Позднее отторжение имплантата, особенно в эстетической зоне, представляет собой серьезную клиническую и биологическую проблему. В этом отчете о клиническом случае описан биологически обоснованный метод лечения, основанный на цифровом управлении, для устранения неисправности имплантата из-за периимплантита и неправильного положения у 26-летней пациентки.
Зубные имплантаты являются краеугольным камнем современной реабилитации полости рта, обеспечивая долгосрочную стабильность и эстетические результаты как при частичной, так и при полном протезировании. Несмотря на высокие показатели приживаемости имплантатов, растущая распространенность осложнений, связанных с имплантацией, включая перелом имплантата, периимплантит и мукозит вокруг имплантата, подчеркивает необходимость разработки передовых протоколов профилактики и повторного лечения. Периимплантит, в частности, является многофакторным заболеванием, на которое влияет целый ряд факторов риска, таких как накопление зубного налета, конструкция имплантата, несоответствие протеза, окклюзионная перегрузка и состояния, связанные с пациентом, такие как курение или системные заболевания. При отсутствии лечения периимплантит может привести к позднему отказу имплантата, характеризующемуся прогрессирующей потерей костной массы, инфекцией и эстетическими или функциональными нарушениями.
В случаях прогрессирующей потери костной массы или предъявления высоких эстетических требований часто возникает необходимость в удалении и замене имплантатов. Несмотря на то, что этот подход позволяет начать все сначала, он сопряжен со значительными трудностями: потеря периимплантированной кости и мягких тканей часто требует передовых реконструктивных стратегий. Управляемая регенерация костной ткани (GBR) в сочетании с тщательным планированием протезирования имеет решающее значение для восстановления подходящего фундамента для установки имплантатов в будущем. В этом контексте цифровые технологии, включающие КЛКТ, интраоральное сканирование и хирургические протоколы с компьютерным управлением, могут значительно повысить точность и предсказуемость процедур реимплантации.
Кроме того, неправильное расположение или некачественное планирование имплантатов является основным фактором, способствующим долговременной биологической и протезной несостоятельности, особенно в эстетической зоне. Даже незначительные отклонения от идеального положения могут привести к биомеханической перегрузке, повреждению протеза и, в конечном итоге, к разрушению тканей. Ранняя диагностика и своевременная коррекция, часто путем удаления имплантата и регенерации участка, имеют жизненно важное значение для достижения оптимальных результатов повторного лечения.
Последние достижения в технологии обработки поверхности имплантатов могут улучшить клинические результаты при реимплантации. Гидрофильные поверхности продемонстрировали повышенную смачиваемость и раннее клеточное взаимодействие, способствуя более быстрому заживлению и поддерживая раннюю остеоинтеграцию. В частности, имплантаты с поверхностями с пескоструйной обработкой и кислотным травлением, модифицированными pH-буферными агентами, такими как ультра-гидрофильная поверхность SOI Super Osseointegration (Osstem), показали многообещающие результаты в повышении стабильности и реакции кости на ранние нагрузки. Эти инновации особенно ценны в случаях повреждения костной ткани или когда после регенерации показаны немедленные или ранние нагрузки.
В конечном счете, успешное лечение позднего отказа имплантатов требует индивидуального междисциплинарного подхода, который объединяет цифровое планирование, передовые регенеративные процедуры и инновационные биоматериалы. Цель состоит не только в восстановлении утраченных тканей и функциональных возможностей, но и в удовлетворении эстетических ожиданий пациентов с помощью точных, биологически обоснованных протоколов.
Клинический случай
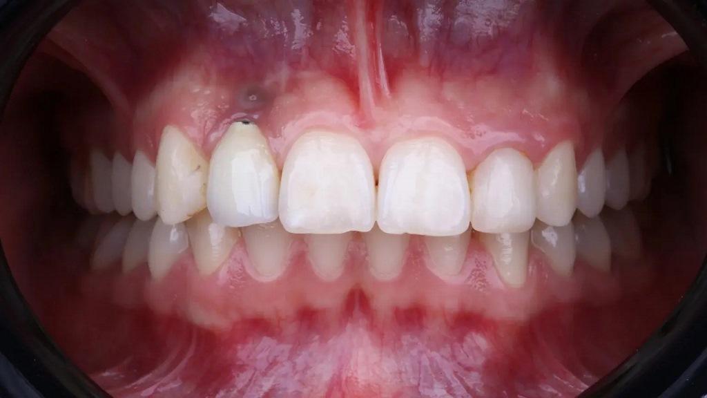
26-летнся пациентка с частичной адентией обратилась в клинику с эстетическими проблемами в области правого бокового резца верхней челюсти. Клиническое обследование выявило остеоинтегрированный, но неправильно расположенный имплантат. Мягкие ткани вокруг имплантата казались тонкими и воспаленными. Кроме того, сквозь десну было видно темно-сероватое обесцвечивание, называемое эффектом зонтика, вызванное потерей периимплантной кости и просвечиванием титанового имплантата (фото 1).
