Резекция корня – это хирургическая процедура, направленная на удаление поврежденного корня многокорневого зуба, позволяющая сохранить его функциональность и здоровое состояние. Данная методика применяется при таких патологиях, как апикальный периодонтит, пародонтит с поражением корней и переломы корней, предлагая альтернативу экстракции с благоприятными долгосрочными показателями выживаемости до 90%. Ключевым фактором успеха является тщательный отбор случаев с учетом способности пациента поддерживать гигиену и возможных анатомических особенностей. Процедура включает удаление пораженного корня, придание зубу очищаемой формы и часто восстановление нижней поверхности для предотвращения рецидива кариеса. Пластика лунки способствует заживлению и облегчает возможную последующую установку имплантата. Успех лечения зависит от создания очищаемой формы зуба и поддержания безупречной гигиены. Резекция корня представляет собой экономически эффективную альтернативу имплантам, особенно для пациентов, которым противопоказано удаление, обеспечивая долгосрочное решение с меньшим количеством хирургических вмешательств и потенциальных осложнений.
Патологические состояния
Апикальный периодонтит, перирадикулярный периодонтит и маргинальный периодонтит являются патологическими процессами, которые часто приводят к потере зубов из-за утраты поддерживающей костной ткани и мягкотканного прикрепления. Корни зубов могут быть повреждены различными путями, но все они имеют схожий исход: воспалительную реакцию, ведущую к потере опорной кости.
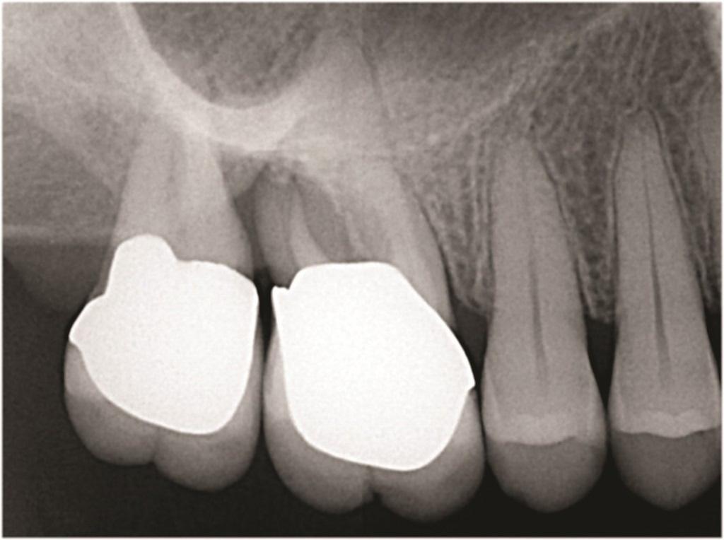
К таким патологическим состояниям относятся вертикальные переломы корней, перфорации корней, пародонтит с поражением корней из-за проблем в области фуркации или сближения корней, сочетанные эндодонтическо-пародонтальные дефекты на фоне коротких корней, устойчивые фуркационные дефекты, значительные не поддающиеся лечению внешние резорбтивные дефекты и другие (Фото 1–4). Когда подобные состояния затрагивают однокорневые зубы, удаление часто является единственным способом устранения патологии. Однако в случае многокорневых зубов существует дополнительная возможность: полное удаление источника патологии с одновременным сохранением функциональности зуба, что демонстрирует опубликованные показатели выживаемости на уровне 80–90%. При правильном выполнении с учетом описанных в статье факторов такое функциональное состояние может сохраняться в долгосрочной перспективе со средним сроком службы от 6 до 20 лет.
Фото 1: Зуб 1.6 с дистально-щечным корнем, демонстрирующим циркулярную потерю кости от уровня краевой кости до верхушки при стабильных мезиально-щечном и небном корнях.
