В последние годы производители разрабатывают все более совершенные композитные материалы, улучшающие эстетику, управляемость и механические свойства. Однако ни одно из этих нововведений по-настоящему не устранило проблему усадки при полимеризации. Это напряжение, вызванное объемной усадкой во время полимеризации, создает внутреннее напряжение внутри реставрации, которое может ослабить прочность адгезивного соединения, вызвать краевые зазоры и привести к послеоперационной чувствительности или вторичному кариесу.
Непрямые реставрации доказали свою высокую эффективность с точки зрения адгезии, в частности, потому, что они позволяют адгезивному слою полностью сформироваться до того, как реставрация будет приклеена при минимальном напряжении. Это особенно актуально, когда за препарированием сразу же следует адгезивная обработка, известная как немедленное запечатывание дентина (IDS). При таком подходе свежесрезанный дентин герметизируется сразу после препарирования зуба, что позволяет пропитанному смолой слою дентина, или гибридному слою, формироваться в условиях отсутствия стресса на лабораторном этапе изготовления реставрации. Поскольку на этом этапе не наносится композит, вызывающий усадку, адгезивный слой остается нетронутым и может полностью развить свои механические свойства перед окончательным бондингом.
Однако эти непрямые подходы не всегда осуществимы в повседневных клинических условиях из-за нехватки времени, затрат или предпочтений пациента. Это привело к росту интереса к так называемым полупрямым методам, подходу, который сочетает в себе аспекты как прямых, так и косвенных рабочих процессов. Термин “полупрямые” относится к реставрациям, которые либо изготавливаются вне полости рта по модели, созданной по быстрому слепку, либо устанавливаются непосредственно на зуб с использованием разделительного материала, такого как лента из ПТФЭ. В обоих случаях реставрация подвергается экстраоральной полимеризации, прежде чем возвращается на место и приклеивается к зубу. Такой подход позволяет лучше контролировать процесс полимеризации, сохраняя при этом эффективность и практичность процедуры. Несмотря на то, что полупрямые техники обладают большим потенциалом, многие существующие методики сложны и требуют художественных навыков для придания анатомической формы вручную, что ограничивает их доступность в повседневной практике.
Концепция SEAL (снижающая нагрузку, эстетичная, анатомически управляемая, безслойная) — это упрощенный полупрямой подход, который устраняет необходимость в художественном моделировании. Вместо этого он использует предварительно сформированную анатомическую модель, позволяющую клиницистам передавать морфологию методом копирования–вставки. Следующий клинический случай иллюстрирует применение концепции SEAL.
Описание техники
Лечение было сосредоточено на первом моляре нижней челюсти с использованием существующих композитных реставраций I и V классов (фото 1). Состояние зуба протекало бессимптомно, и фриз-тест показал нормальную реакцию. Дистальное кариозное поражение, которое не было клинически заметно, было впервые заподозрено во время планового обследования, и его протяженность была четко определена на панорамной рентгенограмме (фото 2).
Фото 1: Предоперационный снимок первого моляра нижней челюсти с композитными реставрациями.
Фото 2: Панорамная рентгенограмма, показывающая дистальное кариозное поражение.
После изоляции с помощью коффердама Isodam 4D Rubber (фото 3), старые реставрации были удалены, обнажив дистальное кариозное поражение (фото 4). Для визуального подтверждения был нанесен краситель для выявления кариеса CARIES DETECTOR, Kuraray Noritake Dental (фото 5).
Фото 3: Изоляция коффердамом.
Фото 4: Дистальное поражение становится видимым во время удаления композита.
Фото 5: Краска для определения кариеса, применяемая для визуализации степени кариозного поражения.
После удаления разрушенной ткани полость была обработана оксидом алюминия AquaCare 29 мкм (Velopex International) под давлением 200 кПа с использованием системы воздушного истирания (фото 6).
Фото 6: Полость после истирания воздухом.
