Сообщения о случаях множественных мукоцеле губ встречаются редко. В статье представлен клинический случай 9-летней пациентки с тремя мукоцеле на нижней губе. Для дифференциации и постановки диагноза мукоцеле, фибромы раздражения и других потенциально более злокачественных поражений требуется биопсия. В данном случае тотальная эксцизионная биопсия одновременно стала окончательным методом лечения. Параллельно с лечением поражений губ пациентка получала терапию по поводу посттравматического стрессового расстройства (ПТСР), которое часто сопровождается депрессией и тревогой. Для пациентов с ПТСР не редки телесно-ориентированные повторяющиеся действия, к которым может относиться постоянное прикусывание губ и другие вредные повторяющиеся формы поведения. Следовательно, в подобных случаях постоянного прикусывания губ лечение включает не только хирургическое удаление мукоцеле, но и направление к соответствующему специалисту в сфере психического здоровья для оценки и лечения ПТСР.
Обычно мукоцеле проявляется одиночным, четко отграниченным, куполообразным образованием на внутренней поверхности нижней губы, щечной слизистой, вентральной поверхности языка или в дне полости рта. Мукоцеле дна полости рта, связанное с подчелюстной железой, называется ранулой и встречается относительно редко.
Настоящий клинический случай необычен по двум причинам. Во-первых, у пациентки было три образования на нижней губе, выглядевших как узелковые, по цвету слизистой, поражения, клинически соответствующие мукоцеле или фиброме раздражения (Фото 1). Поиск в литературе с использованием PubMed и Ovid Medline подтвердил редкость наблюдения: обнаружен лишь один описанный случай множественных мукоцеле. Во-вторых, все три образования были плотными при пальпации и проявляли признаки гиперкератоза, что затрудняло дифференциацию мукоцеле и фибромы раздражения без гистологической верификации (биопсии).
Фото 1. Первичное обращение: множественные поражения слизистой на внутренней поверхности нижней губы диаметром от 3 до 7 мм. Все три образования демонстрировали клинические признаки умеренного гиперкератоза.
Клинический случай
Пациентка, афроамериканка 9 лет, направлена в отделение детской стоматологии Стоматологической школы UMKC из частной практики с жалобой на «шишки на нижней губе». Затем пациентку направили в клинику продвинутой подготовки по пародонтологии этой же школы для обследования и биопсии. Имелись три образования, идентичные по клинической картине, отличались лишь размерами. Срок их существования составлял 2,5 месяца. Пациента охотно сотрудничала с врачом, и с ее слов образования увеличиваются, когда она их кусают, и сильно ее раздражают. При клиническом осмотре выявлены три поражения слизистой на внутренней поверхности нижней губы диаметром приблизительно 7 мм, 5 мм и 3 мм. Все три образования демонстрировали клинические признаки гиперкератоза и были плотными при пальпации (Фото 1).
Опекун сообщил, что пациентка получает клонидин по 0,1 мг 1 раз в день по поводу ПТСР. Психотерапию пациентка не проходила; опекун уклонялся от обсуждения семейного анамнеза. Вследствие этого причина и давность ПТСР остались неизвестными.
Лечение проведено на повторном приеме и включало седацию закисью азота, местную анестезию и эксцизионную биопсию всех трех образований посредством рассечения скальпелем. Удаленные образования направлены на гистологическое исследование. Раны ушиты кетгутом 5-0 (хромовым) (Фото 2). Даны послеоперационные рекомендации, включая прием ибупрофена при послеоперационном дискомфорте. Пациентка не явилась на непосредственный послеоперационный осмотр, однако через 3 месяца с ней связались, и был предоставлен фотоснимок, подтверждающий полное заживление трех биопсийных участков (Фото 3).
Фото 2. Наложение швов на места биопсии.
Фото 3. Через 3 месяца после биопсии отмечено полное заживление.
