Протоколы аналогового проектирования с использованием восковых пластин сильно варьируются, чувствительны к технике и зависят от навыков врача Современные инструменты цифрового проектирования улыбки и планирования лечения упрощают процессы, основанные на эстетике лица пациента, а также на конкретных эстетических и функциональных потребностях конкретного пациента. Первоначальный дизайн улыбки, достигнутый с помощью продвинутого и нового программного обеспечения для проектирования улыбки, позволяет составить простой план лечения и выполнить его даже в сложных эстетических ситуациях, когда необходимы различные реставрации. В этом отчете о клиническом случае описаны клинические и лабораторные шаги по удовлетворению эстетических и функциональных потребностей пациента со сложной ситуацией, требующей восстановления окклюзии с использованием полного цифрового рабочего процесса.
В последние десятилетия дизайн улыбки постепенно перешел от аналоговых рабочих процессов к цифровым, которые в дальнейшем эволюционировали от двумерных (2D) к 3D-инструментам. Внедрение цифровых инструментов и онлайн-взаимодействия улучшило коммуникацию между специалистами-стоматологами, зубными техниками и пациентами. Объединение 2D-фотографий с 3D-цифровыми файлами позволяет перейти к полноценному цифровому рабочему процессу и облегчает создание цифровой улыбки, управляемой лицом.
Новые инструменты цифрового дизайна улыбки могут использоваться для создания и модификации улыбок пациентов в цифровом виде и визуализации прогнозируемого результата до проведения любых необратимых процедур. Такие инструменты также позволяют проводить тщательный анализ характеристик лица и зубов пациента для облегчения проектирования цифрового дизайна улыбки. Как правило, файл STL с цифровым дизайном улыбки печатается в 3D, и эта модель используется для изготовления макета в кабинете врача-стоматолога. Проверка всех эстетических параметров имеет решающее значение, поскольку тот же или соответственно измененный 3D дизайн улыбки используется для изготовления окончательных реставраций. Фактически, все последующие этапы, включая тип восстановительного лечения, материал и конструкция аппарата, напрямую зависят от точности этого первоначального проекта.
Технологии автоматизированного проектирования/автоматизированного производства (CAD/CAM) продолжают набирать популярность благодаря их клинической эффективности, приемлемости для пациентов и экономической эффективности. Когда у пациентов имеются уже установленные зубные имплантаты, выполнение различных видов реставраций зубов во фронтальном отделе-эстетической зоне улыбки может быть особенно сложным. Программное обеспечение для цифрового проектирования улыбки может быть использовано для упрощения этой задачи и предоставления клиницисту возможности достигать желаемых результатов более эффективно, чем при использовании аналоговых методов, сохраняя при этом надлежащее качество окончательных реставраций.
В этой статье описывается эффективный цифровой рабочий процесс, который сочетает использование недавно выпущенного программного обеспечения для цифрового дизайна улыбки со стандартным стоматологическим программным обеспечением CAD/CAM для улучшения цифрового дизайна и предсказуемого достижения эстетического результата в сложном клиническом случае.
Клинический случай
Пациентка 33 лет обратилась с жалобами на дефект прямой реставрации в переднем отделе выполненной из специальной смолы, имеющаяся у нее конструкция с опорой на имплантаты также имела дефект, а именно скол керамики по режущему краю резца и соседние зубы аномального размера (Фото 1 - Фото 3). В ее истории болезни не было выявлено противопоказаний к стоматологическому лечению. В 2015 году для восстановления целостности зубного ряда ей был установлен имплантат в области зуба 1.1., и рентгенологическое исследование показало, что имплантат хорошо сросся с костью. Глубина зондирования пародонта и тканей, окружающих имплантат, составляла от 3 до 4 мм, без признаков активного воспаления. У пациентки был хороший уровень гигиены полости рта.
Фото 1. Портретное фото пациентки до начала лечения.
Фото 2. Вид улыбки пациентки до начала лечения.
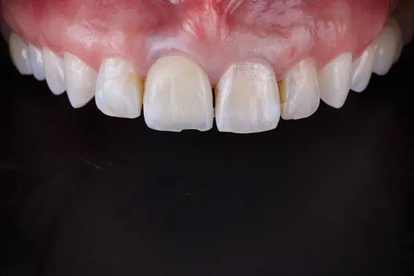
Фото 3. Внутриротовое фото зубов верхней челюсти до начала лечения.