Матрица двойного изогнутого сечения (TOR) Palodent V3, (Dentsply Sirona) была установлена с помощью универсального кольца (фото 7). В течение 20 секунд эмаль протравливали протравочным гелем с 36%-ной фосфорной кислотой BLUE ETCH (Cerkamed), промыли и полностью высушили. Вся полость была обработана с использованием двухкомпонентной самопротравливающей адгезивной системы золотого стандарта CLEARFIL SE Protect (Kuraray Noritake Dental) с последующей легкой полимеризацией в течение 20 секунд. Был нанесен тонкий слой (~0,5 мм) премиального низкомодульного текучего композита Estelite Universal Flow (High Tokuyama Dental) и в течение еще 20 секунд проведена полимеризация с использованием света мощностью 1500 МВт/см2 Curing Pen (Eighteeth).
Фото 7: Установлена секционная матричная система.
Проксимальная стенка была постепенно восстановлена с помощью пастообразного рентгенконтрастного композита (Estelite Asteria, оттенок NE), каждый слой полимеризовался в течение 10 секунд (фото 8). Разрезы заполняли текучим композитом, армированным волокнами EverX Flow (GC), с полимеризацией в течение 20 секунд (фото 9).
Фото 8: Проксимальная стенка, постепенно возведена из композитного материала.
Фото 9: Разрезы заполнены текучим композитом, армированным волокнами.
Для выполнения окклюзионной техники копирования–вставки используется предварительно сформированная анатомическая диагностическая модель, напечатанная на 3D-принтере. На основе этой модели был изготовлен прозрачный силиконовый индекс EXACLEAR GC (фото 10). Индекс был разделен на секции, чтобы выделить область, соответствующую первому моляру (фото 11), и обрезан по форме для более легкой интраоральной адаптации (фото 12). Затем силиконовый индекс готовый к клиническому использованию был отделен от напечатанной модели (фото 13).
Фото 10: Модель, напечатанная на 3D-принтере, с прозрачным силиконовым индексом.
Фото 11: Зуб за зубом силиконовый индекс разделен.
Фото 12: Силиконовый индекс с разрезом для первого моляра.
Фото 13: Окончательный прозрачный силиконовый индекс, готовый для интраорального использования.
Затем полость была покрыта лентой из ПТФЭ, чтобы предотвратить склеивание слоев композита с поверхностью полости (фото 14), а EverX Flow наносили на область дентина и подвергали светополимеризации в течение 10 секунд (фото 15). Затем без предварительной полимеризации был нанесен слой Estelite Asteria (оттенок OcE) (фото 16). Затем поверх него с легким нажимом был наложен анатомический силиконовый индекс и подвергнут светополимеризации (фото 17-18). После удаления силиконового индекса была проведена дополнительная полимеризация (фото 19). Затем последовала экстраоральная полимеризация, по 20 секунд с каждой стороны (фото 20-21).
Фото 14: Лента из ПТФЭ, отделяющая поверхность полости для предотвращения склеивания с композитом.
Фото 15: Композит, армированный волокнами, помещается в область дентина.
Фото 16: Оокклюзионная эмаль перед полимеризацией.
Фото 17: Силиконовый индекс, нанесенный поверх неполимеризованного композита.
Фото 18: Легкая полимеризация через силиконовый индекс.
Фото 19: Композит после удаления силиконового индекса.
Фото 20: Приблизительный вид полупрямой вкладки.
Фото 21: Окклюзионный вид полупрямой вкладки.
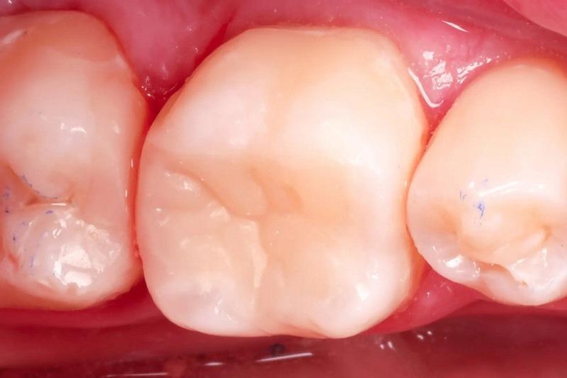
После примерки (фото 22), реставрация была выполнена с использованием плотного композита сверхнизкой текучести Estelite Universal Flow (SuperLow) (фото 23). Лишний материал был удален (фото 24), затем последовал еще один этап легкой полимеризации в течение 20 секунд с каждой стороны. Было произведено окончательное удаление излишков (фото 25), а благодаря предварительно сформированной анатомии большая часть морфологических деталей осталась нетронутой даже после окклюзионной коррекции (фото 26). Была сделана контрольная рентгенограмма (фото 27).