Фото 1: Воспаление слизистой оболочки вокруг имплантата (эффект зонтика), вызванное потерей костной массы и просвечивание титанового имплантата.
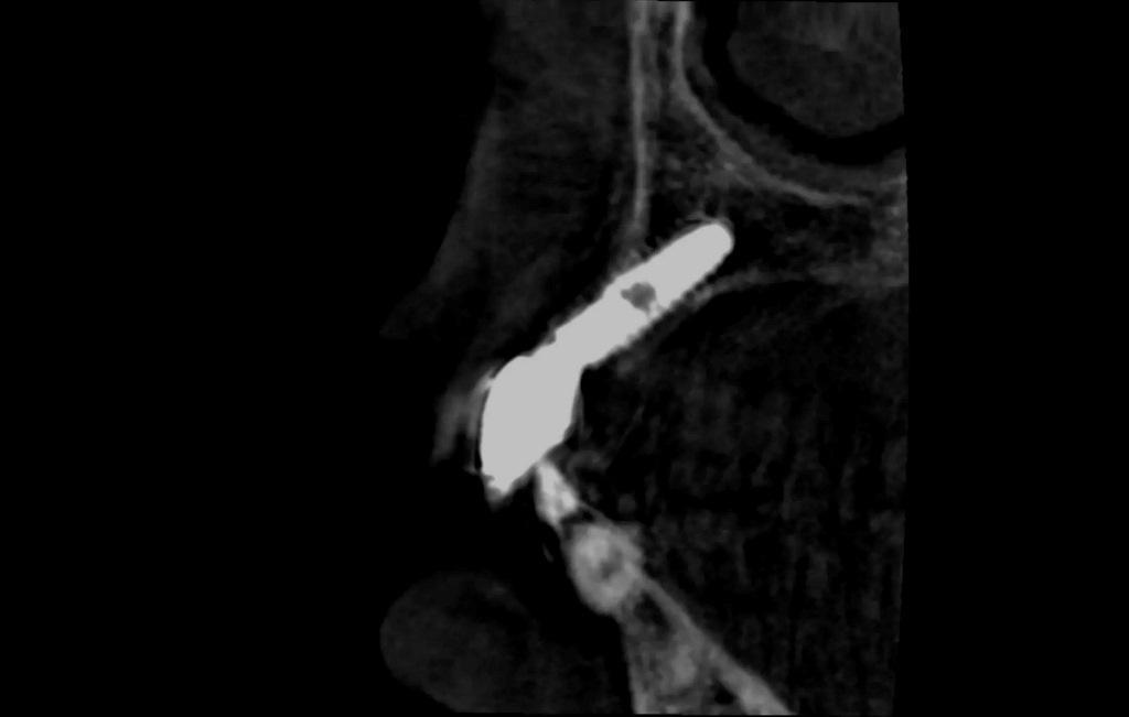
Периапикальные рентгенограммы показали контакт кости с мезиальной и дистальной сторонами имплантата. Однако клиническое исследование и КЛКТ выявили потерю лабиальной и небной костной массы, что свидетельствует о неправильном расположении имплантата (фото 2).
Фото 2: КЛКТ свидетельствует о неправильном расположении лабиального имплантата и потере костной массы.
Пациентка сообщила о врожденной агенезии правого бокового резца верхней челюсти и установке имплантата за несколько лет до этого обращения. После всестороннего обсуждения вариантов лечения пациентка согласилась на удаление имплантата и последующую замену после восстановления костной ткани. Это решение было принято из соображений эстетики и высокого риска дальнейшей потери костной массы в течение средне- и долгосрочного периода наблюдения. Пациентка была здорова и не курила.