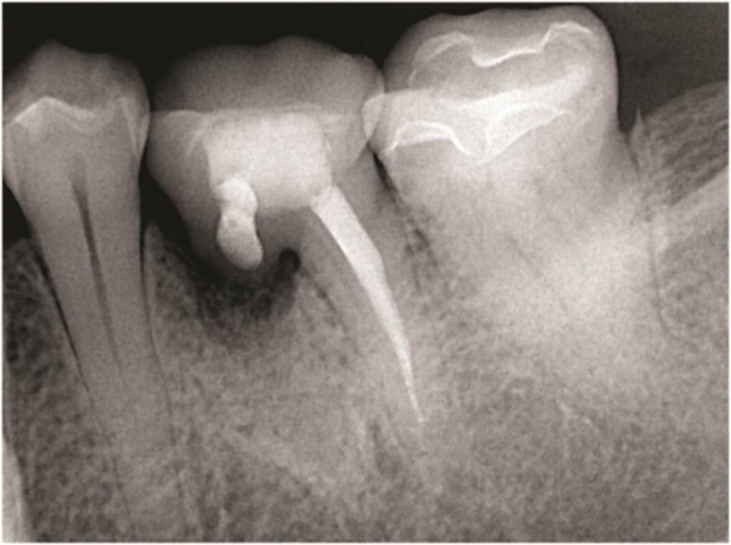
Фото 2: Зуб 4.6 с ранее проведенным апикальным хирургическим вмешательством, показывающий потерю кости вокруг переломанного мезиального корня.
Фото 3: Зуб 3.6 с латеральной и апикальной потерей кости в области переломанного мезиального корня.
Фото 4: 3D-изображение КЛКТ зуба 1.6, демонстрирующее апико-маргинальный дефект кости, затрагивающий мезиально-щечный корень при стабильных сросшихся дистально-щечном и небном корнях.
Резекция корня многокорневого зуба представляет собой хирургическую процедуру, при которой пораженный корень хирургически удаляется, а оставшаяся часть зуба формируется для обеспечения комфорта, эстетики и, что наиболее важно, доступности для гигиенического ухода. Этот метод сохранения зуба путем удаления не поддающегося лечению корня применяется уже много лет и хорошо изучен. Однако преимущества современных микроскопических методов лечения в сочетании с данными многолетних наблюдений позволили создать предсказуемый протокол, позволяющий клиницистам добиваться оптимальных результатов, часто сохраняя зуб и избегая полного удаления. Использование хирургического операционного микроскопа обеспечивает точную резекцию пораженного корня и позволяет тщательно формировать нижнюю поверхность оставшейся части зуба, что особенно важно для устранения скрытых уступов и неровностей. Это имеет ключевое значение при сложных случаях резекции корней верхних моляров, где нижняя поверхность зуба должна плавно переходить в два оставшихся корня, в отличие от нижних моляров с одним корнем.Для надежного гемостаза, необходимого при изоляции нижней поверхности зуба перед наложением реставрационного материала для герметизации корневого канала, применяются проверенные техники: использование лидокаина с повышенной концентрацией эпинефрина (1:50 000 вместо 1:100 000) и тампонов, пропитанных эпинефрином. Эти методы, заимствованные из эндодонтической микрохирургии, обеспечивают оптимальные условия для работы.
Выбор случая для лечения
Основная цель удаления пораженного корня — устранение пути проникновения и скопления бактерий, вызывающих хроническую или острую воспалительную реакцию. Ключевым фактором при рассмотрении резекции корня является анатомическая конфигурация корней зуба. Данный метод применим для большинства многокорневых зубов, но противопоказан при полностью сросшихся корнях, когда невозможно изолированное удаление пораженного корня без сохранения бактериального пути в ткани. Исследования показывают, что окклюзионные нагрузки негативно влияют на результаты лечения при удалении дистального или дистально-щечного корня, так как это создает консольный участок в дистальном направлении, подверженный повышенному жевательному воздействию. Тем не менее, многие случаи успешно лечатся резекцией корня и должны рассматриваться как вариант терапии.
Уровень гигиены играет решающую роль не только при выборе метода лечения, но и при оценке возможности долгосрочного сохранения зуба, особенно если потребуется шинирование. После резекции корня подвижность зуба может увеличиться, и тогда шинирование становится необходимым. Однако оно ограничивает возможность использования зубной нити в межзубных промежутках и под консольной частью зуба. Как и в случае с опорными зубами мостовидного протеза, безупречная гигиена критически важна для долговременного успеха шинированного зуба с резекцией корня. Пациенты после резекции корня часто проявляют излишнюю осторожность и/или избегают тщательной чистки в области пролеченных зубов даже спустя годы после лечения, что неизбежно приводит к повышенному накоплению зубного налета. Как отмечают авторы на основании многолетнего наблюдения за клиническими случаями, недостаточный контроль зубного налета может вызвать рецидив кариеса на пролеченных и соседних зубах, а также усиленную потерю костной ткани под консольной частью зуба, что в конечном итоге может начать разрушать оставшиеся сохраненные корни (Фото 5).