Фото 22: Примерка полупрямой реставрации.
Фото 23: Цементирование текучим композитом.
Фото 24: До удаления излишков.
Фото 25: После удаления излишков и полировки реставрации.
Фото 26: Окклюзионный вид после окончательной коррекции.
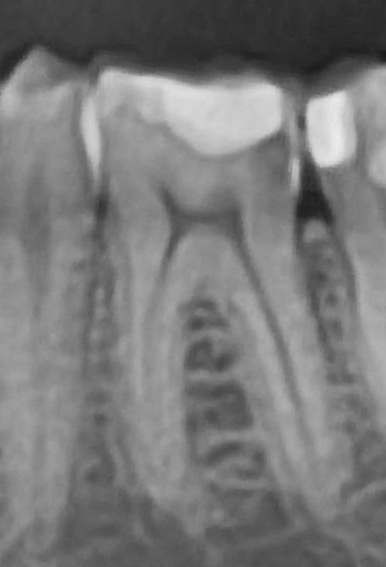
Фото 27: Заключительная рентгенограмма реставрации.
Обсуждение и заключение
Значительная часть повседневной стоматологической практики связана с заменой существующих реставраций из-за вторичного кариеса, послеоперационной чувствительности или структурных переломов. Эти распространенные клинические ситуации наводят на важный вопрос: в какой степени усадка при полимеризации приводит к таким сбоям?
По сути, существует тонкий баланс между прочностью адгезивного соединения и нагрузкой при полимеризации. При низкой прочности соединения и высоком напряжении велика вероятность расслоения. Даже если соединение прочное, чрезмерное напряжение все равно может вызвать внутреннее напряжение, приводящее к таким проблемам, как прогиб острия или краевой отказ.
Таким образом, долгосрочный клинический успех зависит не только от оптимизации прочности соединения, но и от минимизации напряжения, вызванного усадкой. Концепция SEAL учитывает оба фактора. Позволяя гибридному слою сформироваться без напряжения — благодаря использованию барьера из ПТФЭ, который временно отделяет композит от склеиваемой поверхности, — этот метод имитирует стратегию немедленной герметизации дентина, используемую при непрямых реставрациях.
Кроме того, он заменяет сложное наложение слоев эффективной стратегией копирования-вставки с использованием прозрачного силиконового индекса, созданного на основе анатомической модели. Это создает полупрямую реставрацию, которая одновременно эстетична и предсказуема и требует минимального художественного мастерства. Эта техника доступна, легка в освоении и имеет большое значение для общей практики.
Автор: Dr Péter Farkas
В последние годы производители разрабатывают все более совершенные композитные материалы, улучшающие эстетику, управляемость и механические свойства. Однако ни одно из этих нововведений по-настоящему не устранило проблему усадки при полимеризации. Это напряжение, вызванное объемной усадкой во время полимеризации, создает внутреннее напряжение внутри реставрации, которое может ослабить прочность адгезивного соединения, вызвать краевые зазоры и привести к послеоперационной чувствительности или вторичному кариесу.
Непрямые реставрации доказали свою высокую эффективность с точки зрения адгезии, в частности, потому, что они позволяют адгезивному слою полностью сформироваться до того, как реставрация будет приклеена при минимальном напряжении. Это особенно актуально, когда за препарированием сразу же следует адгезивная обработка, известная как немедленное запечатывание дентина (IDS). При таком подходе свежесрезанный дентин герметизируется сразу после препарирования зуба, что позволяет пропитанному смолой слою дентина, или гибридному слою, формироваться в условиях отсутствия стресса на лабораторном этапе изготовления реставрации. Поскольку на этом этапе не наносится композит, вызывающий усадку, адгезивный слой остается нетронутым и может полностью развить свои механические свойства перед окончательным бондингом.