На первом приеме были получены цифровые снимки с помощью сканера Medit i700. Также были получены периапикальные рентгенограммы и стандартизированные интраоральные и экстраоральные фотографии. Для планирования лечения была создана виртуальная диагностическая карта. В день операции была проведена местная анестезия, и имплантат был атравматично удален с использованием техники эксплантации с обратным вращением. Место операции было обработано и очищено, и на лунку был нанесен коллаген I типа (фото 3).
Фото 3: Атравматичное удаление имплантата.
Для эстетического восстановления беззубой области был установлен временный «Мэрилендский мост» (адгезивный мостовидный протез). После восьминедельного периода заживления была проведена процедура вертикальной пластической хирургии. Была проведена антибиотикопрофилактика (амоксициллин по 2 г за 1 час до операции, затем по 1 г два раза в день в течение восьми дней). Перед операцией также сделала промывание 0,2% раствором хлоргексидина в течение 1 минуты, а место операции изолировали стерильной салфеткой.
Анестезия проводилась с использованием 4%-ного раствора артикаина с добавлением адреналина в соотношении 1:100 000 (Убистезин, 3M ESPE). С помощью лезвия №15с был сделан поперечный разрез на ороговевшей слизистой оболочке и поднят лоскут на всю толщину. Вертикальные разрезы были сделаны на расстоянии двух зубов друг от друга, как мезиально, так и дистально (фото 4).
Фото 4: Процедура вертикальной регенерации костной ткани после восьминедельного периода заживления.
Реципиентная зона была обработана, и из ипсилатеральной части нижней челюсти (наружного косого гребня) с помощью костного скребка MICROSS (META) была извлечена аутогенная кортикальная кость. На небной стороне дефекта была закреплена резорбируемая коллагеновая мембрана OssMem Hard (Osstem Implant). В дефект была помещена смесь аутогенной кости и неорганической бычьей кости A-Oss Osstem Implant), составленная один к одному; размер частиц: 0,25-1,00 мм; всего 0,5 г. Затем мембрану закрепили двумя дополнительными крепежными винтами.
После восьми месяцев безболезненного заживления была проведена КЛКТ-томография (поле обзора 6 × 8 см, 90 кВп, ~ 7 мА). Для обеспечения оптимального позиционирования имплантата была разработана хирургическая направляющая с протезным управлением. Под местной анестезией был поднят лоскут без вертикальных разрезов. Новый имплантат TSIII SOI размером 3,5 × 11,5 мм был установлен с использованием полностью управляемого протокола (Osstem Implant) (фото 5). После установки имплантата из небной области (от первого премоляра до первого моляра) был взят соединительнотканный трансплантат и наложены швы для утолщения слизистой оболочки вокруг имплантата (фото 6). Пациентке предоставили лекарства и подробные инструкции по послеоперационному уходу.
Фото 5: Послеоперационная рентгенограмма полости рта после установки имплантата и вертикальной направленной регенерации кости.
Фото 6: Соединительнотканный трансплантат используется для утолщения слизистой оболочки вокруг имплантата.
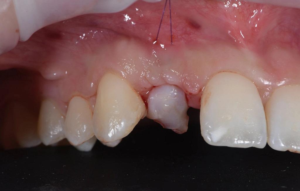
После четырех месяцев заживления была проведена малоинвазивная процедура вскрытия и сделан цифровой слепок. Через две недели для придания контура мягким тканям вокруг имплантата была установлена временная реставрация с винтовой фиксацией (фото 7-8).
Фото 7: Заживление тканей после установки имплантата и пересадки соединительной ткани.
Фото 8: Временная винтовая реставрация устанавливается для придания формы мягким тканям вокруг имплантата.