Фото 5: Зуб 3.6 (первый моляр нижней челюсти справа) через 1 год после резекции мезиального корня с сохранением культи. Отмечается значительная потеря краевой кости под консольной частью зуба, превышающая ожидаемые показатели. Неполная резекция и неправильное контурирование в мезиальной контактной зоне создали область скопления налета, что привело к нестабильному пародонтальному статусу. Этой проблемы можно было избежать при более радикальной резекции, обеспечивающей очищаемость поверхности.
Факторы лечения
Для создания очищаемой поверхности зуба необходимо учитывать ряд факторов и достичь определенных целей. При резекции корня важно полностью удалить его остатки, чтобы исключить сохранение фуркации. Наиболее очищаемая форма достигается путем создания плавного перехода от сохраненного корня к области ниже контактного пункта с соседним зубом (как показано на Фото 6). Во многих случаях это может привести к некоторому ухудшению эстетики, однако если консольная часть зуба будет плоской или создаст труднодоступную для очищения зону скопления бактерий, риск развития рецидивирующего кариеса и прогрессирующей потери краевой кости значительно возрастает. Создание очищаемой поверхности зуба, предотвращающей накопление зубного налета, как правило, имеет более важное значение, чем незначительный эстетический компромисс. Достижение этой цели может представлять технические сложности, особенно при работе с язычной поверхностью нижних моляров и мезиально-небной стороной верхних моляров при резекции мезиально-щечного корня, однако данный этап является принципиально важным в хирургическом процессе.
Фото 6 демонстрирует клинический пример зуба 1.4 (первый премоляр верхней челюсти справа) после резекции мезиально-щечного корня, иллюстрируя идеальный контур консольной части. Обратите внимание на полное отсутствие остатка корня и плавный переход консоли к сохранённым небному и дистально-щечному корням, с мезиальным продолжением до уровня ниже контактного пункта с соседним зубом.
Фото 6: Клинический снимок зуба 1.4 после резекции мезиально-щечного корня с реставрацией нижней поверхности СИЦМ. Полученный контур не имеет уступов или неровностей, с плавным переходом к мезиальному контактному пункту и сохраненным дистально-щечному и небному корням, что обеспечивает оптимальную очищаемость.
Достижение этой цели может представлять технические сложности, особенно при работе с язычной поверхностью нижних моляров и мезиально-небной стороной верхних моляров при резекции мезиально-щечного корня, однако данный этап является принципиально важным в хирургическом процессе. На Фото 6 видно, что нижняя поверхность зуба восстановлена стеклоиономерным цементом, модифицированным композитом (СИЦМ). Реставрация нижней поверхности оставшейся части зуба играет ключевую роль в достижении максимально очищаемого результата. В большинстве случаев требуется новое пломбирование нижней части консольного участка зуба. Исключение составляют редкие ситуации, когда после резекции корня и формирования консоли обнажается идеально гладкая существующая реставрация без дефектов. Однако большинство штифтовых конструкций не обеспечивают достаточного продвижения в устья корневых каналов, поэтому в практически каждом случае необходимо планировать новую реставрацию нижней поверхности консоли. Дополнительное преимущество такой реставрации, покрывающей значительную часть нижней поверхности консоли, заключается в повышении устойчивости к кариесу, поскольку сам реставрационный материал не подвержен кариозному поражению.
Фото 7 демонстрирует пример резекции мезиального корня, соответствующей критериям создания плавного контура от дистального корня к контактному пункту на мезиальной стороне без образования нависающих краев, особенно с язычной стороны корня. На изображении также показана правильно наложенная реставрация, герметизирующая нижнюю поверхность консольной части корня.
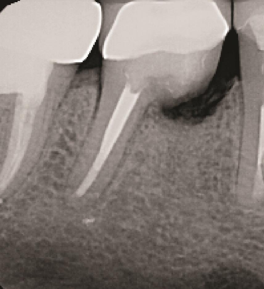
Фото 7: Зуб 3.7 непосредственно после резекции мезиального корня. Мезиальная поверхность имеет плавный переход к контактной зоне. Нижняя часть консоли восстановлена СИЦМ, а лунка заполнена аллогенным материалом.
