В статье представлен случай реабилитации одной зубной дуги с интеграцией цифровых инструментов и традиционных методик. Системный подход был направлен на баланс функциональных, эстетических и финансовых аспектов у 45-летнего пациента с выраженными повреждениями зубов и окклюзионными нарушениями. Цифровые сканы и интраоральные мокапы улучшили коммуникацию с зуботехнической лабораторией. В рабочий процесс был включен второй комплект временных реставраций для уточнения формы окончательных конструкций. Итоговый результат обеспечил пациенту эстетично восстановленный зубной ряд, соответствующий его предпочтениям, без увеличения пародонтальных, функциональных и биомеханических рисков.
В данном случае желание пациента получить функциональную и эстетичную улыбку потребовало учета бюджета и отказа от ортодонтии. Клиническая оценка выявила ограниченный паттерн жевания, что требовало либо ортодонтического лечения, либо реставраций с увеличением вертикального размера окклюзии (ВРО) для достижения эстетических целей и коррекции функциональных проблем. Детальный сбор анамнеза и интервью позволили составить план, который удовлетворял целям пациента и снижал риск будущих осложнений. Для дополнительной настройки эстетики и оценки функции применялись длительные временные реставрации; их цифровые сканы, выполненные после одобрения пациентом, упростили точную передачу информации в лабораторию.
Краткая клиническая характеристика случая
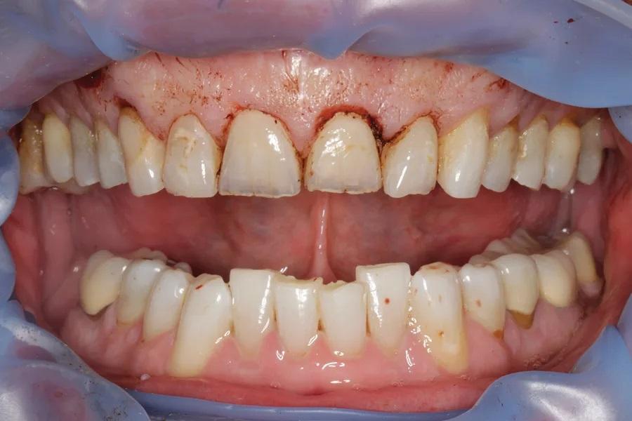
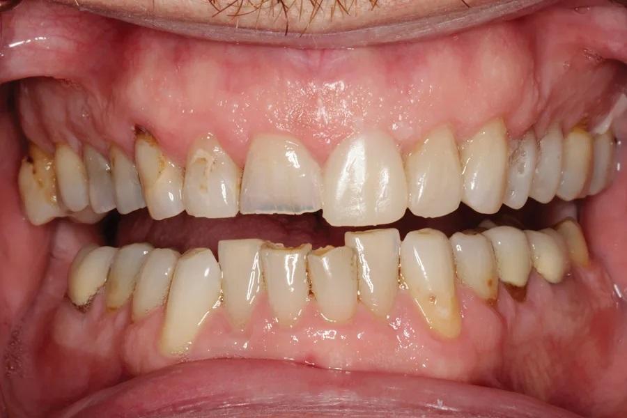
Мужчина, 45 лет. Основная жалоба — неловкость при улыбке из-за коротких, деформированных и измененных в цвете зубов. Обследование выявило гингивит с соответствующей потерей прикрепления, множественные кариозные поражения, износ зубов и реставраций (Фото 1 – Фото 3). Зафиксирован ограниченный паттерн жевания (ОПЖ), что определило умеренный функциональный риск и необходимость учета окклюзии в плане лечения.
Фото 1. Фото лица до лечения, улыбка.
Фото 2. Улыбка крупным планом до лечения.
Фото 3. Вид с ретракторами до лечения. Износ, истончение эмали, окрашивание зубов.
Цель — создать улыбку, которой пациент будет гордиться, не повышая риски будущих проблем. Предпочтения пациента: избегать ортодонтии и уложиться в финансовые рамки. Следуя всеобъемлющему системному подходу, была разработана стратегия для одной дуги, которая одновременно открывала ВРО и обеспечивала высокоэстетичный и стабильный результат.
Медицинский и стоматологический анамнез
Медицинский анамнез без особенностей. Общее состояние хорошее, медикаментозная терапия не требуется; ASA I.
Стоматологический анамнез. Перенесенный кариес, удаление зуба 4.7 из-за инфекции. Пациент осознает привычку ретротранспозиции нижней челюсти и бруксизма днем и ночью. Кроме того, он отмечал укорочение передних зубов.