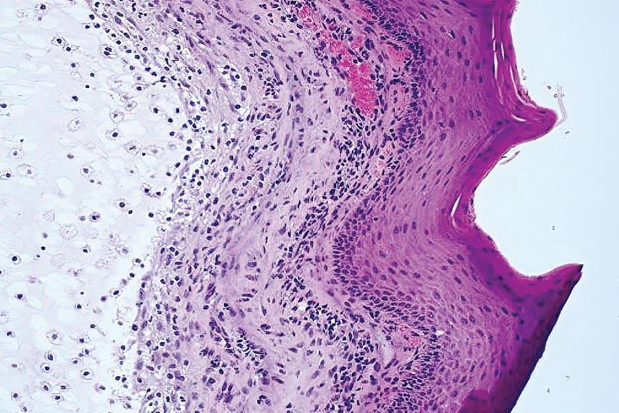
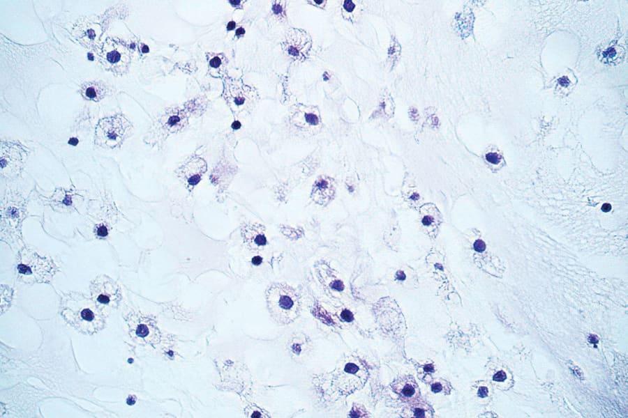
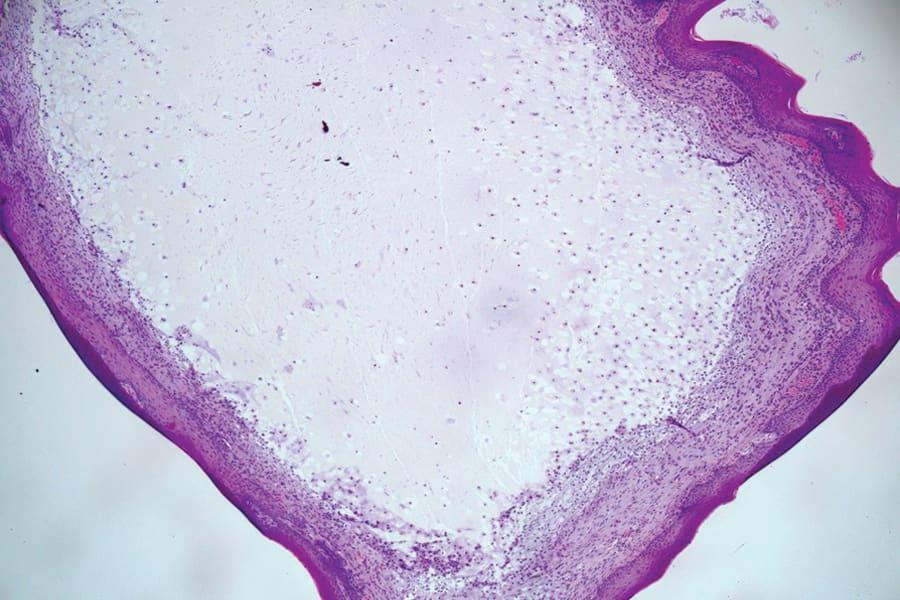
Гистопатологическое исследование выявило экстравазацию муцина в окружающую фиброваскулярную соединительную ткань из разорванного слюнного протока с формированием кистоподобной полости (Фото 4). Истечение муцина вызвало реактивный воспалительный ответ с образованием грануляционной ткани и притоком макрофагов (Фото 5) для фагоцитоза вытекшего муцина (т. е. муцифагов, «пенистых» гистиоцитов). В прилежащих малых слюнных железах отмечались хронический воспалительный инфильтрат и расширение протоков. Покрывающий эпителий полости рта был гиперкератинизирован вследствие повторной травматизации прикусом (Фото 6). По всем трем образованиям установлен диагноз: мукоцеле, экстравазационного типа.
Фото 4. Эпителий полости рта с неровной поверхностной архитектурой перекрывает стенку из грануляционной ткани вокруг вытекшего муцина, формирующего кистоподобную полость. Окраска гематоксилином и эозином; увеличение ×100.
Фото 5. Вытекший муцин поглощается пенистыми гистиоцитами (муцифагами). Окраска гематоксилином и эозином; увеличение ×400.
Фото 6. Многослойный плоский эпителий полости рта с гиперпаракератозом и неровной поверхностной архитектурой перекрывает фиброваскулярную соединительную ткань и стенку из грануляционной ткани вокруг вытекшего муцина, формирующего кистоподобную полость. Окраска гематоксилином и эозином; увеличение ×200.