По клиническим наблюдениям авторов, в большинстве случаев резекции корня с последующей пластикой (см. раздел "Пластика лунки") происходит заживление с стабилизацией краевой кости на уровне 1-3 мм ниже консольной части зуба. Этот факт подчеркивает важность выполнения резекции на более корональном уровне и полного удаления корня без оставления культи - сохраненный фрагмент корня будет расположен более апикально и со временем приведет к значительной потере краевой кости, создавая проблемы для контроля зубного налета и вызывая пародонтальные осложнения. На Фото 8 представлен результат через 5 лет после лечения зуба 4.6 (первый моляр нижней челюсти слева), демонстрирующий типичный исход заживления пластики лунки после резекции корня. На снимке виден результат эффективного контроля зубного налета и оптимального сохранения уровня краевой кости.
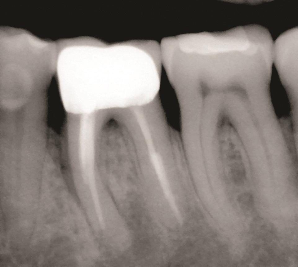
Фото 8: Зуб 4.6 (первый моляр нижней челюсти слева) через 5 лет после резекции мезиального корня с реставрацией СИЦМ. Наблюдается типичный процесс заживления краевой кости после пластики лунки. Правильно выполненная резекция и контурирование обеспечили долгосрочную стабильность зуба при адекватном гигиеническом уходе.
Установка трансплантата
После резекции и удаления корня остается пустая лунка. Если оставить ее заживать без вмешательства, это может привести к чрезмерному обнажению оставшихся корней, снижая жизнеспособность зуба. Пластика лунки аллогенным материалом для стимуляции максимального восстановления костной ткани является важнейшим этапом лечения, обеспечивающим несколько ключевых преимуществ. Во-первых, трансплантат обеспечивает лучшую поддержку кости для оставшихся корней по сравнению с отсутствием пластики. Во-вторых, он предотвращает коллапс мягких тканей в лунку, что улучшает послеоперационную эстетику и сохраняет высоту краевой кости. В-третьих, использование трансплантата ускоряет и оптимизирует костное заживление лунки удаленного корня, облегчая возможную будущую установку имплантата в случае потери зуба. Особое значение это имеет при резекции мезиального корня нижних моляров, так как его анатомическое расположение часто совпадает с зоной потенциальной установки имплантата. Пластика лунки в таких случаях создает оптимальные условия для возможного будущего протезирования.
Хотя трансплантат можно разместить в лунке на уровне консольной части зуба, клинические наблюдения авторов показывают, что со временем уровень краевой кости обычно стабилизируется на 1-3 мм ниже консольного участка (Фото 9 и Фото 10). Окончательный уровень восстановленной кости зависит главным образом от способности пациента контролировать зубной налет, что напрямую связано с качеством контурирования при резекции. Это подчеркивает важность тщательного выполнения резекции и формирования правильного контура во время процедуры.
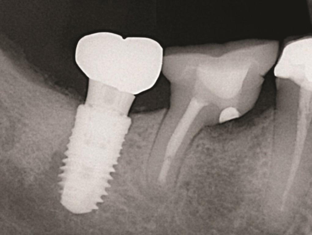
Фото 9: Хотя трансплантат можно разместить в лунке на уровне консольной части зуба (Фото 9), со временем уровень краевой кости стабилизируется на 1-3 мм ниже этого участка (Фото 10).
Упрощение обслуживания
Как и многие технически сложные стоматологические процедуры, резекция корня может быть высокоэффективным методом лечения при правильном выполнении с учетом всех факторов, влияющих на результат. Основная цель - удалить источник патологии (неподдающийся лечению корень), что при грамотном проведении резекции полностью устраняет заболевание.
Основная сложность при резекции корня заключается в создании очищаемой поверхности, позволяющей поддерживать высокий уровень гигиены. В случаях парафункциональной нагрузки или повышенной подвижности зуба после удаления корня может потребоваться шинирование. Однако шинирование усложняет поддержание гигиены и контроль зубного налета. При необходимости шинирования особенно важно выполнять более радикальную резекцию, чтобы обеспечить возможность эффективной очистки в долгосрочной перспективе (Фото 11).
