Цифровой дизайн улыбки изменил подход к планированию и проведению эстетических стоматологических процедур. Возможность цифровой визуализации и индивидуальной коррекции улыбки пациента до начала клинического вмешательства повышает точность прецизионности и уверенность в конечном результате, а также повышает удовлетворенность пациентов. Современные цифровые инструменты стали незаменимыми в процессе лечения, позволяя врачам интегрировать анализ лица, оценку окклюзии и анатомии зубов для достижения естественных и гармоничных результатов благодаря точности измерений, индивидуальному дизайну с учетом уникальных особенностей пациента и эффективному сотрудничеству между междисциплинарными командами. Используя эти технологии, врачи могут упростить диагностику и планирование лечения, а также повысить точность прогнозирования конечных результатов. В настоящей статье рассматриваются преимущества цифрового дизайна улыбки при планировании эстетического лечения, а также ключевые принципы дизайна улыбки и гармонии лица, которые необходимо учитывать для успешной трансформации улыбки.
Эстетическая реабилитация зубов часто сопряжена с тремя основными проблемами: (1) приведение рабочих моделей в соответствие со строением лица пациента, (2) обеспечение эффективной междисциплинарной коммуникации и планирования, и (3) достижение содержательного взаимодействия с пациентом. Достижения цифровой стоматологии являются чрезвычайно полезными для преодоления одного из самых больших ограничений в этой области: несоответствия между первоначальными планами и конечным результатом. В прошлом для восстановления улыбки часто требовались многочисленные корректировки, связанные со значительным количеством проб и ошибок, и конечный результат не всегда был оптимальным. Эти трудности частично объяснялись недостаточной коммуникацией между врачами и техниками, отсутствием опыта в области эстетики лица у практикующего врача, а также ограничениями, вызванными устаревшими инструментами и рабочими процессами.
Трехмерное моделирование
Сегодня при планировании лечения больше внимания уделяется эстетике лица, а дизайн улыбки является основополагающим этапом. В результате оптимизация процесса дизайна улыбки стала критически важной. Исторически сложилось так, что инструменты и системы, доступные для создания эстетичной улыбки, были ограничены, что затрудняло достижение истинной гармонии лица. Развитие технологий автоматизированного проектирования/компьютерного производства (CAD/CAM) и новых материалов приводит к изменению парадигмы того, что многие практикующие врачи считают стандартным уходом за пациентами, и снижение ошибок операторов стало одной из приоритетных задач.
Инструменты и программное обеспечение для цифрового дизайна улыбки получили значительное развитие и стали гораздо более совершенными, чем традиционные рекомендации по эстетической оценке и лечению, которые имеют фундаментальное ограничение: опора на двухмерный (2D) анализ изображений, моделирование и планирование. Такой двухмерный рабочий процесс делает достижение всеобъемлющего трехмерного (3D) дизайна улыбки технически более сложным, поскольку переход от двухмерного моделирования к трехмерному результату не обладает необходимой степенью точности для полностью индивидуализированных эстетических результатов. Поэтому включение трехмерных анализов и моделей в оценку и дизайн улыбки стало одним из ключевых аспектов планирования лечения.
Цифровой рабочий процесс позволяет врачам создавать трехмерные симуляции для различных вариантов лечения, что улучшает реализацию рекомендаций междисциплинарной команды в клинической практике. Для трехмерной оценки структур полости рта и лица можно использовать интра- и экстраоральные оптические сканеры, а для дополнительного учета функциональных параметров в процессе цифрового планирования – цифровую рентгенографию, например, конусно-лучевую компьютерную томографию (КЛКТ), цифровые артикуляторы и устройства фиксации движения челюстей.
