Традиционный процесс изготовления зубных протезов обычно требует не менее пяти визитов, занимает значительное время, включает множество лабораторных этапов и вынуждает пациентов возвращаться в клинику для каждого этапа лечения. Кроме того, если протез ломается или теряется, процесс изготовления нового, скорее всего, придется начинать с нуля. Сегодня специалисты могут использовать цифровые технологии на многих этапах лечения, чтобы сократить количество визитов и время, необходимое для изготовления полного съемного протеза. Кроме того, материалы стали более удобными для пациентов, поскольку в композитных материалах, обработанных методом CAD/CAM, содержится меньше остаточного мономера. В этой статье представлены клинические случаи, демонстрирующие комбинацию традиционных клинических практик и цифровых методик для максимального повышения эффективности процесса изготовления протезов. Внутриротовое сканирование использовалось для создания прототипа протеза, а традиционная миофункциональная методика снятия оттиска применялась с этим прототипом. Затем оттиск сканировался, после чего новый, правильно подогнанный протез изготавливался с использованием 3D-технологий. Этот процесс ускоряется благодаря предсказуемому рабочему процессу, который минимизирует лабораторные этапы и время лечения, улучшает контроль инфекции и повышает удовлетворенность пациентов.
Концепция полностью цифрового рабочего процесса потенциально применима ко всем областям стоматологии, хотя наиболее значительную роль она играет в реставрационной и имплантологической стоматологии. В ортопедической стоматологии применение цифровых технологий позволило получать внутриротовые цифровые оттиски, что революционизировало изготовление одиночных коронок, мостовидных протезов и даже частичных и полных съемных протезов.
С гетерогенной этиологией и проявлениями, адентия уже давно решается стоматологами с помощью частичных и полных съемных протезов. Адентия является проблемой общественного здравоохранения, особенно среди пожилых пациентов, и может влиять на общее качество жизни. Полная адентия — это необратимое состояние, наиболее распространенное среди пожилого населения; уровень распространенности значительно варьируется между странами и регионами.
В ответ на это состояние пациенты часто выбирают замену отсутствующих зубов съемными протезами. Эти протезы могут вызывать различные проблемы, такие как поломка, потеря или нарушение функции. Функциональные проблемы с протезами могут даже стать причиной недоедания, проблем со здоровьем, избегания социальной активности, личного дискомфорта и психологического стресса.
CAD/CAM для съемного протезирования
Успех CAD/CAM в изготовлении несъемных протезов и реставраций на имплантатах стимулировал применение этих технологий в области съемного протезирования. Традиционно изготовление полных съемных протезов требует пяти ключевых этапов для достижения точности: предварительный оттиск, окончательный оттиск, регистрация прикуса, примерка расположения искусственных зубов и установка готового протеза. Использование CAD/CAM-технологий в съемном протезировании предлагает множество преимуществ, включая сокращение количества визитов пациента в клинику, лучшую экономическую эффективность и снижение риска перекрестного загрязнения. Оно позволяет сохранять клинические данные для изготовления запасного или нового протеза при необходимости. Кроме того, оцифровка беззубых дуг может улучшить точность оттиска и исключить усадку полиметилметакрилата, наблюдаемую при традиционном изготовлении протезов. В целом, CAD/CAM-процедуры в съемном протезировании обеспечивают результаты, аналогичные или превосходящие традиционные методы, предлагая лучшую посадку, улучшенные механические свойства и более высокую удовлетворенность пациентов.
Техника снятия оттиска играет важную роль в изготовлении съемных протезов, так как она критична для последующей реакции опорных тканей. Теоретически, идеальный оттиск не вызывает компрессии или смещения, охватывает все беззубые участки и обеспечивает адаптацию протеза к структурам полости рта. Традиционные техники снятия оттиска включают мукостатические, функциональные и методы избирательного давления. Однако клинический процесс изготовления протеза обычно включает комбинацию методов, а не использование каждого из них по отдельности. Повседневная практика предполагает применение принципов каждой техники в комбинации для достижения желаемого результата.
Мукостатическая или безнапорная техника регистрирует ткани в пассивном состоянии. Эта техника полагается на межфазное натяжение как единственный механизм удержания будущего протеза. Функциональная техника снятия оттиска, как следует из названия, выполняется, когда пациент оказывает жевательное давление при желаемой окклюзионной высоте. Эта техника предполагает использование индивидуальной ложки, позволяющей пациенту смыкать зубы на противоположной дуге или окклюзионном валике. В отличие от других методов, оттиск снимается, когда ткани и мышцы функционируют. Однако утверждается, что постоянное давление на ткани приводит к ускоренной резорбции кости. Наконец, техника селективного давления сочетает элементы двух вышеупомянутых методов: некоторые участки регистрируются с минимальным давлением, а другие — под давлением.
В отличие от традиционных техник, миофункциональная методика основана на совершенно другом принципе. Она предполагает использование материала для адаптации тканей в модифицированном протезе, который формируется мускулатурой пациента с течением времени. Этот подход обеспечивает высокоточное и комфортное воспроизведение структур полости рта. Однако главным недостатком является необходимость сдачи протеза для перебазировки, что делает его менее долговечным.
Технология CAD/CAM теперь позволяет специалистам комбинировать лучшие аспекты каждой техники снятия оттиска для создания более качественного, долговечного и воспроизводимого протеза для пациентов.
Планирование лечения при различных условиях
Литература изобилует статьями о цифровом сканировании мягких тканей пациентов и изготовлении протезов с нуля. Однако пациенты не всегда полностью беззубы. Они обращаются в клиники с разными состояниями, которые можно разделить на три категории:
- терминальное состояние зубов, требующее удаления и немедленной установки протеза;
- наличие эстетически приемлемого, но плохо подогнанного и неудобного протеза;
- наличие неприемлемого протеза, который больше нельзя использовать.