Диагноз, оценка рисков и прогноз
Пародонт: Пациент не посещал стоматолога не менее 10 лет. У всех зубов — карманы ≥4 мм. Карманы 5 мм — у зубов 1.7–1.3, 2.3–2.7, 3.7, 3.6, 3.3, 3.2, 4.2, 4.5, 4.6. Карманы 6 мм — у зубов 1.6, 2.5, 3.7. У зуба 3.7 зарегистрирован карман 8 мм по дисто-буккальной поверхности, вероятно, изолированный дефект после удаления зуба 3.8. У боковых зубов — рецессия 1–2 мм, видимы цементно-эмалевые соединения по щечной поверхности.
Клиническая потеря прикрепления 3–4 мм, локально до 5–6 мм. Фуркации II степени у зубов 3.6 и 4.6. Генерализованно 20 участков кровоточивости при зондировании. Классификация AAP: стадия III, градация B (Фото 4).
Риск: высокий
Прогноз: удовлетворительный
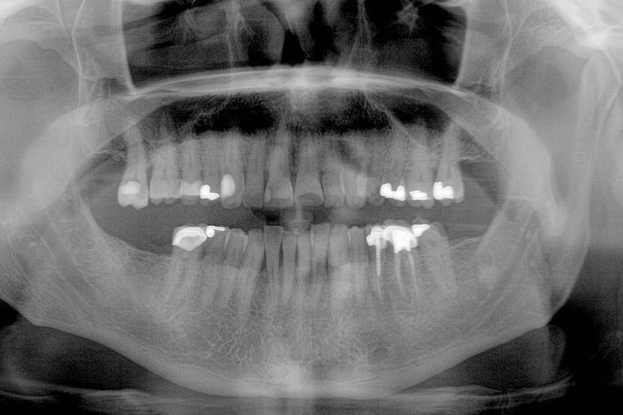
Фото 4. Панорамная рентгенограмма до лечения.
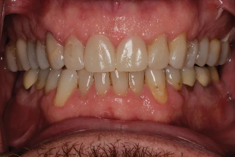
Биомеханика: Кариозные поражения: 1.6–1.3, 2.4, 2.5, 3.7, 3.5, 3.4, 4.4. Крупные реставрации: 1.7–1.3, 2.5–2.7, 3.7–3.5, 4.5, 4.6. Три зуба под коронками; эндодонтическое лечение ранее — 3.6 и 3.5. Зуб 3.7 — значительная утрата тканей. На передних зубах — умеренно-тяжелая атриция и эрозия. Ряд реставраций на 1.4, 2.3, 2.4, 3.7 — неудовлетворительное состояние/неудачные (Фото 5 и Фото 6).
Риск: высокий
Прогноз: безнадежный для зубов с кариесом; неблагоприятный для зубов с дефектными реставрациями/износом/трещинами.
Фото 5. Окклюзионный вид верхнечелюстной дуги до лечения. Обратите внимание на большие реставрации, истирание и эрозию.
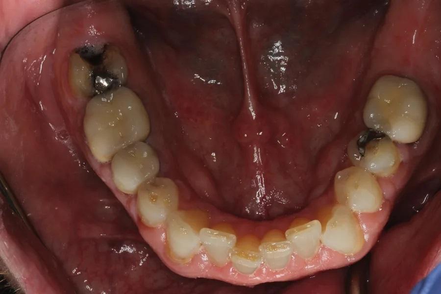
Фото 6. Окклюзионный вид нижнечелюстной дуги до лечения. Обратите внимание на умеренное истирание передних зубов и сломанный зуб 3.7.
Функция: Максимальное открывание 51 мм, латеральные движения 10 мм. Пациент отмечал «щелчки» в суставе, однако объективно шумов не выявлено; боли в мышцах нет; пробы на нагрузку и иммобилизацию — отрицательные. Со слов, «тянет челюсть назад и сжимает зубы» днем; замечает укорочение фронтальных зубов. Предварительный диагноз — ОПЖ, подтвержден с использованием шины Lucia и декпрограмматора Kois (Центр Kois).
Риск: умеренный.
Прогноз: удовлетворительный
Денто-фасциальные параметры: При полной (Дюшеновской) улыбке экспонируются коронки и десна до апикальных отделов; неравномерная десневая архитектура, особенно у зубов 1.1 и 2.1. Пациента не устраивают цвет и форма передних зубов.