Компьютерные программы и программное обеспечение облегчают визуализацию ожидаемых эстетических результатов при планировании и проведении мультидисциплинарного лечения, направляя врача при выполнении различных необходимых пародонтологических, реставрационных, ортодонтических и хирургических процедур. Эти технологии также поддерживают изготовление хирургических и реставрационных шаблонов для улучшения качества лечения. Интеграция облачных платформ и средств коммуникации имеет решающее значение, обеспечивая возможность междисциплинарных консультаций и способствуя бесперебойному удаленному сотрудничеству между врачами и зубными техниками. Машинное обучение и искусственный интеллект также постепенно применяются для повышения точности оценки эстетики и составления планов лечения.
Планирование и модификация улыбки
Программы цифрового дизайна улыбки – это многоцелевые концептуальные инструменты, которые могут усилить диагностическое видение, улучшить общение с пациентом и улучшить результаты лечения, передавая лаборанту подробный анализ характеристик лица и зубов пациента. Примерами таких систем являются Smile Designer Pro (Tasty Tech Ltd.), Romexis Smile Design (Planmeca), система Digital Smile Design 3D (DSD) и система Guided Positioning System (Noris Medical). Некоторые из этих систем основаны на программном обеспечении, созданном стоматологами-предпринимателями (например, Digital Smile Design, SmileCloud [SmileCloud Biometrics], Ivosmile [Ivoclar], Rebel [Rebel Simplicity]), а некоторые - на программном обеспечении интраорального сканера (например, TRIOS Smile Design [3Shape], inLab CAD Software digital 3D Smile Design [Dentsply Sirona], Romexis Smile Design, Planmeca).
Программное обеспечение для цифрового дизайна улыбки - один из самых распространенных современных инструментов, позволяющий планировать и изменять улыбку пациента в цифровом формате, предлагая предварительный просмотр результата до начала лечения. Процесс включает в себя преобразование двухмерного изображения улыбки в трехмерный проект, который затем представляется пациенту в виде аналоговой или цифровой восковой модели. Это оптимальный способ проиллюстрировать лечение и то, каких результатов можно достичь. Дизайн улыбки служит формой визуальной коммуникации и способствует вовлечению пациента в процесс принятия решения, вызывая большее доверие к лечению. Цифровой дизайн улыбки помогает обеспечить более предсказуемый результат лечения и улучшить восприятие пациента. Пользователи могут выбирать зубы из цифровой библиотеки зубов и изменять их положение, поворот и форму, чтобы создать индивидуальный дизайн улыбки для пациента, интегрируя его с лицом. Положение библиотеки зубов переносится в трехмерный проект с помощью программного обеспечения для работы с 3D (например, Autodesk Meshmixer [Autodesk, Inc.], DentalCAD [exocad]), в результате чего создается демонстрационная модель, которая в дальнейшем используется для проверки точности переноса и утверждения дизайна с пациентом, а также для проверки глубины препарирования. Это также дает возможность врачу воплотить замысел в визуальном опыте для пациента, фотографируя и записывая на видео его состояние до и после лечения.
Несмотря на эти достижения, использование физической внутриротовой модели по-прежнему необходимо для оценки дизайна улыбки перед окончательной реставрацией. После проверки дизайна можно легко преобразовать интраоральное сканирование и цифровой дизайн в окончательные реставрации, что обеспечивает высокий уровень прецизионности при использовании всех материалов и методик.
Комплексный цифровой рабочий процесс
Представленный клинический случай, затрагивающий эстетическую реабилитацию передних зубов, демонстрирует, как врачи могут применять комплексный цифровой рабочий процесс — начиная с цифрового дизайна улыбки и заканчивая компьютерным проектированием и изготовлением окончательных реставраций. В данном случае пациент обратился в клинику автора (MR) с просьбой исправить ухудшившуюся эстетику передних зубов, связанную с несколькими сильно инфильтрированными композитными реставрациями и сколом коронки на эндодонтически пролеченном зубе (2.1) с темным пятном. После комплексной клинической и первичной фотографической оценки (Фото 1 - Фото 3) был проведен цифровой дизайн улыбки (TRIOS Smile Design) для создания цифровой восковой модели передних зубов верхней челюсти с учетом различий в пропорциях зубов и дефектной коронки зуба 2.1 (Фото 4 и Фото 5). Последовательные измерения в таких аспектах, как высота и ширина зуба и изменение режущего края, служат механизмом строгого контроля качества, помогая обеспечить прецизионность и точность на протяжении всего процесса проектирования и лечения.
