У 58-летнего здорового мужчины с безупречной гигиеной полости рта и здоровыми пищевыми привычками развились кариозные поражения почти на каждом жевательном зубе, прилегающем к тому месту, где он обычно держал леденец с никотином без сахара.
«Врачи-стоматологи должны предупреждать пациентов, особенно с ксеростомией и обнажением корней зубов, о потенциальном риске развития кариеса, связанном с продуктами без сахара», - пишут авторы во главе с Корал Эрхардт, стоматологом-гигиенистом из семейной клиники Moellers & Moellers Family Dentistry (Айова).
Клинический случай
На обычном приеме у стоматолога пациент сообщил, что примерно за шесть недель до этого перестал использовать в курении бездымный табак и перешел на никотиновые леденцы без сахара. За исключением употребления бездымного табака в течение более чем 20 лет, у мужчины не было никаких серьезных заболеваний, он не употреблял отпускаемые по рецепту лекарства или рекреационные препараты и воздерживался от употребления алкоголя.
За последние 10 лет ему потребовалось всего две реставрации из-за кариеса. Согласно отчету, его стоматолог делал вертикальные рентгенограммы прикуса каждые 12-18 месяцев, а рентгенографическое обследование полости рта проводилось каждые три-пять лет в пародонтологическом кабинете.
На приеме вертикальные рентгенограммы прикуса клинически выявили область кариеса корня на мезиальной стороне зуба, которая через две недели была восстановлена. Авторы исследования отметили, что кариес располагался рядом с одним из мест, в которых пациент держал леденец для рассасывания.
Примерно через 19 месяцев ортопантомограмма выявила кариозные поражения на нескольких зубах. Два коренных зуба на верхней челюсти не поддавались восстановлению, и их пришлось удалить. На еще одном зубе было проведено эндодонтическое лечение и установлена металлокерамическая коронка.
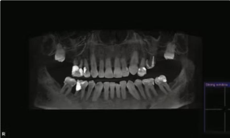
Панорамная рентгенограмма, сделанная перед удалением.
Кроме того, рентген выявил кариозные поражения на восьми других зубах. Все они были восстановлены. Однако всем им были прописаны рекомендации осторожности. Авторы пишут, что на всех реставрациях, установленных ранее, развился вторичный кариес, и реставрации были заменены по крайней мере один раз в течение следующих пяти лет.
Панорамная рентгенограмма после удаления всех жевательных зубов, за исключением первых нижних премоляров. Пораженные третьи моляры не были удалены из-за явного риска анкилоза и потенциального повреждения задней стенки и дна верхнечелюстной пазухи.
Далее было принято решение об удалении всех оставшихся коренных зубов и премоляров, кроме двух. После пациенту было установлено четыре имплантата, и было запланировано лечение укороченной зубной дуги.
Панорамная рентгенограмма после установки зубных имплантатов и планирования лечения укороченной зубной дуги.
Несмотря на эти проблемы, мужчина продолжает употреблять никотиновые леденцы, хотя и внес некоторые изменения, в том числе стал использовать леденцы меньшего размера, которые быстрее растворяются и не содержат мальтодекстрина, но содержат маннит. Кроме того, он пытается изолировать леденец от зубов, прижимая ее языком к небу. К сожалению, кариес остается проблемой по нескольким причинам, в том числе из-за того, что достаточное количество растворенного субстрата продолжает контактировать с его зубами, просачиваясь через беззубые и межзубные промежутки, пишут авторы.
Важная информация
Леденцы, которые употреблял этот пациент, содержат мальтодекстрин, полисахарид, и более 75% маннита в каждой. Авторы исследования пишут, что маннит и мальтодекстрин по своей природе являются углеводами и при определенных условиях могут образовывать кислоты в полости рта.
«Это тематическое исследование ставит под сомнение кариесогенный потенциал никотиновых пастилок, содержащих маннит и мальтодекстрин, и, в более широком смысле, ставит под сомнение стоматологическую безопасность действующих стандартов FDA по маркировке этих видов продуктов без сахара", - пишут Эрхардт и ее коллеги.