Риск: высокий
Прогноз: удовлетворительный
Цели лечения
Цели лечения: стабилизировать пародонтальное состояние, снизить биомеханические и функциональные риски и создать естественно выглядящую эстетичную улыбку. Увеличение ВРО в адаптированном положении центрального соотношения (ЦС) должно снизить функциональный риск, расширив «жевательный конверт». Одновременно улучшить цвет и форму зубов.
План лечения
План лечения состоял из шести элементов:
- достичь здоровья десен, снизить кровоточивость и воспаление;
- сформировать воспроизводимую референсную позицию (адаптированное ЦС) для повышения ВРО на диагностической восковой модели;
- выполнить трансулькулярное (безлоскутное) удлинение клинической коронки зуба 2.1 для симметричных десневых уровней с зубом 1.1;
- восстановить верхнюю дугу коронками из литий-дисиликата с полным покрытием, устранив кариес и увеличив ВРО для коррекции ОПЖ;
- санировать нижнюю дугу прямыми/непрямыми реставрациями;
- организовать постлечебный контроль кариеса и состояния пародонта.
Этапы лечения
Этап 1. Пародонтальная терапия
Скейлинг всего рта, подробные инструкции по гигиене (включая чистку зубов щеткой и использование ирригатора). Назначен ополаскиватель (CTX-4, CariFree) и интервал поддерживающих визитов 1 раз в 3 месяца. Через 4 месяца состояние тканей улучшилось; пациент переведен на следующий этап.
Этап 2. Диагностические записи, декпрограмматор Kois, анализ, мокапа улыбки
Собраны рентгенограммы, фото, цифровые сканы. Первичную запись прикуса сделали с шиной Lucia. Первый контакт — на зубах 2.1 и 3.1. Заказан декпрограмматор Kois для релаксации мышц и более точной регистрации прикуса. Фото с лицевыми референс-очками Kois (Фото 7) позволили зафиксировать естественную позу головы и проанализировать положение/истирание зубов.
Фото 7. Вид с ретракторами и лицевыми референс-очками.
Сформированы несколько вариантов лечения. Фото-мокап из цифрового сервиса (Evident Hub, Центр Kois) продемонстрировал предлагаемую реставративную концепцию, помог определить желаемую длину и форму зубов и укрепил уверенность пациента до выполнения дорогостоящей лабораторной восковой модели. Ортодонтию как вариант коррекции функции и десневой асимметрии пациент отклонил.
Диагностический восковой шаблон выполнен по STL и цифровой артикуляции; оттиск с распечатанной модели позволил перенести бис-акриловый мокап в полость рта (Фото 8). Затем мокап частично удалили для демонстрации добавленной длины (Фото 9). Пациент утвердил план.
Фото 8. Бис-акриловый мокап на верхней дуге.
Фото 9. Правая половина мокапа удалена, показана добавленная длина слева.
Этап 3. Трансулькулярное удлинение клинической коронки зуба 2.1
Безлоскутное удлинение для выравнивания маргинального уровня зуба 1.1 (Фото 10). Скальпелем удалено 1 мм мягких тканей, затем стамеской KB-1 удалено достаточное количество кости от угла до угла для установления расстояния 3 мм от свободного десневого края до гребня кости.
Фото 10. Трансулькулярное удлинение клинической коронки зуба 2.1.
Этап 4. Препарирование, временные реставрации, регистрации прикуса
Пациент носил декпрограмматор Kois 1 неделю до визита. Препарированы зубы 1.7–1.3 и 2.3–2.7 под коронки из литий-дисиликата (PS e.max). Введен декпрограмматор; выполнены аналоговая (Futar, Kettenbach) и цифровая регистрации прикуса для фиксации адаптированного ЦС на увеличенном ВРО (лаборатория сравнивала их для контроля точности).
Затем были препарированы зубы 1.2–2.2 под литий-дисиликатныке коронки. После ретракции было проведено цифровое сканирование. Временные бис-акриловые реставрации (Luxatemp, оттенок B1, DMG America) (Фото 11) изготовлены по силиконовому ключу с распечатанной модели диагностической восковой модели и фиксированы временным композитным цементом (Temp-Bond Clear, Kerr).
Фото 11. Первый комплект бис-акриловых временных реставраций.
Этап 5. Оценка эстетики, модификация временных реставраций
Пациент пожелал небольшие изменения формы зубов 1.2–2.1: уменьшить промежутки между резцами, сгладить вестибулярную анатомию, сделать форму чуть более квадратной; выполнен новый скан для изготовления второго комплекта временных реставраций из ПММА. Новые временные реставрации были фиксированы (Фото 12); окклюзия уточнена до двусторонних одновременных контактов без помех в жевательном конверте.
