Одномоментная имплантация 11 зуба и эстетическое протезирование центральных зубов верхней челюсти
Пациент была направлена терапевтом для удаления, вследствие некурабельного воспалительного процесса в зубе 11.
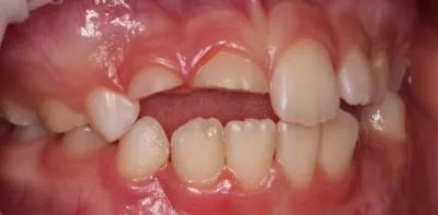
Реставрация 11, 21 зуба с точечным вскрытием пульпы в процессе лечения
Пациент девочка, 8 годиков. Хронический кариес 11, 21 зубов.
Исчезновение ортодонтических резинок после травмы передних резцов
Пациентка, 8 лет. Направлена ортодонтом с диагнозом перелом корней 11, 21. Находится на ортодонтическом лечении. Без соматических заболеваний.
Виниры из стеклокерамики служат дольше, чем виниры из фотополимера
Виниры, выполненные из стеклокерамики, служат дольше аналогов из фотополимерных материалов. К такому выводу пришли в исследовании, целью которого стало сравнение сроков службы непрямых реставраций центральных резцов верхней челюсти.
Исправление дисколорита фронтальных зубов при помощи реставраций E.max
Исходная ситуация.
Реаттачмент при осложненном переломе коронок центральных резцов
Девочке 9 лет, осложненный перелом коронок 1.1, 2.1. Холодовой тест +, перкуссия слабо болезненна, подвижность в пределах физиологической нормы.
Восстановление центральных резцов после травмы
Мальчик, 9 лет, упал и сломал 11 и 12 зуба. Но к сожалению ко мне обратились не сразу, а пришли уже с мышьяком на обоих зубах.
Устранение сколов на центральных резцах
Мужчина, с высокими требованиями к эстетике. Очень переживал как получатся зубки.
