Создание прикрепленной кератинизированной десны в области имплантатов - необходимость или опция?
Часто пациенты, особенно те, у которых ранее была имплантация, удивляются, когда в плане лечения видят пункты про мягкотканную пластику. Ведь раньше им ее не проводили. Конечно, мы на консультации объясняем, что это означает и для чего она проводится. А еще показываем на фотопротоколе границу подвижной и кератинизированной прикрепленной десны, объясняем, что от ее наличия и ширины зависит долгосрочный прогноз имплантатов.
Эффективные стратегии лечения позднего отказа имплантата и периимплантита
Позднее отторжение имплантата, особенно в эстетической зоне, представляет собой серьезную клиническую и биологическую проблему. В этом отчете о клиническом случае описан биологически обоснованный метод лечения, основанный на цифровом управлении, для устранения неисправности имплантата из-за периимплантита и неправильного положения у 26-летней пациентки.
Тотальная имплантологическая реабилитация с помощью OneGuide
Женщина, 57 лет. Вовлеченные зубы: верхняя и нижняя челюсть. Основные жалобы: боль, отечность мягких тканей на обеих челюстях.
Анодирование абатментов имплантатов для улучшения цвета твердых и мягких тканей
Протезирование на передних дентальных имплантатов выполняют с использованием коронок либо на цементной, либо на винтовой фиксации. Обе опции обеспечивают хорошую функциональность и долгосрочную стабильность, однако темный цвет титана абатментов может создавать эстетические проблемы. Один из способов снизить эстетические ограничения из-за «просвечивания» титана — анодировать абатмент, изменив его цвет так, чтобы он ближе соответствовал керамической коронке и/или мягким тканям. Золотое анодирование улучшает согласование по цвету с покрывающей керамикой, а розовое анодирование лучше маскирует титан под мягкими тканями. В данном исследовании сравнивали цвет образцов из диоксид циркония и литий-дисиликата разной толщины на фоне различных оттенков титана с эталоном — композитом цвета дентина. Цели работы: оценить, влияет ли оттенок титана на конечный цвет каждого керамического материала, и определить, какая толщина каждой керамики при разных оттенках титана обеспечивает приемлемое совпадение по цвету с той же керамикой на фоне дентина. В статье также обсуждается процесс анодирования титана абатментов и делается вывод, что селективное анодирование — практичный метод балансирования эстетики и структурной целостности при восстановлении передних имплантатов.
Ранние микробиологические факторы, определяющие приживление имплантатов
Новое исследование показало, что микробные сообщества, которые начинают формироваться внутри зубных имплантатов во время установки, играют решающую роль в формировании долговременной окружающей среды вокруг.
Упрощение немедленной установки имплантата и восстановления в зоне верхних передних зубов
В статье представлен клинический случай, демонстрирующий упрощенный протокол немедленной установки имплантата и последующего восстановления одиночного несостоятельного переднего зуба верхней челюсти.
В будущем ультразвук сможет удалять биопленки
Согласно исследованию, высокоинтенсивный сфокусированный ультразвук (HIFU) может успешно удалять биопленки с поверхности титановых имплантатов.
Здоровье имплантата начинается с винта
Согласно пресс-релизу Западно-Китайской больницы Сычуаньского университета, бактерии, попавшие во внутреннюю крышку титанового винта-заглушки зубных имплантатов во время операции, могут играть определенную роль в формировании микробиома вокруг имплантата и в том, останется ли он здоровым.
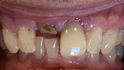
Одномоментная имплантация в эстетически значимой зоне с использованием системы дентальных имплантатов Straumann
Клинический случай удаления лопнувшего зуба 2.2 с одномоментной имплантацией и отсроченной нагрузкой.

Статьи от брендов