Сращение зубов определяется как аномалия формы зуба, вызванная нарушениями развития зубов, которые приводят к плотному срастанию зубных тканей. В этом клиническом случае рассматривается лечение "двойного" третьего моляра нижней челюсти у 21-летнего пациента, которое могло быть связано либо с геминацией, либо со сращением зубов. Рентгенологическое исследование позволило провести тщательный анализ формы зуба и развития корня, его соотношения с нижним альвеолярным нервом и трехмерного положения. После оценки терапевтических возможностей и рисков, а также с согласия пациента авторы приняли решение об удалении рассматриваемого зуба. Такие благоприятные условия, как неполное развитие корней и относительно молодой возраст пациента, в сочетании с применением антибактериальной и антисептической профилактики, а также стандартного хирургического вмешательства позволили добиться успешного результата без сопутствующих осложнений.
Слияние — это объединение двух зубов на уровне цемента и составляет 1,4% всех зубных аномалий. Сращение определяется как объединение двух отдельных смежных зубных зародышей, в результате чего в зубном ряду появляется на один зуб меньше, чем обычно. Геминация — это попытка одного зубного зародыша разделиться и не влияет на стандартное количество зубов. Общая распространенность сращения и геминации в обоих зубах (коренных и постоянных) составляет от 0,5% до 1%. Если говорить только о постоянных зубах, то сращение и геминация встречаются реже и составляют от 0,2% до 0,05%.
В этой статье представлен клинический случай "двойного" третьего моляра нижней челюсти. В статье описан и проанализирован процесс принятия клинических решений, связанных с диагностикой и лечением следующих аномалий формы: слияние, сращение и геминация.
Клинический случай
Клиническая и рентгенологическая оценка
Пациентка, 21 год, обратилась в стоматологическую клинику авторов с жалобами на боль и дискомфорт в области левого третьего моляра нижней челюсти. Она не сообщила о каких-либо серьезных хронических заболеваниях в анамнезе или заболеваниях зубов. Комплексное внутриротовое обследование не выявило признаков пародонтита или кариеса. Кроме того, левый третий моляр нижней челюсти не был виден клинически.
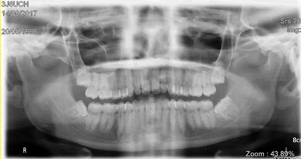
На панорамной рентгенограмме был обнаружен пораженный левый третий моляр нижней челюсти с тремя корнями и аномально большой коронкой (Фото 1). Необычная морфология зуба позволяла предположить, что это был случай сращения третьего моляра со сверхкомплектным зубом (то есть четвертым моляром).
Чтобы определить соотношение рисков и преимуществ и план лечения, ситуация потребовала изучения взаимного расположения между корнями третьего моляра и нижним альвеолярным нервом (НАН). Для точного определения положения НАН относительно деформированного третьего моляра была использована конусно-лучевая компьютерная томография (КЛКТ). НАН проходил в язычном направлении до корней моляров (Фото 2). Кроме того, КЛКТ была использована для расчета общей мезиодистальной длины коронки, которая, как было определено, составила 15,56 мм.
Фото 1: Панорамная рентгенограмма, на которой виден “двойной зуб” в положении левого нижнего импактного третьего моляра.
Фото 2: КЛКТ, показывающая связь между “двойным зубом” и положением НАН.
После обсуждения вариантов лечения с пациентом было решено, что третий левый моляр нижней челюсти будет удален. Фармакологическая терапия без хирургического вмешательства была исключена из-за вероятности рецидива симптомов, а коронэктомия также была исключена из-за минимального риска повреждения нервов, связанного с этой процедурой. Пациенту была назначена операция по удалению зубов, и согласие на лечение было задокументировано.
