Окклюзия и морфология являются общими знаменателями любой стоматологии, поскольку они взаимосвязаны и учитываются при разработке индивидуального плана лечения. Независимо один зуб или объемная реставрация могут серьезно повлиять на функциональность и комфорт пациента, если они не будут должным образом интегрированы в естественную окклюзионную функцию пациента. К сожалению, «современная» стоматология придерживается такого «конформистского» подхода под видом консервативности или избегания чрезмерного лечения. Применяя подход «по одному зубу за один прием» или «если он не тревожит, не лечите его», действительно ли мы делаем все возможное, чтобы помочь пациентам сохранить зубы на всю оставшуюся жизнь? Сколько зубов было принесено в жертву на алтарь ложного консерватизма? Это вопросы, с которыми мы все сталкиваемся каждый день в частной практике. Важно помнить одну вещь: мышцы всегда побеждают! Без надлежащей интеграции в неинтерферирующую окклюзионную схему наилучшие восстановительные усилия в конечном счете окажутся безуспешными, независимо от используемого материала. Ниже приведен клинический случай, демонстрирующий эти предпосылки при лечении неудачной реставрации одного зуба.
Дефект композитной реставрации IV класса: история болезни и план восстановления
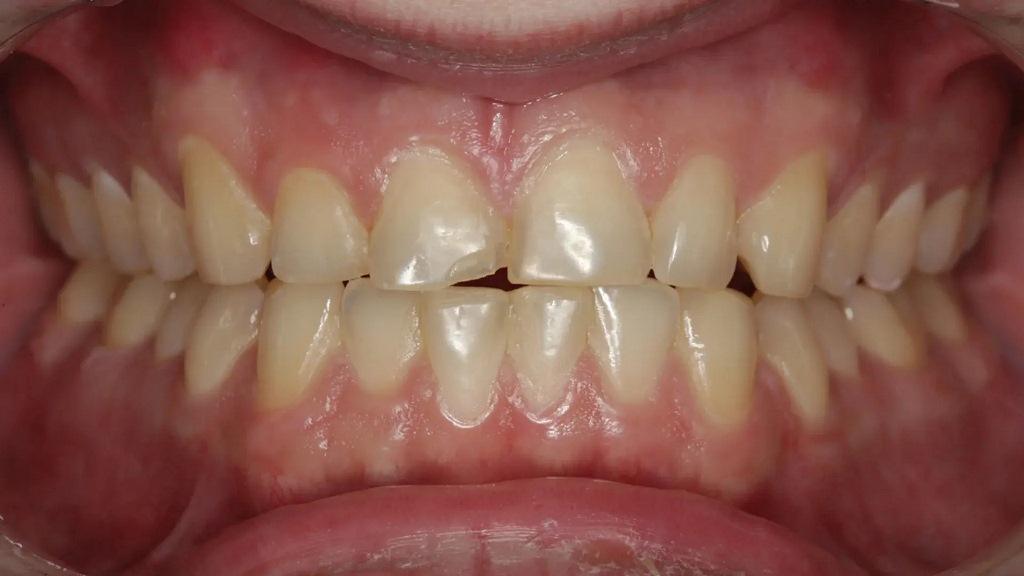
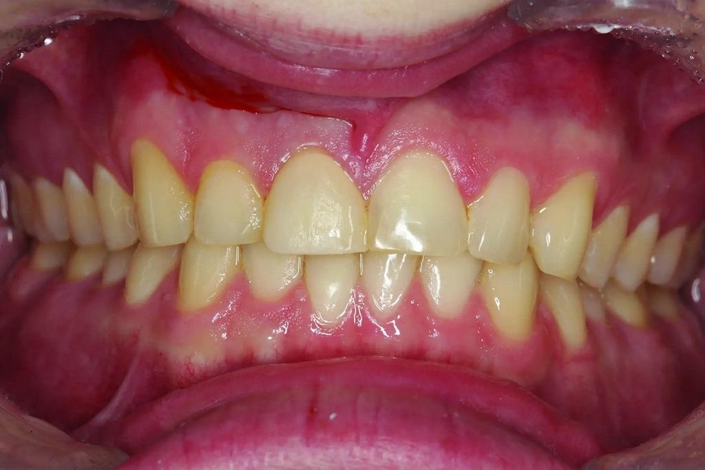
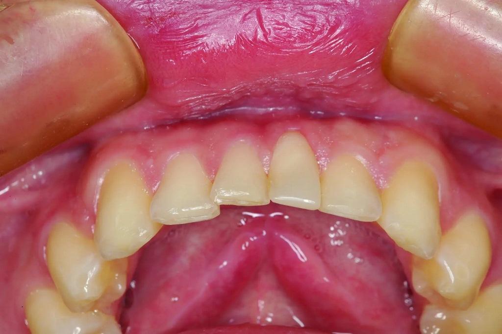