Вместо того чтобы каждый раз «изобретать велосипед» и начинать с нуля, можно использовать комбинированный цифровой и традиционный рабочий процесс для лечения каждого из этих состояний и создания эффективного процесса изготовления протезов.
Требуется первичное изготовление протезов
В этом случае необходимо создать протез для немедленной установки. Процесс включает регистрацию фотографий пациента (улыбка, вид сбоку), внутриротовое цифровое сканирование полости рта в состоянии покоя и получение межокклюзионного оттиска (прикуса) с использованием положения и формы оставшихся зубов. Остальная работа может быть выполнена в цифровой лаборатории или традиционно на физической модели. Зубы могут быть удалены цифровым способом в лаборатории или физически на напечатанной модели.
Затем изготавливается протез с укороченными границами, используя положение исходных зубов, сохраняя исходную высоту прикуса и форму зубов или, при желании, включая новую, более эстетичную форму. В стоматологическом кабинете после удаления зубов новые протезы с мягкой подкладкой устанавливаются пациенту, как это делается при традиционном изготовлении немедленных протезов.
Пациент должен адаптироваться к новому протезу, а мягкие ткани и кость должны зажить. Исходное сканирование пациента аналогично мукостатическому оттиску, так как фиксирует ткани в ненапряженном состоянии. Однако мягкая подкладка аналогична функциональному оттиску, который формируется при сомкнутом рте. После заживления протез перебазируют с использованием материала для функционального оттиска, и пациента отправляют домой. После окончательного формирования контуров протез сканируют, и изготавливают окончательный протез, который затем устанавливают пациенту.
Пациент с приемлемыми, но неудобными протезами
Такие случаи обычно включают опытных пользователей протезов со старыми конструкциями или пациентов, которым требуется окончательный протез после предыдущего лечения с немедленной установкой временного протеза. В этом случае приемлемый протез модифицируется и перебазируется материалом для функционального оттиска, таким как Hydro-Cast (Sultan Healthcare) или Lynal (Dentsply Sirona). Пациент использует протез в течение рекомендованного времени, что приводит к получению точного миофункционального оттиска.
Однако вместо традиционной перебазировки в лаборатории, отсканированный протез используется для изготовления нового методом фрезерования. Преимущества этого подхода: пациент сохраняет оригинальный протез для экстренных случаев, а новый протез лишен проблем, связанных с химической перебазировкой и усадкой материала, обеспечивая более долговечный результат. Исследования показывают, что «CAD/CAM-обработанные композиты содержат меньше остаточного мономера, чем традиционные термически обработанные композиты».
Пациент с неприемлемыми протезами
Пациенты часто обращаются с плохо подогнанными протезами, которые эстетически или функционально неприемлемы. В таких случаях вместо начала с нуля клиницист может использовать старые протезы для коррекции границ и регистрации параметров. Это можно сделать с помощью традиционных материалов для оттиска или материалов для мягкой перебазировки в стоматологическом кабинете. Протезы со скоректированными границами используют для получения нужной окклюзионной высоты и регистрации надлежащего положения зубов. Корректированные протезы сканируются и виртуально артикулируются. Затем специалист может придать зубам идеальное положение, скорректировать границы протеза и повторить процесс, как описано во втором сценарии.
Во всех трех процедурах протез не отправляется в лабораторию, что снижает риск загрязнения. Протез перемещается только от места производства к пациенту. Кроме того, стоимость фрезерования нового протеза значительно ниже, чем стоимость традиционной перебазировки.
Описание клинических случаев
Клинический случай 1
Этот случай соответствует первым двум сценариям: пациентке впервые изготовили полные съемные протезы для немедленной установки, а после заживления они были использованы для создания окончательного протеза.
В апреле 2017 года 74-летняя пациентка обратилась с жалобой на то, что «все шатается» (Фото 1 и Фото 2). В анамнезе — гипертония и лечение рака груди в 2002 году с удалением левой молочной железы, но противопоказаний к стоматологическому лечению не было. Пациентка принимала Avapro и Pravachol и имела аллергию на пенициллин.
Фото 1: Клинический случай 1. Состояние пациентки при обращении.
Фото 2: Рентгенограмма до лечения.
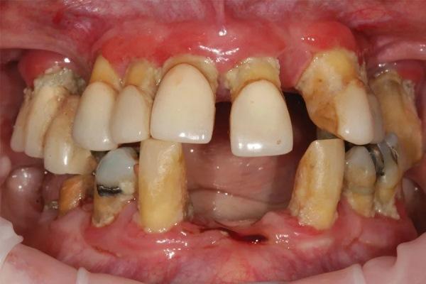
Пациентка испытывала сильный страх перед стоматологическим лечением, что усугубило состояние ее зубов. У нее были частичные съемные протезы на верхней и нижней челюстях, а оставшиеся зубы имели запущенный пародонтит, кариес и подвижность. На панорамном снимке все зубы были признаны не подлежащими восстановлению (Фото 2). Учитывая финансовые ограничения и страх перед хирургическим лечением с установкой имплантатов, было принято решение о цифровом изготовлении немедленных протезов. После заживления тканей временные протезы должны были быть заменены на окончательные. Из-за страха пациентка вернулась к лечению только через 3 года.
Поскольку все зубы были поражены пародонтитом, традиционные альгинатные оттиски для индивидуальных ложек было невозможно сделать без риска удаления зубов вместе с оттиском. Традиционная методика предполагает удаление всех боковых зубов, заживление тканей, регистрацию окклюзионной высоты с помощью восковых валиков и только затем изготовление протезов. Этот процесс требует много времени, и пациент остается без зубов на длительный период, что усугубляет страх.