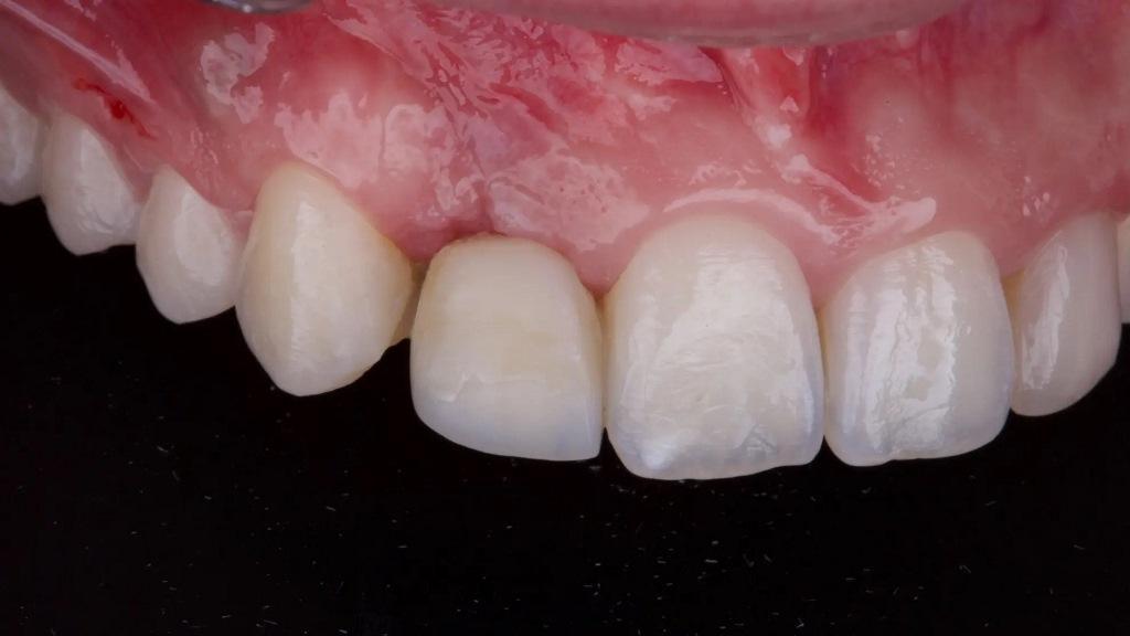
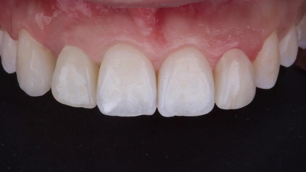
Примерно через три месяца был сделан окончательный слепок, и была изготовлена окончательная циркониевая коронка с керамическим покрытием, которая была закреплена на титановом гибридном абатменте (фото 9). Окклюзия была тщательно скорректирована, и пациентка была включена в структурированную программу технического обслуживания с четырехмесячными интервалами восстановления. В течение года наблюдения имплантат продемонстрировал отличные клинические и рентгенологические результаты, продемонстрировав стабильность мягких тканей и отсутствие признаков воспаления или потери костной массы. Пациентка сообщила о полном удовлетворении эстетическими и функциональными результатами.
Фото 9: Окончательное протезирование: коронка из диоксида циркония с фарфоровым покрытием закреплена на титановом соединительном абатменте.
Обсуждение
Этот случай подчеркивает многофакторный характер лечения позднего отторжения имплантата, особенно в эстетической области, и подчеркивает индивидуальное, биологически и протезно ориентированное вмешательство. По мере развития имплантологической стоматологии клиницисты все чаще сталкиваются с неудачными имплантатами, установленными годами ранее, часто в неоптимальных условиях. Поздние осложнения, такие как периимплантит и нарушение эстетики, в настоящее время являются обычным явлением, что усиливает необходимость комплексного диагностического, хирургического и восстановительного планирования для предотвращения таких рисков, как неправильное позиционирование.
Первое важное клиническое решение при лечении вышедшего из строя имплантата - попытаться его восстановить или приступить к удалению. Этот выбор должен основываться на сочетании научных данных, опыта клинициста и индивидуальных факторов пациента, включая потерю костной массы, состояние мягких тканей, эстетические ожидания и долгосрочный прогноз. Общепринятая классификация периимплантационных заболеваний подчеркивает стадийность и градацию, что помогает определить тяжесть заболевания и соответствующее вмешательство. В данном случае имплантат привел к прогрессирующей потере лабиальной и небной костной массы и истончению мягких тканей — оба неблагоприятных прогностических показателя. Согласно недавнему консенсусу, имплантаты, демонстрирующие прогрессирующую потерю костной массы по окружности, особенно в эстетических областях, следует незамедлительно удалять, чтобы предотвратить дальнейшее повреждение твердых и мягких тканей.
Как только было показано удаление, использование техники эксплантации с обратным вращением позволило обеспечить минимально инвазивный и сохраняющий кость подход. Было доказано, что этот консервативный метод сводит к минимуму дополнительную травму и сохраняет целостность пораженного участка, тем самым поддерживая будущие регенеративные процедуры.