Фото 11: Это подчеркивает необходимость тщательного планирования контура резецированной поверхности с учетом будущих требований к гигиене.
Экономическая целесообразность резекции корня
Несмотря на популярность имплант-поддерживаемых коронок для лечения проблемных зубов, часто упускается из виду, что многокорневой зуб можно сохранить даже при вертикальном переломе корня, тяжелых пародонтальных проблемах, кариесе корня или необратимой резорбции. Особенно с учетом распространенности мукозита и периимплантита, высокой стоимости имплантологического лечения и необходимости множественных хирургических вмешательств - которые могут привести к серьезным осложнениям при удалении зуба и его замене имплант-поддерживаемой коронкой - эффективность резекции корня как однократной процедуры не следует недооценивать.
Выводы
Резекция корня представляет собой ценный метод лечения, позволяющий сохранить проблемные многокорневые зубы. Эта процедура, заключающаяся в удалении пораженного корня и устранении патологии, обеспечивает сохранение функциональности зуба и поддержание здоровья окружающей костной ткани. Современные микрохирургические методики и тщательный отбор случаев повысили предсказуемость успешных результатов, демонстрируя долгосрочные показатели выживаемости, сопоставимые с альтернативными методами лечения. Резекция корня не только является экономически эффективным решением, но и позволяет избежать рисков, связанных с дентальными имплантатами, таких как периимплантит. При правильном выполнении и тщательном соблюдении гигиены пациентом, данный метод предлагает надежный способ сохранения естественных зубов.
Авторы:
Garrett Guess, DDS
Sam Kratchman, DMD
Bekir Karabucak, DMD, MS
Резекция корня – это хирургическая процедура, направленная на удаление поврежденного корня многокорневого зуба, позволяющая сохранить его функциональность и здоровое состояние. Данная методика применяется при таких патологиях, как апикальный периодонтит, пародонтит с поражением корней и переломы корней, предлагая альтернативу экстракции с благоприятными долгосрочными показателями выживаемости до 90%. Ключевым фактором успеха является тщательный отбор случаев с учетом способности пациента поддерживать гигиену и возможных анатомических особенностей. Процедура включает удаление пораженного корня, придание зубу очищаемой формы и часто восстановление нижней поверхности для предотвращения рецидива кариеса. Пластика лунки способствует заживлению и облегчает возможную последующую установку имплантата. Успех лечения зависит от создания очищаемой формы зуба и поддержания безупречной гигиены. Резекция корня представляет собой экономически эффективную альтернативу имплантам, особенно для пациентов, которым противопоказано удаление, обеспечивая долгосрочное решение с меньшим количеством хирургических вмешательств и потенциальных осложнений.
Патологические состояния
Апикальный периодонтит, перирадикулярный периодонтит и маргинальный периодонтит являются патологическими процессами, которые часто приводят к потере зубов из-за утраты поддерживающей костной ткани и мягкотканного прикрепления. Корни зубов могут быть повреждены различными путями, но все они имеют схожий исход: воспалительную реакцию, ведущую к потере опорной кости.
К таким патологическим состояниям относятся вертикальные переломы корней, перфорации корней, пародонтит с поражением корней из-за проблем в области фуркации или сближения корней, сочетанные эндодонтическо-пародонтальные дефекты на фоне коротких корней, устойчивые фуркационные дефекты, значительные не поддающиеся лечению внешние резорбтивные дефекты и другие (Фото 1–4). Когда подобные состояния затрагивают однокорневые зубы, удаление часто является единственным способом устранения патологии. Однако в случае многокорневых зубов существует дополнительная возможность: полное удаление источника патологии с одновременным сохранением функциональности зуба, что демонстрирует опубликованные показатели выживаемости на уровне 80–90%. При правильном выполнении с учетом описанных в статье факторов такое функциональное состояние может сохраняться в долгосрочной перспективе со средним сроком службы от 6 до 20 лет.
Фото 1: Зуб 1.6 с дистально-щечным корнем, демонстрирующим циркулярную потерю кости от уровня краевой кости до верхушки при стабильных мезиально-щечном и небном корнях.