Цифровые технологии позволяют ускорить лечение: все зубы удаляются за один визит, и протезы устанавливаются сразу. С помощью внутриротового сканера (TRIOS) были отсканированы зубы и ткани, а также зарегистрирован прикус (Фото 3). По цифровому протоколу CAD/CAM (3Shape) были изготовлены протезы с укороченными границами. Вся информация об окклюзионной высоте и положении зубов была получена из 3D-сканирования и регистрации прикуса на первом визите. Клинические данные и фотографии были отправлены в лабораторию. Через две недели все зубы были удалены (Фото 4 и Фото 5), и пациентке установили протезы с мягкой подкладкой (COE-SOFT) (Фото 6).
Фото 3: Сканирование зубов, тканей и регистрация прикуса.
Фото 4: Удаление всех зубов.
Фото 5: Рентгенограмма после удаления зубов.
Фото 6: Установка протезов с мягкой подкладкой.
Далее следовал традиционный протокол для немедленных протезов с последующими визитами для коррекции.
После полного заживления тканей (примерно через 6 месяцев) мягкая подкладка была удалена, и протезы были перебазированы материалом Hydro-Cast для функционального оттиска. Пациентка носила протезы 2 недели, после чего излишки материала были удалены, и протезы отсканировали для изготовления окончательных конструкций (Фото 7).
Фото 7: Отсканированные протезы с материалом для функционального оттиска.
Процесс изготовления переходных и окончательных зубных протезов был начат с помощью 3D-интраорального оптического сканирования в середине февраля 2020 года и завершен во время пандемии COVID, когда в начале марта 2021 года были доставлены окончательные зубные протезы (Фото 8 и Фото 9). Пациентка посещала кабинет врача в общей сложности 10 раз, включая два отдельных хирургических визита (по одному на каждую дугу) и все послеоперационные и корректирующие визиты. Это также включало в себя изготовление и поставку временных зубных протезов, заживление мягких и твердых тканей, функциональные оттиски и поставку окончательных зубных протезов. Для сравнения, традиционное поэтапное удаление боковых зубов, регистрация данных и обычные слепки для временных протезов привели бы к гораздо большему количеству посещений, и пациентке пришлось бы длительное время терпеть неудобства, связанные с отсутствием большинства зубов, пока изготавливались временные протезы.
Фото 8: Окончательные протезы.
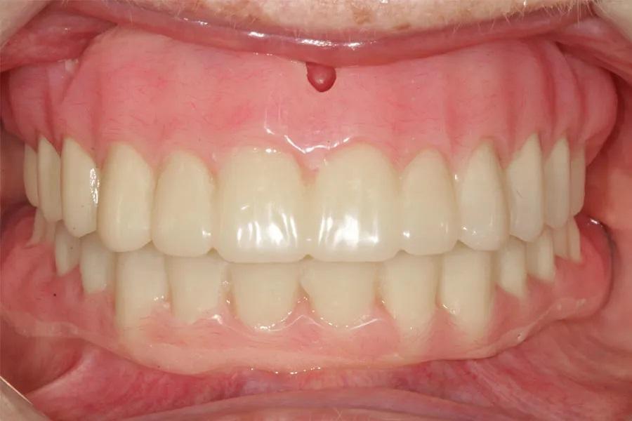
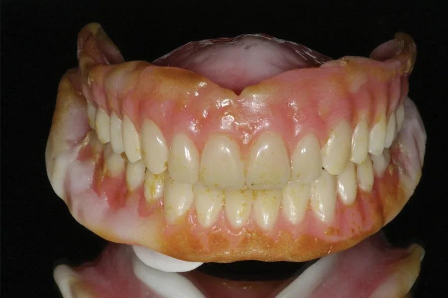
Фото 9: Установка протезов. Пациентка довольна эстетическим и функциональным результатом.
Пациентка осталась довольна результатом, отметила уменьшение страха перед стоматологией и рассматривала возможность установки имплантатов для покрывного протеза нижней челюсти. Она также с энтузиазмом оценила сокращение количества визитов и снижение риска инфицирования. Протезы имели отличную посадку, стабильную окклюзию и удовлетворительную эстетику. Пациентка была рада, что у нее есть копия протезов на случай чрезвычайной ситуации.
Клинический случай 2
В данном случае в качестве примера можно привести пациента, у которого были плохо подогнанные зубные протезы, которые невозможно было использовать, – 74-летнего мужчину с обширным анамнезом, включая хроническую обструктивную болезнь легких, сердечный стент и артрит. Лекарственные препараты включали Brilinta, метопролол, аторвастатин, лизиноприл и преднизолон; однако, по результатам консультаций с врачами пациента, противопоказаний к лечению зубов не было. При клиническом осмотре были обнаружены рассасывающиеся выступы с незначительным ороговением слизистой оболочки. У пациента была пара плохо подогнанных, крайне неэстетичных зубных протезов на верхней и нижней челюсти, которые были изготовлены много лет назад и не подлежали повторному использованию. План лечения включал в себя установку нового полного зубного протеза с использованием цифрового протокола протезирования по технологии CAD/CAM (3Shape).
Были выполнены цифровые сканы верхней и нижней челюстей для мукостатического оттиска (Фото 10 и Фото 11). Основания зубных протезов с укороченными краями были изготовлены по напечатанным моделям и поставлялись с восковыми окклюзионными валиками. Окклюзионная высота, эстетика и фонетика были оценены традиционным образом, все эти аспекты были зафиксированы на восковых валиках. Была проведена традиционная примерка расположения зубов, и зубные протезы были установлены с материалом для функциональных оттисков. Через 1 неделю на кратковременные мягкие вкладыши обоих зубных протезов был нанесен жидкий пластификатор (тканевый кондиционер) (Hydro-Cast) для облегчения формования в соответствии с протоколом производителя (Фото 12). Еще через неделю с помощью сканера TRIOS было выполнено окончательное цифровое сканирование сформованных зубных протезов, скан был отправлен в электронном виде в лабораторию для дублирования. Конечно, в этом случае возможна передача зубных протезов для замены, но в этом нет необходимости, поскольку оригинальные зубные протезы, использованные при изготовлении, могут быть использованы повторно для получения миофункционального слепка в будущем, когда понадобятся новые зубные протезы.