Фото 1: Снимок улыбки анфас до операции; неудовлетворительная эстетика в переднем отделе.
Фото 2: Снимок улыбки пациента до операции крупным планом.
Фото 3: Снимок зубов верхней челюсти пациента до операции с ретракторами.
Фото 4: Имитация цифрового дизайна улыбки.
Фото 5: Цифровая имитация; вид анфас.
При планировании эстетических реставраций, особенно для пациентов с высокими ожиданиями, использование модели необходимо для эффективной коммуникации. Метод создания макета позволяет получить трехмерную визуализацию ожидаемого результата, что часто делает его более предпочтительным, чем использование программного обеспечения для модификации двухмерных и трехмерных изображений в кабинете.
В данном случае модель была напечатана с цифровой трехмерной восковой модели для изготовления прямого внутриротового макета с силиконовым ключом и бис-акриловым материалом, который также послужил ориентиром для препарирования зубов. После анализа макета и внесения незначительных эстетических корректировок был снят цифровой оттиск для облегчения будущего проектирования окончательных реставраций.
Для оценки эстетики предлагаемой улыбки необходимо сделать фотографии и видеозаписи (Фото 6). Видеозапись – ценный инструмент для обучения пациентов, поскольку видео может помочь им понять процедуры и преимущества лечения, что может привести к увеличению числа одобренных пациентами случаев. Видео можно снимать под разными углами и преобразовывать в неподвижные изображения, приостанавливая видео и делая скриншот. Этот процесс помогает упорядочить и упростить документирование, экономит время и избавляет врача от необходимости ловить «идеальный» момент. Это дает возможность выбрать наиболее удачный момент съемки. Кроме того, анализ лица, проведенный с помощью видео, может стать эффективным ориентиром в процессе дизайна улыбки.
Фото 6: Внутриротовая модель.
Одно из главных преимуществ рабочего процесса в стоматологическом кабинете – возможность визуализировать и оценивать цифровые оттиски сразу после сканирования. В отличие от традиционных оттисков, где неточности часто обнаруживаются только после изготовления основной модели, любые ошибки или недостатки цифрового оттиска могут быть быстро выявлены и исправлены на том же приеме. Для врачей, которые хотят внедрить цифровые оттиски в свой рабочий процесс без фрезерования и финишной обработки реставраций на кресле, также предлагается вариант рабочего процесса, частично проводящегося в кабинете. Этот рабочий процесс включает интраоральное сканирование, но исключает процессы дизайна и фрезерования. После сканирования цифровой оттиск отправляют в зуботехническую лабораторию, где с помощью совместимого программного обеспечения (например, DentalCAD [exocad], Autodesk Fusion [Autodesk], Clinux [CAD-Ray]) создают дизайн и изготавливают реставрацию.
Препарирование проводилось в соответствии с протоколом APT (aesthetic pre-evaluative temporary). Для контроля глубины препарирования также использовали предыдущий силиконовый ключ. После одобрения врачом и пациентом внутриротовой макет становился источником точной информации для придания структуре зуба планируемых окончательных контуров. Это обеспечивает минимальное препарирование структуры зуба, а в некоторых случаях в определенных областях препарирование не требуется. Для достижения целей лечения используются боры с глубокими фрезами, сохраняющие как можно больше естественной структуры зуба (Фото 7).
Фото 7: Интраоральная модель как ориентир для препарирования под виниры.
