В статье представлен клинический случай, демонстрирующий упрощенный протокол немедленной установки имплантата и последующего восстановления одиночного несостоятельного переднего зуба верхней челюсти.
Клиницисты нередко сталкиваются со случаями перелома одиночного зуба вследствие реставрационных, эндодонтических, пародонтальных причин или их сочетания. Зуб может быть признан не поддающимся реставрации, либо пациент отказывается от попыток сохранения в пользу имплантации.
Для успеха немедленной установки требуется обеспечить достаточную площадь контакта «кость—имплантат» (ККИ) и первичную стабильность. На первичную стабильность влияют плотность кости и конструкция резьбы имплантата. Подготовка места установки также влияет на первоначальную стабильность имплантата и особенно важна в переднем отделе верхней челюсти из-за того, что в этой области кость обычно имеет меньшую плотность. Показано, что повышение плотности кости в процессе подготовки улучшает первичную стабильность имплантата и ускоряет заживление вокруг него. Оссеоденсификация обеспечивает эффективную первичную стабильность в кости низкой плотности при сохранении маргинальной костной ткани после нагрузки. Применение специализированных боров для оссеоденсификации при подготовке остеотомии повышает плотность кости вокруг имплантата.
Конструкция резьбы имплантата также влияет на первичную стабильность. Имплантаты с более глубокой резьбой (макрогеометрия) обеспечивают большее вовлечение окружающей кости и больший ККИ на этапе установки, что дает хорошую первичную устойчивость. Для максимизации первичной стабильности целесообразно обеспечивать зацепление с костью апикальнее верхушки корня удаляемого зуба, поскольку в гребневой части лунки при немедленной установке достаточного ККИ изначально может не быть. Увеличение длины имплантата с учетом доступной анатомии способствует повышению первичной стабильности. Кроме того, недостаточное препарирование апикального участка позволяет оссеоденсификации повысить плотность кости и увеличить ККИ. Спиральный имплантат с коническим корпусом и глубокой резьбой, как в данном наблюдении, обеспечивает дополнительную оссеоденсификацию при ввинчивании и лучшую первичную стабильность по сравнению с имплантатами с мелкой резьбой или неконическим корпусом. Недавнее исследование показало высокую выживаемость и сохранность кости на уровне гребня со временем при использовании такой конструкции.
Немедленная установка имплантата сопряжена с трудностями при выполнении остеотомии без навигации. Форма лунки может приводить к смещению бора на вестибулярную сторону, что грозит оголением имплантата при установке. Для предотвращения этого можно применять направляемую хирургию. Кроме того, виртуальное планирование позволяет разработать хирургический шаблон на основе анатомии пациента и выполнить протез-ориентированную установку имплантата, минимизируя проблемы на этапе протезирования. Такой подход также дает возможность провести вмешательство без разреза, что повышает комфорт пациента во время и после операции и сокращает время работы врача. Ниже приводится клинический случай, в котором использовано виртуальное планирование для немедленной установки имплантата; восстановительный этап был отложен из-за необходимости костной пластики при установке имплантата и недостаточного крутящего момента, что не позволило выполнить немедленную временную реставрацию.
Клинический случай
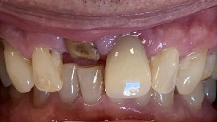
Пациент, мужчина 78 лет, обратился на консультацию по поводу перелома правого верхнего центрального резца (зуб 1.1) (Фото 1). Он пользовался временным частичным протезом для замещения коронки зуба. Пациент выразил желание заменить зуб имплантатом. При изучении анамнеза значимых соматических заболеваний не выявлено.
Фото 1. Пациент обратился с переломом правого верхнего центрального резца (зуб 1.1) на уровне десны.
Для оценки сохранности корня на уровне десны и состояния окружающих тканей выполнена прицельная рентгенограмма зуба 1.1 (Фото 2, слева); для оценки зубных рядов выполнена панорамная реконструкция конусно-лучевой компьютерной томографии (КЛКТ) (Фото 2, справа). Проведено пародонтологическое обследование; остальная зубочелюстная система без патологических изменений. По зубу 1.1 отмечалась небольшая утрата кости с дистальной стороны, рентгенологических признаков периапикальной патологии не выявлено. Апикальнее корня зуба № 8, а также медиально и дистально от него имелась достаточная костная ткань для установки имплантата.