Фото 10 и Фото 11. Клинический случай 2. Цифровые сканы верхней (Фото 10) и нижней (Фото 11) челюстей в аналоговом процессе для получения мукостатического оттиска.
Фото 12: Коррекция протезов после примерки.
Установка протезов прошла успешно: проверена посадка, окклюзия, фонетика и эстетика (Фото 13). Протезы хорошо фиксировались, не вызывали дискомфорта, а окклюзия была равномерной. Оба зубных протеза были очень стабильными. Паста для измерения давления не выявила пятен от давления. Окклюзию оценивали как визуально, так и с помощью артикуляционной бумаги. Контакты были равными и хорошо распределенными. Проверка фонетики выявила небольшую шепелявость, но она не была сочтена чрезмерной и практически отсутствовала при повторном прослушивании через 3 дня.
Фото 13: Протезы готовы к установке.
Пациент был очень доволен эстетикой и комфортом в день установкой (Фото 14). На контрольном осмотре через 2 недели была выполнена небольшая коррекция. Пациент остался доволен опытом использования протокола цифрового протезирования CAD/CAM. Протезы имели отличную посадку, стабильную окклюзию и удовлетворительную эстетику. Более того, пациент был рад узнать, что у него есть копия зубного протеза для дальнейшего использования в случае необходимости.
Фото 14: Эстетический результат в день установки. Пациент сообщил о полном комфорте и удовлетворении.
Обсуждение
С увеличением продолжительности жизни распространенность адентии растет. Традиционные методы изготовления съемных протезов, разработанные десятилетия назад, уступают по эффективности CAD/CAM-технологиям. Цифровые методы сокращают количество визитов, время лечения и риск инфицирования, а также открывают новые возможности в протоколах протезирования.
Различные техники снятия оттисков для съемных протезов доказали свою эффективность. Важным аспектом является реакция опорных тканей, особенно при полных съемных протезах. Сегодня важно использовать методики, удобные для пациента и точно регистрирующие анатомические ориентиры. CAD/CAM-технологии сокращают количество визитов и повышают экономическую эффективность.
Техника селективного давления, описанная Boucher в 1950 году, основана на принципе регистрации тканей, наиболее устойчивых к нагрузке, под давлением, а остальных — в состоянии покоя. Эти ткани фиксируют при незначительном надавливании, в то время как другие ткани фиксируют в состоянии покоя или при облегчении давления. минимальное давление в положении, обеспечивающем равновесие между эластичными и неэластичными тканями. Этот вид оттиска предполагает взаимодействие тканей и оттискного материала с использованием традиционной технологии изготовления зубных протезов методом выборочного давления.
Традиционные методы классифицируются как мукокомпрессивные (регистрация тканей под нагрузкой) или мукостатические (в покое), но ни один из них не учитывает временные затраты. Традиционно технике избирательного надавливания уделяется гораздо больше внимания в литературе и стоматологическом образовании. Однако, как правило, для этого требуется пять основных посещений, о которых говорилось ранее, и процедура более сложная, если необходимо выполнить удаление зубов и решить другие проблемы. И наоборот, миофункциональный метод снятия слепков, который может быть выполнен при ношении пациентом существующих зубных протезов с использованием оттискного материала для кондиционирования тканей, представляет собой значительное преимущество.
При использовании техники миофункционального оттиска отпадает необходимость в изготовлении по индивидуальных бортиков ложек для предварительного оттиска. Самый сложный и трудоемкий этап обработки – формовка бортика и окончательный оттиск – обходится стороной. На смену ему пришел более удобный для пользователя и пациента процесс, который позволяет получить гораздо более точное изображение опорных конструкций, а также более точное выдвижение фланцев по мере того, как мышцы формируют протез в нужном положении. С точки зрения логистики, это перекладывает процесс получения отпуска на пациента дома, а не в кабинете врача. Самое главное, это позволяет стоматологу решить, следует ли заново выровнять зубной протез или просто отсканировать и приступить к изготовлению более прочного дубликата зубного протеза. С экономической точки зрения цифровое копирование зубного протеза более экономично, чем традиционные этапы трудоемкого лабораторного изготовления зубных протезов.
Прежде всего, методика, описанная в этой статье, решает основную проблему цифровой методики получения оттиска: фиксацию функциональных границ зубного протеза. В то время как цифровое сканирование может зафиксировать твердое небо или ороговевшую часть зубного протеза нижней челюсти, невозможно зафиксировать функциональные границы зубного протеза, поскольку они подвижны. Использование комбинации предсказуемого миофункционального оттиска и цифровых технологий дает медицинским работникам возможность предоставлять предсказуемое, превосходное и экономически эффективное лечение пациентам и должно рассматриваться в качестве будущей стандартной операционной процедуры для съемного протезирования зубов CAD/CAM.
Вывод
Интеграция технологии CAD/CAM в съемное протезирование зубов знаменует собой значительный прогресс в лечении адентии, предлагая как врачам, так и пациентам более эффективный, точный и экономичный подход к изготовлению зубных протезов. Сокращение количества визитов, уменьшение времени лечения и повышение точности посадки протезов делают цифровые методы революционными в сравнении с традиционными. Комбинация цифрового сканирования с миофункциональными техниками снятия оттиска обеспечивает универсальное решение проблем изготовления протезов, гарантируя превосходные результаты и высокую удовлетворенность пациентов.