Пациентке были представлены различные варианты лечения и она выбрала изготовление керамических виниров для реставрации передних зубов, чтобы улучшить их форму и цвет. Хотя пациенту было предложено ортодонтическое лечение и операция по увеличению объема мягких тканей в качестве предпочтительного варианта лечения в данном случае, но пациентка отказалась от данного варианта лечения.
Было проведено внутриротовое сканирование при помощи сканера CEREC Primescan, Dentsply Sirona), а также был смоделирован 3D-анализ улыбки с помощью программного обеспечения для цифрового проектирования улыбки (SmileFy) (Фото 4 – Фото 6). Диагностическая модель, напечатанная на 3D-принтере, была изготовлена по выполненному цифровому дизайну улыбки, спроектированному в программном обеспечении, а также данная модель использовалась для создания силиконового ключа, необходимого для изготовления макета будущих реставраций, и примерки их в полости рта для одобрения пациенткой (Фото 7 и Фото 8). Этот же макет также мог быть использован в качестве направляющего шаблона для препарирования и обточки зубов, а также для изготовления временных реставраций.
Фото 4. Показано моделирование выравнивания зубов в соответствии с улыбкой пациента.
Фото 5. Макет будущей улыбки соединен с портретным фото пациентки.
Фото 6. Показан окончательный вариант смоделированного в компьютерном обеспечении вида улыбки пациентки.
Фото 7. Показан силиконовый ключ, необходимый для изготовления макета будущих реставраций во рту.
Фото 8. Вид примеренных реставраций у пациентки во рту.
Клинические этапы
Консервативный подход к лечению включал мало-инвазивное препарирование премоляров верхней челюсти зубы 1.5., 1.4., 2.4. были подготовлены для покрытия их частичными реставрациями, в области зубов 1.3 и 1.2 планировалась постановка лицевых ламинированных виниров и реставрации с полным покрытием коронок в области зубов 2.1 и 2.2 (Фото 9). Впоследствии было выполнено цифровое внутриротовое сканирование с использованием сканера без порошка (CEREC Primescan) после установки сканирующих колпачков для детализации дентального имплантата (Dentium SuperLine, Dentium Musa) в области зуба 1.1. с использованием метода тройного сканирования для получения первоначального профиля полости рта пациентки (Фото 10). Цифровые файлы были экспортированы в лабораторию через специальный программный портал подключения к сети.
Фото 9. Показано проведенное мало-инвазивное препарирование зубов.
Фото 10. Показан файл цифрового внутриротового сканирования.
В программном обеспечении dental CAD (DentalCAD, exocad) был создан новый клинический случай и выбраны элементы, которые необходимо было спроектировать. Имплантат был выбран и подобран из библиотеки имплантатов для обеспечения совместимости с корпусами (колпачками) сканирования. Ранее разработанный макет улыбки был импортирован в качестве дополнительного файла в формате STL, чтобы служить руководством для проектирования окончательных реставраций. Зуб с естественной текстурой был выбран из предложенной библиотеки в программном обеспечении dental CAD, и был выполнен индивидуальный дизайн абатмента для реставрации с опорой на имплпнтат. Как только дизайн был завершен, был создан файл STL и экспортирован для изготовления окончательных реставраций (Фото 11).
Фото 11. Показан цифровой дизайн финальных реставраций.
Лабораторные этапы
После того, как внутриротовые снимки были получены лабораторией стоматологических технологий, все файлы были импортированы в лабораторное программное обеспечение (exocad). На основе импортированных файлов SmileFy был выбран цифровой слепок и позиционирован как цифровая восковая модель. Это было использовано для информирования клинициста обо всех последующих шагах, а также для оценки и подтверждения дизайна реставраций.
С помощью библиотеки цифровых имплантатов был разработан индивидуальный гибридный абатмент. Все коронки были спроектированы на основе конструкции абатмента и отфрезерованы. После фрезерования изготовленного на заказ гибридного абатмента из диоксида циркония (Ceramill Zolid HT+, Amann Girrbach) желаемого оттенка, который был похож на соседние подготовленные зубы, его спекали в течение ночи. Коронки были обработаны прессуемым воском для изготовления реставраций на основе дисиликата лития (GC Initial LiSi Press, GC America).
