В данном клиническом случае описано применение клеточной костной матрицы (ККМ) и индивидуального титанового сетчатого каркаса (ТС) для вертикальной аугментации кости в области бокового отдела нижней челюсти у 78-летнего пациента. Пациент обратился с вертикальным дефицитом костной ткани, что требовало аугментации для установки дентальных имплантатов. Индивидуальный титановый каркас, разработанный на основе данных КЛКТ, обеспечил точное прилегание, минимизируя риски, связанные с традиционной ТС. Во время операции ККМ использовалась в сочетании с индивидуальным каркасом для усиления регенерации кости. Послеоперационное восстановление прошло без осложнений, а КЛКТ-сканирование через 6 месяцев показало формирование зрелой костной ткани. В данном случае демонстрируется эффективность сочетания клеточной костной матрицы (ККМ) и индивидуальной титановой сетки (ТС) для сложной аугментации кости, что обеспечивает предсказуемую и стабильную основу для дентальных имплантатов. Для дальнейшего подтверждения этих результатов необходимы исследования с большим размером выборки и более длительным периодом наблюдения.
Если для области предполагаемой имплантации запланирована вертикальная аугментация кости, варианты включают направленную костную регенерацию, титановую сетку (ТС), блоковые трансплантаты, интерпозиционные трансплантаты и дистракционный остеогенез. Каждая из этих методик имеет свои преимущества и недостатки, которые следует учитывать, а также объем запланированной вертикальной аугментации.
Развитие цифровых технологий и 3D-печати позволяет создавать индивидуальные титановые каркасы, разработанные с учетом топологии кости пациента на основе данных конусно-лучевой компьютерной томографии (КЛКТ). Такие индивидуальные титановые каркасы показали такую же эффективность в вертикальной аугментации кости, как и традиционная ТС. Однако они лишены недостатка, связанного с необходимостью подрезки и формирования сетки, что может привести к образованию неровных и острых краев, повышающих риск расхождения тканей и инфицирования. Если титановый каркас предназначен для увеличения кости более чем на 3 мм, исследования рекомендуют смешивать не менее 50% аутогенного костного материала с аллогенным или ксеногенным материалом для максимальной эффективности аугментации.
Аутогенные костные трансплантаты обладают преимуществами в остеорегенерации, так как содержат остеопрогениторные клетки, остеокондуктивность (костный каркас) и остеоиндуктивность (костный морфогенетический белок и другие клеточные сигналы, способные стимулировать регенерацию кости). Аллогенные и ксеногенные материалы лишены остеопрогениторных клеток. Аутогенная кость считается золотым стандартом, но имеет ряд недостатков, включая увеличение времени операции, ограниченный объем кости в зависимости от места забора, потенциальные осложнения в области забора и необходимость обработки для получения частиц или контурирования для точного соответствия дефекту.
Клеточные костные аллотрансплантаты использовались для аугментации дефектов непрерывности нижней челюсти, подготовки места для имплантатов в верхней челюсти, синус-лифтинга и пародонтальной регенерации. Обычно они состоят из остеопрогениторных клеток, кортикальных и/или стружки из губчатой кости и деминерализованных костных волокон. Исследования показали, что они сохраняют остеокондуктивность, остеоиндуктивность и остеогенность. Для сохранения остеопрогениторных клеток эти продукты подвергаются криоконсервации и требуют размораживания перед имплантацией.
Ниже представлен клинический случай применения клеточной костной матрицы (ККМ) и индивидуальной титановой сетки (ТС) для вертикальной аугментации кости в боковом отделе нижней челюсти.
Клинический случай
Здоровый 78-летний мужчина обратился на консультацию по поводу вариантов фиксированного протезирования в левом верхнечелюстном и правом нижнечелюстном квадрантах. Клиническое обследование выявило разрушенный верхний левый клык и второй моляр с множественными реставрациями. В правом боковом отделе нижней челюсти отсутствовали зубы, начиная с первого премоляра дистально, а также наблюдался участок черно-коричневой пигментации в дистобуккальной ткани первого премоляра, клинически диагностированный как амальгамная татуировка.