Авторы:
Zev Kaufman, DDS
Klenise S. Paranhos, DDS, MS
Ludovic F. de Carle, DDS
Mary Kang, DDS
Традиционный процесс изготовления зубных протезов обычно требует не менее пяти визитов, занимает значительное время, включает множество лабораторных этапов и вынуждает пациентов возвращаться в клинику для каждого этапа лечения. Кроме того, если протез ломается или теряется, процесс изготовления нового, скорее всего, придется начинать с нуля. Сегодня специалисты могут использовать цифровые технологии на многих этапах лечения, чтобы сократить количество визитов и время, необходимое для изготовления полного съемного протеза. Кроме того, материалы стали более удобными для пациентов, поскольку в композитных материалах, обработанных методом CAD/CAM, содержится меньше остаточного мономера. В этой статье представлены клинические случаи, демонстрирующие комбинацию традиционных клинических практик и цифровых методик для максимального повышения эффективности процесса изготовления протезов. Внутриротовое сканирование использовалось для создания прототипа протеза, а традиционная миофункциональная методика снятия оттиска применялась с этим прототипом. Затем оттиск сканировался, после чего новый, правильно подогнанный протез изготавливался с использованием 3D-технологий. Этот процесс ускоряется благодаря предсказуемому рабочему процессу, который минимизирует лабораторные этапы и время лечения, улучшает контроль инфекции и повышает удовлетворенность пациентов.
Концепция полностью цифрового рабочего процесса потенциально применима ко всем областям стоматологии, хотя наиболее значительную роль она играет в реставрационной и имплантологической стоматологии. В ортопедической стоматологии применение цифровых технологий позволило получать внутриротовые цифровые оттиски, что революционизировало изготовление одиночных коронок, мостовидных протезов и даже частичных и полных съемных протезов.
С гетерогенной этиологией и проявлениями, адентия уже давно решается стоматологами с помощью частичных и полных съемных протезов. Адентия является проблемой общественного здравоохранения, особенно среди пожилых пациентов, и может влиять на общее качество жизни. Полная адентия — это необратимое состояние, наиболее распространенное среди пожилого населения; уровень распространенности значительно варьируется между странами и регионами.
В ответ на это состояние пациенты часто выбирают замену отсутствующих зубов съемными протезами. Эти протезы могут вызывать различные проблемы, такие как поломка, потеря или нарушение функции. Функциональные проблемы с протезами могут даже стать причиной недоедания, проблем со здоровьем, избегания социальной активности, личного дискомфорта и психологического стресса.
CAD/CAM для съемного протезирования
Успех CAD/CAM в изготовлении несъемных протезов и реставраций на имплантатах стимулировал применение этих технологий в области съемного протезирования. Традиционно изготовление полных съемных протезов требует пяти ключевых этапов для достижения точности: предварительный оттиск, окончательный оттиск, регистрация прикуса, примерка расположения искусственных зубов и установка готового протеза. Использование CAD/CAM-технологий в съемном протезировании предлагает множество преимуществ, включая сокращение количества визитов пациента в клинику, лучшую экономическую эффективность и снижение риска перекрестного загрязнения. Оно позволяет сохранять клинические данные для изготовления запасного или нового протеза при необходимости. Кроме того, оцифровка беззубых дуг может улучшить точность оттиска и исключить усадку полиметилметакрилата, наблюдаемую при традиционном изготовлении протезов. В целом, CAD/CAM-процедуры в съемном протезировании обеспечивают результаты, аналогичные или превосходящие традиционные методы, предлагая лучшую посадку, улучшенные механические свойства и более высокую удовлетворенность пациентов.
Техника снятия оттиска играет важную роль в изготовлении съемных протезов, так как она критична для последующей реакции опорных тканей. Теоретически, идеальный оттиск не вызывает компрессии или смещения, охватывает все беззубые участки и обеспечивает адаптацию протеза к структурам полости рта. Традиционные техники снятия оттиска включают мукостатические, функциональные и методы избирательного давления. Однако клинический процесс изготовления протеза обычно включает комбинацию методов, а не использование каждого из них по отдельности. Повседневная практика предполагает применение принципов каждой техники в комбинации для достижения желаемого результата.
Мукостатическая или безнапорная техника регистрирует ткани в пассивном состоянии. Эта техника полагается на межфазное натяжение как единственный механизм удержания будущего протеза. Функциональная техника снятия оттиска, как следует из названия, выполняется, когда пациент оказывает жевательное давление при желаемой окклюзионной высоте. Эта техника предполагает использование индивидуальной ложки, позволяющей пациенту смыкать зубы на противоположной дуге или окклюзионном валике. В отличие от других методов, оттиск снимается, когда ткани и мышцы функционируют. Однако утверждается, что постоянное давление на ткани приводит к ускоренной резорбции кости. Наконец, техника селективного давления сочетает элементы двух вышеупомянутых методов: некоторые участки регистрируются с минимальным давлением, а другие — под давлением.
В отличие от традиционных техник, миофункциональная методика основана на совершенно другом принципе. Она предполагает использование материала для адаптации тканей в модифицированном протезе, который формируется мускулатурой пациента с течением времени. Этот подход обеспечивает высокоточное и комфортное воспроизведение структур полости рта. Однако главным недостатком является необходимость сдачи протеза для перебазировки, что делает его менее долговечным.
Технология CAD/CAM теперь позволяет специалистам комбинировать лучшие аспекты каждой техники снятия оттиска для создания более качественного, долговечного и воспроизводимого протеза для пациентов.