Циркониевый абатмент был отрегулирован, а выступающий профиль коронки, контактирующий с мягкими тканями был отполирован, чтобы обеспечить идеальную интеграцию тканей. Затем абатмент был прикреплен к аутентичному титановому основанию с помощью связующего материала двойного отверждения (G-CEM LinkForce, GC America) в соответствии с инструкциями производителя.
Коронки были установлены на штампы для 3D-печати моделей и абатмент. Цифровой аналог был вставлен в 3D-модель. Следует отметить, что цифровые аналоги должны быть практически согласованы с цифровой библиотекой в программном обеспечении CAD/CAM. Цифровые аналоги должны быть той же марки, что представлены в библиотеке цифровых имплантатов, поскольку колпачки для интраорального сканирования всегда виртуально связаны с библиотекой цифровых имплантатов. Переход на другую марку потребует перехода в другую библиотеку.
После установки восковых коронок их заливали туннельным воском и натирали воском прессовочную форму-кольцо, чтобы запрессовать слитки дисиликата лития в формы. Выбор подходящих слитков с точки зрения оттенка и прозрачности является ключом к максимально эстетичному виду реставраций.
В данном случае был выбран GC Initial Press MT (GC America) (MT расшифровывается как "средняя прозрачность"). При таком уровне прозрачности специалист может, с одной стороны, замаскировать некоторые различия в оттенках, но, с другой стороны, впитать часть основного цвета, чтобы добиться очень живого и естественного результата. Все коронки были спроектированы с вырезом на лицевой стороне. Керамика была нанесена слоями, чтобы имитировать естественный трехмерный вид внешний вид натурального зуба и получить соответствие с внешним видом оставшихся в полости рта интактных зубов. Глазирование и полировка проводилось алмазной полировочной пастой, завершая лабораторные этапы (Фото 12 и Фото 13).
Фото 12. Примерка окончательных реставраций на модели.
Фото 13. Окончательная реставрация после полировки и глазирования.
Окончательный этап фиксации
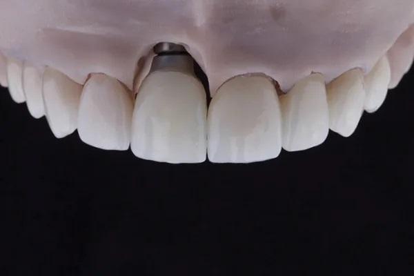
После примерки внутренние поверхности реставраций были протравлены плавиковой кислотой в течение 20 секунд и силанированы в соответствии с инструкциями производителя, а поверхности опор из диоксида циркония были обработаны воздушно-дисперсионной обработкой и специальной керамической грунтовкой в соответствии с APC (воздушно-абразивная обработка, грунтовка с MDP, цемент из композитной смолы) технология склеивания с диоксидом циркония. Была выполнена адгезионная цементировка по протоколу фиксации на полимерный цемент двойного отверждения, стойкого к изменению цвета и имеющего четкий оттенок (Фото 14 – Фото 18).
Фото 14. Вид окончательных реставраций в полости рта, после фиксации.
Фото 15. Улыбка пациентки после лечения вид спереди.
Фото 16. Улыбка пациентки после лечения вид с боку.
Фото 17. Улыбка пациентки после лечения в прикусе.
Фото 18. Портретное фото пациентки после лечения с широкой улыбкой.
Заключение
Протоколы аналогового проектирования с использованием воскового моделирования сильно варьируется, чувствительны к технике и зависят от опыта врача и зубного техника, чувствительны к технике и зависят от оператора. Инструменты цифрового проектирования улыбки и планирования лечения упрощают процессы за счет использования библиотек натуральных зубов, основанных на конкретных эстетических и функциональных потребностях отдельного пациента. Схема лечения, объединенная в первоначальном дизайне улыбки, облегчает составление простого плана лечения и его выполнение даже в сложных эстетических ситуациях, когда необходимы различные реставрации. Современные технологии CAD/CAM предоставляют возможности бросить вызов традиционным рабочим процессам для повышения эффективности, точности, предсказуемости и, в конечном счете, улучшения ухода за пациентами. Как показано в этом клиническом примере, эти инструменты способны обеспечить эстетические результаты, гармонирующие с лицом пациента.