Обсуждение
В подобных случаях дифференциальная диагностика должна включать мукоцеле, фиброму раздражения, новообразования слюнных желез, сосудистые мальформации, липому и нейрофиброму. Как указано выше, клиническими характеристиками мукоцеле являются куполообразное вздутие, от мягкой до плотной консистенции при пальпации, и типичная локализация на нижней губе. Визуально дифференцировать фиброму и мукоцеле бывает сложно, поскольку они могут быть сходны по размеру и форме, и обе нередко имеют гиперкератотическую поверхность (а могут и не иметь) (Фото 7 и Фото 8). Следовательно, для подтверждения клинического предположения по поводу обоих поражений необходима биопсия.
Фото 7 и Фото 8. Примеры фибром раздражения нижней губы: умеренный гиперкератоз (Фото 7) и легкий гиперкератоз (Фото 8).
Клинически прикусывание губы может проявляться в виде простого гиперкератотического очага на красной кайме, фибромы раздражения или мукоцеле. Обычно эти поражения возникают поодиночке; множественные поражения наблюдаются редко. Хотя стойкий прикус губ не выделен в 2022-м издании Диагностического и статистического руководства по психическим расстройствам (DSM-5-TR) как отдельная нозология, он относится к категории «другие уточненные обсессивно-компульсивные и родственные расстройства». Более конкретно, постоянное прикусывание губ — это форма повторяющегося телесно-ориентированного поведения (ПТОП).
ПТОП представляет собой группу вредных действий, направленных на собственное тело, включая выдергивание волос (трихотилломанию), ковыряние/порезы кожи (дерматилломанию), кусание ногтей и, как в настоящем случае, постоянное прикусывание губ. Эти действия повторяющиеся и добровольные, однако пострадавшие часто сообщают о потере контроля над поведением. Импульс к ПТОП нередко вызывается определенными стимулами или ситуациями.
Эмоциональная и физическая травма, такая как насилие, злоупотребление или пренебрежение, тесно связаны с ПТСР у детей и подростков. Наиболее частые коморбидные состояния при ПТСР — синдром дефицита внимания и гиперактивности, депрессия и тревога. В данном случае наиболее вероятными стимулами, инициировавшими стойкий прикус губ, были стресс и тревога вследствие ПТСР.
Пациенты с ПТОП хорошо отвечают на когнитивно-поведенческую терапию (КПТ). Для лечения ПТОП применяют также тренинг обратного формирования привычки и диалектико-поведенческую терапию. Более того, считается, что для большинства детей и подростков с ПТСР травма-фокусированная КПТ более эффективна, чем лекарственная терапия. Комбинация КПТ и медикаментов обычно резервируется для тяжелых случаев ПТСР. В рассматриваемом случае пациентке назначили только клоnидин 0,1 мг в сутки. Из-за нежелания опекуна предоставлять полный семейный и лечебный анамнез осталось неясным, почему в качестве основной терапии ПТСР был выбран только клоnидин без психотерапии. Следует, однако, отметить, что клоnидин, агонист альфа-2-адренорецепторов, снижает высвобождение норадреналина и применялся для лечения ПТСР.
В данном случае эксцизионная биопсия с удалением всего образования одновременно стала окончательным лечением. Описаны и другие методы удаления мукоцеле, включая углекислотный (CO2) лазер, криохирургию, интралезионное введение стероидов и склерозирующих средств. Следует отметить, что для мукоцеле сравнительно высока частота рецидивов, тогда как для фибром раздражения — низкая. Для обеспечения благоприятного отдаленного исхода необходимо учитывать психологический компонент этиологии, в том числе направлять пациента к соответствующему специалисту по психическому здоровью.
Вывод
Настоящий случай был необычным, поскольку у пациентки выявлены множественные одновременные мукоцеле нижней губы с этиологией в виде прикуса губ на фоне ПТСР. Окончательное ведение подобных случаев должно включать эксцизионную биопсию для дифференциации и постановки диагноза, а также направление к специалисту в сфере психического здоровья для оценки и лечения ПТСР.
Авторы:
Therin J. Baum, DDS, MS, DDS, MS
Simon R. MacNeill, BDS, DDS
Patrick Lai, DDS, DDS, MS, PhD
Tanya M. Gibson, DDS
Christopher M. Cobb, LPC
Charles M. Cobb, DDS, MS, PhD
Сообщения о случаях множественных мукоцеле губ встречаются редко. В статье представлен клинический случай 9-летней пациентки с тремя мукоцеле на нижней губе. Для дифференциации и постановки диагноза мукоцеле, фибромы раздражения и других потенциально более злокачественных поражений требуется биопсия. В данном случае тотальная эксцизионная биопсия одновременно стала окончательным методом лечения. Параллельно с лечением поражений губ пациентка получала терапию по поводу посттравматического стрессового расстройства (ПТСР), которое часто сопровождается депрессией и тревогой. Для пациентов с ПТСР не редки телесно-ориентированные повторяющиеся действия, к которым может относиться постоянное прикусывание губ и другие вредные повторяющиеся формы поведения. Следовательно, в подобных случаях постоянного прикусывания губ лечение включает не только хирургическое удаление мукоцеле, но и направление к соответствующему специалисту в сфере психического здоровья для оценки и лечения ПТСР.