Хирургическая процедура
Пациенту было рекомендовано перед операцией использовать 0,12%-ный раствор хлоргексидина глюконата для полоскания рта. Была проведена местная анестезия с помощью блокады НАН и длинного щечного нерва с использованием двух картриджей с 3%-ным мепивакаином и сосудосуживающим средством, и была подтверждена глубокая местная анестезия. Был сделан разрез борозды от дистальной части зуба 3.6 до дистальной части зуба 3.7, при этом разрез гребня продолжался кзади от восходящей ветви нижней челюсти, и был поднят полнослойный конвертный лоскут. В частности, дистальный разрез продолжался под углом 45 градусов от дистобуккального бугорка зуба 3.7 до ветви нижней челюсти (Фото 3).
Фото 3: Окклюзионный вид “двойного зуба”.
После того, как слизисто-надкостничный лоскут был приподнят, обнажился пораженный третий моляр и окружающая кость. Третий моляр был удален в ходе выполнения вестибулярной остэктомии с помощью углового наконечника и круглого твердосплавного бора. После вывиха третьего моляра мезиальная часть зубной коронки была сначала разрезана с помощью углового наконечника и твердосплавного бора и удалена. Остаточная часть третьего моляра была удалена с помощью элеватора (Фото 4).
Фото 4: Вестибулярный вид удаленного аномального третьего моляра.
Затем на эту область наносили промывочный раствор хлорида натрия (0,9%) и выполняли кюретаж альвеол (Фото 5). Лоскут был заменен и зашит шелковым швом 4-0.
Фото 5: Окклюзионный вид альвеолярного отростка после удаления “двойного” третьего моляра.
Пациент был выписан после получения инструкций по лечению после операции. Они включали амоксициллин (1 г), по одной таблетке каждые 8 часов в течение 5 дней; специальную диету и гигиену полости рта; полоскание рта хлоргексидина глюконатом (0,12%) каждые 12 часов, начиная со следующего дня после операции, до снятия швов, которое происходило через 10 дней; и противовоспалительную терапию парацетамолом в дозе 1000 мг для снятия боли начиная со дня операции.
Последующее наблюдение
Осложнений не возникло ни при снятии швов, ни при длительном наблюдении. Клиническое и рентгенологическое наблюдение показало заживление как мягких, так и твердых тканей (Фото 6), которое, как было установлено, находится в пределах нормы после удаления третьего коренного зуба.
Фото 6: Рентгенологическое наблюдение через 6 месяцев после лечения.
Обсуждение
Многие стоматологические аномалии, такие как сверхкомплектные зубы и анатомические пороки развития, часто встречаются в клинической практике. Однако некоторые аномалии, такие как сращение или геминация, встречаются реже. Кроме того, аномалии формы могут быть трудно распознаваемы при стандартной визуализации и клиническом осмотре. Поэтому в данном отчете о клиническом случае мы стремимся осветить процесс принятия решений и извлечь уроки из оценки и данного случая, чтобы помочь другим врачам, которые могут столкнуться с подобными аномалиями.
Знание нормальных и аномальных анатомических особенностей и возможность поставить правильный диагноз имеют решающее значение для того, чтобы можно было назначить наиболее подходящие хирургические или нехирургические методы лечения. Хорошо известно, что на общий план лечения и сложность отдельных методов лечения, таких как эндодонтическое лечение или удаление зубов, могут влиять аномалии размера или формы зуба. Следовательно, важно проанализировать клинические и рентгенологические различия между подобными аномалиями развития зубов, такими как геминация и сращение.
В данном случае, после первичного рентгенологического анализа, авторы сосредоточились на трех возможных зубных аномалиях: слиянии, геминации и сращении зубов. Изучение панорамной рентгенограммы показало, что в соединении зубов участвует не только цемент, но и дентин и эмаль. Эта находка не подтверждает диагноз слияния, при которой сращение характеризуется исключительно соединением только цемента. Более того, область третьего моляра нижней челюсти является необычным местом для возникновения слияния, так как эта зубная аномалия обычно встречается в области верхнечелюстных моляров, с особой склонностью к верхним третьим молярам. Таким образом, слияние было исключено из дифференциального диагноза.