Панорамный рентгеновский снимок, полученный на основе КЛКТ, показал скошенный вертикальный дефицит костной ткани в правом боковом отделе нижней челюсти с недостаточной высотой кости для установки дентальных имплантатов выше нижнего альвеолярного нерва (Фото 1). КЛКТ левого верхнечелюстного квадранта выявила разрушенный левый клык с достаточным объемом кости для установки имплантатов в области клыка и второго премоляра.
Фото 1. Предоперационный панорамный рентгеновский снимок, полученный на основе КЛКТ, демонстрирующий вертикальную атрофию кости в правом боковом отделе нижней челюсти.
Разработка плана лечения
Для обоих квадрантов был разработан план лечения. В левом верхнечелюстном квадранте клык был удален с одновременной установкой дентального имплантата, а также дополнительного имплантата в области отсутствующего второго премоляра. Ожидаемой окончательной реставрацией стал мостовидный протез (МП) на три единицы.
Для правого нижнечелюстного квадранта было принято решение о вертикальной аугментации бокового отдела нижней челюсти перед установкой имплантатов. После созревания аугментации планировалось установить имплантаты в области второго премоляра и первого моляра, с окончательными реставрациями в виде одиночных МП. План лечения, включая альтернативные варианты, ожидаемое послеоперационное восстановление и потенциальные риски, был подробно обсужден с пациентом. Пациент подтвердил понимание и дал согласие на предложенный план лечения.
Данные КЛКТ пациента были загружены на портал для проектирования и изготовления индивидуального титанового каркаса (Yxoss CBR, ReOss GmbH). Дизайн сетки был создан, оценен и утвержден (Фото 2). Индивидуальный титановый каркас был изготовлен и доставлен. Для планирования установки имплантатов в области верхнего левого клыка и премоляра использовалось программное обеспечение для динамической навигации (X-Guide, X-Nav Technologies LLC).
Фото 2. Компьютерное проектирование индивидуальной титановой сетки.
Первичная операция
Во время операции верхний левый клык был атравматично удален, а имплантаты установлены в запланированные позиции с использованием системы динамической навигации (X-Guide). В области отсутствующих зубов правого нижнечелюстного квадранта был выполнен гребневой разрез с дистолингвальным релизом, продолжающийся мезиально в борозде до области клыка. Были подняты полнослойные буккальный и лингвальный лоскуты, а надкостница надсечена для обеспечения адекватного доступа и мобильности лоскута для ушивания без натяжения. Клеточная костная матрица (Vivagen, LifeNet Health) была разморожена и подготовлена в соответствии с инструкциями производителя (Фото 3). Титановый каркас был проверен на соответствие дефекту, затем заполнен ККМ и жестко зафиксирован винтами диаметром 1,7 мм (Фото 4). На каркас была наложена коллагеновая мембрана (Bio-Gide, Geistlich Pharma North America), а разрез ушит комбинацией горизонтальных и непрерывных хромированных кетгутовых швов.
Фото 3. Клеточная костная матрица после размораживания и удаления криопреципитата, готовая к использованию.
Фото 4. Клинический вид ККМ и индивидуальной титановой сетки, установленных на костный дефект.
Установка имплантатов в нижней челюсти
Послеоперационный период прошел без осложнений. КЛКТ, выполненная через 6 месяцев, показала формирование зрелой костной ткани под сеткой в запланированных местах установки имплантатов (Фото 5–7).
Фото 5. Панорамный рентгеновский снимок, полученный на основе КЛКТ через 6 месяцев после аугментации.
Фото 6. Корональный срез КЛКТ в области запланированного имплантата второго премоляра правой нижней челюсти (вертикальный синий прямоугольник в центре изображения). Зеленые линии и соответствующие числа указывают вертикальные и горизонтальные измерения аугментированной кости: 4,2 мм и 12,8 мм соответственно.

Фото 7. Корональный срез КЛКТ в области запланированного имплантата первого моляра правой нижней челюсти (наклонный синий прямоугольник в центре изображения). Зеленые линии и соответствующие числа указывают вертикальные и горизонтальные измерения аугментированной кости: 4,1 мм и 14 мм соответственно.
Установка имплантатов в области второго премоляра и первого моляра правой нижней челюсти была запланирована и выполнена с использованием системы динамической навигации (X-Guide). Во время остеотомии для имплантата первого моляра использовался трефинный бор диаметром 2 мм под динамической навигацией для создания начального отверстия. Костный цилиндр, полученный с помощью трепана, был отправлен на гистологическое исследование (Фото 8). Аугментированная кость выглядела хорошо зажившей клинически, и имплантаты были установлены без осложнений (Фото 9).