Краеугольным камнем успешной реимплантации является протезирование, обеспечивающее идеальное трехмерное позиционирование относительно окончательной реставрации. В данном случае первоначальное неправильное расположение привело к биологическим и эстетическим нарушениям, что иллюстрирует, как даже незначительные отклонения могут вызвать долгосрочные осложнения. Правильное расположение имплантата не только способствует оптимальному распределению нагрузки и управлению мягкими тканями, но и поддерживает эстетическую гармонию. Для достижения этой цели требуется заблаговременное цифровое планирование, оценка на основе КЛКТ и виртуальные слепки, чтобы визуализировать идеальный результат и разработать хирургический подход для его достижения.
Для реконструкции утраченного альвеолярного отростка была выполнена вертикальная GBR. Вертикальные костные дефекты остаются одним из наиболее сложных показаний в регенеративной стоматологии из-за ограниченной васкуляризации и более высокого риска осложнений. Однако предсказуемые результаты могут быть достигнуты при использовании структурированного протокола, включающего аутогенную кортикальную кость, ксенотрансплантаты и рассасывающиеся мембраны, стабилизированные фиксирующими винтами. Выбор материала для трансплантации и мембраны играет важную роль в сохранении пространства и поддержании остеогенеза в период заживления.
Еще одним новшеством в этом случае стало использование гидрофильно-модифицированной поверхности имплантата, обработанной пескоструйной обработкой и кислотным травлением. Имплантаты с высокой поверхностной энергией и смачиваемостью продемонстрировали превосходную раннюю реакцию кости, более быструю остеоинтеграцию и лучшие результаты при пересадке или повреждении участков. Эти преимущества особенно ценны для регенерированной кости, где сосудистость и динамика заживления более тонкие, чем в нетронутой кости.
Несмотря на клинический успех, этот случай подчеркивает важность профилактики как ключевой стратегии в современной имплантологии. Профилактика начинается с правильной установки имплантатов, продуманного дизайна протеза и индивидуальных протоколов технического обслуживания. Неправильное позиционирование, неадекватное планирование или пренебрежение обслуживанием периимплантата значительно увеличивают риск поздних осложнений. Долгосрочный успех зависит не только от мастерства хирурга и используемых биоматериалов, но и от способности клинициста с самого начала применять принципы профилактики.
Заключение
Этот случай является примером комплексного, управляемого цифровыми средствами и биологически обоснованного подхода к лечению позднего отторжения имплантатов в эстетической зоне. Последовательность атравматичного удаления, вертикальной GBR, пересадки мягких тканей и реимплантации с помощью протеза привела к эстетически и функционально стабильному результату. Использование биоматериалов, в частности аутогенной кости, ксенотрансплантата, рассасывающейся мембраны и имплантата с гидрофильной поверхностью, способствовало предсказуемому заживлению и долгосрочному успеху. Самое главное, что этот случай подтверждает важность профилактики: установка имплантатов в правильном положении при поддержке цифрового планирования и прогнозирования протезирования остается наиболее эффективной стратегией уменьшения будущих осложнений. В сложных или неудачных случаях своевременное вмешательство, основанное на системах стадирования и оценки, может превратить биологически сложные сценарии в предсказуемые возможности для восстановления.
Авторы:
Dr Silvio Mario Meloni
Dr Marco Tallarico
Carlotta Cacciò
Позднее отторжение имплантата, особенно в эстетической зоне, представляет собой серьезную клиническую и биологическую проблему. В этом отчете о клиническом случае описан биологически обоснованный метод лечения, основанный на цифровом управлении, для устранения неисправности имплантата из-за периимплантита и неправильного положения у 26-летней пациентки.
Зубные имплантаты являются краеугольным камнем современной реабилитации полости рта, обеспечивая долгосрочную стабильность и эстетические результаты как при частичной, так и при полном протезировании. Несмотря на высокие показатели приживаемости имплантатов, растущая распространенность осложнений, связанных с имплантацией, включая перелом имплантата, периимплантит и мукозит вокруг имплантата, подчеркивает необходимость разработки передовых протоколов профилактики и повторного лечения. Периимплантит, в частности, является многофакторным заболеванием, на которое влияет целый ряд факторов риска, таких как накопление зубного налета, конструкция имплантата, несоответствие протеза, окклюзионная перегрузка и состояния, связанные с пациентом, такие как курение или системные заболевания. При отсутствии лечения периимплантит может привести к позднему отказу имплантата, характеризующемуся прогрессирующей потерей костной массы, инфекцией и эстетическими или функциональными нарушениями.