Геминация также рассматривалась как возможная причина аномалии. Термин "геминация" относится к аномалии развития зубов, характеризующейся двойной коронкой, обычно не полностью разделенной, с общим корнем и пульпарной камерой. Такое частичное "раздвоение зуба" связано с нарушением в процессе одонтогенеза, при котором зародыш зуба частично расщепляется. В данном случае левый третий моляр нижней челюсти характеризовался двумя сросшимися коронками, имеющими общую пульпарную камеру и корневые каналы. Эти анатомические особенности соответствовали геминации, поэтому авторы не исключали геминацию из дифференциального диагноза.
Наконец, была проанализирована третья гипотеза: сращение третьего левого моляра нижней челюсти и сверхкомплектного четвертого моляра. Сращение зубов — это аномалия, представляющая собой "двойной зуб", возникающий в результате соединения двух соседних зубных зачатков. Анатомические характеристики этой аномалии приводят к двум основным вариантам: (1) "двойной зуб" с двойной коронкой, имеющей общую пульпарную камеру и корневые каналы, и (2) "двойной зуб" с двойной коронкой с двумя различными пульпарными камерами и разделенными каналами. Первый вариант имеет клиническую анатомию, неотличимую от таковой при геминации; поэтому этот вариант сращения также был включен в дифференциальный диагноз.
Чтобы определить, можно ли выявить одну из причин появления "двойного зуба" в данном случае, был использован анализ других факторов, таких как общее количество имеющихся зубов и рентгенологический анамнез пациента, которые могут иметь решающее значение для того, чтобы отличить сращивание зубов от геминации. Во многих случаях подсчет количества зубов может прояснить, с какой аномалией сталкивается лечащий врач. Стандартное количество зубов более соответствует диагнозу геминации, в то время как уменьшенное количество зубов обычно указывает на сращение зубов. Тем не менее, сращение или геминация с вовлечением сверхкомплектного зуба усложняет диагностику. Например, в данном случае наличие гипотетического сверхкомплектного зуба и последующее сращение не позволили поставить диагноз, основанный на стандартном количестве зубов, поскольку большой аномальный зуб мог образоваться в результате либо сращения между зачатком третьего моляра и зачатком сверхкомплектного зуба, либо разделения зачатка третьего моляра.
Таким образом, изучение всех предыдущих панорамных рентгенограмм позволяет врачу наблюдать за формированием зачатка зуба и оценить, на какой стадии развития зачатка появился "двойной зуб". Однако без регулярного рентгенологического наблюдения точный диагноз поставить невозможно. В данном случае отсутствие доступных регулярных рентгенографических записей на протяжении всего детства и юности пациента не позволило врачам определить окончательную причину появления "двойного зуба".
Еще одним осложнением, как видно из данного случая, является то, что план лечения, направленный на устранение наличия "двойного зуба" и симптомов, о которых сообщает пациент, зависит от различных факторов, таких как локализация, является ли зубной ряд временным или постоянным, соединена или не соединена пульповая камера, есть ли или нет это может быть поражение сверхкомплектных зубов и любые проблемы, связанные с эстетикой, прорезыванием или пародонтом. Например, сращение двух постоянных зубов в передней области может быть причиной эстетических и функциональных проблем. Таким образом, может потребоваться мультидисциплинарный план лечения, включающий эндодонтические, ортодонтические и хирургические вмешательства.
Тем не менее, в данном случае левый "двойной" третий моляр нижней челюсти не был связан с эстетическими или функциональными проблемами. Однако локализация и положение зуба были факторами, которые необходимо было принимать во внимание. Недостаток места в зубной дуге, который препятствовал прорезыванию зуба в правильном и функциональном положении, а также симптомы повторяющейся боли, о которых сообщал пациент, были показаниями к удалению.