Фото 2. Прицельная рентгенограмма (слева) и панорамная проекция КЛКТ (справа), демонстрирующие перелом центрального резца и его взаиморасположение с окружающими структурами.
Формирование плана лечения
Из-за значительной утраты твердых тканей зуба 1.1 эндодонтическое лечение было признано нецелесообразным и не рекомендовано. В качестве альтернатив рассматривались удаление зуба 1.1 с последующим: изготовлением мостовидного протеза с опорой на зубы 1.2-2.1; изготовлением съемного частичного протеза; либо установкой дентального имплантата. После обсуждения преимуществ и ограничений каждого варианта пациент однозначно предпочел имплантацию ввиду ее предсказуемости в долгосрочной перспективе, возможности сохранить соседние естественные зубы и получить эстетичный, естественный результат. Сформирован план лечения: немедленная установка имплантата в область зуба 1.1 с гребневой костной пластикой и отсроченным протезированием. План обсужден с пациентом; он согласился.
Выполнена КЛКТ, обе челюсти отсканированы интраоральным сканером (Primescan, Dentsply Sirona) для планирования имплантации (Фото 3). Снята оттискная информация полного зубного ряда для изготовления временного ретейнера Essix, который предполагалось использовать в период заживления после установки имплантата. Пациента отпустили домой.
Фото 3. Виртуальная модель верхнечелюстного фронтального отдела с переломанным правым центральным резцом (зуб 1.1).
Данные КЛКТ и интраорального сканирования импортированы в программные продукты inLab и SICAT (Dentsply Sirona) для планирования установки имплантата. В ПО на виртуальную дугу был размещен коронковый отдел зуба 1.1 для протез-ориентированного позиционирования имплантата с учетом предполагаемого расположения окончательной реставрации и имеющейся анатомии (Фото 4). Виртуально задана позиция имплантата под размер 4,2×13 мм (Spiral SB/LA Implant, Ritter Implants). В ПО спроектирован хирургический стент (Фото 5). Хирургический шаблон фрезерован из прозрачного полиметилметакрилата (PMMA) на установке inLab MC X5 (Dentsply Sirona). Ретейнер Essix изготовлен по модели, полученной с 3D-печатной цифровой восковой модели, выполненной на предыдущем приеме.
Фото 4. Виртуальное планирование установки имплантата (нижние изображения) и проектирование виртуальной реставрации (верхние два изображения).
Фото 5. Виртуальный проект хирургического стента, созданный в ПО.
Хирургический прием
Перед началом вмешательства с пациентом повторно обсуждено информированное согласие; после ответов на вопросы форма подписана. Пациенту назначены амоксициллин 1 000 мг и Тайленол 500 мг, затем проведено полоскание 1,2% раствором хлоргексидина (PerioGard, Colgate-Palmolive).
Забрана кровь пациента для получения лейкоцитарного обогащенного тромбоцитами фибрина (L-PRF). Местная анестезия выполнена со стороны щеки и неба в области удаляемого зуба. Периотомом проведено отделение десневого прикрепления от зуба. Корень зуба 1.1 вывихнут элеваторами и атравматично удален универсальным пинцетом. Лунка выскоблена и санирована с удалением грануляций. Проведено обильное орошение стерильным физиологическим раствором. Зондом исследованы стенки лунки на предмет дефектов; таковые не обнаружены, лунка интактна.
Хирургический шаблон введен в полость рта для проверки посадки относительно соседних зубов и стабильности на дуге. Остеотомия выполнена с применением направляемого хирургического набора (Ritter Guided Kit, Ritter Implants) через шаблон для немедленной установки имплантата в область зуба 1.1. Стартовая остеотомия выполнена пилотным сверлом 2,8 мм из направляемого набора (Ritter Implants), введенным через шаблон для обеспечения точной ориентации и позиционирования. Далее проведена оссеоденсификация борами Densah (Versah), в частности 3,0 и 3,5 мм, в обратном режиме (против часовой стрелки) согласно протоколу производителя, при 1 200 об/мин с обильной ирригацией физиологическим раствором. Имплантат (Spiral SB/LA Implant, 4,2×13 мм, Ritter Implants) установлен через хирургический шаблон в полости рта с позиционированием на 3 мм ниже уровня гребня. Вкручивание достигнуто при моменте 25 Н·см. Индивидуальный формирователь десны подготовлен и отложен до этапа установки.