Пациент обратился со сколом композитной реставрации IV класса на зубе 11 по причине дефекта (фото 1). За последний год проводили реставрацию трижды и она снова скалывалась. Было ли это из-за плохой техники или по причине некачественных материалов? Более чем вероятно, что это произошло из-за окклюзии. Помимо большого количества композита на лицевой поверхности, который выходил за пределы области скола, большая часть небной поверхности зуба была стерта до дентина из-за гиперфункции при протрузии и боковом перемещении в течение многих лет, что создавало для пациента функциональную и эстетическую дилемму. «Консервативный» подход, возможно, заключался в том, чтобы снова заклеить зуб композитом и надеяться на лучшее. Однако, возможно, это был не самый лучший долгосрочный подход, учитывая функциональную нагрузку в этой области, даже при наилучшем выравнивании зубов. В конце концов, насколько консервативно постоянное воздействие на зуб вращающимися инструментами для фиксации композита, который продолжает разрушаться?
Фото 1: Предоперационный снимок лицевой стороны реставрации из композитного материала со сколом на зубе 11 в максимально сжатом положении.

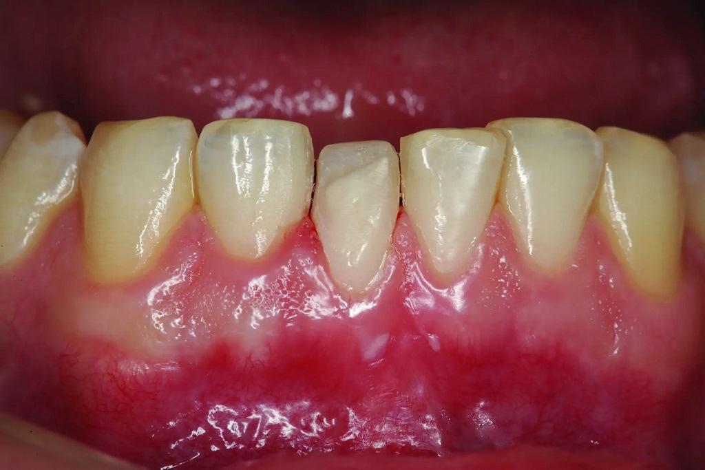
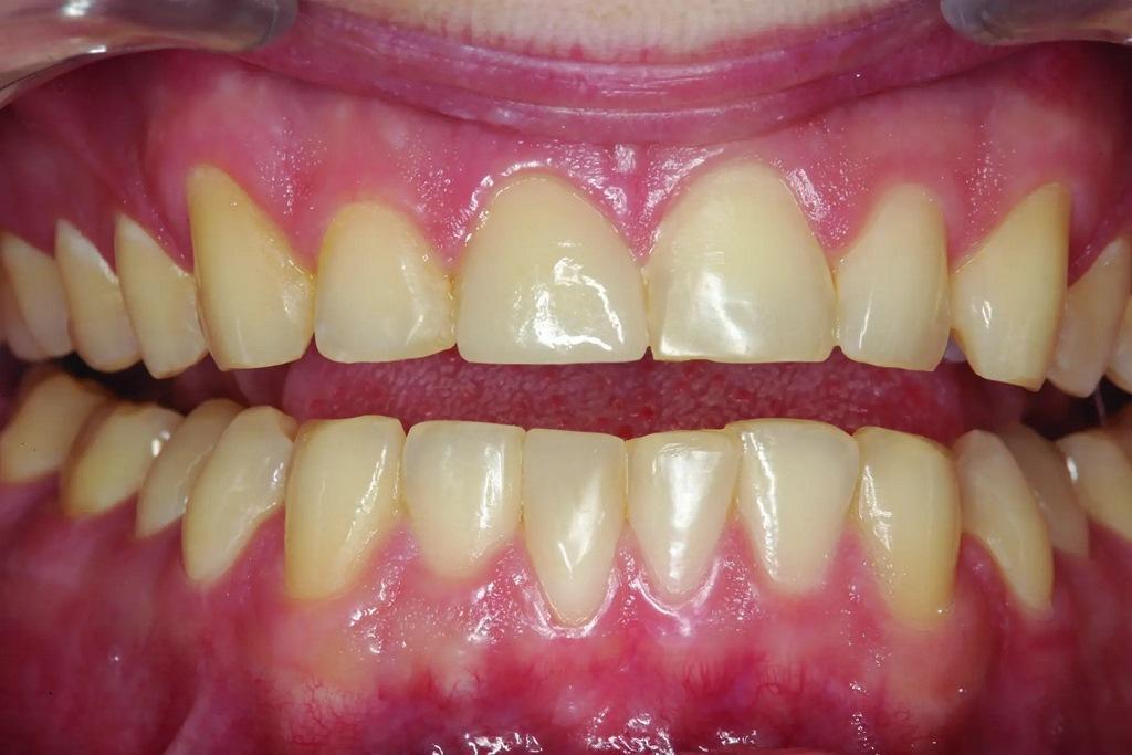
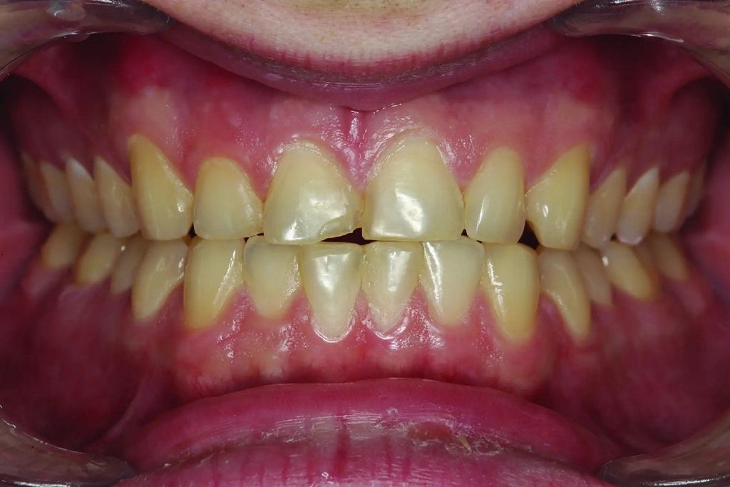
А как насчет выравнивания зубов-антагонистов? На режущих краях зубов 31 и 41 (фото 2) наблюдался чрезмерный износ. Со стороны резцов был виден значительный износ всех краев нижней челюсти из-за окклюзионного заболевания, которое часто наблюдается, но не лечится (фото 3). Также зуб 41 располагался на лицевой стороне таким образом, что при выступающей экскурсии он преждевременно соприкасался