Еще одним соображением является важность тщательного планирования хирургического вмешательства с учетом сложности патологии, с уделением внимания соответствующим методам удаления и инструментам. Интраоперационные мероприятия включают в себя действия, предпринимаемые во время операции для устранения любых осложнений, таких как перелом зуба или повреждение соседних структур. Зуб может потребоваться сегментировать на несколько частей, в зависимости от его ориентации и пути выхода. В данном случае наличие второго моляра нижней челюсти и окружающей его альвеолярной кости препятствовало выходу. Следовательно, чтобы снизить риск применения чрезмерной силы, которая потенциально может привести к перелому кости нижней челюсти, может потребоваться использование бора для удаления слишком большой коронки и, в итоге, разделения корней, что обеспечит минимально травматичный процесс удаления. Движения рычага должны быть минимально инвазивными и достаточными только для того, чтобы вывихнуть корни, без приложения дополнительного усилия. Обеспечение адекватной анестезии и послеоперационного ухода помогает обеспечить комфорт пациенту и оптимальный результат. Эффективная коммуникация с пациентом на протяжении всего процесса необходима для принятия обоснованных решений и удовлетворения пациента.
Заключение
Как показано в этом клиническом случае, диагностика геминации или сращивания была невозможна без предварительного получения панорамных рентгенограмм, показывающих основные этапы развития зубов в детском и подростковом возрасте пациента. Однако в этом случае, основываясь на симптомах пациента и анализе соотношения риска и пользы, точный диагноз патофизиологии, лежащей в основе "двойного зуба", не оказал бы заметного влияния на план лечения.
Несмотря на то, что существует множество аномалий развития зубов, которые нечасто встречаются в клинической практике, а отчеты в литературе скудны, точное рентгенологическое обследование и глубокие знания о зубных аномалиях должны позволить клиницистам лечить такого рода проблемы таким образом, чтобы принести максимальную пользу пациенту и свести к минимуму риск.
Авторы:
Ludovico Callerio, DDS
Martina Casaburi, DDS
Nadim Oliva, DDS
Silvano Mucllari, DDS
Сращение зубов определяется как аномалия формы зуба, вызванная нарушениями развития зубов, которые приводят к плотному срастанию зубных тканей. В этом клиническом случае рассматривается лечение "двойного" третьего моляра нижней челюсти у 21-летнего пациента, которое могло быть связано либо с геминацией, либо со сращением зубов. Рентгенологическое исследование позволило провести тщательный анализ формы зуба и развития корня, его соотношения с нижним альвеолярным нервом и трехмерного положения. После оценки терапевтических возможностей и рисков, а также с согласия пациента авторы приняли решение об удалении рассматриваемого зуба. Такие благоприятные условия, как неполное развитие корней и относительно молодой возраст пациента, в сочетании с применением антибактериальной и антисептической профилактики, а также стандартного хирургического вмешательства позволили добиться успешного результата без сопутствующих осложнений.
Слияние — это объединение двух зубов на уровне цемента и составляет 1,4% всех зубных аномалий. Сращение определяется как объединение двух отдельных смежных зубных зародышей, в результате чего в зубном ряду появляется на один зуб меньше, чем обычно. Геминация — это попытка одного зубного зародыша разделиться и не влияет на стандартное количество зубов. Общая распространенность сращения и геминации в обоих зубах (коренных и постоянных) составляет от 0,5% до 1%. Если говорить только о постоянных зубах, то сращение и геминация встречаются реже и составляют от 0,2% до 0,05%.
В этой статье представлен клинический случай "двойного" третьего моляра нижней челюсти. В статье описан и проанализирован процесс принятия клинических решений, связанных с диагностикой и лечением следующих аномалий формы: слияние, сращение и геминация.
