Биосенсор для полости рта обнаруживает воспаление в режиме реального времени
Интраоральные биосенсоры обладают потенциалом для улучшения профилактического ухода за полостью рта и значительного улучшения результатов стоматологического лечения.
Определение естественной концентрации цинка в дентине, измеренная по всей поверхности зуба
Новое исследование тщательно проанализировало распределение цинка по всем зубам, что позволило получить информацию, которая может существенно повлиять на то, как врачи используют стоматологические материалы.
Тенденции в пяти ключевых областях исследования стоматологической тревожности
Новый библиометрический обзор показал, что за последние десятилетия исследования стоматологической тревожности значительно усложнились.
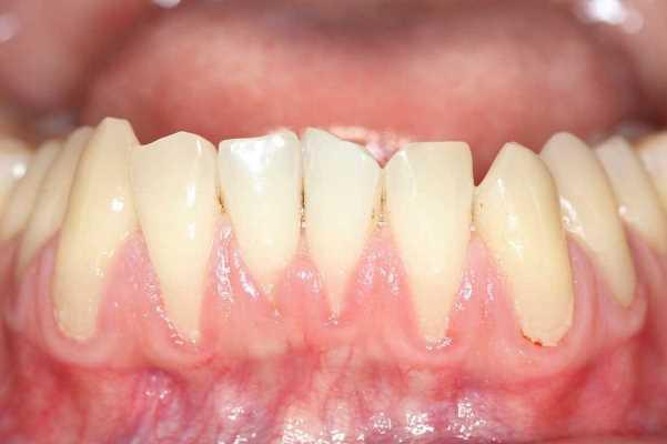
Леденцы без сахара могут стать причиной проблем с зубами
У 58-летнего здорового мужчины с безупречной гигиеной полости рта и здоровыми пищевыми привычками развились кариозные поражения почти на каждом жевательном зубе, прилегающем к тому месту, где он обычно держал леденец с никотином без сахара.
Влияет ли искусственный интеллект на принятие решений о лечении и его результаты?
Новое исследование показало, что несмотря на то, что искусственный интеллект продемонстрировал недвусмысленные возможности в диагностической сфере, его надежность и эффективность с точки зрения планирования лечения и результатов лечения пациентов требуют дальнейшего изучения.
Заболевания десен могут быть связаны с несколькими видами рака
Согласно обзору, заболевания десен, о которых люди сообщают сами, могут быть связаны с повышенным риском развития нескольких видов рака, включая колоректальный, поджелудочной железы, желудка, мочевого пузыря и легких.
Дальнейшие исследования должны изучить, как изменения в бактериях полости рта, связанные с заболеваниями пародонта (БП), могут способствовать развитию рака.
Новое исследование показывает, что аргинин модулирует вирулентность зубной биопленки
В этом первом исследовании такого рода ученые продемонстрировали комбинированное воздействие аргинина на рН, микробный состав и архитектуру матрикса биопленок у пациентов с активным кариесом.
Помидоры против тяжелого пародонтита
Предыдущие клинические исследования показали, что ликопин — пигмент, содержащийся в большом количестве в помидорах и других красных фруктах, — может улучшить результаты лечения пародонта при использовании в качестве дополнительной терапии. В новом исследовании ученые из университетов США и Китая изучили, могут ли различия в потреблении ликопина с пищей помочь объяснить расовые различия в состоянии пародонта у пожилых людей.
Жуйте жевательную резинку на здоровье
Жевательная резинка с ксилитом может служить полезным дополнением к чистке зубов, уменьшая количество зубного налета и снижая риск развития кариес-ассоциированных Streptococcus mutan. Кроме того, пациенты с заболеваниями десен могут ощутить пользу от жевания жевательной резинки с ксилитом.
Сахарный диабет 2 типа может повышать уровень сахара в слюне, что приводит к развитию кариеса
Недавнее исследование показало, что плохой контроль уровня сахара в крови при сахарном диабете 2 типа может повышать уровень глюкозы и фруктозы в слюне, что потенциально способствует образованию более кариесогенной биопленки и увеличивает риск развития кариеса.

Статьи от брендов