Фото 12. Второй комплект временных реставраций из ПММА.
Через 4 недели пациент подтвердил комфорт и эстетику; выполнен скан для точного воспроизведения формы в финальных реставрациях. Коронки из лития-дисиликата (IPS e.max) были выбраны из-за их консервативных требований к препрарированию и превосходной эстетики.
Этап 6. Фиксация окончательных реставраций
Зубы обработаны микроабразивно оксидом алюминия с размером частиц 27 мкм (PrepStart, Zest Dental Solutions). Реставрации подготовлены в лаборатории (соляная кислота + силановый праймер (RelyX Ceramic Primer Silane, 3M Oral Care)). После примерки и одобрения пациентом реставрации очищены 37% ортофосфорной кислотой и повторно силанированы. Фиксация — самоклеящимся композитным цементом (Rely X Unicem 2, 3M Oral Care) (Фото 13). Оценена окклюзия: в положении максимальной интеркуспидации при наклоне кресла 45° — двусторонние одновременные контакты; затем в положении сидя проведен функциональный тест с артикуляционной бумагой 200 мкм (удалены все синие штрихи, исключая трение в жевательном конверте).
Фото 13. Пациент в положении максимальной интеркуспидации: окончательные коронки из литий-дисиликата на 1.7–2.5.
Этап 7. Восстановление нижней дуги
После восстановления верхней дуги до требуемого ВРО пролечена нижняя дуга. Использованы коронки из литий-дисиликата на зубах 3.7 и 3.6; прямые композитные реставрации на зубах 3.4, 3.2–4.2, 4.4.
Этап 8. Постлечебный контроль кариеса и пародонта
С учетом пародонтальной восприимчивости необходима строгая гигиена и частые поддерживающие визиты: повтор обучения гигиене, интервал гигиены 1 раз в 4 месяца, ежедневная паста с 5000 ppm фторида (CTX-4, CariFree) и фторлак 2 раза в год для снижения риска кариеса.
Обсуждение
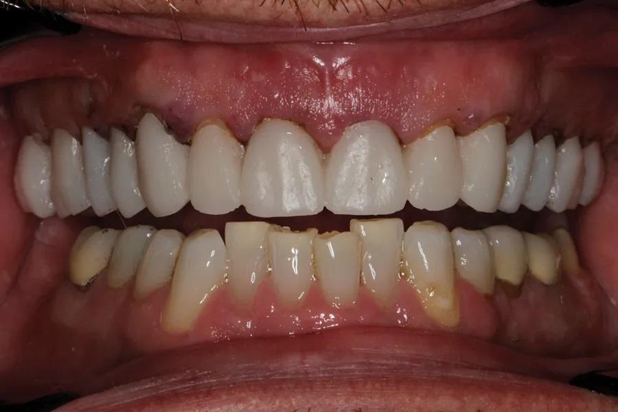
При реабилитации одной дуги точный диагноз и понимание ожиданий пациента критически важны для составления плана. После верификации ОЖП окклюзию необходимо было скорректировать для долговечности реставраций. Возможен был ортодонтический подход (увеличение ВРО за счет экструзии моляров одной из дуг, интрузии 3.3–3.2–3.1–4.1–4.2 и/или прогнатизации 1.2–2.2), но пациент категорически отказался от ортодонтии. Поскольку верхние зубы имели крупные дефектные реставрации и были структурно ослаблены, полноокрывающие коронки на весь верхний ряд стали разумным решением: они поддерживали ослабленные зубы (снижение биомеханического риска), увеличивали ВРО для коррекции ОЖП и обеспечивали желаемую эстетику (Фото 14 – Фото 17).
