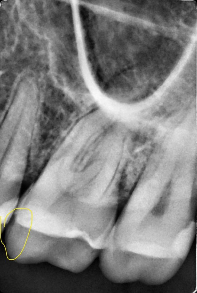
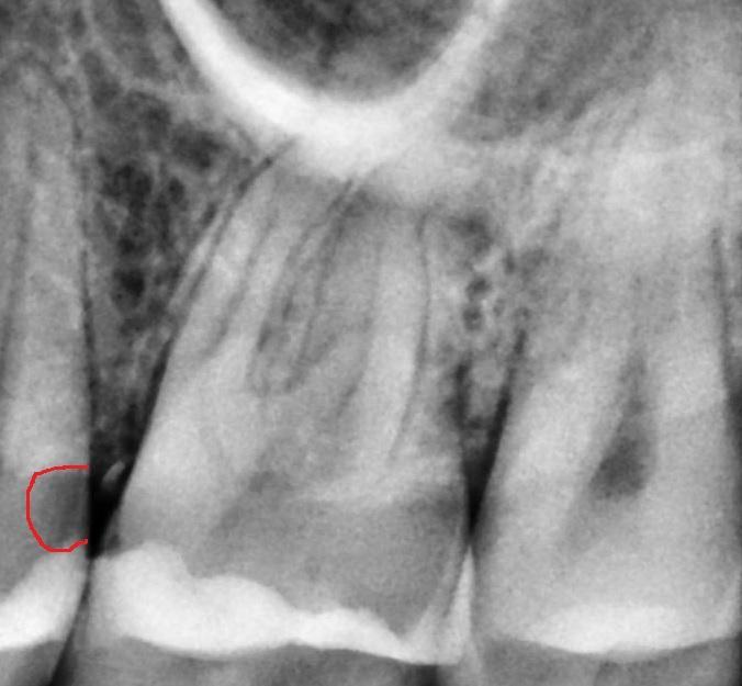
muffin, похоже на кариес в пятёрке!?

21017fc249d0359261ca4d9db6b1.jpg

если ощущение дырки между пятым и шестым, то это ОНО!

Ответить 06 марта 2026, 18:25 06.03.26, 18:25
Ответить 06 марта 2026, 18:52 06.03.26, 18:52

В прошлый раз мне запломбировали этот зуб Здесь, там, где я его отметила, я чувствую его языком, там углубление, и пища сразу попадает внутрь.

Ответить 06 марта 2026, 18:59 06.03.26, 18:59

muffin, ну, значит я не ошибся - в пятёрке кариес, только он под десной и виден только на рентген-снимке...

Ответить 06 марта 2026, 19:04 06.03.26, 19:04