У 58-летнего здорового мужчины с безупречной гигиеной полости рта и здоровыми пищевыми привычками развились кариозные поражения почти на каждом жевательном зубе, прилегающем к тому месту, где он обычно держал леденец с никотином без сахара.
«Врачи-стоматологи должны предупреждать пациентов, особенно с ксеростомией и обнажением корней зубов, о потенциальном риске развития кариеса, связанном с продуктами без сахара», - пишут авторы во главе с Корал Эрхардт, стоматологом-гигиенистом из семейной клиники Moellers & Moellers Family Dentistry (Айова).
Клинический случай
На обычном приеме у стоматолога пациент сообщил, что примерно за шесть недель до этого перестал использовать в курении бездымный табак и перешел на никотиновые леденцы без сахара. За исключением употребления бездымного табака в течение более чем 20 лет, у мужчины не было никаких серьезных заболеваний, он не употреблял отпускаемые по рецепту лекарства или рекреационные препараты и воздерживался от употребления алкоголя.
За последние 10 лет ему потребовалось всего две реставрации из-за кариеса. Согласно отчету, его стоматолог делал вертикальные рентгенограммы прикуса каждые 12-18 месяцев, а рентгенографическое обследование полости рта проводилось каждые три-пять лет в пародонтологическом кабинете.
На приеме вертикальные рентгенограммы прикуса клинически выявили область кариеса корня на мезиальной стороне зуба, которая через две недели была восстановлена. Авторы исследования отметили, что кариес располагался рядом с одним из мест, в которых пациент держал леденец для рассасывания.
Примерно через 19 месяцев ортопантомограмма выявила кариозные поражения на нескольких зубах. Два коренных зуба на верхней челюсти не поддавались восстановлению, и их пришлось удалить. На еще одном зубе было проведено эндодонтическое лечение и установлена металлокерамическая коронка.
Панорамная рентгенограмма, сделанная перед удалением.
Кроме того, рентген выявил кариозные поражения на восьми других зубах. Все они были восстановлены. Однако всем им были прописаны рекомендации осторожности. Авторы пишут, что на всех реставрациях, установленных ранее, развился вторичный кариес, и реставрации были заменены по крайней мере один раз в течение следующих пяти лет.
Панорамная рентгенограмма после удаления всех жевательных зубов, за исключением первых нижних премоляров. Пораженные третьи моляры не были удалены из-за явного риска анкилоза и потенциального повреждения задней стенки и дна верхнечелюстной пазухи.
Далее было принято решение об удалении всех оставшихся коренных зубов и премоляров, кроме двух. После пациенту было установлено четыре имплантата, и было запланировано лечение укороченной зубной дуги.
Панорамная рентгенограмма после установки зубных имплантатов и планирования лечения укороченной зубной дуги.
Несмотря на эти проблемы, мужчина продолжает употреблять никотиновые леденцы, хотя и внес некоторые изменения, в том числе стал использовать леденцы меньшего размера, которые быстрее растворяются и не содержат мальтодекстрина, но содержат маннит. Кроме того, он пытается изолировать леденец от зубов, прижимая ее языком к небу. К сожалению, кариес остается проблемой по нескольким причинам, в том числе из-за того, что достаточное количество растворенного субстрата продолжает контактировать с его зубами, просачиваясь через беззубые и межзубные промежутки, пишут авторы.
Важная информация
Леденцы, которые употреблял этот пациент, содержат мальтодекстрин, полисахарид, и более 75% маннита в каждой. Авторы исследования пишут, что маннит и мальтодекстрин по своей природе являются углеводами и при определенных условиях могут образовывать кислоты в полости рта.
«Это тематическое исследование ставит под сомнение кариесогенный потенциал никотиновых пастилок, содержащих маннит и мальтодекстрин, и, в более широком смысле, ставит под сомнение стоматологическую безопасность действующих стандартов FDA по маркировке этих видов продуктов без сахара", - пишут Эрхардт и ее коллеги.



0 комментариев