В данном случае, после препарирования, верхний и нижний зубные ряды пациента были отсканированы в цифровом формате с помощью беспроводного внутриротового сканера (Фото 8), сканы были загружены вместе с цифровыми фотографиями и интегрированы в программное обеспечение (Digital Smile System SRL) для виртуального проектирования виниров. Файлы стандартного языка тесселяции (STL) отправили в лабораторию для изготовления виниров из литий-дисиликатного фарфора с использованием технологии субтрактивного фрезерования на фрезерной установке CAD/CAM. Передача всех данных, от 3D-планирования до лабораторных CAD/CAM-процессов, была быстрой, простой и предсказуемой, что позволило свести к минимуму время изготовления и время пребывания в кресле, а также получить высокоэстетичные конечные результаты (Фото 9 - Фото 11).
Фото 8: Цифровое сканирование окончательно отпрепарированных зубов.
Фото 9: Компьютерное проектирование и изготовление трехмерной модели.
Фото 10: Вид спереди на компьютерный дизайн и изготовление окончательных фарфоровых виниров.
Фото 11: Вид с окклюзионной стороны на компьютерный дизайн и изготовление окончательных фарфоровых виниров.
Для фиксации окончательных реставраций необходимо использовать коффердам, чтобы обеспечить надлежащий контроль влажности, что очень важно для успешного результата (Фото 12). Бондинг осуществлялся по стандартным протоколам для силикатной керамики. По опыту авторов, эти процедуры лучше всего проводить под увеличением. Конечный результат этого клинического случая продемонстрирован на Фото с 13 по 15.
Фото 12: Протокол бондинга с использованием коффердама.
Фото 13: Вид окончательных реставраций, представляющих собой литий-дисиликатные виниры, с ретрактором.
Фото 14: Улыбка крупным планом с окончательными реставрациями.
Фото 15: Фото лица с улыбкой анфас с окончательными реставрациями.
Обсуждение
Цифровой дизайн улыбки – это чрезвычайно универсальный концептуальный инструмент, который может играть основополагающую роль в планировании лечения в эстетической стоматологии. Это улучшает не только диагностику, но и коммуникацию между командой стоматологов и пациентом.
Несмотря на развитие технологий, повышающих скорость, точность и результаты лечения в области эстетики лица и цифрового дизайна улыбки, цифровые программные системы в стоматологии имеют ряд проблем и ограничений. Многие платформы требуют длительного обучения из-за отсутствия таких функций, как динамический анализ окклюзии, трехмерное сканирование лица, динамическое сканирование и видео, которые не интегрированы в большинство систем. В результате для реализации этих возможностей часто приходится использовать программное обеспечение сторонних производителей. Кроме того, расходы, связанные с приобретением и обновлением программного обеспечения, инвестированием в совместимое оборудование и проведением необходимого обучения, могут стать существенным препятствием для внедрения этих технологий. Экономическая целесообразность цифрового рабочего процесса зависит не только от цифровых инструментов, но и от квалификации, навыков и опыта врача. Необходимы дополнительные исследования для оценки клинических результатов и эффективности затрат и времени цифровых рабочих процессов по сравнению с традиционными методами.
По мере развития стоматологической практики достижения в области машинного обучения и искусственного интеллекта, вероятно, позволят автоматизировать большинство, если не все, аспекты эстетической оценки, планирования лечения, дизайна и реализации. Тем не менее, окончательная оценка эстетики и функциональности по-прежнему возможна только в клинических условиях.
Выводы
Как показано в примере, представленном в этой статье, врачи могут использовать технологию цифрового дизайна улыбки для оптимизации диагностики и планирования лечения, чтобы достичь высоко предсказуемых конечных результатов в эстетической стоматологии. Цифровые инструменты улучшают процесс лечения, позволяя врачам объединить анализ лица, оценку окклюзии и анатомию зубов для достижения прецизионности, естественности и гармоничности результатов, учитывающих уникальные особенности пациента. Цифровой дизайн улыбки улучшает коммуникацию между междисциплинарными командами, помогая добиться успешного преображения улыбки.