Аллотрансплантат MinerOss (BioHorizons) смешан с PRF, полученным в начале приема, для изготовления смеси «липкая кость». Смесь введена для заполнения гребневых щелей между стенками лунки и имплантатом. Затем на имплантат установлен индивидуальный формирователь десны.
Выполнена прицельная рентгенограмма для проверки посадки формирователя десны и документирования позиции имплантата относительно анатомических структур (Фото 6). Для содействия формированию сгустка между мягкими тканями и «липкой костью» на десну наложено давление. Наложены швы 4-0 из кетгута для удержания мягких тканей в контакте с индивидуальным формирователем десны. В полости рта установлен временный ретейнер Essix; пациенту предписано носить его круглосуточно, снимая только для проведения гигиены, до следующего приема через 2 недели (Фото 7).
Фото 6. Прицельная рентгенограмма после установки индивидуального формирователя десны и гребневой костной пластики; документирована позиция имплантата относительно окружающих структур и глубина его расположения от уровня гребня.
Фото 7. В период остеоинтеграции имплантата в качестве временной реставрации использован ретейнер Essix.
Реставрационный этап
Через 2 недели после немедленной установки имплантата пациент пришел для оценки заживления и удаления оставшихся швов. Отмечено благоприятное заживление, жалоб нет. Пациенту рекомендовано продолжать носить ретейнер Essix днем, допускается не использовать его во сне. Назначен визит через 4 месяца для оценки остеоинтеграции и начала реставрационного этапа.
Через 4 месяца после установки имплантата пациент явился для контроля заживления и оценки остеоинтеграции. После снятия ретейнера Essix мягкие ткани вокруг индивидуального формирователя десны без признаков воспаления (Фото 8). Снятие формирователя десны выявило хорошо сформированный десневой манжет без воспалительных явлений (Фото 9). Показатель ISQ 72 подтвердил успешную остеоинтеграцию и готовность к протезированию.
Фото 8. Индивидуальный формирователь десны после завершения этапа интеграции имплантата.
Фото 9. После снятия формирователя отмечена сформированная десневая манжета без признаков воспаления.
В имплантат установлен скан-боди (5 Axis Dental), совместимый с платформой Ritter 3,5 (Фото 10). Верхняя челюсть отсканирована интраоральным сканером (Primescan). Формирователь десны вновь установлен в полости рта, пациента отпустили домой. Для соответствия соседним зубам выбран оттенок A3,5. Данные сканирования переданы в зуботехническую лабораторию (5 Axis Dental lab) для изготовления индивидуального абатмента и цементируемой коронки.
Фото 10. Скан-боди установлен в имплантат, выполнено сканирование дуги.
Из лаборатории получены индивидуальный абатмент и коронка; пациент явился для фиксации. Сняв формирователь, врач установил индивидуальный ортопедический абатмент в имплантат и затянул винт вручную (Фото 11). Для подтверждения полного сопряжения узла имплантат-абатмент выполнена прицельная рентгенограмма (Фото 12). Коронка примерена в полости рта, проверено краевое прилегание. Пациент осмотрел результат в зеркале и одобрил эстетику.
Фото 11. Установлен индивидуальный абатмент, винт затянут вручную.
Фото 12. Прицельная рентгенограмма, подтверждающая корректную посадку абатмента в имплантат.
Коронка снята, канал доступа к винту в абатменте закрыт тефлоновой лентой. Коронка зафиксирована на абатменте стеклоиономерным цементом (GC FujiCEM 2, GC America). После отверждения цемента излишки по краю удалены зондом. Окклюзия проверена и при необходимости откорректирована (Фото 13). Выполнена прицельная рентгенограмма для документирования окончательной реставрации (Фото 14) и получен интраоральный скан (Primescan) для изготовления ночной каппы.
Фото 13. Окончательная реставрация зафиксирована на индивидуальном абатменте, лечение зуба 1.1 завершено.
Фото 14. Прицельная рентгенограмма коронки на имплантате, зафиксированной на индивидуальном абатменте, демонстрирует уровень кости на гребне относительно уровня имплантата.