Фото 8. Забор костного цилиндра из области остеотомии для имплантата первого моляра нижней челюсти справа.
Фото 9. Клинический вид имплантатов нижней челюсти на момент установки, демонстрирующий зрелую пересаженную кость.
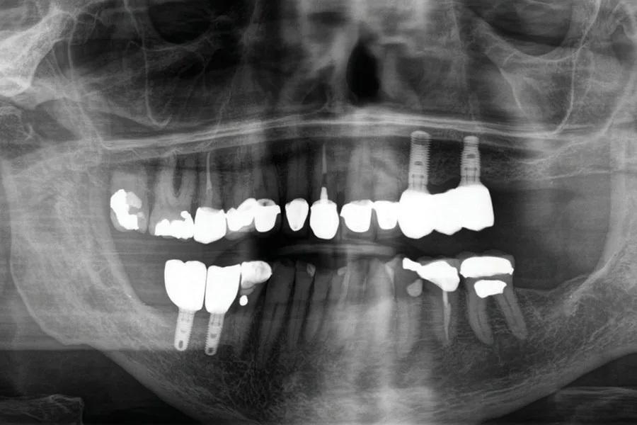
Окрашивание гематоксилином и эозином (Г&Э) биоптата показало зрелый трансплантат с признаками формирования новой кости (Фото 10). Панорамный рентгеновский снимок через 18 месяцев после установки имплантатов показал удовлетворительное заживление в правом боковом отделе нижней челюсти (Фото 11).
Фото 10. Срез биоптата костного керна, окрашенный Г&Э, демонстрирующий зрелую кость в области аугментации (правая сторона отмечена красной чертой).
Фото 11. Через 18 месяцев после установки имплантатов панорамный рентгеновский снимок показал хорошо зажившую и восстановленную правую боковую часть нижней челюсти с дентальными имплантатами.
Обсуждение
Данный случай иллюстрирует два современных достижения в методах костной регенерации для дентальной имплантации: использование индивидуального титанового сетчатого каркаса в качестве пространственного поддерживающего элемента и ККМ в качестве регенеративного материала. Применение индивидуального титанового каркаса обеспечило точное соответствие костному дефекту пациента, повысив предсказуемость процедуры аугментации. Традиционные титановые сетки часто требуют значительной интраоперационной коррекции, что может привести к образованию неровных краев и повышению риска расхождения мягких тканей и последующего инфицирования. Индивидуальные каркасы минимизируют эти риски за счет предварительного проектирования на основе анатомии пациента, полученной из КЛКТ.
ККМ, использованная в данном случае, обладает уникальным преимуществом в костной регенерации. Состоящая из остеопрогениторных клеток, кортикальных костных чипсов и деминерализованных костных волокон, ККМ сохраняет ключевые свойства остеокондуктивности, остеоиндуктивности и остеогенности. Процесс криоконсервации сохраняет эти свойства, что делает ККМ жизнеспособной альтернативой традиционным аутогенным трансплантатам в подобных случаях.
Хирургический протокол в данном случае включал вертикальную аугментацию с отсроченной установкой имплантатов в правом нижнечелюстном квадранте. Выбор индивидуального титанового каркаса, заполненного ККМ, обеспечил стабильную и остеокондуктивную среду, благоприятную для формирования новой кости. КЛКТ через 6 месяцев после операции показала, что аугментированная область имеет схожие рентгенологические характеристики с окружающей нативной костью, что позволило успешно установить дентальные имплантаты.
Гистологическая оценка костного цилиндра, полученного во время остеотомии, подтвердила наличие зрелой кости, что свидетельствует об успешной костной регенерации. Эти гистологические данные в сочетании с клиническими и рентгенологическими результатами подчеркивают эффективность использования индивидуального титанового каркаса и ККМ для вертикальной аугментации кости.