Авторы:
Macarena Rivera, DMD, MSc
Markus B. Blatz, DMD, PhD
Цифровой дизайн улыбки изменил подход к планированию и проведению эстетических стоматологических процедур. Возможность цифровой визуализации и индивидуальной коррекции улыбки пациента до начала клинического вмешательства повышает точность прецизионности и уверенность в конечном результате, а также повышает удовлетворенность пациентов. Современные цифровые инструменты стали незаменимыми в процессе лечения, позволяя врачам интегрировать анализ лица, оценку окклюзии и анатомии зубов для достижения естественных и гармоничных результатов благодаря точности измерений, индивидуальному дизайну с учетом уникальных особенностей пациента и эффективному сотрудничеству между междисциплинарными командами. Используя эти технологии, врачи могут упростить диагностику и планирование лечения, а также повысить точность прогнозирования конечных результатов. В настоящей статье рассматриваются преимущества цифрового дизайна улыбки при планировании эстетического лечения, а также ключевые принципы дизайна улыбки и гармонии лица, которые необходимо учитывать для успешной трансформации улыбки.
Эстетическая реабилитация зубов часто сопряжена с тремя основными проблемами: (1) приведение рабочих моделей в соответствие со строением лица пациента, (2) обеспечение эффективной междисциплинарной коммуникации и планирования, и (3) достижение содержательного взаимодействия с пациентом. Достижения цифровой стоматологии являются чрезвычайно полезными для преодоления одного из самых больших ограничений в этой области: несоответствия между первоначальными планами и конечным результатом. В прошлом для восстановления улыбки часто требовались многочисленные корректировки, связанные со значительным количеством проб и ошибок, и конечный результат не всегда был оптимальным. Эти трудности частично объяснялись недостаточной коммуникацией между врачами и техниками, отсутствием опыта в области эстетики лица у практикующего врача, а также ограничениями, вызванными устаревшими инструментами и рабочими процессами.
Трехмерное моделирование
Сегодня при планировании лечения больше внимания уделяется эстетике лица, а дизайн улыбки является основополагающим этапом. В результате оптимизация процесса дизайна улыбки стала критически важной. Исторически сложилось так, что инструменты и системы, доступные для создания эстетичной улыбки, были ограничены, что затрудняло достижение истинной гармонии лица. Развитие технологий автоматизированного проектирования/компьютерного производства (CAD/CAM) и новых материалов приводит к изменению парадигмы того, что многие практикующие врачи считают стандартным уходом за пациентами, и снижение ошибок операторов стало одной из приоритетных задач.
Инструменты и программное обеспечение для цифрового дизайна улыбки получили значительное развитие и стали гораздо более совершенными, чем традиционные рекомендации по эстетической оценке и лечению, которые имеют фундаментальное ограничение: опора на двухмерный (2D) анализ изображений, моделирование и планирование. Такой двухмерный рабочий процесс делает достижение всеобъемлющего трехмерного (3D) дизайна улыбки технически более сложным, поскольку переход от двухмерного моделирования к трехмерному результату не обладает необходимой степенью точности для полностью индивидуализированных эстетических результатов. Поэтому включение трехмерных анализов и моделей в оценку и дизайн улыбки стало одним из ключевых аспектов планирования лечения.
Цифровой рабочий процесс позволяет врачам создавать трехмерные симуляции для различных вариантов лечения, что улучшает реализацию рекомендаций междисциплинарной команды в клинической практике. Для трехмерной оценки структур полости рта и лица можно использовать интра- и экстраоральные оптические сканеры, а для дополнительного учета функциональных параметров в процессе цифрового планирования – цифровую рентгенографию, например, конусно-лучевую компьютерную томографию (КЛКТ), цифровые артикуляторы и устройства фиксации движения челюстей.
Компьютерные программы и программное обеспечение облегчают визуализацию ожидаемых эстетических результатов при планировании и проведении мультидисциплинарного лечения, направляя врача при выполнении различных необходимых пародонтологических, реставрационных, ортодонтических и хирургических процедур. Эти технологии также поддерживают изготовление хирургических и реставрационных шаблонов для улучшения качества лечения. Интеграция облачных платформ и средств коммуникации имеет решающее значение, обеспечивая возможность междисциплинарных консультаций и способствуя бесперебойному удаленному сотрудничеству между врачами и зубными техниками. Машинное обучение и искусственный интеллект также постепенно применяются для повышения точности оценки эстетики и составления планов лечения.