Период наблюдения
Через неделю пациент пришел на контроль реставрации с опорой на имплантат и получение ночной каппы. В области краев десны воспаление отсутствовало, пациент сообщил об отсутствии дискомфорта после фиксации (Фото 15). Ночная каппа передана, пациенту даны рекомендации по домашнему уходу и использованию аппарата (Фото 16). Запланировано регулярное проведение профессиональной гигиены.
Фото 15. Через 1 неделю после фиксации коронки пациент пришел за ночной каппой; мягкие ткани вокруг реставрации с опорой на имплантат в хорошем пародонтальном состоянии, маргинального воспаления нет.
Фото 16. Изготовлена и передана ночная каппа для верхней челюсти.
На годовом профилактическом осмотре мягкие ткани вокруг реставрации с опорой на имплантат без признаков воспаления и выглядят здоровыми (Фото 17). Выполнена прицельная рентгенограмма для контроля уровня кости на гребне (Фото 18). Гребневая кость, подсаженная при установке имплантата, сохранялась на необходимом уровне, что указывает на поддержание здоровой кости на уровне гребневой части имплантата.
Фото 17. Через 1 год после установки реставрации мягкие ткани вокруг имплантата в области зуба 1.1 без признаков воспаления.
Фото 18. Прицельная рентгенограмма через 1 год после фиксации реставрации демонстрирует сохранность уровня кости на гребне.
Вывод
Немедленная установка имплантата — распространенная методика при структурном повреждении одиночного зуба, вызванном реставрационными, эндодонтическими, пародонтологическими причинами или их сочетанием. Применение оссеоденсификации и имплантата с глубокой резьбой повышает первичную стабильность, что позволяет либо провести немедленное временное протезирование, либо сократить сроки заживления до установки временной реставрации. Виртуальное планирование и основанный на нем хирургический шаблон облегчают выполнение процедуры и помогают избежать проблем, связанных с установкой без навигации. В данном наблюдении пациент отметил, что весь процесс — от удаления зуба, установки имплантата и временного восстановления до окончательного протезирования — прошел практически безболезненно, а результатом он удовлетворен как с эстетической, так и с функциональной точки зрения.
Авторы:
Rami Salloum, DDS
Gregori M. Kurtzman, DDS
В статье представлен клинический случай, демонстрирующий упрощенный протокол немедленной установки имплантата и последующего восстановления одиночного несостоятельного переднего зуба верхней челюсти.
Клиницисты нередко сталкиваются со случаями перелома одиночного зуба вследствие реставрационных, эндодонтических, пародонтальных причин или их сочетания. Зуб может быть признан не поддающимся реставрации, либо пациент отказывается от попыток сохранения в пользу имплантации.
Для успеха немедленной установки требуется обеспечить достаточную площадь контакта «кость—имплантат» (ККИ) и первичную стабильность. На первичную стабильность влияют плотность кости и конструкция резьбы имплантата. Подготовка места установки также влияет на первоначальную стабильность имплантата и особенно важна в переднем отделе верхней челюсти из-за того, что в этой области кость обычно имеет меньшую плотность. Показано, что повышение плотности кости в процессе подготовки улучшает первичную стабильность имплантата и ускоряет заживление вокруг него. Оссеоденсификация обеспечивает эффективную первичную стабильность в кости низкой плотности при сохранении маргинальной костной ткани после нагрузки. Применение специализированных боров для оссеоденсификации при подготовке остеотомии повышает плотность кости вокруг имплантата.
Конструкция резьбы имплантата также влияет на первичную стабильность. Имплантаты с более глубокой резьбой (макрогеометрия) обеспечивают большее вовлечение окружающей кости и больший ККИ на этапе установки, что дает хорошую первичную устойчивость. Для максимизации первичной стабильности целесообразно обеспечивать зацепление с костью апикальнее верхушки корня удаляемого зуба, поскольку в гребневой части лунки при немедленной установке достаточного ККИ изначально может не быть. Увеличение длины имплантата с учетом доступной анатомии способствует повышению первичной стабильности. Кроме того, недостаточное препарирование апикального участка позволяет оссеоденсификации повысить плотность кости и увеличить ККИ. Спиральный имплантат с коническим корпусом и глубокой резьбой, как в данном наблюдении, обеспечивает дополнительную оссеоденсификацию при ввинчивании и лучшую первичную стабильность по сравнению с имплантатами с мелкой резьбой или неконическим корпусом. Недавнее исследование показало высокую выживаемость и сохранность кости на уровне гребня со временем при использовании такой конструкции.