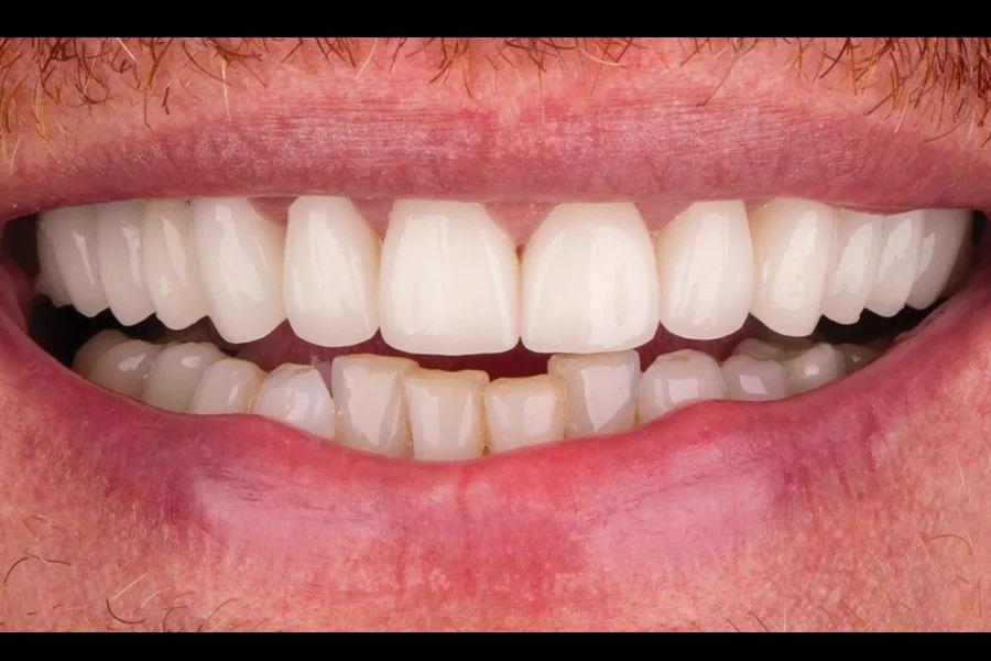
Фото 14. Вид после лечения, зубы разобщены.
Фото 15. Улыбка после лечения, крупный план.
Фото 16. Верхняя дуга до (верх) и после (низ) лечения.
Фото 17. Полная улыбка после лечения.
Выводы
При сочетании выраженного разрушения зубов и окклюзионных нарушений тщательная диагностика и оценка рисков помогают выбрать оптимальные варианты лечения. Использование традиционных и цифровых методов для демонстрации этих вариантов до изготовления окончательных реставраций — эффективный способ достижения эстетических целей пациента. В данном случае уточнение окклюзии и эстетики вторым комплектом временных реставраций улучшило коммуникацию с лабораторией. Системный подход к планированию и детализированная передача информации обеспечили не только отличный эстетический результат, но и снижение риска будущих проблем.
Автор: Wade Kifer, DDS
В статье представлен случай реабилитации одной зубной дуги с интеграцией цифровых инструментов и традиционных методик. Системный подход был направлен на баланс функциональных, эстетических и финансовых аспектов у 45-летнего пациента с выраженными повреждениями зубов и окклюзионными нарушениями. Цифровые сканы и интраоральные мокапы улучшили коммуникацию с зуботехнической лабораторией. В рабочий процесс был включен второй комплект временных реставраций для уточнения формы окончательных конструкций. Итоговый результат обеспечил пациенту эстетично восстановленный зубной ряд, соответствующий его предпочтениям, без увеличения пародонтальных, функциональных и биомеханических рисков.
В данном случае желание пациента получить функциональную и эстетичную улыбку потребовало учета бюджета и отказа от ортодонтии. Клиническая оценка выявила ограниченный паттерн жевания, что требовало либо ортодонтического лечения, либо реставраций с увеличением вертикального размера окклюзии (ВРО) для достижения эстетических целей и коррекции функциональных проблем. Детальный сбор анамнеза и интервью позволили составить план, который удовлетворял целям пациента и снижал риск будущих осложнений. Для дополнительной настройки эстетики и оценки функции применялись длительные временные реставрации; их цифровые сканы, выполненные после одобрения пациентом, упростили точную передачу информации в лабораторию.
Краткая клиническая характеристика случая
Мужчина, 45 лет. Основная жалоба — неловкость при улыбке из-за коротких, деформированных и измененных в цвете зубов. Обследование выявило гингивит с соответствующей потерей прикрепления, множественные кариозные поражения, износ зубов и реставраций (Фото 1 – Фото 3). Зафиксирован ограниченный паттерн жевания (ОПЖ), что определило умеренный функциональный риск и необходимость учета окклюзии в плане лечения.
Фото 1. Фото лица до лечения, улыбка.
Фото 2. Улыбка крупным планом до лечения.
Фото 3. Вид с ретракторами до лечения. Износ, истончение эмали, окрашивание зубов.
Цель — создать улыбку, которой пациент будет гордиться, не повышая риски будущих проблем. Предпочтения пациента: избегать ортодонтии и уложиться в финансовые рамки. Следуя всеобъемлющему системному подходу, была разработана стратегия для одной дуги, которая одновременно открывала ВРО и обеспечивала высокоэстетичный и стабильный результат.