с небной поверхностью зуба 11, создавая дополнительную нагрузку как на небную поверхность, так и на резцовый край зуба 11, прежде чем соединиться с остальной частью переднего сегмента верхней челюсти. Это демонстрирует, что решение этих проблем реставрационными методами включает в себя нечто большее, чем просто исправление сколов композитной реставрации.
Фото 2: Зубы выступают вперед, что свидетельствует о чрезмерном износе зуба (41), расположенного напротив зуба 11, что указывает на гиперфункцию и повышенную функциональную нагрузку на восстановленную область.
Фото 3: Резцовый вид показывает, что зуб 41 был наиболее расположенным к лицу резцом нижней челюсти в форме дуги.
Для исправления выравнивания зубов с пациентом обсуждалась ортодонтия, но он не пожелал использовать этот вариант. Альтернативный план лечения заключался в восстановлении зуба 41 таким образом, чтобы положение зуба на лицевой стороне и его резцовый край преждевременно не соприкасались с небной поверхностью зуба 11, а затем в восстановлении небной поверхности и лицевой области перелома резца керамикой для замены утраченной эмали и укрепления оставшейся структуры зуба. Было принято решение восстановить зуб 11 керамической коронкой, а зуб 41 - прямой композитной реставрацией. Для зуба 11 эстетическое соответствие зубу 21 лучше достигалось при послойном нанесении керамики. Композит был выбран как более консервативный и менее затратный вариант для лечения зуба 41, но пациента предупредили, что позже может потребоваться керамическая реставрация.