Немедленная установка имплантата сопряжена с трудностями при выполнении остеотомии без навигации. Форма лунки может приводить к смещению бора на вестибулярную сторону, что грозит оголением имплантата при установке. Для предотвращения этого можно применять направляемую хирургию. Кроме того, виртуальное планирование позволяет разработать хирургический шаблон на основе анатомии пациента и выполнить протез-ориентированную установку имплантата, минимизируя проблемы на этапе протезирования. Такой подход также дает возможность провести вмешательство без разреза, что повышает комфорт пациента во время и после операции и сокращает время работы врача. Ниже приводится клинический случай, в котором использовано виртуальное планирование для немедленной установки имплантата; восстановительный этап был отложен из-за необходимости костной пластики при установке имплантата и недостаточного крутящего момента, что не позволило выполнить немедленную временную реставрацию.
Клинический случай
Пациент, мужчина 78 лет, обратился на консультацию по поводу перелома правого верхнего центрального резца (зуб 1.1) (Фото 1). Он пользовался временным частичным протезом для замещения коронки зуба. Пациент выразил желание заменить зуб имплантатом. При изучении анамнеза значимых соматических заболеваний не выявлено.
Фото 1. Пациент обратился с переломом правого верхнего центрального резца (зуб 1.1) на уровне десны.
Для оценки сохранности корня на уровне десны и состояния окружающих тканей выполнена прицельная рентгенограмма зуба 1.1 (Фото 2, слева); для оценки зубных рядов выполнена панорамная реконструкция конусно-лучевой компьютерной томографии (КЛКТ) (Фото 2, справа). Проведено пародонтологическое обследование; остальная зубочелюстная система без патологических изменений. По зубу 1.1 отмечалась небольшая утрата кости с дистальной стороны, рентгенологических признаков периапикальной патологии не выявлено. Апикальнее корня зуба № 8, а также медиально и дистально от него имелась достаточная костная ткань для установки имплантата.
Фото 2. Прицельная рентгенограмма (слева) и панорамная проекция КЛКТ (справа), демонстрирующие перелом центрального резца и его взаиморасположение с окружающими структурами.
Формирование плана лечения
Из-за значительной утраты твердых тканей зуба 1.1 эндодонтическое лечение было признано нецелесообразным и не рекомендовано. В качестве альтернатив рассматривались удаление зуба 1.1 с последующим: изготовлением мостовидного протеза с опорой на зубы 1.2-2.1; изготовлением съемного частичного протеза; либо установкой дентального имплантата. После обсуждения преимуществ и ограничений каждого варианта пациент однозначно предпочел имплантацию ввиду ее предсказуемости в долгосрочной перспективе, возможности сохранить соседние естественные зубы и получить эстетичный, естественный результат. Сформирован план лечения: немедленная установка имплантата в область зуба 1.1 с гребневой костной пластикой и отсроченным протезированием. План обсужден с пациентом; он согласился.
Выполнена КЛКТ, обе челюсти отсканированы интраоральным сканером (Primescan, Dentsply Sirona) для планирования имплантации (Фото 3). Снята оттискная информация полного зубного ряда для изготовления временного ретейнера Essix, который предполагалось использовать в период заживления после установки имплантата. Пациента отпустили домой.
Фото 3. Виртуальная модель верхнечелюстного фронтального отдела с переломанным правым центральным резцом (зуб 1.1).
Данные КЛКТ и интраорального сканирования импортированы в программные продукты inLab и SICAT (Dentsply Sirona) для планирования установки имплантата. В ПО на виртуальную дугу был размещен коронковый отдел зуба 1.1 для протез-ориентированного позиционирования имплантата с учетом предполагаемого расположения окончательной реставрации и имеющейся анатомии (Фото 4). Виртуально задана позиция имплантата под размер 4,2×13 мм (Spiral SB/LA Implant, Ritter Implants). В ПО спроектирован хирургический стент (Фото 5). Хирургический шаблон фрезерован из прозрачного полиметилметакрилата (PMMA) на установке inLab MC X5 (Dentsply Sirona). Ретейнер Essix изготовлен по модели, полученной с 3D-печатной цифровой восковой модели, выполненной на предыдущем приеме.