В случаях прогрессирующей потери костной массы или предъявления высоких эстетических требований часто возникает необходимость в удалении и замене имплантатов. Несмотря на то, что этот подход позволяет начать все сначала, он сопряжен со значительными трудностями: потеря периимплантированной кости и мягких тканей часто требует передовых реконструктивных стратегий. Управляемая регенерация костной ткани (GBR) в сочетании с тщательным планированием протезирования имеет решающее значение для восстановления подходящего фундамента для установки имплантатов в будущем. В этом контексте цифровые технологии, включающие КЛКТ, интраоральное сканирование и хирургические протоколы с компьютерным управлением, могут значительно повысить точность и предсказуемость процедур реимплантации.
Кроме того, неправильное расположение или некачественное планирование имплантатов является основным фактором, способствующим долговременной биологической и протезной несостоятельности, особенно в эстетической зоне. Даже незначительные отклонения от идеального положения могут привести к биомеханической перегрузке, повреждению протеза и, в конечном итоге, к разрушению тканей. Ранняя диагностика и своевременная коррекция, часто путем удаления имплантата и регенерации участка, имеют жизненно важное значение для достижения оптимальных результатов повторного лечения.
Последние достижения в технологии обработки поверхности имплантатов могут улучшить клинические результаты при реимплантации. Гидрофильные поверхности продемонстрировали повышенную смачиваемость и раннее клеточное взаимодействие, способствуя более быстрому заживлению и поддерживая раннюю остеоинтеграцию. В частности, имплантаты с поверхностями с пескоструйной обработкой и кислотным травлением, модифицированными pH-буферными агентами, такими как ультра-гидрофильная поверхность SOI Super Osseointegration (Osstem), показали многообещающие результаты в повышении стабильности и реакции кости на ранние нагрузки. Эти инновации особенно ценны в случаях повреждения костной ткани или когда после регенерации показаны немедленные или ранние нагрузки.
В конечном счете, успешное лечение позднего отказа имплантатов требует индивидуального междисциплинарного подхода, который объединяет цифровое планирование, передовые регенеративные процедуры и инновационные биоматериалы. Цель состоит не только в восстановлении утраченных тканей и функциональных возможностей, но и в удовлетворении эстетических ожиданий пациентов с помощью точных, биологически обоснованных протоколов.
Клинический случай
26-летнся пациентка с частичной адентией обратилась в клинику с эстетическими проблемами в области правого бокового резца верхней челюсти. Клиническое обследование выявило остеоинтегрированный, но неправильно расположенный имплантат. Мягкие ткани вокруг имплантата казались тонкими и воспаленными. Кроме того, сквозь десну было видно темно-сероватое обесцвечивание, называемое эффектом зонтика, вызванное потерей периимплантной кости и просвечиванием титанового имплантата (фото 1).
Фото 1: Воспаление слизистой оболочки вокруг имплантата (эффект зонтика), вызванное потерей костной массы и просвечивание титанового имплантата.
Периапикальные рентгенограммы показали контакт кости с мезиальной и дистальной сторонами имплантата. Однако клиническое исследование и КЛКТ выявили потерю лабиальной и небной костной массы, что свидетельствует о неправильном расположении имплантата (фото 2).
Фото 2: КЛКТ свидетельствует о неправильном расположении лабиального имплантата и потере костной массы.
Пациентка сообщила о врожденной агенезии правого бокового резца верхней челюсти и установке имплантата за несколько лет до этого обращения. После всестороннего обсуждения вариантов лечения пациентка согласилась на удаление имплантата и последующую замену после восстановления костной ткани. Это решение было принято из соображений эстетики и высокого риска дальнейшей потери костной массы в течение средне- и долгосрочного периода наблюдения. Пациентка была здорова и не курила.
На первом приеме были получены цифровые снимки с помощью сканера Medit i700. Также были получены периапикальные рентгенограммы и стандартизированные интраоральные и экстраоральные фотографии. Для планирования лечения была создана виртуальная диагностическая карта. В день операции была проведена местная анестезия, и имплантат был атравматично удален с использованием техники эксплантации с обратным вращением. Место операции было обработано и очищено, и на лунку был нанесен коллаген I типа (фото 3).
Фото 3: Атравматичное удаление имплантата.