Первый этап: прямая композитная реставрация зуба 41
Оттенок был выбран предоперационно и сфотографирован для керамиста с целью подбора цвета с помощью цифровой камеры с функцией, позволяющей изолировать оттенок зуба от остальной части полости рта (EyeSpecial C-II, Shofu; фото 4). Затем лицевая поверхность зуба 41 была подготовлена для перемещения лицевой поверхности и режущего края в язычном направлении (фото 5). После подготовки скошенная лицевая поверхность зуба 41 имела острый пришеечный край около 2 мм наддеснево. Этот длинный скос позволил добиться более эстетичного сочетания композита и структуры зуба, оставив при этом профиль прорезывания естественного зуба нетронутым.
Фото 4: Затенение перед реставрацией.
Фото 5: Зуб 41 ортодонтически препарирован с лицевой стороны, чтобы создать пространство для восстановления этой поверхности, которое могло бы скорректировать лицевое положение зуба при окклюзии.
Перед нанесением композита поверхность эмали протравливали фосфорной кислотой (Ultra-Etch, Ultradent Products) в течение 15 секунд, тщательно промывали и высушивали воздухом. На поверхность зуба наносили универсальную адгезивную смолу (Peak Universal Bond, Ultradent Products), разбавляли воздухом для испарения растворителя, а затем полимеризовали светом в течение 20 секунд (VALO Grand, Ultradent Products). Начальный слой композита (Mosaic universal composite, Ultradent Products) использовали для наращивания режущей трети зуба с целью перемещения его верхушки в язычном направлении (фото 6). Для правильного восстановления лицевой анатомии и контура зуба № 41 композитом был выбран шаблон Uveneer (Ultradent Products), поскольку его крайне сложно правильно контурировать вручную из-за небольшого размера. Шаблон заполняли композитом выбранного оттенка и размещали на лицевой поверхности зуба в правильном соответствии с соседними зубами, после чего композит полимеризовали светом (фото 7). Затем шаблон был удален, внесены незначительные корректировки в области резцов, и реставрация отполирована (фото 8 и 9).
Фото 6: Лингвальный аспект зуба 41 заделывается композитным материалом для перемещения резцового края зуба на языке в более благоприятное положение.
Фото 7: Шаблон Uveneer помещается на лицевую поверхность зуба 41 в правильном положении относительно соседних зубов.
Фото 8: Зуб 41 с лицевой стороны после реставрации лицевой поверхности и резцового края.
Фото 9: Резцовый вид прямой композитной реставрации зуба 41, показывающий выравнивание резцового края по сравнению с ситуацией до операции (фото 3).
Второй этап: керамическая реставрация зуба 11
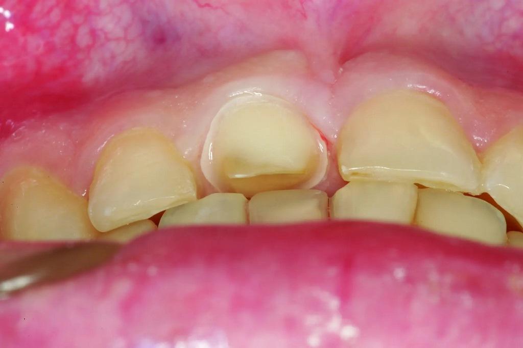
Зуб 11 был подготовлен для установки керамической коронки. Важно подчеркнуть, что подготовка небной поверхности имеет решающее значение. Она должна препарироваться с уменьшением на 1,0–1,5 мм после искривления не препарированной небной поверхности (вогнутости верхнего неба). Это делается для того, чтобы реставрация могла повторять естественный изгиб неба при соответствующей толщине реставрационного материала для придания прочности. Важно помнить, что небная вогнутость верхней челюсти определяется углом возвышения и функциональной оболочкой - обоими окклюзионными факторами, которые необходимо соблюдать при восстановлении передних зубов верхней челюсти. После препарирования (фото 10, 11a-b) можно приступать к изготовлению мастер-оттиска.
Фото 10: Вид снизу на зуб 11 после препарирования и при максимальном смыкании зубов. Следует обратить внимание, что реставрация зуба 41 была необходима для того, чтобы расположить резцовый край и лицевую поверхность в более лингвальном положении, чтобы обеспечить пространство, необходимое для восстановления небной поверхности зуба 11 надлежащей толщины, сохраняя при этом естественную небную вогнутость, частично обусловленную окклюзионными отклонениями.
Фото 11a: Резцовый вид.
Фото 11b: Внешний вид завершенного препарирования зуба 11.