Медицинский и стоматологический анамнез
Медицинский анамнез без особенностей. Общее состояние хорошее, медикаментозная терапия не требуется; ASA I.
Стоматологический анамнез. Перенесенный кариес, удаление зуба 4.7 из-за инфекции. Пациент осознает привычку ретротранспозиции нижней челюсти и бруксизма днем и ночью. Кроме того, он отмечал укорочение передних зубов.
Диагноз, оценка рисков и прогноз
Пародонт: Пациент не посещал стоматолога не менее 10 лет. У всех зубов — карманы ≥4 мм. Карманы 5 мм — у зубов 1.7–1.3, 2.3–2.7, 3.7, 3.6, 3.3, 3.2, 4.2, 4.5, 4.6. Карманы 6 мм — у зубов 1.6, 2.5, 3.7. У зуба 3.7 зарегистрирован карман 8 мм по дисто-буккальной поверхности, вероятно, изолированный дефект после удаления зуба 3.8. У боковых зубов — рецессия 1–2 мм, видимы цементно-эмалевые соединения по щечной поверхности.
Клиническая потеря прикрепления 3–4 мм, локально до 5–6 мм. Фуркации II степени у зубов 3.6 и 4.6. Генерализованно 20 участков кровоточивости при зондировании. Классификация AAP: стадия III, градация B (Фото 4).
Риск: высокий
Прогноз: удовлетворительный
Фото 4. Панорамная рентгенограмма до лечения.
Биомеханика: Кариозные поражения: 1.6–1.3, 2.4, 2.5, 3.7, 3.5, 3.4, 4.4. Крупные реставрации: 1.7–1.3, 2.5–2.7, 3.7–3.5, 4.5, 4.6. Три зуба под коронками; эндодонтическое лечение ранее — 3.6 и 3.5. Зуб 3.7 — значительная утрата тканей. На передних зубах — умеренно-тяжелая атриция и эрозия. Ряд реставраций на 1.4, 2.3, 2.4, 3.7 — неудовлетворительное состояние/неудачные (Фото 5 и Фото 6).
Риск: высокий
Прогноз: безнадежный для зубов с кариесом; неблагоприятный для зубов с дефектными реставрациями/износом/трещинами.
Фото 5. Окклюзионный вид верхнечелюстной дуги до лечения. Обратите внимание на большие реставрации, истирание и эрозию.
Фото 6. Окклюзионный вид нижнечелюстной дуги до лечения. Обратите внимание на умеренное истирание передних зубов и сломанный зуб 3.7.
Функция: Максимальное открывание 51 мм, латеральные движения 10 мм. Пациент отмечал «щелчки» в суставе, однако объективно шумов не выявлено; боли в мышцах нет; пробы на нагрузку и иммобилизацию — отрицательные. Со слов, «тянет челюсть назад и сжимает зубы» днем; замечает укорочение фронтальных зубов. Предварительный диагноз — ОПЖ, подтвержден с использованием шины Lucia и декпрограмматора Kois (Центр Kois).
Риск: умеренный.
Прогноз: удовлетворительный
Денто-фасциальные параметры: При полной (Дюшеновской) улыбке экспонируются коронки и десна до апикальных отделов; неравномерная десневая архитектура, особенно у зубов 1.1 и 2.1. Пациента не устраивают цвет и форма передних зубов.
Риск: высокий
Прогноз: удовлетворительный
Цели лечения
Цели лечения: стабилизировать пародонтальное состояние, снизить биомеханические и функциональные риски и создать естественно выглядящую эстетичную улыбку. Увеличение ВРО в адаптированном положении центрального соотношения (ЦС) должно снизить функциональный риск, расширив «жевательный конверт». Одновременно улучшить цвет и форму зубов.
План лечения
План лечения состоял из шести элементов:
- достичь здоровья десен, снизить кровоточивость и воспаление;
- сформировать воспроизводимую референсную позицию (адаптированное ЦС) для повышения ВРО на диагностической восковой модели;
- выполнить трансулькулярное (безлоскутное) удлинение клинической коронки зуба 2.1 для симметричных десневых уровней с зубом 1.1;
- восстановить верхнюю дугу коронками из литий-дисиликата с полным покрытием, устранив кариес и увеличив ВРО для коррекции ОПЖ;
- санировать нижнюю дугу прямыми/непрямыми реставрациями;
- организовать постлечебный контроль кариеса и состояния пародонта.