Для эстетического восстановления беззубой области был установлен временный «Мэрилендский мост» (адгезивный мостовидный протез). После восьминедельного периода заживления была проведена процедура вертикальной пластической хирургии. Была проведена антибиотикопрофилактика (амоксициллин по 2 г за 1 час до операции, затем по 1 г два раза в день в течение восьми дней). Перед операцией также сделала промывание 0,2% раствором хлоргексидина в течение 1 минуты, а место операции изолировали стерильной салфеткой.
Анестезия проводилась с использованием 4%-ного раствора артикаина с добавлением адреналина в соотношении 1:100 000 (Убистезин, 3M ESPE). С помощью лезвия №15с был сделан поперечный разрез на ороговевшей слизистой оболочке и поднят лоскут на всю толщину. Вертикальные разрезы были сделаны на расстоянии двух зубов друг от друга, как мезиально, так и дистально (фото 4).
Фото 4: Процедура вертикальной регенерации костной ткани после восьминедельного периода заживления.
Реципиентная зона была обработана, и из ипсилатеральной части нижней челюсти (наружного косого гребня) с помощью костного скребка MICROSS (META) была извлечена аутогенная кортикальная кость. На небной стороне дефекта была закреплена резорбируемая коллагеновая мембрана OssMem Hard (Osstem Implant). В дефект была помещена смесь аутогенной кости и неорганической бычьей кости A-Oss Osstem Implant), составленная один к одному; размер частиц: 0,25-1,00 мм; всего 0,5 г. Затем мембрану закрепили двумя дополнительными крепежными винтами.
После восьми месяцев безболезненного заживления была проведена КЛКТ-томография (поле обзора 6 × 8 см, 90 кВп, ~ 7 мА). Для обеспечения оптимального позиционирования имплантата была разработана хирургическая направляющая с протезным управлением. Под местной анестезией был поднят лоскут без вертикальных разрезов. Новый имплантат TSIII SOI размером 3,5 × 11,5 мм был установлен с использованием полностью управляемого протокола (Osstem Implant) (фото 5). После установки имплантата из небной области (от первого премоляра до первого моляра) был взят соединительнотканный трансплантат и наложены швы для утолщения слизистой оболочки вокруг имплантата (фото 6). Пациентке предоставили лекарства и подробные инструкции по послеоперационному уходу.
Фото 5: Послеоперационная рентгенограмма полости рта после установки имплантата и вертикальной направленной регенерации кости.
Фото 6: Соединительнотканный трансплантат используется для утолщения слизистой оболочки вокруг имплантата.
После четырех месяцев заживления была проведена малоинвазивная процедура вскрытия и сделан цифровой слепок. Через две недели для придания контура мягким тканям вокруг имплантата была установлена временная реставрация с винтовой фиксацией (фото 7-8).
Фото 7: Заживление тканей после установки имплантата и пересадки соединительной ткани.
Фото 8: Временная винтовая реставрация устанавливается для придания формы мягким тканям вокруг имплантата.
Примерно через три месяца был сделан окончательный слепок, и была изготовлена окончательная циркониевая коронка с керамическим покрытием, которая была закреплена на титановом гибридном абатменте (фото 9). Окклюзия была тщательно скорректирована, и пациентка была включена в структурированную программу технического обслуживания с четырехмесячными интервалами восстановления. В течение года наблюдения имплантат продемонстрировал отличные клинические и рентгенологические результаты, продемонстрировав стабильность мягких тканей и отсутствие признаков воспаления или потери костной массы. Пациентка сообщила о полном удовлетворении эстетическими и функциональными результатами.
Фото 9: Окончательное протезирование: коронка из диоксида циркония с фарфоровым покрытием закреплена на титановом соединительном абатменте.
Обсуждение
Этот случай подчеркивает многофакторный характер лечения позднего отторжения имплантата, особенно в эстетической области, и подчеркивает индивидуальное, биологически и протезно ориентированное вмешательство. По мере развития имплантологической стоматологии клиницисты все чаще сталкиваются с неудачными имплантатами, установленными годами ранее, часто в неоптимальных условиях. Поздние осложнения, такие как периимплантит и нарушение эстетики, в настоящее время являются обычным явлением, что усиливает необходимость комплексного диагностического, хирургического и восстановительного планирования для предотвращения таких рисков, как неправильное позиционирование.
