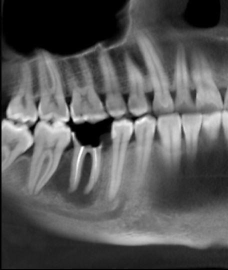
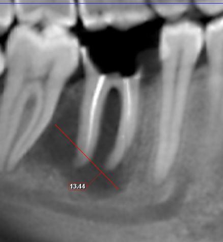
Доброго времени суток. Нужно профессиональное мнение. Два врача говорят только под удаление зуб. Третий - говорит можно попробовать ставить коронку. нужно еще мнение. Как вы считаете? Есть воспаление под зубом. Оно пройдет со временем и стоит подождать и поставить коронку или же тут гиблое дело и под удаление - имплант?

1 ответ
Даже нет что обсуждать.
Только удаление