Эффективные стратегии лечения позднего отказа имплантата и периимплантита
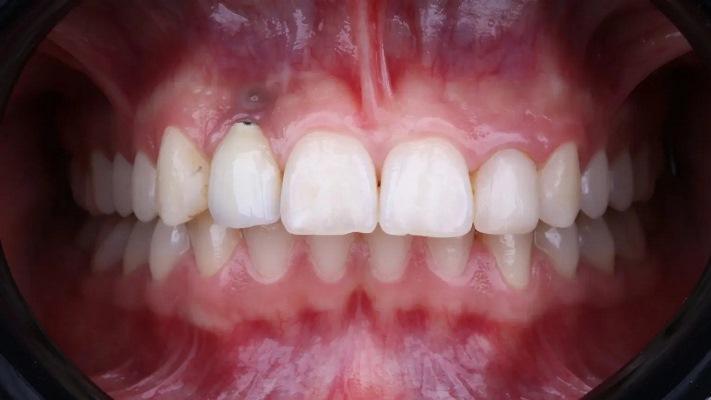
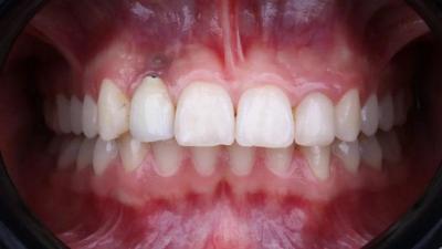
Позднее отторжение имплантата, особенно в эстетической зоне, представляет собой серьезную клиническую и биологическую проблему. В этом отчете о клиническом случае описан биологически обоснованный метод лечения, основанный на цифровом управлении, для устранения неисправности имплантата из-за периимплантита и неправильного положения у 26-летней пациентки.
Прорыв в области управляемой регенерации костной ткани: 3D-печать прокладывает путь к созданию современных скаффолдов
Разработка костных скаффолдов, напечатанных на 3D-принтере, представляет собой важное достижение в общеизвестном сложном процессе поэтапной аугментации альвеолярного гребня.
Упрощенный метод регенерации костной ткани при установке имплантата с использованием титановой мембраны
Лечение адентии с помощью дентальных имплантатов часто сочетается с процедурами пересадки твердых и мягких тканей для улучшения стабильности маргинальной кости и эстетических результатов. Один из таких методов пересадки твердых тканей включает в себя применение титановой мембраны в качестве приспособления для сохранения пространства, которое удерживает трансплантационный материал и поддерживает мягкие ткани. Однако эти мембраны, как правило, ограничены в возможностях индивидуализации и поэтому часто не подходят для различных клинических ситуаций. В данном отчете представлен упрощенный прототип конструкции титановой мембраны, связанной с абатментом. Такая конструкция обеспечивает более высокий уровень персонализации и демонстрирует стабильные клинические и рентгенографические результаты после 2 лет наблюдения.
Молекулы на основе макролидов стимулируют регенерацию костной ткани
Исследователи обнаружили, что неантибиотическое производное эритромицина может помочь восстановить костную ткань, утраченную из-за возрастного периодонтита, что потенциально может привести к новым методам лечения нарушений потери костной массы.
Новое покрытие поверхности имплантата ускорит регенерацию костной ткани
Направленная костная регенерация широко используется при операциях по имплантации зубов. Однако для пациентов с недостаточным количеством и качеством костной ткани этот метод менее успешен и требует более длительного периода лечения. Для значительного облегчения регенерации кости использования только барьерных мембран для предотвращения врастания неостеогенных клеток недостаточно. Поэтому исследователи из Южной Кореи разработали материал для остеогенного барьерного покрытия, который, как ожидается, повысит вероятность успешного лечения, независимо от качества кости.
Исследование на животных определило путь к созданию нового материала для покрытия имплантатов
Исследователи из Кореи разработали новое покрытие для зубных имплантатов, которое может значительно облегчить регенерацию костной ткани.
Двухсторонний синус-лифтинг с использованием различных методик
При адентии в боковом отделе верхней челюсти наблюдается уменьшение высоты кости, обусловленное прогрессирующей пневматизацией верхнечелюстной пазухи и резорбцией альвеолярного гребня. Недостаточная высота кости препятствует установке дентальных имплантатов. Закрытый и открытый синус-лифтинг позволяют эффективно увеличить высоту кости в боковом отделе верхней челюсти.
Эстетическая и функциональная реабилитация с применением аутогенных тканей с бугра верхней челюсти
С внедрением зубной имплантации в повседневную практику возник буквально бум методик по восстановлению альвеолярных отростков после выраженной атрофии, не позволяющей установить зубные имплантаты. Первоначально для аугментации использовалась только аутогенная ткань. Причем превалировали внеротовые донорские зоны, например кости свода черепа или подвздошная кость, так как эти методики были позаимствованы из реконструктивной челюстно-лицевой хирургии. С развитием зубной имплантации появились самостоятельные менее травматичные методики. Стал преобладать внутриротовой забор костной ткани.
Разработали гидрогель для восстановления костной ткани
Исследователи из Стоматологической школы Лос-Анджелеса Калифорнийского университета разработали новый гидрогель с высокой пористостью, благодаря которому происходит более эффективное восстановление тканей. Предполагается, что новое поколение гидрогелевых систем позволит улучшить свойства биоматериалов для восстановления костных повреждений.
Цитоконус - консервативное лечение дегисценций вестибулярной стенки лунки перед имплантацией
Когда после удаления в области лунки зуба отмечается наличие щечной дегисценции, врач может попробовать восстановить ее при помощи костного заменителя и плотной политетрафторэтиленовой мембраны (d-PTFE), которую устанавливают под сформированный щечный лоскут. Однако, как раз сепарация лоскута и является проблемным аспектом подобного вмешательства в эстетической области. В результате подобной манипуляции развиваются потеря костной ткани и рецессии, что связано с нарушением периостального кровоснабжения. Избежать сепарации лоскута можно посредством формирования так называемой техники «конуса», похожей на ту, которая используется в процессе наполнения конусообразного рожка мороженным.