Вывод
Данный клинический случай демонстрирует успешное применение индивидуального титанового сетчатого каркаса и клеточной костной матрицы для вертикальной аугментации кости в боковом отделе нижней челюсти. Сочетание этих современных материалов способствовало значительной регенерации кости, обеспечив стабильную основу для последующей установки дентальных имплантатов. Точное соответствие индивидуального каркаса и регенеративные свойства ККМ внесли вклад в общий успех лечения, подчеркивая потенциал этих технологий в решении сложных клинических ситуаций в стоматологической имплантологии. Для дальнейшего подтверждения этих результатов и уточнения протоколов их применения необходимы исследования с большим размером выборки и более длительным периодом наблюдения.
Автор: Michael J. Hartman, DMD
В данном клиническом случае описано применение клеточной костной матрицы (ККМ) и индивидуального титанового сетчатого каркаса (ТС) для вертикальной аугментации кости в области бокового отдела нижней челюсти у 78-летнего пациента. Пациент обратился с вертикальным дефицитом костной ткани, что требовало аугментации для установки дентальных имплантатов. Индивидуальный титановый каркас, разработанный на основе данных КЛКТ, обеспечил точное прилегание, минимизируя риски, связанные с традиционной ТС. Во время операции ККМ использовалась в сочетании с индивидуальным каркасом для усиления регенерации кости. Послеоперационное восстановление прошло без осложнений, а КЛКТ-сканирование через 6 месяцев показало формирование зрелой костной ткани. В данном случае демонстрируется эффективность сочетания клеточной костной матрицы (ККМ) и индивидуальной титановой сетки (ТС) для сложной аугментации кости, что обеспечивает предсказуемую и стабильную основу для дентальных имплантатов. Для дальнейшего подтверждения этих результатов необходимы исследования с большим размером выборки и более длительным периодом наблюдения.
Если для области предполагаемой имплантации запланирована вертикальная аугментация кости, варианты включают направленную костную регенерацию, титановую сетку (ТС), блоковые трансплантаты, интерпозиционные трансплантаты и дистракционный остеогенез. Каждая из этих методик имеет свои преимущества и недостатки, которые следует учитывать, а также объем запланированной вертикальной аугментации.
Развитие цифровых технологий и 3D-печати позволяет создавать индивидуальные титановые каркасы, разработанные с учетом топологии кости пациента на основе данных конусно-лучевой компьютерной томографии (КЛКТ). Такие индивидуальные титановые каркасы показали такую же эффективность в вертикальной аугментации кости, как и традиционная ТС. Однако они лишены недостатка, связанного с необходимостью подрезки и формирования сетки, что может привести к образованию неровных и острых краев, повышающих риск расхождения тканей и инфицирования. Если титановый каркас предназначен для увеличения кости более чем на 3 мм, исследования рекомендуют смешивать не менее 50% аутогенного костного материала с аллогенным или ксеногенным материалом для максимальной эффективности аугментации.
Аутогенные костные трансплантаты обладают преимуществами в остеорегенерации, так как содержат остеопрогениторные клетки, остеокондуктивность (костный каркас) и остеоиндуктивность (костный морфогенетический белок и другие клеточные сигналы, способные стимулировать регенерацию кости). Аллогенные и ксеногенные материалы лишены остеопрогениторных клеток. Аутогенная кость считается золотым стандартом, но имеет ряд недостатков, включая увеличение времени операции, ограниченный объем кости в зависимости от места забора, потенциальные осложнения в области забора и необходимость обработки для получения частиц или контурирования для точного соответствия дефекту.
Клеточные костные аллотрансплантаты использовались для аугментации дефектов непрерывности нижней челюсти, подготовки места для имплантатов в верхней челюсти, синус-лифтинга и пародонтальной регенерации. Обычно они состоят из остеопрогениторных клеток, кортикальных и/или стружки из губчатой кости и деминерализованных костных волокон. Исследования показали, что они сохраняют остеокондуктивность, остеоиндуктивность и остеогенность. Для сохранения остеопрогениторных клеток эти продукты подвергаются криоконсервации и требуют размораживания перед имплантацией.
Ниже представлен клинический случай применения клеточной костной матрицы (ККМ) и индивидуальной титановой сетки (ТС) для вертикальной аугментации кости в боковом отделе нижней челюсти.