Техника двухнитевых оттисков для создания непрямых реставраций
Техника двухнитевых оттисков - это чрезвычайно предсказуемый способ получения качественных мастер-оттисков для реставраций с полным или частичным покрытием с внутри- или равнодесневыми бороздками (по свободному краю десны). При желании оба жгута можно смочить в гемостатическом растворе (например, ViscoStat Clear, Ultradent) и перед наложением удалить излишки марлевой салфеткой размером 5 × 5 см.
Сначала на основание десневой борозды вокруг каждого места препарирования накладывается ретракционная нить №00 (например, Ultrapak, Ultradent Products), начиная с лингвальной стороны, вокруг лицевой стороны, затем обратно через противоположную проксимальную область к лингвальной начальной точке. Излишки на обоих концах обрезаются, и противоположные концы нити заправляются в лингвально-десневую борозду так, чтобы они прилегали друг к другу, но не перекрывали друг друга. После того, как первая ретракционная нить будет правильно закреплена, и перед установкой второй ретракционной нити можно произвести любую незначительную коррекцию по краям препарирования с помощью крупного или мелкого алмазного инструмента соответствующего диаметра. Затем с помощью ватного тампона места препарирования протирают 2%-ным антибактериальным раствором хлоргексидина (например, средствами Consepsis, Ultradent), чтобы убедиться в чистоте поверхности и отсутствии отходов препарирования с алмазного инструмента. Затем таким же образом поверх нити №00 накладывается нить №1 (например, Ultrapak).
Когда все будет готово (обычно после того, как обе нити на месте, проверяется посадка оттиска), нить № 1 частично вытягивается из борозды на лицевой стороне каждого препарирования с помощью эксплорера, и оценивается степень втягивания (и отсутствие влаги или загрязнения кровью). Нужно помнить, что мастер-оттиск должен захватывать не только весь реставрационный край, но и 0,5 мм поверхности зуба или корня, прилегающей к краю. Если после натяжения верхней нити край десны, прилегающий к реставрационному краю, восстанавливается и соприкасается с зубом или краем десны, небольшой кусочек нити большего диаметра (№ 2, например, Ultrapak) накладывается на пораженный участок еще на минуту, а затем удаляется. Этой дополнительной ретракции должно быть достаточно, чтобы создать пространство между поверхностью зуба и внутренним размером десневой борозды. Цель ретракции - создать углубление (пространство, в которое можно ввести легкий оттискной материал) вокруг препарирования зуба.
Сверхимпульсный диодный лазер в качестве дополнения к набивке нити
Если какая-либо часть десневой ткани по окружности недостаточно удалена от поверхности зуба или с места препарирования после установки ретракционной нити 1, можно использовать диодный лазер для выполнения небольшой гингивопластики над верхней нитью, чтобы ткань была видна до ее удаления. Это часто встречается в межпроксимальных областях, где десневая ткань (сосочек) может быть слегка увеличена. Не рекомендуется надеяться, что плотный оттискной материал отодвинет ткань в сторону, чтобы позволить легкому оттискному материалу получить доступ к десневой борозде.
В данном случае, после установки ретракционной нити 1, в лицевой области препарирования образовался избыток ткани, который, возможно, препятствовал прохождению поддесневого оттискного материала. Сверхимпульсный диодный лазер (Gemini, Ultradent Products) использовался для тщательного удаления излишков ткани, прилегающей к нити, без повреждения нити (фото 12-13). Ретракционная нить была полностью видимой перед удалением, что обеспечивало беспрепятственный доступ легкого оттискного материала в отведенную область.
Фото 12: С помощью сверхимпульсного диодного лазера удаляют излишки ткани, надрезая верхнюю нить.
Фото 13: Резцовый вид после завершения гингивопластики.
Когда нить удаляется, оттиск края и 0,5 мм поверхности зуба или корня, апикальной к краю, практически гарантирован. Для получения точного мастер-оттиска необходимо нанести легкий оттискной материал не только на препарированный зуб, но и на все окклюзионные и резцовые поверхности, чтобы гипсовые модели можно было точно зафиксировать. После введения легкого оттискного материала лоток для оттиска с плотным оттискным материалом помещают в полость рта в соответствии с рекомендациями производителя.