Этапы лечения
Этап 1. Пародонтальная терапия
Скейлинг всего рта, подробные инструкции по гигиене (включая чистку зубов щеткой и использование ирригатора). Назначен ополаскиватель (CTX-4, CariFree) и интервал поддерживающих визитов 1 раз в 3 месяца. Через 4 месяца состояние тканей улучшилось; пациент переведен на следующий этап.
Этап 2. Диагностические записи, декпрограмматор Kois, анализ, мокапа улыбки
Собраны рентгенограммы, фото, цифровые сканы. Первичную запись прикуса сделали с шиной Lucia. Первый контакт — на зубах 2.1 и 3.1. Заказан декпрограмматор Kois для релаксации мышц и более точной регистрации прикуса. Фото с лицевыми референс-очками Kois (Фото 7) позволили зафиксировать естественную позу головы и проанализировать положение/истирание зубов.
Фото 7. Вид с ретракторами и лицевыми референс-очками.
Сформированы несколько вариантов лечения. Фото-мокап из цифрового сервиса (Evident Hub, Центр Kois) продемонстрировал предлагаемую реставративную концепцию, помог определить желаемую длину и форму зубов и укрепил уверенность пациента до выполнения дорогостоящей лабораторной восковой модели. Ортодонтию как вариант коррекции функции и десневой асимметрии пациент отклонил.
Диагностический восковой шаблон выполнен по STL и цифровой артикуляции; оттиск с распечатанной модели позволил перенести бис-акриловый мокап в полость рта (Фото 8). Затем мокап частично удалили для демонстрации добавленной длины (Фото 9). Пациент утвердил план.
Фото 8. Бис-акриловый мокап на верхней дуге.
Фото 9. Правая половина мокапа удалена, показана добавленная длина слева.
Этап 3. Трансулькулярное удлинение клинической коронки зуба 2.1
Безлоскутное удлинение для выравнивания маргинального уровня зуба 1.1 (Фото 10). Скальпелем удалено 1 мм мягких тканей, затем стамеской KB-1 удалено достаточное количество кости от угла до угла для установления расстояния 3 мм от свободного десневого края до гребня кости.
Фото 10. Трансулькулярное удлинение клинической коронки зуба 2.1.
Этап 4. Препарирование, временные реставрации, регистрации прикуса
Пациент носил декпрограмматор Kois 1 неделю до визита. Препарированы зубы 1.7–1.3 и 2.3–2.7 под коронки из литий-дисиликата (PS e.max). Введен декпрограмматор; выполнены аналоговая (Futar, Kettenbach) и цифровая регистрации прикуса для фиксации адаптированного ЦС на увеличенном ВРО (лаборатория сравнивала их для контроля точности).
Затем были препарированы зубы 1.2–2.2 под литий-дисиликатныке коронки. После ретракции было проведено цифровое сканирование. Временные бис-акриловые реставрации (Luxatemp, оттенок B1, DMG America) (Фото 11) изготовлены по силиконовому ключу с распечатанной модели диагностической восковой модели и фиксированы временным композитным цементом (Temp-Bond Clear, Kerr).
Фото 11. Первый комплект бис-акриловых временных реставраций.
Этап 5. Оценка эстетики, модификация временных реставраций
Пациент пожелал небольшие изменения формы зубов 1.2–2.1: уменьшить промежутки между резцами, сгладить вестибулярную анатомию, сделать форму чуть более квадратной; выполнен новый скан для изготовления второго комплекта временных реставраций из ПММА. Новые временные реставрации были фиксированы (Фото 12); окклюзия уточнена до двусторонних одновременных контактов без помех в жевательном конверте.
Фото 12. Второй комплект временных реставраций из ПММА.
Через 4 недели пациент подтвердил комфорт и эстетику; выполнен скан для точного воспроизведения формы в финальных реставрациях. Коронки из лития-дисиликата (IPS e.max) были выбраны из-за их консервативных требований к препрарированию и превосходной эстетики.
Этап 6. Фиксация окончательных реставраций
Зубы обработаны микроабразивно оксидом алюминия с размером частиц 27 мкм (PrepStart, Zest Dental Solutions). Реставрации подготовлены в лаборатории (соляная кислота + силановый праймер (RelyX Ceramic Primer Silane, 3M Oral Care)). После примерки и одобрения пациентом реставрации очищены 37% ортофосфорной кислотой и повторно силанированы. Фиксация — самоклеящимся композитным цементом (Rely X Unicem 2, 3M Oral Care) (Фото 13). Оценена окклюзия: в положении максимальной интеркуспидации при наклоне кресла 45° — двусторонние одновременные контакты; затем в положении сидя проведен функциональный тест с артикуляционной бумагой 200 мкм (удалены все синие штрихи, исключая трение в жевательном конверте).