Однако эти непрямые подходы не всегда осуществимы в повседневных клинических условиях из-за нехватки времени, затрат или предпочтений пациента. Это привело к росту интереса к так называемым полупрямым методам, подходу, который сочетает в себе аспекты как прямых, так и косвенных рабочих процессов. Термин “полупрямые” относится к реставрациям, которые либо изготавливаются вне полости рта по модели, созданной по быстрому слепку, либо устанавливаются непосредственно на зуб с использованием разделительного материала, такого как лента из ПТФЭ. В обоих случаях реставрация подвергается экстраоральной полимеризации, прежде чем возвращается на место и приклеивается к зубу. Такой подход позволяет лучше контролировать процесс полимеризации, сохраняя при этом эффективность и практичность процедуры. Несмотря на то, что полупрямые техники обладают большим потенциалом, многие существующие методики сложны и требуют художественных навыков для придания анатомической формы вручную, что ограничивает их доступность в повседневной практике.
Концепция SEAL (снижающая нагрузку, эстетичная, анатомически управляемая, безслойная) — это упрощенный полупрямой подход, который устраняет необходимость в художественном моделировании. Вместо этого он использует предварительно сформированную анатомическую модель, позволяющую клиницистам передавать морфологию методом копирования–вставки. Следующий клинический случай иллюстрирует применение концепции SEAL.
Описание техники
Лечение было сосредоточено на первом моляре нижней челюсти с использованием существующих композитных реставраций I и V классов (фото 1). Состояние зуба протекало бессимптомно, и фриз-тест показал нормальную реакцию. Дистальное кариозное поражение, которое не было клинически заметно, было впервые заподозрено во время планового обследования, и его протяженность была четко определена на панорамной рентгенограмме (фото 2).
Фото 1: Предоперационный снимок первого моляра нижней челюсти с композитными реставрациями.
Фото 2: Панорамная рентгенограмма, показывающая дистальное кариозное поражение.
После изоляции с помощью коффердама Isodam 4D Rubber (фото 3), старые реставрации были удалены, обнажив дистальное кариозное поражение (фото 4). Для визуального подтверждения был нанесен краситель для выявления кариеса CARIES DETECTOR, Kuraray Noritake Dental (фото 5).
Фото 3: Изоляция коффердамом.
Фото 4: Дистальное поражение становится видимым во время удаления композита.
Фото 5: Краска для определения кариеса, применяемая для визуализации степени кариозного поражения.
После удаления разрушенной ткани полость была обработана оксидом алюминия AquaCare 29 мкм (Velopex International) под давлением 200 кПа с использованием системы воздушного истирания (фото 6).
Фото 6: Полость после истирания воздухом.
Матрица двойного изогнутого сечения (TOR) Palodent V3, (Dentsply Sirona) была установлена с помощью универсального кольца (фото 7). В течение 20 секунд эмаль протравливали протравочным гелем с 36%-ной фосфорной кислотой BLUE ETCH (Cerkamed), промыли и полностью высушили. Вся полость была обработана с использованием двухкомпонентной самопротравливающей адгезивной системы золотого стандарта CLEARFIL SE Protect (Kuraray Noritake Dental) с последующей легкой полимеризацией в течение 20 секунд. Был нанесен тонкий слой (~0,5 мм) премиального низкомодульного текучего композита Estelite Universal Flow (High Tokuyama Dental) и в течение еще 20 секунд проведена полимеризация с использованием света мощностью 1500 МВт/см2 Curing Pen (Eighteeth).
Фото 7: Установлена секционная матричная система.
Проксимальная стенка была постепенно восстановлена с помощью пастообразного рентгенконтрастного композита (Estelite Asteria, оттенок NE), каждый слой полимеризовался в течение 10 секунд (фото 8). Разрезы заполняли текучим композитом, армированным волокнами EverX Flow (GC), с полимеризацией в течение 20 секунд (фото 9).
Фото 8: Проксимальная стенка, постепенно возведена из композитного материала.
Фото 9: Разрезы заполнены текучим композитом, армированным волокнами.
Для выполнения окклюзионной техники копирования–вставки используется предварительно сформированная анатомическая диагностическая модель, напечатанная на 3D-принтере. На основе этой модели был изготовлен прозрачный силиконовый индекс EXACLEAR GC (фото 10). Индекс был разделен на секции, чтобы выделить область, соответствующую первому моляру (фото 11), и обрезан по форме для более легкой интраоральной адаптации (фото 12). Затем силиконовый индекс готовый к клиническому использованию был отделен от напечатанной модели (фото 13).