Фото 2: Зуб 4.6 с ранее проведенным апикальным хирургическим вмешательством, показывающий потерю кости вокруг переломанного мезиального корня.
Фото 3: Зуб 3.6 с латеральной и апикальной потерей кости в области переломанного мезиального корня.
Фото 4: 3D-изображение КЛКТ зуба 1.6, демонстрирующее апико-маргинальный дефект кости, затрагивающий мезиально-щечный корень при стабильных сросшихся дистально-щечном и небном корнях.
Резекция корня многокорневого зуба представляет собой хирургическую процедуру, при которой пораженный корень хирургически удаляется, а оставшаяся часть зуба формируется для обеспечения комфорта, эстетики и, что наиболее важно, доступности для гигиенического ухода. Этот метод сохранения зуба путем удаления не поддающегося лечению корня применяется уже много лет и хорошо изучен. Однако преимущества современных микроскопических методов лечения в сочетании с данными многолетних наблюдений позволили создать предсказуемый протокол, позволяющий клиницистам добиваться оптимальных результатов, часто сохраняя зуб и избегая полного удаления. Использование хирургического операционного микроскопа обеспечивает точную резекцию пораженного корня и позволяет тщательно формировать нижнюю поверхность оставшейся части зуба, что особенно важно для устранения скрытых уступов и неровностей. Это имеет ключевое значение при сложных случаях резекции корней верхних моляров, где нижняя поверхность зуба должна плавно переходить в два оставшихся корня, в отличие от нижних моляров с одним корнем.Для надежного гемостаза, необходимого при изоляции нижней поверхности зуба перед наложением реставрационного материала для герметизации корневого канала, применяются проверенные техники: использование лидокаина с повышенной концентрацией эпинефрина (1:50 000 вместо 1:100 000) и тампонов, пропитанных эпинефрином. Эти методы, заимствованные из эндодонтической микрохирургии, обеспечивают оптимальные условия для работы.
Выбор случая для лечения
Основная цель удаления пораженного корня — устранение пути проникновения и скопления бактерий, вызывающих хроническую или острую воспалительную реакцию. Ключевым фактором при рассмотрении резекции корня является анатомическая конфигурация корней зуба. Данный метод применим для большинства многокорневых зубов, но противопоказан при полностью сросшихся корнях, когда невозможно изолированное удаление пораженного корня без сохранения бактериального пути в ткани. Исследования показывают, что окклюзионные нагрузки негативно влияют на результаты лечения при удалении дистального или дистально-щечного корня, так как это создает консольный участок в дистальном направлении, подверженный повышенному жевательному воздействию. Тем не менее, многие случаи успешно лечатся резекцией корня и должны рассматриваться как вариант терапии.
Уровень гигиены играет решающую роль не только при выборе метода лечения, но и при оценке возможности долгосрочного сохранения зуба, особенно если потребуется шинирование. После резекции корня подвижность зуба может увеличиться, и тогда шинирование становится необходимым. Однако оно ограничивает возможность использования зубной нити в межзубных промежутках и под консольной частью зуба. Как и в случае с опорными зубами мостовидного протеза, безупречная гигиена критически важна для долговременного успеха шинированного зуба с резекцией корня. Пациенты после резекции корня часто проявляют излишнюю осторожность и/или избегают тщательной чистки в области пролеченных зубов даже спустя годы после лечения, что неизбежно приводит к повышенному накоплению зубного налета. Как отмечают авторы на основании многолетнего наблюдения за клиническими случаями, недостаточный контроль зубного налета может вызвать рецидив кариеса на пролеченных и соседних зубах, а также усиленную потерю костной ткани под консольной частью зуба, что в конечном итоге может начать разрушать оставшиеся сохраненные корни (Фото 5).
Фото 5: Зуб 3.6 (первый моляр нижней челюсти справа) через 1 год после резекции мезиального корня с сохранением культи. Отмечается значительная потеря краевой кости под консольной частью зуба, превышающая ожидаемые показатели. Неполная резекция и неправильное контурирование в мезиальной контактной зоне создали область скопления налета, что привело к нестабильному пародонтальному статусу. Этой проблемы можно было избежать при более радикальной резекции, обеспечивающей очищаемость поверхности.