Установка керамической реставрации
Предварительная реставрация важна для того, чтобы оценить эстетические аспекты и функциональную окклюзию, протрузию, переднее соединение и функциональность (фото 14). Это гораздо больше, чем просто временная реставрация! После удаления временной реставрации и любого оставшегося временного цемента была примерка реставрация, проксимальные контакты и окклюзия были отрегулированы, а затем отполированы. Затем место препарирования был продезинфицировано специальным средством Consepsis. Окончательная реставрация была протравлена в лаборатории, поэтому перед цементированием протравленную поверхность обработали силановым связующим в соответствии с инструкциями производителя. Затем реставрация была выполнена с использованием высоконаполненной, мелкочастичной, двухкомпонентной смолы (PermaFlo DC Translucent, Ultradent Products; фото 15–17).
Фото 14: Лицевой вид зуба 11 в ретракции после провизионирования. (Максимальная интеркуспация).
Фото 15: Ретракционный лицевой вид керамической коронки на зубе 11 после цементирования.
Фото 16: Небный вид на керамическую коронку на зубе 11, демонстрирующую повторение небной вогнутости с расположением наддесневого края.
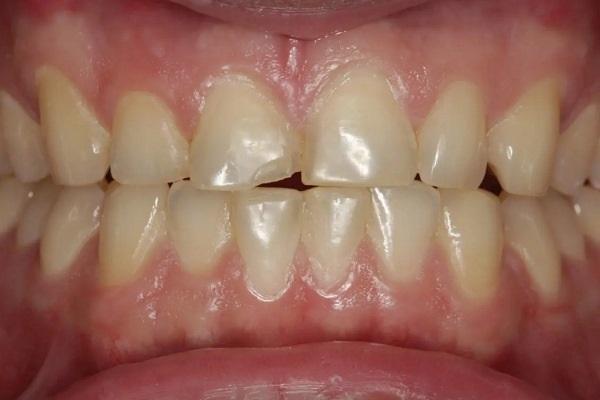
Фото 17: Через шесть месяцев после операции восстановленные зубы 11 и 41 были восстановлены. Была достигнута эстетическая и функциональная гармония.
Заключение
Всегда важно учитывать, что восстановление одного зуба может существенно повлиять на окклюзию. Верно и обратное: игнорирование окклюзии может повлиять на однократное восстановление как контура, так и долговечности. Всегда рекомендуется рассмотреть эти вопросы до начала любых восстановительных мероприятий.
Автор: Dr Robert A. Lowe
Окклюзия и морфология являются общими знаменателями любой стоматологии, поскольку они взаимосвязаны и учитываются при разработке индивидуального плана лечения. Независимо один зуб или объемная реставрация могут серьезно повлиять на функциональность и комфорт пациента, если они не будут должным образом интегрированы в естественную окклюзионную функцию пациента. К сожалению, «современная» стоматология придерживается такого «конформистского» подхода под видом консервативности или избегания чрезмерного лечения. Применяя подход «по одному зубу за один прием» или «если он не тревожит, не лечите его», действительно ли мы делаем все возможное, чтобы помочь пациентам сохранить зубы на всю оставшуюся жизнь? Сколько зубов было принесено в жертву на алтарь ложного консерватизма? Это вопросы, с которыми мы все сталкиваемся каждый день в частной практике. Важно помнить одну вещь: мышцы всегда побеждают! Без надлежащей интеграции в неинтерферирующую окклюзионную схему наилучшие восстановительные усилия в конечном счете окажутся безуспешными, независимо от используемого материала. Ниже приведен клинический случай, демонстрирующий эти предпосылки при лечении неудачной реставрации одного зуба.
Дефект композитной реставрации IV класса: история болезни и план восстановления
Пациент обратился со сколом композитной реставрации IV класса на зубе 11 по причине дефекта (фото 1). За последний год проводили реставрацию трижды и она снова скалывалась. Было ли это из-за плохой техники или по причине некачественных материалов? Более чем вероятно, что это произошло из-за окклюзии. Помимо большого количества композита на лицевой поверхности, который выходил за пределы области скола, большая часть небной поверхности зуба была стерта до дентина из-за гиперфункции при протрузии и боковом перемещении в течение многих лет, что создавало для пациента функциональную и эстетическую дилемму. «Консервативный» подход, возможно, заключался в том, чтобы снова заклеить зуб композитом и надеяться на лучшее. Однако, возможно, это был не самый лучший долгосрочный подход, учитывая функциональную нагрузку в этой области, даже при наилучшем выравнивании зубов. В конце концов, насколько консервативно постоянное воздействие на зуб вращающимися инструментами для фиксации композита, который продолжает разрушаться?