Фото 10: Модель, напечатанная на 3D-принтере, с прозрачным силиконовым индексом.
Фото 11: Зуб за зубом силиконовый индекс разделен.
Фото 12: Силиконовый индекс с разрезом для первого моляра.
Фото 13: Окончательный прозрачный силиконовый индекс, готовый для интраорального использования.
Затем полость была покрыта лентой из ПТФЭ, чтобы предотвратить склеивание слоев композита с поверхностью полости (фото 14), а EverX Flow наносили на область дентина и подвергали светополимеризации в течение 10 секунд (фото 15). Затем без предварительной полимеризации был нанесен слой Estelite Asteria (оттенок OcE) (фото 16). Затем поверх него с легким нажимом был наложен анатомический силиконовый индекс и подвергнут светополимеризации (фото 17-18). После удаления силиконового индекса была проведена дополнительная полимеризация (фото 19). Затем последовала экстраоральная полимеризация, по 20 секунд с каждой стороны (фото 20-21).
Фото 14: Лента из ПТФЭ, отделяющая поверхность полости для предотвращения склеивания с композитом.
Фото 15: Композит, армированный волокнами, помещается в область дентина.
Фото 16: Оокклюзионная эмаль перед полимеризацией.
Фото 17: Силиконовый индекс, нанесенный поверх неполимеризованного композита.
Фото 18: Легкая полимеризация через силиконовый индекс.
Фото 19: Композит после удаления силиконового индекса.
Фото 20: Приблизительный вид полупрямой вкладки.
Фото 21: Окклюзионный вид полупрямой вкладки.
После примерки (фото 22), реставрация была выполнена с использованием плотного композита сверхнизкой текучести Estelite Universal Flow (SuperLow) (фото 23). Лишний материал был удален (фото 24), затем последовал еще один этап легкой полимеризации в течение 20 секунд с каждой стороны. Было произведено окончательное удаление излишков (фото 25), а благодаря предварительно сформированной анатомии большая часть морфологических деталей осталась нетронутой даже после окклюзионной коррекции (фото 26). Была сделана контрольная рентгенограмма (фото 27).
Фото 22: Примерка полупрямой реставрации.
Фото 23: Цементирование текучим композитом.
Фото 24: До удаления излишков.
Фото 25: После удаления излишков и полировки реставрации.
Фото 26: Окклюзионный вид после окончательной коррекции.
Фото 27: Заключительная рентгенограмма реставрации.
Обсуждение и заключение
Значительная часть повседневной стоматологической практики связана с заменой существующих реставраций из-за вторичного кариеса, послеоперационной чувствительности или структурных переломов. Эти распространенные клинические ситуации наводят на важный вопрос: в какой степени усадка при полимеризации приводит к таким сбоям?
По сути, существует тонкий баланс между прочностью адгезивного соединения и нагрузкой при полимеризации. При низкой прочности соединения и высоком напряжении велика вероятность расслоения. Даже если соединение прочное, чрезмерное напряжение все равно может вызвать внутреннее напряжение, приводящее к таким проблемам, как прогиб острия или краевой отказ.
Таким образом, долгосрочный клинический успех зависит не только от оптимизации прочности соединения, но и от минимизации напряжения, вызванного усадкой. Концепция SEAL учитывает оба фактора. Позволяя гибридному слою сформироваться без напряжения — благодаря использованию барьера из ПТФЭ, который временно отделяет композит от склеиваемой поверхности, — этот метод имитирует стратегию немедленной герметизации дентина, используемую при непрямых реставрациях.
Кроме того, он заменяет сложное наложение слоев эффективной стратегией копирования-вставки с использованием прозрачного силиконового индекса, созданного на основе анатомической модели. Это создает полупрямую реставрацию, которая одновременно эстетична и предсказуема и требует минимального художественного мастерства. Эта техника доступна, легка в освоении и имеет большое значение для общей практики.
Автор: Dr Péter Farkas



0 комментариев