Клинический случай
Здоровый 78-летний мужчина обратился на консультацию по поводу вариантов фиксированного протезирования в левом верхнечелюстном и правом нижнечелюстном квадрантах. Клиническое обследование выявило разрушенный верхний левый клык и второй моляр с множественными реставрациями. В правом боковом отделе нижней челюсти отсутствовали зубы, начиная с первого премоляра дистально, а также наблюдался участок черно-коричневой пигментации в дистобуккальной ткани первого премоляра, клинически диагностированный как амальгамная татуировка.
Панорамный рентгеновский снимок, полученный на основе КЛКТ, показал скошенный вертикальный дефицит костной ткани в правом боковом отделе нижней челюсти с недостаточной высотой кости для установки дентальных имплантатов выше нижнего альвеолярного нерва (Фото 1). КЛКТ левого верхнечелюстного квадранта выявила разрушенный левый клык с достаточным объемом кости для установки имплантатов в области клыка и второго премоляра.
Фото 1. Предоперационный панорамный рентгеновский снимок, полученный на основе КЛКТ, демонстрирующий вертикальную атрофию кости в правом боковом отделе нижней челюсти.
Разработка плана лечения
Для обоих квадрантов был разработан план лечения. В левом верхнечелюстном квадранте клык был удален с одновременной установкой дентального имплантата, а также дополнительного имплантата в области отсутствующего второго премоляра. Ожидаемой окончательной реставрацией стал мостовидный протез (МП) на три единицы.
Для правого нижнечелюстного квадранта было принято решение о вертикальной аугментации бокового отдела нижней челюсти перед установкой имплантатов. После созревания аугментации планировалось установить имплантаты в области второго премоляра и первого моляра, с окончательными реставрациями в виде одиночных МП. План лечения, включая альтернативные варианты, ожидаемое послеоперационное восстановление и потенциальные риски, был подробно обсужден с пациентом. Пациент подтвердил понимание и дал согласие на предложенный план лечения.
Данные КЛКТ пациента были загружены на портал для проектирования и изготовления индивидуального титанового каркаса (Yxoss CBR, ReOss GmbH). Дизайн сетки был создан, оценен и утвержден (Фото 2). Индивидуальный титановый каркас был изготовлен и доставлен. Для планирования установки имплантатов в области верхнего левого клыка и премоляра использовалось программное обеспечение для динамической навигации (X-Guide, X-Nav Technologies LLC).
Фото 2. Компьютерное проектирование индивидуальной титановой сетки.
Первичная операция
Во время операции верхний левый клык был атравматично удален, а имплантаты установлены в запланированные позиции с использованием системы динамической навигации (X-Guide). В области отсутствующих зубов правого нижнечелюстного квадранта был выполнен гребневой разрез с дистолингвальным релизом, продолжающийся мезиально в борозде до области клыка. Были подняты полнослойные буккальный и лингвальный лоскуты, а надкостница надсечена для обеспечения адекватного доступа и мобильности лоскута для ушивания без натяжения. Клеточная костная матрица (Vivagen, LifeNet Health) была разморожена и подготовлена в соответствии с инструкциями производителя (Фото 3). Титановый каркас был проверен на соответствие дефекту, затем заполнен ККМ и жестко зафиксирован винтами диаметром 1,7 мм (Фото 4). На каркас была наложена коллагеновая мембрана (Bio-Gide, Geistlich Pharma North America), а разрез ушит комбинацией горизонтальных и непрерывных хромированных кетгутовых швов.
Фото 3. Клеточная костная матрица после размораживания и удаления криопреципитата, готовая к использованию.
Фото 4. Клинический вид ККМ и индивидуальной титановой сетки, установленных на костный дефект.
Установка имплантатов в нижней челюсти
Послеоперационный период прошел без осложнений. КЛКТ, выполненная через 6 месяцев, показала формирование зрелой костной ткани под сеткой в запланированных местах установки имплантатов (Фото 5–7).
Фото 5. Панорамный рентгеновский снимок, полученный на основе КЛКТ через 6 месяцев после аугментации.
Фото 6. Корональный срез КЛКТ в области запланированного имплантата второго премоляра правой нижней челюсти (вертикальный синий прямоугольник в центре изображения). Зеленые линии и соответствующие числа указывают вертикальные и горизонтальные измерения аугментированной кости: 4,2 мм и 12,8 мм соответственно.

Фото 7. Корональный срез КЛКТ в области запланированного имплантата первого моляра правой нижней челюсти (наклонный синий прямоугольник в центре изображения). Зеленые линии и соответствующие числа указывают вертикальные и горизонтальные измерения аугментированной кости: 4,1 мм и 14 мм соответственно.