Клинический случай
Клиническая и рентгенологическая оценка
Пациентка, 21 год, обратилась в стоматологическую клинику авторов с жалобами на боль и дискомфорт в области левого третьего моляра нижней челюсти. Она не сообщила о каких-либо серьезных хронических заболеваниях в анамнезе или заболеваниях зубов. Комплексное внутриротовое обследование не выявило признаков пародонтита или кариеса. Кроме того, левый третий моляр нижней челюсти не был виден клинически.
На панорамной рентгенограмме был обнаружен пораженный левый третий моляр нижней челюсти с тремя корнями и аномально большой коронкой (Фото 1). Необычная морфология зуба позволяла предположить, что это был случай сращения третьего моляра со сверхкомплектным зубом (то есть четвертым моляром).
Чтобы определить соотношение рисков и преимуществ и план лечения, ситуация потребовала изучения взаимного расположения между корнями третьего моляра и нижним альвеолярным нервом (НАН). Для точного определения положения НАН относительно деформированного третьего моляра была использована конусно-лучевая компьютерная томография (КЛКТ). НАН проходил в язычном направлении до корней моляров (Фото 2). Кроме того, КЛКТ была использована для расчета общей мезиодистальной длины коронки, которая, как было определено, составила 15,56 мм.
Фото 1: Панорамная рентгенограмма, на которой виден “двойной зуб” в положении левого нижнего импактного третьего моляра.
Фото 2: КЛКТ, показывающая связь между “двойным зубом” и положением НАН.
После обсуждения вариантов лечения с пациентом было решено, что третий левый моляр нижней челюсти будет удален. Фармакологическая терапия без хирургического вмешательства была исключена из-за вероятности рецидива симптомов, а коронэктомия также была исключена из-за минимального риска повреждения нервов, связанного с этой процедурой. Пациенту была назначена операция по удалению зубов, и согласие на лечение было задокументировано.
Хирургическая процедура
Пациенту было рекомендовано перед операцией использовать 0,12%-ный раствор хлоргексидина глюконата для полоскания рта. Была проведена местная анестезия с помощью блокады НАН и длинного щечного нерва с использованием двух картриджей с 3%-ным мепивакаином и сосудосуживающим средством, и была подтверждена глубокая местная анестезия. Был сделан разрез борозды от дистальной части зуба 3.6 до дистальной части зуба 3.7, при этом разрез гребня продолжался кзади от восходящей ветви нижней челюсти, и был поднят полнослойный конвертный лоскут. В частности, дистальный разрез продолжался под углом 45 градусов от дистобуккального бугорка зуба 3.7 до ветви нижней челюсти (Фото 3).
Фото 3: Окклюзионный вид “двойного зуба”.
После того, как слизисто-надкостничный лоскут был приподнят, обнажился пораженный третий моляр и окружающая кость. Третий моляр был удален в ходе выполнения вестибулярной остэктомии с помощью углового наконечника и круглого твердосплавного бора. После вывиха третьего моляра мезиальная часть зубной коронки была сначала разрезана с помощью углового наконечника и твердосплавного бора и удалена. Остаточная часть третьего моляра была удалена с помощью элеватора (Фото 4).
Фото 4: Вестибулярный вид удаленного аномального третьего моляра.
Затем на эту область наносили промывочный раствор хлорида натрия (0,9%) и выполняли кюретаж альвеол (Фото 5). Лоскут был заменен и зашит шелковым швом 4-0.
Фото 5: Окклюзионный вид альвеолярного отростка после удаления “двойного” третьего моляра.
Пациент был выписан после получения инструкций по лечению после операции. Они включали амоксициллин (1 г), по одной таблетке каждые 8 часов в течение 5 дней; специальную диету и гигиену полости рта; полоскание рта хлоргексидина глюконатом (0,12%) каждые 12 часов, начиная со следующего дня после операции, до снятия швов, которое происходило через 10 дней; и противовоспалительную терапию парацетамолом в дозе 1000 мг для снятия боли начиная со дня операции.