Планирование лечения при различных условиях
Литература изобилует статьями о цифровом сканировании мягких тканей пациентов и изготовлении протезов с нуля. Однако пациенты не всегда полностью беззубы. Они обращаются в клиники с разными состояниями, которые можно разделить на три категории:
- терминальное состояние зубов, требующее удаления и немедленной установки протеза;
- наличие эстетически приемлемого, но плохо подогнанного и неудобного протеза;
- наличие неприемлемого протеза, который больше нельзя использовать.
Вместо того чтобы каждый раз «изобретать велосипед» и начинать с нуля, можно использовать комбинированный цифровой и традиционный рабочий процесс для лечения каждого из этих состояний и создания эффективного процесса изготовления протезов.
Требуется первичное изготовление протезов
В этом случае необходимо создать протез для немедленной установки. Процесс включает регистрацию фотографий пациента (улыбка, вид сбоку), внутриротовое цифровое сканирование полости рта в состоянии покоя и получение межокклюзионного оттиска (прикуса) с использованием положения и формы оставшихся зубов. Остальная работа может быть выполнена в цифровой лаборатории или традиционно на физической модели. Зубы могут быть удалены цифровым способом в лаборатории или физически на напечатанной модели.
Затем изготавливается протез с укороченными границами, используя положение исходных зубов, сохраняя исходную высоту прикуса и форму зубов или, при желании, включая новую, более эстетичную форму. В стоматологическом кабинете после удаления зубов новые протезы с мягкой подкладкой устанавливаются пациенту, как это делается при традиционном изготовлении немедленных протезов.
Пациент должен адаптироваться к новому протезу, а мягкие ткани и кость должны зажить. Исходное сканирование пациента аналогично мукостатическому оттиску, так как фиксирует ткани в ненапряженном состоянии. Однако мягкая подкладка аналогична функциональному оттиску, который формируется при сомкнутом рте. После заживления протез перебазируют с использованием материала для функционального оттиска, и пациента отправляют домой. После окончательного формирования контуров протез сканируют, и изготавливают окончательный протез, который затем устанавливают пациенту.
Пациент с приемлемыми, но неудобными протезами
Такие случаи обычно включают опытных пользователей протезов со старыми конструкциями или пациентов, которым требуется окончательный протез после предыдущего лечения с немедленной установкой временного протеза. В этом случае приемлемый протез модифицируется и перебазируется материалом для функционального оттиска, таким как Hydro-Cast (Sultan Healthcare) или Lynal (Dentsply Sirona). Пациент использует протез в течение рекомендованного времени, что приводит к получению точного миофункционального оттиска.
Однако вместо традиционной перебазировки в лаборатории, отсканированный протез используется для изготовления нового методом фрезерования. Преимущества этого подхода: пациент сохраняет оригинальный протез для экстренных случаев, а новый протез лишен проблем, связанных с химической перебазировкой и усадкой материала, обеспечивая более долговечный результат. Исследования показывают, что «CAD/CAM-обработанные композиты содержат меньше остаточного мономера, чем традиционные термически обработанные композиты».
Пациент с неприемлемыми протезами
Пациенты часто обращаются с плохо подогнанными протезами, которые эстетически или функционально неприемлемы. В таких случаях вместо начала с нуля клиницист может использовать старые протезы для коррекции границ и регистрации параметров. Это можно сделать с помощью традиционных материалов для оттиска или материалов для мягкой перебазировки в стоматологическом кабинете. Протезы со скоректированными границами используют для получения нужной окклюзионной высоты и регистрации надлежащего положения зубов. Корректированные протезы сканируются и виртуально артикулируются. Затем специалист может придать зубам идеальное положение, скорректировать границы протеза и повторить процесс, как описано во втором сценарии.
Во всех трех процедурах протез не отправляется в лабораторию, что снижает риск загрязнения. Протез перемещается только от места производства к пациенту. Кроме того, стоимость фрезерования нового протеза значительно ниже, чем стоимость традиционной перебазировки.
Описание клинических случаев
Клинический случай 1
Этот случай соответствует первым двум сценариям: пациентке впервые изготовили полные съемные протезы для немедленной установки, а после заживления они были использованы для создания окончательного протеза.
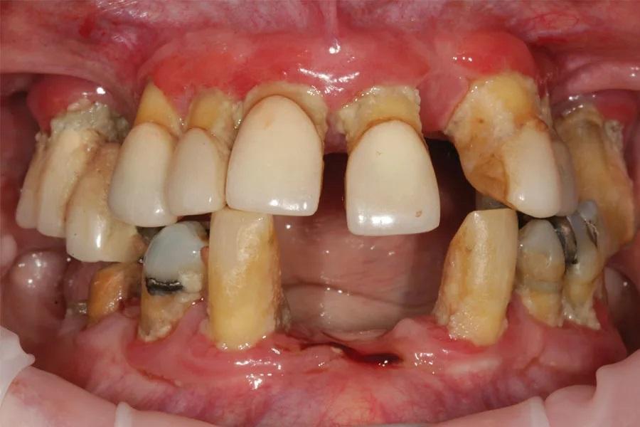
В апреле 2017 года 74-летняя пациентка обратилась с жалобой на то, что «все шатается» (Фото 1 и Фото 2). В анамнезе — гипертония и лечение рака груди в 2002 году с удалением левой молочной железы, но противопоказаний к стоматологическому лечению не было. Пациентка принимала Avapro и Pravachol и имела аллергию на пенициллин.
Фото 1: Клинический случай 1. Состояние пациентки при обращении.
Фото 2: Рентгенограмма до лечения.