Фото 1: Предоперационный снимок лицевой стороны реставрации из композитного материала со сколом на зубе 11 в максимально сжатом положении.

А как насчет выравнивания зубов-антагонистов? На режущих краях зубов 31 и 41 (фото 2) наблюдался чрезмерный износ. Со стороны резцов был виден значительный износ всех краев нижней челюсти из-за окклюзионного заболевания, которое часто наблюдается, но не лечится (фото 3). Также зуб 41 располагался на лицевой стороне таким образом, что при выступающей экскурсии он преждевременно соприкасался с небной поверхностью зуба 11, создавая дополнительную нагрузку как на небную поверхность, так и на резцовый край зуба 11, прежде чем соединиться с остальной частью переднего сегмента верхней челюсти. Это демонстрирует, что решение этих проблем реставрационными методами включает в себя нечто большее, чем просто исправление сколов композитной реставрации.
Фото 2: Зубы выступают вперед, что свидетельствует о чрезмерном износе зуба (41), расположенного напротив зуба 11, что указывает на гиперфункцию и повышенную функциональную нагрузку на восстановленную область.
Фото 3: Резцовый вид показывает, что зуб 41 был наиболее расположенным к лицу резцом нижней челюсти в форме дуги.
Для исправления выравнивания зубов с пациентом обсуждалась ортодонтия, но он не пожелал использовать этот вариант. Альтернативный план лечения заключался в восстановлении зуба 41 таким образом, чтобы положение зуба на лицевой стороне и его резцовый край преждевременно не соприкасались с небной поверхностью зуба 11, а затем в восстановлении небной поверхности и лицевой области перелома резца керамикой для замены утраченной эмали и укрепления оставшейся структуры зуба. Было принято решение восстановить зуб 11 керамической коронкой, а зуб 41 - прямой композитной реставрацией. Для зуба 11 эстетическое соответствие зубу 21 лучше достигалось при послойном нанесении керамики. Композит был выбран как более консервативный и менее затратный вариант для лечения зуба 41, но пациента предупредили, что позже может потребоваться керамическая реставрация.
Первый этап: прямая композитная реставрация зуба 41
Оттенок был выбран предоперационно и сфотографирован для керамиста с целью подбора цвета с помощью цифровой камеры с функцией, позволяющей изолировать оттенок зуба от остальной части полости рта (EyeSpecial C-II, Shofu; фото 4). Затем лицевая поверхность зуба 41 была подготовлена для перемещения лицевой поверхности и режущего края в язычном направлении (фото 5). После подготовки скошенная лицевая поверхность зуба 41 имела острый пришеечный край около 2 мм наддеснево. Этот длинный скос позволил добиться более эстетичного сочетания композита и структуры зуба, оставив при этом профиль прорезывания естественного зуба нетронутым.
Фото 4: Затенение перед реставрацией.
Фото 5: Зуб 41 ортодонтически препарирован с лицевой стороны, чтобы создать пространство для восстановления этой поверхности, которое могло бы скорректировать лицевое положение зуба при окклюзии.
Перед нанесением композита поверхность эмали протравливали фосфорной кислотой (Ultra-Etch, Ultradent Products) в течение 15 секунд, тщательно промывали и высушивали воздухом. На поверхность зуба наносили универсальную адгезивную смолу (Peak Universal Bond, Ultradent Products), разбавляли воздухом для испарения растворителя, а затем полимеризовали светом в течение 20 секунд (VALO Grand, Ultradent Products). Начальный слой композита (Mosaic universal composite, Ultradent Products) использовали для наращивания режущей трети зуба с целью перемещения его верхушки в язычном направлении (фото 6). Для правильного восстановления лицевой анатомии и контура зуба № 41 композитом был выбран шаблон Uveneer (Ultradent Products), поскольку его крайне сложно правильно контурировать вручную из-за небольшого размера. Шаблон заполняли композитом выбранного оттенка и размещали на лицевой поверхности зуба в правильном соответствии с соседними зубами, после чего композит полимеризовали светом (фото 7). Затем шаблон был удален, внесены незначительные корректировки в области резцов, и реставрация отполирована (фото 8 и 9).
Фото 6: Лингвальный аспект зуба 41 заделывается композитным материалом для перемещения резцового края зуба на языке в более благоприятное положение.
Фото 7: Шаблон Uveneer помещается на лицевую поверхность зуба 41 в правильном положении относительно соседних зубов.