Фото 4. Виртуальное планирование установки имплантата (нижние изображения) и проектирование виртуальной реставрации (верхние два изображения).
Фото 5. Виртуальный проект хирургического стента, созданный в ПО.
Хирургический прием
Перед началом вмешательства с пациентом повторно обсуждено информированное согласие; после ответов на вопросы форма подписана. Пациенту назначены амоксициллин 1 000 мг и Тайленол 500 мг, затем проведено полоскание 1,2% раствором хлоргексидина (PerioGard, Colgate-Palmolive).
Забрана кровь пациента для получения лейкоцитарного обогащенного тромбоцитами фибрина (L-PRF). Местная анестезия выполнена со стороны щеки и неба в области удаляемого зуба. Периотомом проведено отделение десневого прикрепления от зуба. Корень зуба 1.1 вывихнут элеваторами и атравматично удален универсальным пинцетом. Лунка выскоблена и санирована с удалением грануляций. Проведено обильное орошение стерильным физиологическим раствором. Зондом исследованы стенки лунки на предмет дефектов; таковые не обнаружены, лунка интактна.
Хирургический шаблон введен в полость рта для проверки посадки относительно соседних зубов и стабильности на дуге. Остеотомия выполнена с применением направляемого хирургического набора (Ritter Guided Kit, Ritter Implants) через шаблон для немедленной установки имплантата в область зуба 1.1. Стартовая остеотомия выполнена пилотным сверлом 2,8 мм из направляемого набора (Ritter Implants), введенным через шаблон для обеспечения точной ориентации и позиционирования. Далее проведена оссеоденсификация борами Densah (Versah), в частности 3,0 и 3,5 мм, в обратном режиме (против часовой стрелки) согласно протоколу производителя, при 1 200 об/мин с обильной ирригацией физиологическим раствором. Имплантат (Spiral SB/LA Implant, 4,2×13 мм, Ritter Implants) установлен через хирургический шаблон в полости рта с позиционированием на 3 мм ниже уровня гребня. Вкручивание достигнуто при моменте 25 Н·см. Индивидуальный формирователь десны подготовлен и отложен до этапа установки.
Аллотрансплантат MinerOss (BioHorizons) смешан с PRF, полученным в начале приема, для изготовления смеси «липкая кость». Смесь введена для заполнения гребневых щелей между стенками лунки и имплантатом. Затем на имплантат установлен индивидуальный формирователь десны.
Выполнена прицельная рентгенограмма для проверки посадки формирователя десны и документирования позиции имплантата относительно анатомических структур (Фото 6). Для содействия формированию сгустка между мягкими тканями и «липкой костью» на десну наложено давление. Наложены швы 4-0 из кетгута для удержания мягких тканей в контакте с индивидуальным формирователем десны. В полости рта установлен временный ретейнер Essix; пациенту предписано носить его круглосуточно, снимая только для проведения гигиены, до следующего приема через 2 недели (Фото 7).
Фото 6. Прицельная рентгенограмма после установки индивидуального формирователя десны и гребневой костной пластики; документирована позиция имплантата относительно окружающих структур и глубина его расположения от уровня гребня.
Фото 7. В период остеоинтеграции имплантата в качестве временной реставрации использован ретейнер Essix.
Реставрационный этап
Через 2 недели после немедленной установки имплантата пациент пришел для оценки заживления и удаления оставшихся швов. Отмечено благоприятное заживление, жалоб нет. Пациенту рекомендовано продолжать носить ретейнер Essix днем, допускается не использовать его во сне. Назначен визит через 4 месяца для оценки остеоинтеграции и начала реставрационного этапа.
Через 4 месяца после установки имплантата пациент явился для контроля заживления и оценки остеоинтеграции. После снятия ретейнера Essix мягкие ткани вокруг индивидуального формирователя десны без признаков воспаления (Фото 8). Снятие формирователя десны выявило хорошо сформированный десневой манжет без воспалительных явлений (Фото 9). Показатель ISQ 72 подтвердил успешную остеоинтеграцию и готовность к протезированию.
Фото 8. Индивидуальный формирователь десны после завершения этапа интеграции имплантата.
Фото 9. После снятия формирователя отмечена сформированная десневая манжета без признаков воспаления.