Обычно мукоцеле проявляется одиночным, четко отграниченным, куполообразным образованием на внутренней поверхности нижней губы, щечной слизистой, вентральной поверхности языка или в дне полости рта. Мукоцеле дна полости рта, связанное с подчелюстной железой, называется ранулой и встречается относительно редко.
Настоящий клинический случай необычен по двум причинам. Во-первых, у пациентки было три образования на нижней губе, выглядевших как узелковые, по цвету слизистой, поражения, клинически соответствующие мукоцеле или фиброме раздражения (Фото 1). Поиск в литературе с использованием PubMed и Ovid Medline подтвердил редкость наблюдения: обнаружен лишь один описанный случай множественных мукоцеле. Во-вторых, все три образования были плотными при пальпации и проявляли признаки гиперкератоза, что затрудняло дифференциацию мукоцеле и фибромы раздражения без гистологической верификации (биопсии).
Фото 1. Первичное обращение: множественные поражения слизистой на внутренней поверхности нижней губы диаметром от 3 до 7 мм. Все три образования демонстрировали клинические признаки умеренного гиперкератоза.
Клинический случай
Пациентка, афроамериканка 9 лет, направлена в отделение детской стоматологии Стоматологической школы UMKC из частной практики с жалобой на «шишки на нижней губе». Затем пациентку направили в клинику продвинутой подготовки по пародонтологии этой же школы для обследования и биопсии. Имелись три образования, идентичные по клинической картине, отличались лишь размерами. Срок их существования составлял 2,5 месяца. Пациента охотно сотрудничала с врачом, и с ее слов образования увеличиваются, когда она их кусают, и сильно ее раздражают. При клиническом осмотре выявлены три поражения слизистой на внутренней поверхности нижней губы диаметром приблизительно 7 мм, 5 мм и 3 мм. Все три образования демонстрировали клинические признаки гиперкератоза и были плотными при пальпации (Фото 1).
Опекун сообщил, что пациентка получает клонидин по 0,1 мг 1 раз в день по поводу ПТСР. Психотерапию пациентка не проходила; опекун уклонялся от обсуждения семейного анамнеза. Вследствие этого причина и давность ПТСР остались неизвестными.
Лечение проведено на повторном приеме и включало седацию закисью азота, местную анестезию и эксцизионную биопсию всех трех образований посредством рассечения скальпелем. Удаленные образования направлены на гистологическое исследование. Раны ушиты кетгутом 5-0 (хромовым) (Фото 2). Даны послеоперационные рекомендации, включая прием ибупрофена при послеоперационном дискомфорте. Пациентка не явилась на непосредственный послеоперационный осмотр, однако через 3 месяца с ней связались, и был предоставлен фотоснимок, подтверждающий полное заживление трех биопсийных участков (Фото 3).
Фото 2. Наложение швов на места биопсии.
Фото 3. Через 3 месяца после биопсии отмечено полное заживление.
Гистопатологическое исследование выявило экстравазацию муцина в окружающую фиброваскулярную соединительную ткань из разорванного слюнного протока с формированием кистоподобной полости (Фото 4). Истечение муцина вызвало реактивный воспалительный ответ с образованием грануляционной ткани и притоком макрофагов (Фото 5) для фагоцитоза вытекшего муцина (т. е. муцифагов, «пенистых» гистиоцитов). В прилежащих малых слюнных железах отмечались хронический воспалительный инфильтрат и расширение протоков. Покрывающий эпителий полости рта был гиперкератинизирован вследствие повторной травматизации прикусом (Фото 6). По всем трем образованиям установлен диагноз: мукоцеле, экстравазационного типа.
Фото 4. Эпителий полости рта с неровной поверхностной архитектурой перекрывает стенку из грануляционной ткани вокруг вытекшего муцина, формирующего кистоподобную полость. Окраска гематоксилином и эозином; увеличение ×100.
Фото 5. Вытекший муцин поглощается пенистыми гистиоцитами (муцифагами). Окраска гематоксилином и эозином; увеличение ×400.