Авторы:
Abdulrahman Almalki, BDS, MSOB
Julian Conejo, DDS, MSc
Alexander Wünsche, CDT, ZT
Evantha Anadioti, DMD, MS
Markus B. Blatz, DMD, PhD
Протоколы аналогового проектирования с использованием восковых пластин сильно варьируются, чувствительны к технике и зависят от навыков врача Современные инструменты цифрового проектирования улыбки и планирования лечения упрощают процессы, основанные на эстетике лица пациента, а также на конкретных эстетических и функциональных потребностях конкретного пациента. Первоначальный дизайн улыбки, достигнутый с помощью продвинутого и нового программного обеспечения для проектирования улыбки, позволяет составить простой план лечения и выполнить его даже в сложных эстетических ситуациях, когда необходимы различные реставрации. В этом отчете о клиническом случае описаны клинические и лабораторные шаги по удовлетворению эстетических и функциональных потребностей пациента со сложной ситуацией, требующей восстановления окклюзии с использованием полного цифрового рабочего процесса.
В последние десятилетия дизайн улыбки постепенно перешел от аналоговых рабочих процессов к цифровым, которые в дальнейшем эволюционировали от двумерных (2D) к 3D-инструментам. Внедрение цифровых инструментов и онлайн-взаимодействия улучшило коммуникацию между специалистами-стоматологами, зубными техниками и пациентами. Объединение 2D-фотографий с 3D-цифровыми файлами позволяет перейти к полноценному цифровому рабочему процессу и облегчает создание цифровой улыбки, управляемой лицом.
Новые инструменты цифрового дизайна улыбки могут использоваться для создания и модификации улыбок пациентов в цифровом виде и визуализации прогнозируемого результата до проведения любых необратимых процедур. Такие инструменты также позволяют проводить тщательный анализ характеристик лица и зубов пациента для облегчения проектирования цифрового дизайна улыбки. Как правило, файл STL с цифровым дизайном улыбки печатается в 3D, и эта модель используется для изготовления макета в кабинете врача-стоматолога. Проверка всех эстетических параметров имеет решающее значение, поскольку тот же или соответственно измененный 3D дизайн улыбки используется для изготовления окончательных реставраций. Фактически, все последующие этапы, включая тип восстановительного лечения, материал и конструкция аппарата, напрямую зависят от точности этого первоначального проекта.
Технологии автоматизированного проектирования/автоматизированного производства (CAD/CAM) продолжают набирать популярность благодаря их клинической эффективности, приемлемости для пациентов и экономической эффективности. Когда у пациентов имеются уже установленные зубные имплантаты, выполнение различных видов реставраций зубов во фронтальном отделе-эстетической зоне улыбки может быть особенно сложным. Программное обеспечение для цифрового проектирования улыбки может быть использовано для упрощения этой задачи и предоставления клиницисту возможности достигать желаемых результатов более эффективно, чем при использовании аналоговых методов, сохраняя при этом надлежащее качество окончательных реставраций.
В этой статье описывается эффективный цифровой рабочий процесс, который сочетает использование недавно выпущенного программного обеспечения для цифрового дизайна улыбки со стандартным стоматологическим программным обеспечением CAD/CAM для улучшения цифрового дизайна и предсказуемого достижения эстетического результата в сложном клиническом случае.
Клинический случай
Пациентка 33 лет обратилась с жалобами на дефект прямой реставрации в переднем отделе выполненной из специальной смолы, имеющаяся у нее конструкция с опорой на имплантаты также имела дефект, а именно скол керамики по режущему краю резца и соседние зубы аномального размера (Фото 1 - Фото 3). В ее истории болезни не было выявлено противопоказаний к стоматологическому лечению. В 2015 году для восстановления целостности зубного ряда ей был установлен имплантат в области зуба 1.1., и рентгенологическое исследование показало, что имплантат хорошо сросся с костью. Глубина зондирования пародонта и тканей, окружающих имплантат, составляла от 3 до 4 мм, без признаков активного воспаления. У пациентки был хороший уровень гигиены полости рта.
Фото 1. Портретное фото пациентки до начала лечения.