В имплантат установлен скан-боди (5 Axis Dental), совместимый с платформой Ritter 3,5 (Фото 10). Верхняя челюсть отсканирована интраоральным сканером (Primescan). Формирователь десны вновь установлен в полости рта, пациента отпустили домой. Для соответствия соседним зубам выбран оттенок A3,5. Данные сканирования переданы в зуботехническую лабораторию (5 Axis Dental lab) для изготовления индивидуального абатмента и цементируемой коронки.
Фото 10. Скан-боди установлен в имплантат, выполнено сканирование дуги.
Из лаборатории получены индивидуальный абатмент и коронка; пациент явился для фиксации. Сняв формирователь, врач установил индивидуальный ортопедический абатмент в имплантат и затянул винт вручную (Фото 11). Для подтверждения полного сопряжения узла имплантат-абатмент выполнена прицельная рентгенограмма (Фото 12). Коронка примерена в полости рта, проверено краевое прилегание. Пациент осмотрел результат в зеркале и одобрил эстетику.
Фото 11. Установлен индивидуальный абатмент, винт затянут вручную.
Фото 12. Прицельная рентгенограмма, подтверждающая корректную посадку абатмента в имплантат.
Коронка снята, канал доступа к винту в абатменте закрыт тефлоновой лентой. Коронка зафиксирована на абатменте стеклоиономерным цементом (GC FujiCEM 2, GC America). После отверждения цемента излишки по краю удалены зондом. Окклюзия проверена и при необходимости откорректирована (Фото 13). Выполнена прицельная рентгенограмма для документирования окончательной реставрации (Фото 14) и получен интраоральный скан (Primescan) для изготовления ночной каппы.
Фото 13. Окончательная реставрация зафиксирована на индивидуальном абатменте, лечение зуба 1.1 завершено.
Фото 14. Прицельная рентгенограмма коронки на имплантате, зафиксированной на индивидуальном абатменте, демонстрирует уровень кости на гребне относительно уровня имплантата.
Период наблюдения
Через неделю пациент пришел на контроль реставрации с опорой на имплантат и получение ночной каппы. В области краев десны воспаление отсутствовало, пациент сообщил об отсутствии дискомфорта после фиксации (Фото 15). Ночная каппа передана, пациенту даны рекомендации по домашнему уходу и использованию аппарата (Фото 16). Запланировано регулярное проведение профессиональной гигиены.
Фото 15. Через 1 неделю после фиксации коронки пациент пришел за ночной каппой; мягкие ткани вокруг реставрации с опорой на имплантат в хорошем пародонтальном состоянии, маргинального воспаления нет.
Фото 16. Изготовлена и передана ночная каппа для верхней челюсти.
На годовом профилактическом осмотре мягкие ткани вокруг реставрации с опорой на имплантат без признаков воспаления и выглядят здоровыми (Фото 17). Выполнена прицельная рентгенограмма для контроля уровня кости на гребне (Фото 18). Гребневая кость, подсаженная при установке имплантата, сохранялась на необходимом уровне, что указывает на поддержание здоровой кости на уровне гребневой части имплантата.
Фото 17. Через 1 год после установки реставрации мягкие ткани вокруг имплантата в области зуба 1.1 без признаков воспаления.
Фото 18. Прицельная рентгенограмма через 1 год после фиксации реставрации демонстрирует сохранность уровня кости на гребне.
Вывод
Немедленная установка имплантата — распространенная методика при структурном повреждении одиночного зуба, вызванном реставрационными, эндодонтическими, пародонтологическими причинами или их сочетанием. Применение оссеоденсификации и имплантата с глубокой резьбой повышает первичную стабильность, что позволяет либо провести немедленное временное протезирование, либо сократить сроки заживления до установки временной реставрации. Виртуальное планирование и основанный на нем хирургический шаблон облегчают выполнение процедуры и помогают избежать проблем, связанных с установкой без навигации. В данном наблюдении пациент отметил, что весь процесс — от удаления зуба, установки имплантата и временного восстановления до окончательного протезирования — прошел практически безболезненно, а результатом он удовлетворен как с эстетической, так и с функциональной точки зрения.
Авторы:
Rami Salloum, DDS
Gregori M. Kurtzman, DDS



0 комментариев