Факторы лечения
Для создания очищаемой поверхности зуба необходимо учитывать ряд факторов и достичь определенных целей. При резекции корня важно полностью удалить его остатки, чтобы исключить сохранение фуркации. Наиболее очищаемая форма достигается путем создания плавного перехода от сохраненного корня к области ниже контактного пункта с соседним зубом (как показано на Фото 6). Во многих случаях это может привести к некоторому ухудшению эстетики, однако если консольная часть зуба будет плоской или создаст труднодоступную для очищения зону скопления бактерий, риск развития рецидивирующего кариеса и прогрессирующей потери краевой кости значительно возрастает. Создание очищаемой поверхности зуба, предотвращающей накопление зубного налета, как правило, имеет более важное значение, чем незначительный эстетический компромисс. Достижение этой цели может представлять технические сложности, особенно при работе с язычной поверхностью нижних моляров и мезиально-небной стороной верхних моляров при резекции мезиально-щечного корня, однако данный этап является принципиально важным в хирургическом процессе.
Фото 6 демонстрирует клинический пример зуба 1.4 (первый премоляр верхней челюсти справа) после резекции мезиально-щечного корня, иллюстрируя идеальный контур консольной части. Обратите внимание на полное отсутствие остатка корня и плавный переход консоли к сохранённым небному и дистально-щечному корням, с мезиальным продолжением до уровня ниже контактного пункта с соседним зубом.
Фото 6: Клинический снимок зуба 1.4 после резекции мезиально-щечного корня с реставрацией нижней поверхности СИЦМ. Полученный контур не имеет уступов или неровностей, с плавным переходом к мезиальному контактному пункту и сохраненным дистально-щечному и небному корням, что обеспечивает оптимальную очищаемость.
Достижение этой цели может представлять технические сложности, особенно при работе с язычной поверхностью нижних моляров и мезиально-небной стороной верхних моляров при резекции мезиально-щечного корня, однако данный этап является принципиально важным в хирургическом процессе. На Фото 6 видно, что нижняя поверхность зуба восстановлена стеклоиономерным цементом, модифицированным композитом (СИЦМ). Реставрация нижней поверхности оставшейся части зуба играет ключевую роль в достижении максимально очищаемого результата. В большинстве случаев требуется новое пломбирование нижней части консольного участка зуба. Исключение составляют редкие ситуации, когда после резекции корня и формирования консоли обнажается идеально гладкая существующая реставрация без дефектов. Однако большинство штифтовых конструкций не обеспечивают достаточного продвижения в устья корневых каналов, поэтому в практически каждом случае необходимо планировать новую реставрацию нижней поверхности консоли. Дополнительное преимущество такой реставрации, покрывающей значительную часть нижней поверхности консоли, заключается в повышении устойчивости к кариесу, поскольку сам реставрационный материал не подвержен кариозному поражению.
Фото 7 демонстрирует пример резекции мезиального корня, соответствующей критериям создания плавного контура от дистального корня к контактному пункту на мезиальной стороне без образования нависающих краев, особенно с язычной стороны корня. На изображении также показана правильно наложенная реставрация, герметизирующая нижнюю поверхность консольной части корня.
Фото 7: Зуб 3.7 непосредственно после резекции мезиального корня. Мезиальная поверхность имеет плавный переход к контактной зоне. Нижняя часть консоли восстановлена СИЦМ, а лунка заполнена аллогенным материалом.
По клиническим наблюдениям авторов, в большинстве случаев резекции корня с последующей пластикой (см. раздел "Пластика лунки") происходит заживление с стабилизацией краевой кости на уровне 1-3 мм ниже консольной части зуба. Этот факт подчеркивает важность выполнения резекции на более корональном уровне и полного удаления корня без оставления культи - сохраненный фрагмент корня будет расположен более апикально и со временем приведет к значительной потере краевой кости, создавая проблемы для контроля зубного налета и вызывая пародонтальные осложнения. На Фото 8 представлен результат через 5 лет после лечения зуба 4.6 (первый моляр нижней челюсти слева), демонстрирующий типичный исход заживления пластики лунки после резекции корня. На снимке виден результат эффективного контроля зубного налета и оптимального сохранения уровня краевой кости.
Фото 8: Зуб 4.6 (первый моляр нижней челюсти слева) через 5 лет после резекции мезиального корня с реставрацией СИЦМ. Наблюдается типичный процесс заживления краевой кости после пластики лунки. Правильно выполненная резекция и контурирование обеспечили долгосрочную стабильность зуба при адекватном гигиеническом уходе.