Пациентка испытывала сильный страх перед стоматологическим лечением, что усугубило состояние ее зубов. У нее были частичные съемные протезы на верхней и нижней челюстях, а оставшиеся зубы имели запущенный пародонтит, кариес и подвижность. На панорамном снимке все зубы были признаны не подлежащими восстановлению (Фото 2). Учитывая финансовые ограничения и страх перед хирургическим лечением с установкой имплантатов, было принято решение о цифровом изготовлении немедленных протезов. После заживления тканей временные протезы должны были быть заменены на окончательные. Из-за страха пациентка вернулась к лечению только через 3 года.
Поскольку все зубы были поражены пародонтитом, традиционные альгинатные оттиски для индивидуальных ложек было невозможно сделать без риска удаления зубов вместе с оттиском. Традиционная методика предполагает удаление всех боковых зубов, заживление тканей, регистрацию окклюзионной высоты с помощью восковых валиков и только затем изготовление протезов. Этот процесс требует много времени, и пациент остается без зубов на длительный период, что усугубляет страх.
Цифровые технологии позволяют ускорить лечение: все зубы удаляются за один визит, и протезы устанавливаются сразу. С помощью внутриротового сканера (TRIOS) были отсканированы зубы и ткани, а также зарегистрирован прикус (Фото 3). По цифровому протоколу CAD/CAM (3Shape) были изготовлены протезы с укороченными границами. Вся информация об окклюзионной высоте и положении зубов была получена из 3D-сканирования и регистрации прикуса на первом визите. Клинические данные и фотографии были отправлены в лабораторию. Через две недели все зубы были удалены (Фото 4 и Фото 5), и пациентке установили протезы с мягкой подкладкой (COE-SOFT) (Фото 6).
Фото 3: Сканирование зубов, тканей и регистрация прикуса.
Фото 4: Удаление всех зубов.
Фото 5: Рентгенограмма после удаления зубов.
Фото 6: Установка протезов с мягкой подкладкой.
Далее следовал традиционный протокол для немедленных протезов с последующими визитами для коррекции.
После полного заживления тканей (примерно через 6 месяцев) мягкая подкладка была удалена, и протезы были перебазированы материалом Hydro-Cast для функционального оттиска. Пациентка носила протезы 2 недели, после чего излишки материала были удалены, и протезы отсканировали для изготовления окончательных конструкций (Фото 7).
Фото 7: Отсканированные протезы с материалом для функционального оттиска.
Процесс изготовления переходных и окончательных зубных протезов был начат с помощью 3D-интраорального оптического сканирования в середине февраля 2020 года и завершен во время пандемии COVID, когда в начале марта 2021 года были доставлены окончательные зубные протезы (Фото 8 и Фото 9). Пациентка посещала кабинет врача в общей сложности 10 раз, включая два отдельных хирургических визита (по одному на каждую дугу) и все послеоперационные и корректирующие визиты. Это также включало в себя изготовление и поставку временных зубных протезов, заживление мягких и твердых тканей, функциональные оттиски и поставку окончательных зубных протезов. Для сравнения, традиционное поэтапное удаление боковых зубов, регистрация данных и обычные слепки для временных протезов привели бы к гораздо большему количеству посещений, и пациентке пришлось бы длительное время терпеть неудобства, связанные с отсутствием большинства зубов, пока изготавливались временные протезы.
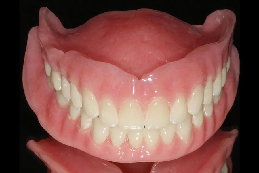
Фото 8: Окончательные протезы.
Фото 9: Установка протезов. Пациентка довольна эстетическим и функциональным результатом.
Пациентка осталась довольна результатом, отметила уменьшение страха перед стоматологией и рассматривала возможность установки имплантатов для покрывного протеза нижней челюсти. Она также с энтузиазмом оценила сокращение количества визитов и снижение риска инфицирования. Протезы имели отличную посадку, стабильную окклюзию и удовлетворительную эстетику. Пациентка была рада, что у нее есть копия протезов на случай чрезвычайной ситуации.
Клинический случай 2
В данном случае в качестве примера можно привести пациента, у которого были плохо подогнанные зубные протезы, которые невозможно было использовать, – 74-летнего мужчину с обширным анамнезом, включая хроническую обструктивную болезнь легких, сердечный стент и артрит. Лекарственные препараты включали Brilinta, метопролол, аторвастатин, лизиноприл и преднизолон; однако, по результатам консультаций с врачами пациента, противопоказаний к лечению зубов не было. При клиническом осмотре были обнаружены рассасывающиеся выступы с незначительным ороговением слизистой оболочки. У пациента была пара плохо подогнанных, крайне неэстетичных зубных протезов на верхней и нижней челюсти, которые были изготовлены много лет назад и не подлежали повторному использованию. План лечения включал в себя установку нового полного зубного протеза с использованием цифрового протокола протезирования по технологии CAD/CAM (3Shape).
Были выполнены цифровые сканы верхней и нижней челюстей для мукостатического оттиска (Фото 10 и Фото 11). Основания зубных протезов с укороченными краями были изготовлены по напечатанным моделям и поставлялись с восковыми окклюзионными валиками. Окклюзионная высота, эстетика и фонетика были оценены традиционным образом, все эти аспекты были зафиксированы на восковых валиках. Была проведена традиционная примерка расположения зубов, и зубные протезы были установлены с материалом для функциональных оттисков. Через 1 неделю на кратковременные мягкие вкладыши обоих зубных протезов был нанесен жидкий пластификатор (тканевый кондиционер) (Hydro-Cast) для облегчения формования в соответствии с протоколом производителя (Фото 12). Еще через неделю с помощью сканера TRIOS было выполнено окончательное цифровое сканирование сформованных зубных протезов, скан был отправлен в электронном виде в лабораторию для дублирования. Конечно, в этом случае возможна передача зубных протезов для замены, но в этом нет необходимости, поскольку оригинальные зубные протезы, использованные при изготовлении, могут быть использованы повторно для получения миофункционального слепка в будущем, когда понадобятся новые зубные протезы.
