Восемь ключевых аспектов реконструктивной терапии внутрикостных дефектов, связанных с периимплантитом
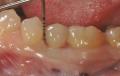
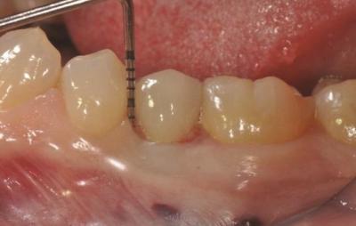
Периимплантит — это воспалительное состояние, опосредованное биопленкой, связанное с прогрессирующей потерей опорных тканей и представляющее значительную проблему для клиницистов во всем мире. Поскольку нехирургическая терапия обладает ограниченной эффективностью, для лечения этого заболевания часто требуется хирургическое вмешательство. В данной статье рассматриваются факторы, связанные с оператором, при лечении периимплантита, и представлен поэтапный подход к восьми ключевым аспектам успешного регенеративного/репаративного лечения дефектов при периимплантите. Эти ключевые аспекты направлены на оптимизацию клинических результатов для различных потребностей пациентов и анатомии дефектов. Они включают оценку опыта оператора, анализ рисков и дизайн имплантационной реставрации, а также нехирургические и хирургические методы лечения, такие как использование биологических материалов и их производных, послеоперационный протокол и индивидуальную программу пародонтального поддерживающего лечения. Соблюдение этих восьми ключевых аспектов позволяет клиницистам достичь успешных долгосрочных результатов при регенеративном лечении дефектов периимплантита.