Последующее наблюдение
Осложнений не возникло ни при снятии швов, ни при длительном наблюдении. Клиническое и рентгенологическое наблюдение показало заживление как мягких, так и твердых тканей (Фото 6), которое, как было установлено, находится в пределах нормы после удаления третьего коренного зуба.
Фото 6: Рентгенологическое наблюдение через 6 месяцев после лечения.
Обсуждение
Многие стоматологические аномалии, такие как сверхкомплектные зубы и анатомические пороки развития, часто встречаются в клинической практике. Однако некоторые аномалии, такие как сращение или геминация, встречаются реже. Кроме того, аномалии формы могут быть трудно распознаваемы при стандартной визуализации и клиническом осмотре. Поэтому в данном отчете о клиническом случае мы стремимся осветить процесс принятия решений и извлечь уроки из оценки и данного случая, чтобы помочь другим врачам, которые могут столкнуться с подобными аномалиями.
Знание нормальных и аномальных анатомических особенностей и возможность поставить правильный диагноз имеют решающее значение для того, чтобы можно было назначить наиболее подходящие хирургические или нехирургические методы лечения. Хорошо известно, что на общий план лечения и сложность отдельных методов лечения, таких как эндодонтическое лечение или удаление зубов, могут влиять аномалии размера или формы зуба. Следовательно, важно проанализировать клинические и рентгенологические различия между подобными аномалиями развития зубов, такими как геминация и сращение.
В данном случае, после первичного рентгенологического анализа, авторы сосредоточились на трех возможных зубных аномалиях: слиянии, геминации и сращении зубов. Изучение панорамной рентгенограммы показало, что в соединении зубов участвует не только цемент, но и дентин и эмаль. Эта находка не подтверждает диагноз слияния, при которой сращение характеризуется исключительно соединением только цемента. Более того, область третьего моляра нижней челюсти является необычным местом для возникновения слияния, так как эта зубная аномалия обычно встречается в области верхнечелюстных моляров, с особой склонностью к верхним третьим молярам. Таким образом, слияние было исключено из дифференциального диагноза.
Геминация также рассматривалась как возможная причина аномалии. Термин "геминация" относится к аномалии развития зубов, характеризующейся двойной коронкой, обычно не полностью разделенной, с общим корнем и пульпарной камерой. Такое частичное "раздвоение зуба" связано с нарушением в процессе одонтогенеза, при котором зародыш зуба частично расщепляется. В данном случае левый третий моляр нижней челюсти характеризовался двумя сросшимися коронками, имеющими общую пульпарную камеру и корневые каналы. Эти анатомические особенности соответствовали геминации, поэтому авторы не исключали геминацию из дифференциального диагноза.
Наконец, была проанализирована третья гипотеза: сращение третьего левого моляра нижней челюсти и сверхкомплектного четвертого моляра. Сращение зубов — это аномалия, представляющая собой "двойной зуб", возникающий в результате соединения двух соседних зубных зачатков. Анатомические характеристики этой аномалии приводят к двум основным вариантам: (1) "двойной зуб" с двойной коронкой, имеющей общую пульпарную камеру и корневые каналы, и (2) "двойной зуб" с двойной коронкой с двумя различными пульпарными камерами и разделенными каналами. Первый вариант имеет клиническую анатомию, неотличимую от таковой при геминации; поэтому этот вариант сращения также был включен в дифференциальный диагноз.
Чтобы определить, можно ли выявить одну из причин появления "двойного зуба" в данном случае, был использован анализ других факторов, таких как общее количество имеющихся зубов и рентгенологический анамнез пациента, которые могут иметь решающее значение для того, чтобы отличить сращивание зубов от геминации. Во многих случаях подсчет количества зубов может прояснить, с какой аномалией сталкивается лечащий врач. Стандартное количество зубов более соответствует диагнозу геминации, в то время как уменьшенное количество зубов обычно указывает на сращение зубов. Тем не менее, сращение или геминация с вовлечением сверхкомплектного зуба усложняет диагностику. Например, в данном случае наличие гипотетического сверхкомплектного зуба и последующее сращение не позволили поставить диагноз, основанный на стандартном количестве зубов, поскольку большой аномальный зуб мог образоваться в результате либо сращения между зачатком третьего моляра и зачатком сверхкомплектного зуба, либо разделения зачатка третьего моляра.