Установка трансплантата
После резекции и удаления корня остается пустая лунка. Если оставить ее заживать без вмешательства, это может привести к чрезмерному обнажению оставшихся корней, снижая жизнеспособность зуба. Пластика лунки аллогенным материалом для стимуляции максимального восстановления костной ткани является важнейшим этапом лечения, обеспечивающим несколько ключевых преимуществ. Во-первых, трансплантат обеспечивает лучшую поддержку кости для оставшихся корней по сравнению с отсутствием пластики. Во-вторых, он предотвращает коллапс мягких тканей в лунку, что улучшает послеоперационную эстетику и сохраняет высоту краевой кости. В-третьих, использование трансплантата ускоряет и оптимизирует костное заживление лунки удаленного корня, облегчая возможную будущую установку имплантата в случае потери зуба. Особое значение это имеет при резекции мезиального корня нижних моляров, так как его анатомическое расположение часто совпадает с зоной потенциальной установки имплантата. Пластика лунки в таких случаях создает оптимальные условия для возможного будущего протезирования.
Хотя трансплантат можно разместить в лунке на уровне консольной части зуба, клинические наблюдения авторов показывают, что со временем уровень краевой кости обычно стабилизируется на 1-3 мм ниже консольного участка (Фото 9 и Фото 10). Окончательный уровень восстановленной кости зависит главным образом от способности пациента контролировать зубной налет, что напрямую связано с качеством контурирования при резекции. Это подчеркивает важность тщательного выполнения резекции и формирования правильного контура во время процедуры.
Фото 9: Хотя трансплантат можно разместить в лунке на уровне консольной части зуба (Фото 9), со временем уровень краевой кости стабилизируется на 1-3 мм ниже этого участка (Фото 10).
Упрощение обслуживания
Как и многие технически сложные стоматологические процедуры, резекция корня может быть высокоэффективным методом лечения при правильном выполнении с учетом всех факторов, влияющих на результат. Основная цель - удалить источник патологии (неподдающийся лечению корень), что при грамотном проведении резекции полностью устраняет заболевание.
Основная сложность при резекции корня заключается в создании очищаемой поверхности, позволяющей поддерживать высокий уровень гигиены. В случаях парафункциональной нагрузки или повышенной подвижности зуба после удаления корня может потребоваться шинирование. Однако шинирование усложняет поддержание гигиены и контроль зубного налета. При необходимости шинирования особенно важно выполнять более радикальную резекцию, чтобы обеспечить возможность эффективной очистки в долгосрочной перспективе (Фото 11).
Фото 11: Это подчеркивает необходимость тщательного планирования контура резецированной поверхности с учетом будущих требований к гигиене.
Экономическая целесообразность резекции корня
Несмотря на популярность имплант-поддерживаемых коронок для лечения проблемных зубов, часто упускается из виду, что многокорневой зуб можно сохранить даже при вертикальном переломе корня, тяжелых пародонтальных проблемах, кариесе корня или необратимой резорбции. Особенно с учетом распространенности мукозита и периимплантита, высокой стоимости имплантологического лечения и необходимости множественных хирургических вмешательств - которые могут привести к серьезным осложнениям при удалении зуба и его замене имплант-поддерживаемой коронкой - эффективность резекции корня как однократной процедуры не следует недооценивать.
Выводы
Резекция корня представляет собой ценный метод лечения, позволяющий сохранить проблемные многокорневые зубы. Эта процедура, заключающаяся в удалении пораженного корня и устранении патологии, обеспечивает сохранение функциональности зуба и поддержание здоровья окружающей костной ткани. Современные микрохирургические методики и тщательный отбор случаев повысили предсказуемость успешных результатов, демонстрируя долгосрочные показатели выживаемости, сопоставимые с альтернативными методами лечения. Резекция корня не только является экономически эффективным решением, но и позволяет избежать рисков, связанных с дентальными имплантатами, таких как периимплантит. При правильном выполнении и тщательном соблюдении гигиены пациентом, данный метод предлагает надежный способ сохранения естественных зубов.
Авторы:
Garrett Guess, DDS
Sam Kratchman, DMD
Bekir Karabucak, DMD, MS



0 комментариев