В середине августа заметил точку на зубе, в связи с чем записался к стоматологу. Приёмы были с 19 августа по 11 сентября, на которых мне вылечили 5 или 6 зубов, от среднего до глубокого кариеса, хотя внешне он нигде не был заметен, кроме одного зуба
Важно, что 6й зуб справа снизу переделали очень сильно, так как там стояла старая пломба, которую нужно было давно менять. Также на верхнем зубе, с которым он соприкасается при жевании, был нарост, который мне сделал ортодонт когда-то давно для лучшей окклюзии
2 сентября появилась боль при накусывании и жевании справа снизу. 5 сентября пришел на прием, где мне сделали десенситайзер на 6й зуб, так как его лечили и я грешил на него. Постепенно боль начала проходить и прошла
13 октября снова появилась боль снизу справа при накусывании, в связи с чем я снова записался в ту же клинику к тому же врачу. На приёме она водила мне зубной нитью между 5 и 6м зубами, так как у меня была боль даже в момент пропихивания нити между зубами. Выяснили, что болит не 6й зуб, а 5й. Там мне сделали десенситайзер на 5й зуб и порекомендовали пасту для чувствительных зубов
С тех пор зуб продолжает стабильно болеть при накусывании, жевании и при использовании зубной нити. Врач порекомендовала мне обратиться к пародонтологу и посмотреть, что с десневым карманом на том зубе. Но у меня на десневой карман на этом зубе никаких жало никогда не было, там всё нормально. До лечения никаких проблем с ним не было, этот зуб не лечился никогда и не болел
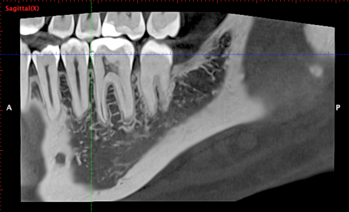
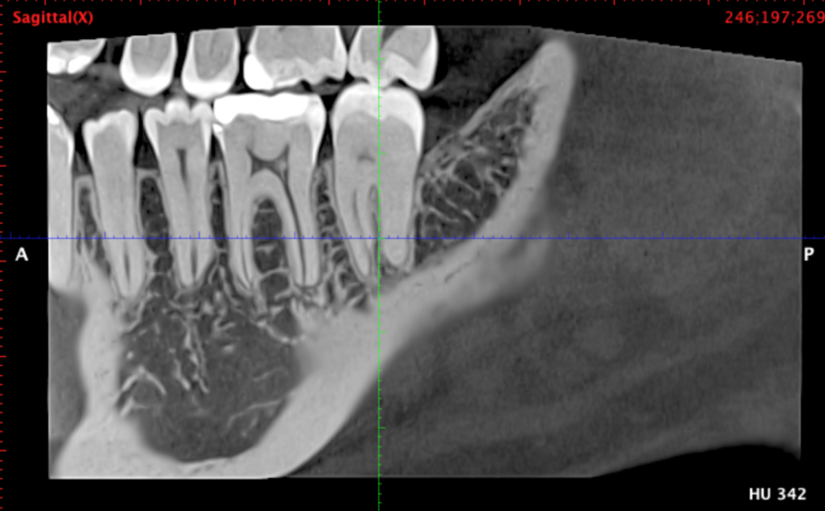
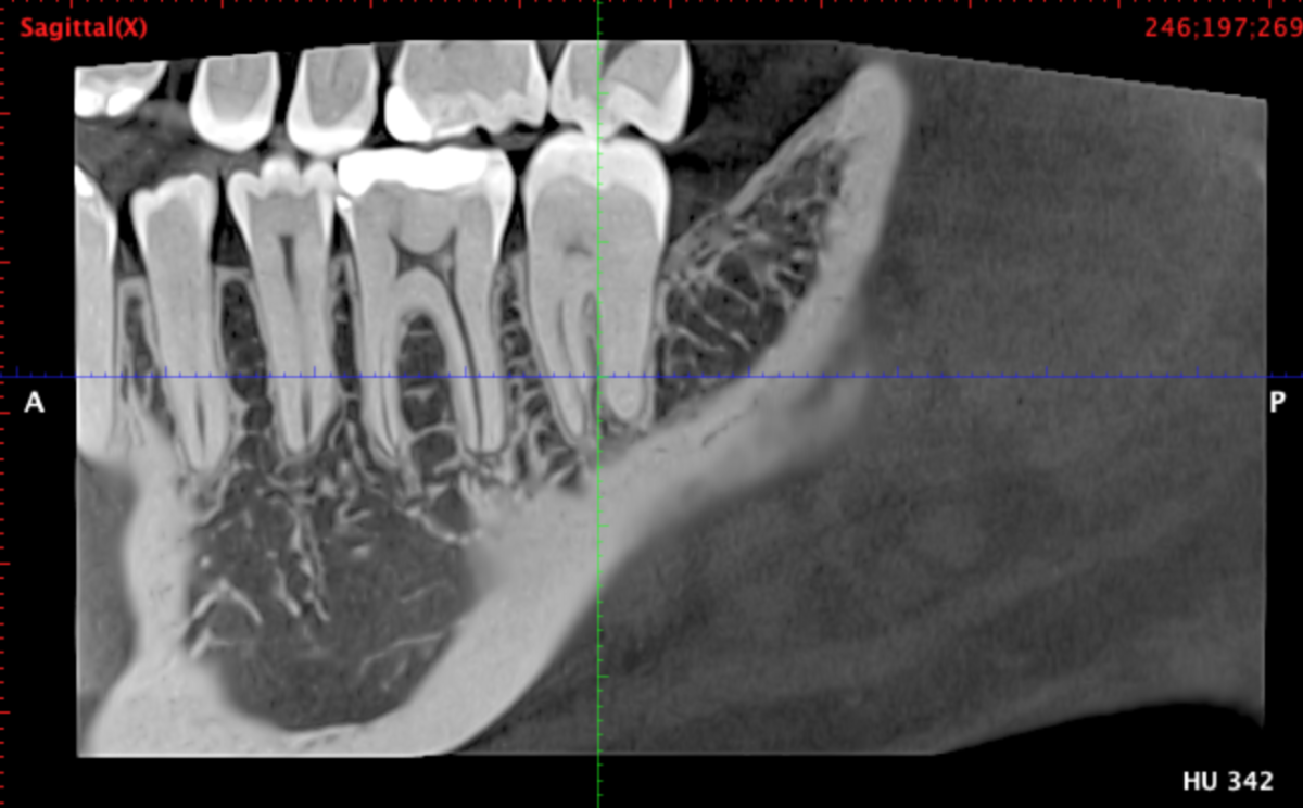
Я сделал клкт сектора 4-5-6-7 зубов справа снизу, могу приложить, если нужно. Я проходил ортодонтическое лечение, после которого у меня случилась рецессия десны на передних нижних зубах, вплоть до клыков. На самом оголоенном участке 1-2 была пластика десны пару лет назад, стало лучше. Удалены все 4 зуба мудрости
Подскажите, что делать

1 ответ
"Подскажите, что делать"
Прежде всего - подарить нить человеку, которого ненавидите и пользоваться ирригатором!
Второе - сделать ревизию шестёрки! Ну, а дальше посмотреть на результат...