Планирование и модификация улыбки
Программы цифрового дизайна улыбки – это многоцелевые концептуальные инструменты, которые могут усилить диагностическое видение, улучшить общение с пациентом и улучшить результаты лечения, передавая лаборанту подробный анализ характеристик лица и зубов пациента. Примерами таких систем являются Smile Designer Pro (Tasty Tech Ltd.), Romexis Smile Design (Planmeca), система Digital Smile Design 3D (DSD) и система Guided Positioning System (Noris Medical). Некоторые из этих систем основаны на программном обеспечении, созданном стоматологами-предпринимателями (например, Digital Smile Design, SmileCloud [SmileCloud Biometrics], Ivosmile [Ivoclar], Rebel [Rebel Simplicity]), а некоторые - на программном обеспечении интраорального сканера (например, TRIOS Smile Design [3Shape], inLab CAD Software digital 3D Smile Design [Dentsply Sirona], Romexis Smile Design, Planmeca).
Программное обеспечение для цифрового дизайна улыбки - один из самых распространенных современных инструментов, позволяющий планировать и изменять улыбку пациента в цифровом формате, предлагая предварительный просмотр результата до начала лечения. Процесс включает в себя преобразование двухмерного изображения улыбки в трехмерный проект, который затем представляется пациенту в виде аналоговой или цифровой восковой модели. Это оптимальный способ проиллюстрировать лечение и то, каких результатов можно достичь. Дизайн улыбки служит формой визуальной коммуникации и способствует вовлечению пациента в процесс принятия решения, вызывая большее доверие к лечению. Цифровой дизайн улыбки помогает обеспечить более предсказуемый результат лечения и улучшить восприятие пациента. Пользователи могут выбирать зубы из цифровой библиотеки зубов и изменять их положение, поворот и форму, чтобы создать индивидуальный дизайн улыбки для пациента, интегрируя его с лицом. Положение библиотеки зубов переносится в трехмерный проект с помощью программного обеспечения для работы с 3D (например, Autodesk Meshmixer [Autodesk, Inc.], DentalCAD [exocad]), в результате чего создается демонстрационная модель, которая в дальнейшем используется для проверки точности переноса и утверждения дизайна с пациентом, а также для проверки глубины препарирования. Это также дает возможность врачу воплотить замысел в визуальном опыте для пациента, фотографируя и записывая на видео его состояние до и после лечения.
Несмотря на эти достижения, использование физической внутриротовой модели по-прежнему необходимо для оценки дизайна улыбки перед окончательной реставрацией. После проверки дизайна можно легко преобразовать интраоральное сканирование и цифровой дизайн в окончательные реставрации, что обеспечивает высокий уровень прецизионности при использовании всех материалов и методик.
Комплексный цифровой рабочий процесс
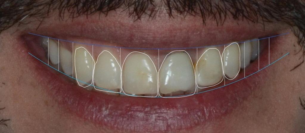
Представленный клинический случай, затрагивающий эстетическую реабилитацию передних зубов, демонстрирует, как врачи могут применять комплексный цифровой рабочий процесс — начиная с цифрового дизайна улыбки и заканчивая компьютерным проектированием и изготовлением окончательных реставраций. В данном случае пациент обратился в клинику автора (MR) с просьбой исправить ухудшившуюся эстетику передних зубов, связанную с несколькими сильно инфильтрированными композитными реставрациями и сколом коронки на эндодонтически пролеченном зубе (2.1) с темным пятном. После комплексной клинической и первичной фотографической оценки (Фото 1 - Фото 3) был проведен цифровой дизайн улыбки (TRIOS Smile Design) для создания цифровой восковой модели передних зубов верхней челюсти с учетом различий в пропорциях зубов и дефектной коронки зуба 2.1 (Фото 4 и Фото 5). Последовательные измерения в таких аспектах, как высота и ширина зуба и изменение режущего края, служат механизмом строгого контроля качества, помогая обеспечить прецизионность и точность на протяжении всего процесса проектирования и лечения.