Фото 2. Вид улыбки пациентки до начала лечения.
Фото 3. Внутриротовое фото зубов верхней челюсти до начала лечения.
Пациентке были представлены различные варианты лечения и она выбрала изготовление керамических виниров для реставрации передних зубов, чтобы улучшить их форму и цвет. Хотя пациенту было предложено ортодонтическое лечение и операция по увеличению объема мягких тканей в качестве предпочтительного варианта лечения в данном случае, но пациентка отказалась от данного варианта лечения.
Было проведено внутриротовое сканирование при помощи сканера CEREC Primescan, Dentsply Sirona), а также был смоделирован 3D-анализ улыбки с помощью программного обеспечения для цифрового проектирования улыбки (SmileFy) (Фото 4 – Фото 6). Диагностическая модель, напечатанная на 3D-принтере, была изготовлена по выполненному цифровому дизайну улыбки, спроектированному в программном обеспечении, а также данная модель использовалась для создания силиконового ключа, необходимого для изготовления макета будущих реставраций, и примерки их в полости рта для одобрения пациенткой (Фото 7 и Фото 8). Этот же макет также мог быть использован в качестве направляющего шаблона для препарирования и обточки зубов, а также для изготовления временных реставраций.
Фото 4. Показано моделирование выравнивания зубов в соответствии с улыбкой пациента.
Фото 5. Макет будущей улыбки соединен с портретным фото пациентки.
Фото 6. Показан окончательный вариант смоделированного в компьютерном обеспечении вида улыбки пациентки.
Фото 7. Показан силиконовый ключ, необходимый для изготовления макета будущих реставраций во рту.
Фото 8. Вид примеренных реставраций у пациентки во рту.
Клинические этапы
Консервативный подход к лечению включал мало-инвазивное препарирование премоляров верхней челюсти зубы 1.5., 1.4., 2.4. были подготовлены для покрытия их частичными реставрациями, в области зубов 1.3 и 1.2 планировалась постановка лицевых ламинированных виниров и реставрации с полным покрытием коронок в области зубов 2.1 и 2.2 (Фото 9). Впоследствии было выполнено цифровое внутриротовое сканирование с использованием сканера без порошка (CEREC Primescan) после установки сканирующих колпачков для детализации дентального имплантата (Dentium SuperLine, Dentium Musa) в области зуба 1.1. с использованием метода тройного сканирования для получения первоначального профиля полости рта пациентки (Фото 10). Цифровые файлы были экспортированы в лабораторию через специальный программный портал подключения к сети.
Фото 9. Показано проведенное мало-инвазивное препарирование зубов.
Фото 10. Показан файл цифрового внутриротового сканирования.
В программном обеспечении dental CAD (DentalCAD, exocad) был создан новый клинический случай и выбраны элементы, которые необходимо было спроектировать. Имплантат был выбран и подобран из библиотеки имплантатов для обеспечения совместимости с корпусами (колпачками) сканирования. Ранее разработанный макет улыбки был импортирован в качестве дополнительного файла в формате STL, чтобы служить руководством для проектирования окончательных реставраций. Зуб с естественной текстурой был выбран из предложенной библиотеки в программном обеспечении dental CAD, и был выполнен индивидуальный дизайн абатмента для реставрации с опорой на имплпнтат. Как только дизайн был завершен, был создан файл STL и экспортирован для изготовления окончательных реставраций (Фото 11).
Фото 11. Показан цифровой дизайн финальных реставраций.
Лабораторные этапы
После того, как внутриротовые снимки были получены лабораторией стоматологических технологий, все файлы были импортированы в лабораторное программное обеспечение (exocad). На основе импортированных файлов SmileFy был выбран цифровой слепок и позиционирован как цифровая восковая модель. Это было использовано для информирования клинициста обо всех последующих шагах, а также для оценки и подтверждения дизайна реставраций.
С помощью библиотеки цифровых имплантатов был разработан индивидуальный гибридный абатмент. Все коронки были спроектированы на основе конструкции абатмента и отфрезерованы. После фрезерования изготовленного на заказ гибридного абатмента из диоксида циркония (Ceramill Zolid HT+, Amann Girrbach) желаемого оттенка, который был похож на соседние подготовленные зубы, его спекали в течение ночи. Коронки были обработаны прессуемым воском для изготовления реставраций на основе дисиликата лития (GC Initial LiSi Press, GC America).