Фото 6. Многослойный плоский эпителий полости рта с гиперпаракератозом и неровной поверхностной архитектурой перекрывает фиброваскулярную соединительную ткань и стенку из грануляционной ткани вокруг вытекшего муцина, формирующего кистоподобную полость. Окраска гематоксилином и эозином; увеличение ×200.
Обсуждение
В подобных случаях дифференциальная диагностика должна включать мукоцеле, фиброму раздражения, новообразования слюнных желез, сосудистые мальформации, липому и нейрофиброму. Как указано выше, клиническими характеристиками мукоцеле являются куполообразное вздутие, от мягкой до плотной консистенции при пальпации, и типичная локализация на нижней губе. Визуально дифференцировать фиброму и мукоцеле бывает сложно, поскольку они могут быть сходны по размеру и форме, и обе нередко имеют гиперкератотическую поверхность (а могут и не иметь) (Фото 7 и Фото 8). Следовательно, для подтверждения клинического предположения по поводу обоих поражений необходима биопсия.
Фото 7 и Фото 8. Примеры фибром раздражения нижней губы: умеренный гиперкератоз (Фото 7) и легкий гиперкератоз (Фото 8).
Клинически прикусывание губы может проявляться в виде простого гиперкератотического очага на красной кайме, фибромы раздражения или мукоцеле. Обычно эти поражения возникают поодиночке; множественные поражения наблюдаются редко. Хотя стойкий прикус губ не выделен в 2022-м издании Диагностического и статистического руководства по психическим расстройствам (DSM-5-TR) как отдельная нозология, он относится к категории «другие уточненные обсессивно-компульсивные и родственные расстройства». Более конкретно, постоянное прикусывание губ — это форма повторяющегося телесно-ориентированного поведения (ПТОП).
ПТОП представляет собой группу вредных действий, направленных на собственное тело, включая выдергивание волос (трихотилломанию), ковыряние/порезы кожи (дерматилломанию), кусание ногтей и, как в настоящем случае, постоянное прикусывание губ. Эти действия повторяющиеся и добровольные, однако пострадавшие часто сообщают о потере контроля над поведением. Импульс к ПТОП нередко вызывается определенными стимулами или ситуациями.
Эмоциональная и физическая травма, такая как насилие, злоупотребление или пренебрежение, тесно связаны с ПТСР у детей и подростков. Наиболее частые коморбидные состояния при ПТСР — синдром дефицита внимания и гиперактивности, депрессия и тревога. В данном случае наиболее вероятными стимулами, инициировавшими стойкий прикус губ, были стресс и тревога вследствие ПТСР.
Пациенты с ПТОП хорошо отвечают на когнитивно-поведенческую терапию (КПТ). Для лечения ПТОП применяют также тренинг обратного формирования привычки и диалектико-поведенческую терапию. Более того, считается, что для большинства детей и подростков с ПТСР травма-фокусированная КПТ более эффективна, чем лекарственная терапия. Комбинация КПТ и медикаментов обычно резервируется для тяжелых случаев ПТСР. В рассматриваемом случае пациентке назначили только клоnидин 0,1 мг в сутки. Из-за нежелания опекуна предоставлять полный семейный и лечебный анамнез осталось неясным, почему в качестве основной терапии ПТСР был выбран только клоnидин без психотерапии. Следует, однако, отметить, что клоnидин, агонист альфа-2-адренорецепторов, снижает высвобождение норадреналина и применялся для лечения ПТСР.
В данном случае эксцизионная биопсия с удалением всего образования одновременно стала окончательным лечением. Описаны и другие методы удаления мукоцеле, включая углекислотный (CO2) лазер, криохирургию, интралезионное введение стероидов и склерозирующих средств. Следует отметить, что для мукоцеле сравнительно высока частота рецидивов, тогда как для фибром раздражения — низкая. Для обеспечения благоприятного отдаленного исхода необходимо учитывать психологический компонент этиологии, в том числе направлять пациента к соответствующему специалисту по психическому здоровью.
Вывод
Настоящий случай был необычным, поскольку у пациентки выявлены множественные одновременные мукоцеле нижней губы с этиологией в виде прикуса губ на фоне ПТСР. Окончательное ведение подобных случаев должно включать эксцизионную биопсию для дифференциации и постановки диагноза, а также направление к специалисту в сфере психического здоровья для оценки и лечения ПТСР.
Авторы:
Therin J. Baum, DDS, MS, DDS, MS
Simon R. MacNeill, BDS, DDS
Patrick Lai, DDS, DDS, MS, PhD
Tanya M. Gibson, DDS
Christopher M. Cobb, LPC
Charles M. Cobb, DDS, MS, PhD



0 комментариев