Фото 1: Снимок улыбки анфас до операции; неудовлетворительная эстетика в переднем отделе.
Фото 2: Снимок улыбки пациента до операции крупным планом.
Фото 3: Снимок зубов верхней челюсти пациента до операции с ретракторами.
Фото 4: Имитация цифрового дизайна улыбки.
Фото 5: Цифровая имитация; вид анфас.
При планировании эстетических реставраций, особенно для пациентов с высокими ожиданиями, использование модели необходимо для эффективной коммуникации. Метод создания макета позволяет получить трехмерную визуализацию ожидаемого результата, что часто делает его более предпочтительным, чем использование программного обеспечения для модификации двухмерных и трехмерных изображений в кабинете.
В данном случае модель была напечатана с цифровой трехмерной восковой модели для изготовления прямого внутриротового макета с силиконовым ключом и бис-акриловым материалом, который также послужил ориентиром для препарирования зубов. После анализа макета и внесения незначительных эстетических корректировок был снят цифровой оттиск для облегчения будущего проектирования окончательных реставраций.
Для оценки эстетики предлагаемой улыбки необходимо сделать фотографии и видеозаписи (Фото 6). Видеозапись – ценный инструмент для обучения пациентов, поскольку видео может помочь им понять процедуры и преимущества лечения, что может привести к увеличению числа одобренных пациентами случаев. Видео можно снимать под разными углами и преобразовывать в неподвижные изображения, приостанавливая видео и делая скриншот. Этот процесс помогает упорядочить и упростить документирование, экономит время и избавляет врача от необходимости ловить «идеальный» момент. Это дает возможность выбрать наиболее удачный момент съемки. Кроме того, анализ лица, проведенный с помощью видео, может стать эффективным ориентиром в процессе дизайна улыбки.
Фото 6: Внутриротовая модель.
Одно из главных преимуществ рабочего процесса в стоматологическом кабинете – возможность визуализировать и оценивать цифровые оттиски сразу после сканирования. В отличие от традиционных оттисков, где неточности часто обнаруживаются только после изготовления основной модели, любые ошибки или недостатки цифрового оттиска могут быть быстро выявлены и исправлены на том же приеме. Для врачей, которые хотят внедрить цифровые оттиски в свой рабочий процесс без фрезерования и финишной обработки реставраций на кресле, также предлагается вариант рабочего процесса, частично проводящегося в кабинете. Этот рабочий процесс включает интраоральное сканирование, но исключает процессы дизайна и фрезерования. После сканирования цифровой оттиск отправляют в зуботехническую лабораторию, где с помощью совместимого программного обеспечения (например, DentalCAD [exocad], Autodesk Fusion [Autodesk], Clinux [CAD-Ray]) создают дизайн и изготавливают реставрацию.
Препарирование проводилось в соответствии с протоколом APT (aesthetic pre-evaluative temporary). Для контроля глубины препарирования также использовали предыдущий силиконовый ключ. После одобрения врачом и пациентом внутриротовой макет становился источником точной информации для придания структуре зуба планируемых окончательных контуров. Это обеспечивает минимальное препарирование структуры зуба, а в некоторых случаях в определенных областях препарирование не требуется. Для достижения целей лечения используются боры с глубокими фрезами, сохраняющие как можно больше естественной структуры зуба (Фото 7).
Фото 7: Интраоральная модель как ориентир для препарирования под виниры.