Первое важное клиническое решение при лечении вышедшего из строя имплантата - попытаться его восстановить или приступить к удалению. Этот выбор должен основываться на сочетании научных данных, опыта клинициста и индивидуальных факторов пациента, включая потерю костной массы, состояние мягких тканей, эстетические ожидания и долгосрочный прогноз. Общепринятая классификация периимплантационных заболеваний подчеркивает стадийность и градацию, что помогает определить тяжесть заболевания и соответствующее вмешательство. В данном случае имплантат привел к прогрессирующей потере лабиальной и небной костной массы и истончению мягких тканей — оба неблагоприятных прогностических показателя. Согласно недавнему консенсусу, имплантаты, демонстрирующие прогрессирующую потерю костной массы по окружности, особенно в эстетических областях, следует незамедлительно удалять, чтобы предотвратить дальнейшее повреждение твердых и мягких тканей.
Как только было показано удаление, использование техники эксплантации с обратным вращением позволило обеспечить минимально инвазивный и сохраняющий кость подход. Было доказано, что этот консервативный метод сводит к минимуму дополнительную травму и сохраняет целостность пораженного участка, тем самым поддерживая будущие регенеративные процедуры.
Краеугольным камнем успешной реимплантации является протезирование, обеспечивающее идеальное трехмерное позиционирование относительно окончательной реставрации. В данном случае первоначальное неправильное расположение привело к биологическим и эстетическим нарушениям, что иллюстрирует, как даже незначительные отклонения могут вызвать долгосрочные осложнения. Правильное расположение имплантата не только способствует оптимальному распределению нагрузки и управлению мягкими тканями, но и поддерживает эстетическую гармонию. Для достижения этой цели требуется заблаговременное цифровое планирование, оценка на основе КЛКТ и виртуальные слепки, чтобы визуализировать идеальный результат и разработать хирургический подход для его достижения.
Для реконструкции утраченного альвеолярного отростка была выполнена вертикальная GBR. Вертикальные костные дефекты остаются одним из наиболее сложных показаний в регенеративной стоматологии из-за ограниченной васкуляризации и более высокого риска осложнений. Однако предсказуемые результаты могут быть достигнуты при использовании структурированного протокола, включающего аутогенную кортикальную кость, ксенотрансплантаты и рассасывающиеся мембраны, стабилизированные фиксирующими винтами. Выбор материала для трансплантации и мембраны играет важную роль в сохранении пространства и поддержании остеогенеза в период заживления.
Еще одним новшеством в этом случае стало использование гидрофильно-модифицированной поверхности имплантата, обработанной пескоструйной обработкой и кислотным травлением. Имплантаты с высокой поверхностной энергией и смачиваемостью продемонстрировали превосходную раннюю реакцию кости, более быструю остеоинтеграцию и лучшие результаты при пересадке или повреждении участков. Эти преимущества особенно ценны для регенерированной кости, где сосудистость и динамика заживления более тонкие, чем в нетронутой кости.
Несмотря на клинический успех, этот случай подчеркивает важность профилактики как ключевой стратегии в современной имплантологии. Профилактика начинается с правильной установки имплантатов, продуманного дизайна протеза и индивидуальных протоколов технического обслуживания. Неправильное позиционирование, неадекватное планирование или пренебрежение обслуживанием периимплантата значительно увеличивают риск поздних осложнений. Долгосрочный успех зависит не только от мастерства хирурга и используемых биоматериалов, но и от способности клинициста с самого начала применять принципы профилактики.
Заключение
Этот случай является примером комплексного, управляемого цифровыми средствами и биологически обоснованного подхода к лечению позднего отторжения имплантатов в эстетической зоне. Последовательность атравматичного удаления, вертикальной GBR, пересадки мягких тканей и реимплантации с помощью протеза привела к эстетически и функционально стабильному результату. Использование биоматериалов, в частности аутогенной кости, ксенотрансплантата, рассасывающейся мембраны и имплантата с гидрофильной поверхностью, способствовало предсказуемому заживлению и долгосрочному успеху. Самое главное, что этот случай подтверждает важность профилактики: установка имплантатов в правильном положении при поддержке цифрового планирования и прогнозирования протезирования остается наиболее эффективной стратегией уменьшения будущих осложнений. В сложных или неудачных случаях своевременное вмешательство, основанное на системах стадирования и оценки, может превратить биологически сложные сценарии в предсказуемые возможности для восстановления.
Авторы:
Dr Silvio Mario Meloni
Dr Marco Tallarico
Carlotta Cacciò



0 комментариев