Фото 13. Пациент в положении максимальной интеркуспидации: окончательные коронки из литий-дисиликата на 1.7–2.5.
Этап 7. Восстановление нижней дуги
После восстановления верхней дуги до требуемого ВРО пролечена нижняя дуга. Использованы коронки из литий-дисиликата на зубах 3.7 и 3.6; прямые композитные реставрации на зубах 3.4, 3.2–4.2, 4.4.
Этап 8. Постлечебный контроль кариеса и пародонта
С учетом пародонтальной восприимчивости необходима строгая гигиена и частые поддерживающие визиты: повтор обучения гигиене, интервал гигиены 1 раз в 4 месяца, ежедневная паста с 5000 ppm фторида (CTX-4, CariFree) и фторлак 2 раза в год для снижения риска кариеса.
Обсуждение
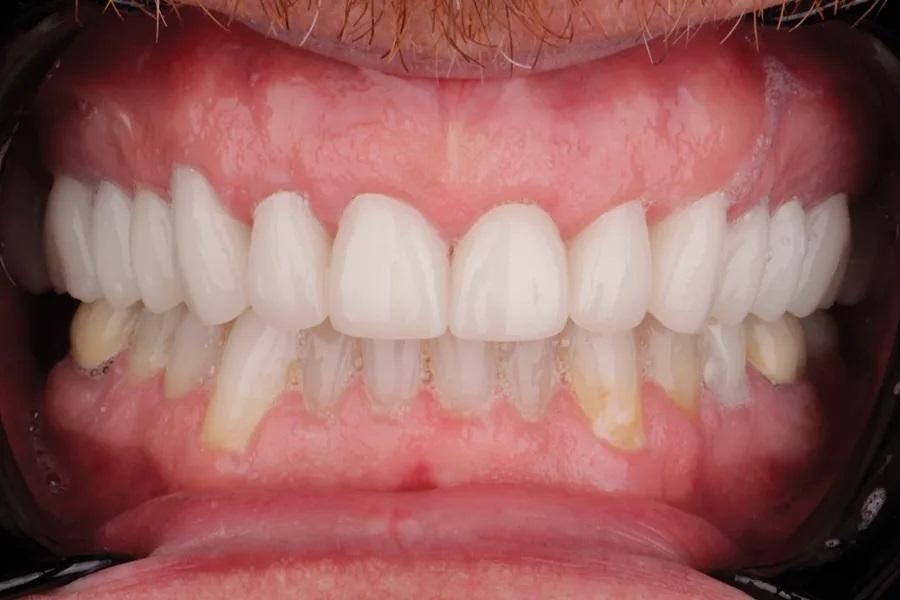
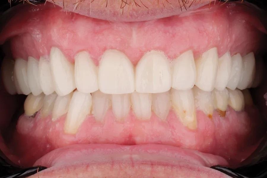
При реабилитации одной дуги точный диагноз и понимание ожиданий пациента критически важны для составления плана. После верификации ОЖП окклюзию необходимо было скорректировать для долговечности реставраций. Возможен был ортодонтический подход (увеличение ВРО за счет экструзии моляров одной из дуг, интрузии 3.3–3.2–3.1–4.1–4.2 и/или прогнатизации 1.2–2.2), но пациент категорически отказался от ортодонтии. Поскольку верхние зубы имели крупные дефектные реставрации и были структурно ослаблены, полноокрывающие коронки на весь верхний ряд стали разумным решением: они поддерживали ослабленные зубы (снижение биомеханического риска), увеличивали ВРО для коррекции ОЖП и обеспечивали желаемую эстетику (Фото 14 – Фото 17).
Фото 14. Вид после лечения, зубы разобщены.
Фото 15. Улыбка после лечения, крупный план.
Фото 16. Верхняя дуга до (верх) и после (низ) лечения.
Фото 17. Полная улыбка после лечения.
Выводы
При сочетании выраженного разрушения зубов и окклюзионных нарушений тщательная диагностика и оценка рисков помогают выбрать оптимальные варианты лечения. Использование традиционных и цифровых методов для демонстрации этих вариантов до изготовления окончательных реставраций — эффективный способ достижения эстетических целей пациента. В данном случае уточнение окклюзии и эстетики вторым комплектом временных реставраций улучшило коммуникацию с лабораторией. Системный подход к планированию и детализированная передача информации обеспечили не только отличный эстетический результат, но и снижение риска будущих проблем.
Автор: Wade Kifer, DDS



0 комментариев