Циркониевый абатмент был отрегулирован, а выступающий профиль коронки, контактирующий с мягкими тканями был отполирован, чтобы обеспечить идеальную интеграцию тканей. Затем абатмент был прикреплен к аутентичному титановому основанию с помощью связующего материала двойного отверждения (G-CEM LinkForce, GC America) в соответствии с инструкциями производителя.
Коронки были установлены на штампы для 3D-печати моделей и абатмент. Цифровой аналог был вставлен в 3D-модель. Следует отметить, что цифровые аналоги должны быть практически согласованы с цифровой библиотекой в программном обеспечении CAD/CAM. Цифровые аналоги должны быть той же марки, что представлены в библиотеке цифровых имплантатов, поскольку колпачки для интраорального сканирования всегда виртуально связаны с библиотекой цифровых имплантатов. Переход на другую марку потребует перехода в другую библиотеку.
После установки восковых коронок их заливали туннельным воском и натирали воском прессовочную форму-кольцо, чтобы запрессовать слитки дисиликата лития в формы. Выбор подходящих слитков с точки зрения оттенка и прозрачности является ключом к максимально эстетичному виду реставраций.
В данном случае был выбран GC Initial Press MT (GC America) (MT расшифровывается как "средняя прозрачность"). При таком уровне прозрачности специалист может, с одной стороны, замаскировать некоторые различия в оттенках, но, с другой стороны, впитать часть основного цвета, чтобы добиться очень живого и естественного результата. Все коронки были спроектированы с вырезом на лицевой стороне. Керамика была нанесена слоями, чтобы имитировать естественный трехмерный вид внешний вид натурального зуба и получить соответствие с внешним видом оставшихся в полости рта интактных зубов. Глазирование и полировка проводилось алмазной полировочной пастой, завершая лабораторные этапы (Фото 12 и Фото 13).
Фото 12. Примерка окончательных реставраций на модели.
Фото 13. Окончательная реставрация после полировки и глазирования.
Окончательный этап фиксации
После примерки внутренние поверхности реставраций были протравлены плавиковой кислотой в течение 20 секунд и силанированы в соответствии с инструкциями производителя, а поверхности опор из диоксида циркония были обработаны воздушно-дисперсионной обработкой и специальной керамической грунтовкой в соответствии с APC (воздушно-абразивная обработка, грунтовка с MDP, цемент из композитной смолы) технология склеивания с диоксидом циркония. Была выполнена адгезионная цементировка по протоколу фиксации на полимерный цемент двойного отверждения, стойкого к изменению цвета и имеющего четкий оттенок (Фото 14 – Фото 18).
Фото 14. Вид окончательных реставраций в полости рта, после фиксации.
Фото 15. Улыбка пациентки после лечения вид спереди.
Фото 16. Улыбка пациентки после лечения вид с боку.
Фото 17. Улыбка пациентки после лечения в прикусе.
Фото 18. Портретное фото пациентки после лечения с широкой улыбкой.
Заключение
Протоколы аналогового проектирования с использованием воскового моделирования сильно варьируется, чувствительны к технике и зависят от опыта врача и зубного техника, чувствительны к технике и зависят от оператора. Инструменты цифрового проектирования улыбки и планирования лечения упрощают процессы за счет использования библиотек натуральных зубов, основанных на конкретных эстетических и функциональных потребностях отдельного пациента. Схема лечения, объединенная в первоначальном дизайне улыбки, облегчает составление простого плана лечения и его выполнение даже в сложных эстетических ситуациях, когда необходимы различные реставрации. Современные технологии CAD/CAM предоставляют возможности бросить вызов традиционным рабочим процессам для повышения эффективности, точности, предсказуемости и, в конечном счете, улучшения ухода за пациентами. Как показано в этом клиническом примере, эти инструменты способны обеспечить эстетические результаты, гармонирующие с лицом пациента.
Авторы:
Abdulrahman Almalki, BDS, MSOB
Julian Conejo, DDS, MSc
Alexander Wünsche, CDT, ZT
Evantha Anadioti, DMD, MS
Markus B. Blatz, DMD, PhD



0 комментариев