Установка имплантатов в области второго премоляра и первого моляра правой нижней челюсти была запланирована и выполнена с использованием системы динамической навигации (X-Guide). Во время остеотомии для имплантата первого моляра использовался трефинный бор диаметром 2 мм под динамической навигацией для создания начального отверстия. Костный цилиндр, полученный с помощью трепана, был отправлен на гистологическое исследование (Фото 8). Аугментированная кость выглядела хорошо зажившей клинически, и имплантаты были установлены без осложнений (Фото 9).
Фото 8. Забор костного цилиндра из области остеотомии для имплантата первого моляра нижней челюсти справа.
Фото 9. Клинический вид имплантатов нижней челюсти на момент установки, демонстрирующий зрелую пересаженную кость.
Окрашивание гематоксилином и эозином (Г&Э) биоптата показало зрелый трансплантат с признаками формирования новой кости (Фото 10). Панорамный рентгеновский снимок через 18 месяцев после установки имплантатов показал удовлетворительное заживление в правом боковом отделе нижней челюсти (Фото 11).
Фото 10. Срез биоптата костного керна, окрашенный Г&Э, демонстрирующий зрелую кость в области аугментации (правая сторона отмечена красной чертой).
Фото 11. Через 18 месяцев после установки имплантатов панорамный рентгеновский снимок показал хорошо зажившую и восстановленную правую боковую часть нижней челюсти с дентальными имплантатами.
Обсуждение
Данный случай иллюстрирует два современных достижения в методах костной регенерации для дентальной имплантации: использование индивидуального титанового сетчатого каркаса в качестве пространственного поддерживающего элемента и ККМ в качестве регенеративного материала. Применение индивидуального титанового каркаса обеспечило точное соответствие костному дефекту пациента, повысив предсказуемость процедуры аугментации. Традиционные титановые сетки часто требуют значительной интраоперационной коррекции, что может привести к образованию неровных краев и повышению риска расхождения мягких тканей и последующего инфицирования. Индивидуальные каркасы минимизируют эти риски за счет предварительного проектирования на основе анатомии пациента, полученной из КЛКТ.
ККМ, использованная в данном случае, обладает уникальным преимуществом в костной регенерации. Состоящая из остеопрогениторных клеток, кортикальных костных чипсов и деминерализованных костных волокон, ККМ сохраняет ключевые свойства остеокондуктивности, остеоиндуктивности и остеогенности. Процесс криоконсервации сохраняет эти свойства, что делает ККМ жизнеспособной альтернативой традиционным аутогенным трансплантатам в подобных случаях.
Хирургический протокол в данном случае включал вертикальную аугментацию с отсроченной установкой имплантатов в правом нижнечелюстном квадранте. Выбор индивидуального титанового каркаса, заполненного ККМ, обеспечил стабильную и остеокондуктивную среду, благоприятную для формирования новой кости. КЛКТ через 6 месяцев после операции показала, что аугментированная область имеет схожие рентгенологические характеристики с окружающей нативной костью, что позволило успешно установить дентальные имплантаты.
Гистологическая оценка костного цилиндра, полученного во время остеотомии, подтвердила наличие зрелой кости, что свидетельствует об успешной костной регенерации. Эти гистологические данные в сочетании с клиническими и рентгенологическими результатами подчеркивают эффективность использования индивидуального титанового каркаса и ККМ для вертикальной аугментации кости.
Вывод
Данный клинический случай демонстрирует успешное применение индивидуального титанового сетчатого каркаса и клеточной костной матрицы для вертикальной аугментации кости в боковом отделе нижней челюсти. Сочетание этих современных материалов способствовало значительной регенерации кости, обеспечив стабильную основу для последующей установки дентальных имплантатов. Точное соответствие индивидуального каркаса и регенеративные свойства ККМ внесли вклад в общий успех лечения, подчеркивая потенциал этих технологий в решении сложных клинических ситуаций в стоматологической имплантологии. Для дальнейшего подтверждения этих результатов и уточнения протоколов их применения необходимы исследования с большим размером выборки и более длительным периодом наблюдения.
Автор: Michael J. Hartman, DMD



0 комментариев