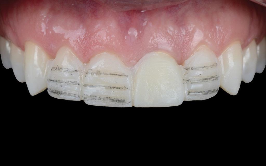
В данном случае, после препарирования, верхний и нижний зубные ряды пациента были отсканированы в цифровом формате с помощью беспроводного внутриротового сканера (Фото 8), сканы были загружены вместе с цифровыми фотографиями и интегрированы в программное обеспечение (Digital Smile System SRL) для виртуального проектирования виниров. Файлы стандартного языка тесселяции (STL) отправили в лабораторию для изготовления виниров из литий-дисиликатного фарфора с использованием технологии субтрактивного фрезерования на фрезерной установке CAD/CAM. Передача всех данных, от 3D-планирования до лабораторных CAD/CAM-процессов, была быстрой, простой и предсказуемой, что позволило свести к минимуму время изготовления и время пребывания в кресле, а также получить высокоэстетичные конечные результаты (Фото 9 - Фото 11).
Фото 8: Цифровое сканирование окончательно отпрепарированных зубов.
Фото 9: Компьютерное проектирование и изготовление трехмерной модели.
Фото 10: Вид спереди на компьютерный дизайн и изготовление окончательных фарфоровых виниров.
Фото 11: Вид с окклюзионной стороны на компьютерный дизайн и изготовление окончательных фарфоровых виниров.
Для фиксации окончательных реставраций необходимо использовать коффердам, чтобы обеспечить надлежащий контроль влажности, что очень важно для успешного результата (Фото 12). Бондинг осуществлялся по стандартным протоколам для силикатной керамики. По опыту авторов, эти процедуры лучше всего проводить под увеличением. Конечный результат этого клинического случая продемонстрирован на Фото с 13 по 15.
Фото 12: Протокол бондинга с использованием коффердама.
Фото 13: Вид окончательных реставраций, представляющих собой литий-дисиликатные виниры, с ретрактором.
Фото 14: Улыбка крупным планом с окончательными реставрациями.
Фото 15: Фото лица с улыбкой анфас с окончательными реставрациями.
Обсуждение
Цифровой дизайн улыбки – это чрезвычайно универсальный концептуальный инструмент, который может играть основополагающую роль в планировании лечения в эстетической стоматологии. Это улучшает не только диагностику, но и коммуникацию между командой стоматологов и пациентом.
Несмотря на развитие технологий, повышающих скорость, точность и результаты лечения в области эстетики лица и цифрового дизайна улыбки, цифровые программные системы в стоматологии имеют ряд проблем и ограничений. Многие платформы требуют длительного обучения из-за отсутствия таких функций, как динамический анализ окклюзии, трехмерное сканирование лица, динамическое сканирование и видео, которые не интегрированы в большинство систем. В результате для реализации этих возможностей часто приходится использовать программное обеспечение сторонних производителей. Кроме того, расходы, связанные с приобретением и обновлением программного обеспечения, инвестированием в совместимое оборудование и проведением необходимого обучения, могут стать существенным препятствием для внедрения этих технологий. Экономическая целесообразность цифрового рабочего процесса зависит не только от цифровых инструментов, но и от квалификации, навыков и опыта врача. Необходимы дополнительные исследования для оценки клинических результатов и эффективности затрат и времени цифровых рабочих процессов по сравнению с традиционными методами.
По мере развития стоматологической практики достижения в области машинного обучения и искусственного интеллекта, вероятно, позволят автоматизировать большинство, если не все, аспекты эстетической оценки, планирования лечения, дизайна и реализации. Тем не менее, окончательная оценка эстетики и функциональности по-прежнему возможна только в клинических условиях.
Выводы
Как показано в примере, представленном в этой статье, врачи могут использовать технологию цифрового дизайна улыбки для оптимизации диагностики и планирования лечения, чтобы достичь высоко предсказуемых конечных результатов в эстетической стоматологии. Цифровые инструменты улучшают процесс лечения, позволяя врачам объединить анализ лица, оценку окклюзии и анатомию зубов для достижения прецизионности, естественности и гармоничности результатов, учитывающих уникальные особенности пациента. Цифровой дизайн улыбки улучшает коммуникацию между междисциплинарными командами, помогая добиться успешного преображения улыбки.
Авторы:
Macarena Rivera, DMD, MSc
Markus B. Blatz, DMD, PhD



0 комментариев