Таким образом, изучение всех предыдущих панорамных рентгенограмм позволяет врачу наблюдать за формированием зачатка зуба и оценить, на какой стадии развития зачатка появился "двойной зуб". Однако без регулярного рентгенологического наблюдения точный диагноз поставить невозможно. В данном случае отсутствие доступных регулярных рентгенографических записей на протяжении всего детства и юности пациента не позволило врачам определить окончательную причину появления "двойного зуба".
Еще одним осложнением, как видно из данного случая, является то, что план лечения, направленный на устранение наличия "двойного зуба" и симптомов, о которых сообщает пациент, зависит от различных факторов, таких как локализация, является ли зубной ряд временным или постоянным, соединена или не соединена пульповая камера, есть ли или нет это может быть поражение сверхкомплектных зубов и любые проблемы, связанные с эстетикой, прорезыванием или пародонтом. Например, сращение двух постоянных зубов в передней области может быть причиной эстетических и функциональных проблем. Таким образом, может потребоваться мультидисциплинарный план лечения, включающий эндодонтические, ортодонтические и хирургические вмешательства.
Тем не менее, в данном случае левый "двойной" третий моляр нижней челюсти не был связан с эстетическими или функциональными проблемами. Однако локализация и положение зуба были факторами, которые необходимо было принимать во внимание. Недостаток места в зубной дуге, который препятствовал прорезыванию зуба в правильном и функциональном положении, а также симптомы повторяющейся боли, о которых сообщал пациент, были показаниями к удалению.
Еще одним соображением является важность тщательного планирования хирургического вмешательства с учетом сложности патологии, с уделением внимания соответствующим методам удаления и инструментам. Интраоперационные мероприятия включают в себя действия, предпринимаемые во время операции для устранения любых осложнений, таких как перелом зуба или повреждение соседних структур. Зуб может потребоваться сегментировать на несколько частей, в зависимости от его ориентации и пути выхода. В данном случае наличие второго моляра нижней челюсти и окружающей его альвеолярной кости препятствовало выходу. Следовательно, чтобы снизить риск применения чрезмерной силы, которая потенциально может привести к перелому кости нижней челюсти, может потребоваться использование бора для удаления слишком большой коронки и, в итоге, разделения корней, что обеспечит минимально травматичный процесс удаления. Движения рычага должны быть минимально инвазивными и достаточными только для того, чтобы вывихнуть корни, без приложения дополнительного усилия. Обеспечение адекватной анестезии и послеоперационного ухода помогает обеспечить комфорт пациенту и оптимальный результат. Эффективная коммуникация с пациентом на протяжении всего процесса необходима для принятия обоснованных решений и удовлетворения пациента.
Заключение
Как показано в этом клиническом случае, диагностика геминации или сращивания была невозможна без предварительного получения панорамных рентгенограмм, показывающих основные этапы развития зубов в детском и подростковом возрасте пациента. Однако в этом случае, основываясь на симптомах пациента и анализе соотношения риска и пользы, точный диагноз патофизиологии, лежащей в основе "двойного зуба", не оказал бы заметного влияния на план лечения.
Несмотря на то, что существует множество аномалий развития зубов, которые нечасто встречаются в клинической практике, а отчеты в литературе скудны, точное рентгенологическое обследование и глубокие знания о зубных аномалиях должны позволить клиницистам лечить такого рода проблемы таким образом, чтобы принести максимальную пользу пациенту и свести к минимуму риск.
Авторы:
Ludovico Callerio, DDS
Martina Casaburi, DDS
Nadim Oliva, DDS
Silvano Mucllari, DDS



0 комментариев