Фото 10 и Фото 11. Клинический случай 2. Цифровые сканы верхней (Фото 10) и нижней (Фото 11) челюстей в аналоговом процессе для получения мукостатического оттиска.
Фото 12: Коррекция протезов после примерки.
Установка протезов прошла успешно: проверена посадка, окклюзия, фонетика и эстетика (Фото 13). Протезы хорошо фиксировались, не вызывали дискомфорта, а окклюзия была равномерной. Оба зубных протеза были очень стабильными. Паста для измерения давления не выявила пятен от давления. Окклюзию оценивали как визуально, так и с помощью артикуляционной бумаги. Контакты были равными и хорошо распределенными. Проверка фонетики выявила небольшую шепелявость, но она не была сочтена чрезмерной и практически отсутствовала при повторном прослушивании через 3 дня.
Фото 13: Протезы готовы к установке.
Пациент был очень доволен эстетикой и комфортом в день установкой (Фото 14). На контрольном осмотре через 2 недели была выполнена небольшая коррекция. Пациент остался доволен опытом использования протокола цифрового протезирования CAD/CAM. Протезы имели отличную посадку, стабильную окклюзию и удовлетворительную эстетику. Более того, пациент был рад узнать, что у него есть копия зубного протеза для дальнейшего использования в случае необходимости.
Фото 14: Эстетический результат в день установки. Пациент сообщил о полном комфорте и удовлетворении.
Обсуждение
С увеличением продолжительности жизни распространенность адентии растет. Традиционные методы изготовления съемных протезов, разработанные десятилетия назад, уступают по эффективности CAD/CAM-технологиям. Цифровые методы сокращают количество визитов, время лечения и риск инфицирования, а также открывают новые возможности в протоколах протезирования.
Различные техники снятия оттисков для съемных протезов доказали свою эффективность. Важным аспектом является реакция опорных тканей, особенно при полных съемных протезах. Сегодня важно использовать методики, удобные для пациента и точно регистрирующие анатомические ориентиры. CAD/CAM-технологии сокращают количество визитов и повышают экономическую эффективность.
Техника селективного давления, описанная Boucher в 1950 году, основана на принципе регистрации тканей, наиболее устойчивых к нагрузке, под давлением, а остальных — в состоянии покоя. Эти ткани фиксируют при незначительном надавливании, в то время как другие ткани фиксируют в состоянии покоя или при облегчении давления. минимальное давление в положении, обеспечивающем равновесие между эластичными и неэластичными тканями. Этот вид оттиска предполагает взаимодействие тканей и оттискного материала с использованием традиционной технологии изготовления зубных протезов методом выборочного давления.
Традиционные методы классифицируются как мукокомпрессивные (регистрация тканей под нагрузкой) или мукостатические (в покое), но ни один из них не учитывает временные затраты. Традиционно технике избирательного надавливания уделяется гораздо больше внимания в литературе и стоматологическом образовании. Однако, как правило, для этого требуется пять основных посещений, о которых говорилось ранее, и процедура более сложная, если необходимо выполнить удаление зубов и решить другие проблемы. И наоборот, миофункциональный метод снятия слепков, который может быть выполнен при ношении пациентом существующих зубных протезов с использованием оттискного материала для кондиционирования тканей, представляет собой значительное преимущество.
При использовании техники миофункционального оттиска отпадает необходимость в изготовлении по индивидуальных бортиков ложек для предварительного оттиска. Самый сложный и трудоемкий этап обработки – формовка бортика и окончательный оттиск – обходится стороной. На смену ему пришел более удобный для пользователя и пациента процесс, который позволяет получить гораздо более точное изображение опорных конструкций, а также более точное выдвижение фланцев по мере того, как мышцы формируют протез в нужном положении. С точки зрения логистики, это перекладывает процесс получения отпуска на пациента дома, а не в кабинете врача. Самое главное, это позволяет стоматологу решить, следует ли заново выровнять зубной протез или просто отсканировать и приступить к изготовлению более прочного дубликата зубного протеза. С экономической точки зрения цифровое копирование зубного протеза более экономично, чем традиционные этапы трудоемкого лабораторного изготовления зубных протезов.
Прежде всего, методика, описанная в этой статье, решает основную проблему цифровой методики получения оттиска: фиксацию функциональных границ зубного протеза. В то время как цифровое сканирование может зафиксировать твердое небо или ороговевшую часть зубного протеза нижней челюсти, невозможно зафиксировать функциональные границы зубного протеза, поскольку они подвижны. Использование комбинации предсказуемого миофункционального оттиска и цифровых технологий дает медицинским работникам возможность предоставлять предсказуемое, превосходное и экономически эффективное лечение пациентам и должно рассматриваться в качестве будущей стандартной операционной процедуры для съемного протезирования зубов CAD/CAM.
Вывод
Интеграция технологии CAD/CAM в съемное протезирование зубов знаменует собой значительный прогресс в лечении адентии, предлагая как врачам, так и пациентам более эффективный, точный и экономичный подход к изготовлению зубных протезов. Сокращение количества визитов, уменьшение времени лечения и повышение точности посадки протезов делают цифровые методы революционными в сравнении с традиционными. Комбинация цифрового сканирования с миофункциональными техниками снятия оттиска обеспечивает универсальное решение проблем изготовления протезов, гарантируя превосходные результаты и высокую удовлетворенность пациентов.
Авторы:
Zev Kaufman, DDS
Klenise S. Paranhos, DDS, MS
Ludovic F. de Carle, DDS
Mary Kang, DDS



0 комментариев