Фото 8: Зуб 41 с лицевой стороны после реставрации лицевой поверхности и резцового края.
Фото 9: Резцовый вид прямой композитной реставрации зуба 41, показывающий выравнивание резцового края по сравнению с ситуацией до операции (фото 3).
Второй этап: керамическая реставрация зуба 11
Зуб 11 был подготовлен для установки керамической коронки. Важно подчеркнуть, что подготовка небной поверхности имеет решающее значение. Она должна препарироваться с уменьшением на 1,0–1,5 мм после искривления не препарированной небной поверхности (вогнутости верхнего неба). Это делается для того, чтобы реставрация могла повторять естественный изгиб неба при соответствующей толщине реставрационного материала для придания прочности. Важно помнить, что небная вогнутость верхней челюсти определяется углом возвышения и функциональной оболочкой - обоими окклюзионными факторами, которые необходимо соблюдать при восстановлении передних зубов верхней челюсти. После препарирования (фото 10, 11a-b) можно приступать к изготовлению мастер-оттиска.
Фото 10: Вид снизу на зуб 11 после препарирования и при максимальном смыкании зубов. Следует обратить внимание, что реставрация зуба 41 была необходима для того, чтобы расположить резцовый край и лицевую поверхность в более лингвальном положении, чтобы обеспечить пространство, необходимое для восстановления небной поверхности зуба 11 надлежащей толщины, сохраняя при этом естественную небную вогнутость, частично обусловленную окклюзионными отклонениями.
Фото 11a: Резцовый вид.
Фото 11b: Внешний вид завершенного препарирования зуба 11.
Техника двухнитевых оттисков для создания непрямых реставраций
Техника двухнитевых оттисков - это чрезвычайно предсказуемый способ получения качественных мастер-оттисков для реставраций с полным или частичным покрытием с внутри- или равнодесневыми бороздками (по свободному краю десны). При желании оба жгута можно смочить в гемостатическом растворе (например, ViscoStat Clear, Ultradent) и перед наложением удалить излишки марлевой салфеткой размером 5 × 5 см.
Сначала на основание десневой борозды вокруг каждого места препарирования накладывается ретракционная нить №00 (например, Ultrapak, Ultradent Products), начиная с лингвальной стороны, вокруг лицевой стороны, затем обратно через противоположную проксимальную область к лингвальной начальной точке. Излишки на обоих концах обрезаются, и противоположные концы нити заправляются в лингвально-десневую борозду так, чтобы они прилегали друг к другу, но не перекрывали друг друга. После того, как первая ретракционная нить будет правильно закреплена, и перед установкой второй ретракционной нити можно произвести любую незначительную коррекцию по краям препарирования с помощью крупного или мелкого алмазного инструмента соответствующего диаметра. Затем с помощью ватного тампона места препарирования протирают 2%-ным антибактериальным раствором хлоргексидина (например, средствами Consepsis, Ultradent), чтобы убедиться в чистоте поверхности и отсутствии отходов препарирования с алмазного инструмента. Затем таким же образом поверх нити №00 накладывается нить №1 (например, Ultrapak).
Когда все будет готово (обычно после того, как обе нити на месте, проверяется посадка оттиска), нить № 1 частично вытягивается из борозды на лицевой стороне каждого препарирования с помощью эксплорера, и оценивается степень втягивания (и отсутствие влаги или загрязнения кровью). Нужно помнить, что мастер-оттиск должен захватывать не только весь реставрационный край, но и 0,5 мм поверхности зуба или корня, прилегающей к краю. Если после натяжения верхней нити край десны, прилегающий к реставрационному краю, восстанавливается и соприкасается с зубом или краем десны, небольшой кусочек нити большего диаметра (№ 2, например, Ultrapak) накладывается на пораженный участок еще на минуту, а затем удаляется. Этой дополнительной ретракции должно быть достаточно, чтобы создать пространство между поверхностью зуба и внутренним размером десневой борозды. Цель ретракции - создать углубление (пространство, в которое можно ввести легкий оттискной материал) вокруг препарирования зуба.
Сверхимпульсный диодный лазер в качестве дополнения к набивке нити
Если какая-либо часть десневой ткани по окружности недостаточно удалена от поверхности зуба или с места препарирования после установки ретракционной нити 1, можно использовать диодный лазер для выполнения небольшой гингивопластики над верхней нитью, чтобы ткань была видна до ее удаления. Это часто встречается в межпроксимальных областях, где десневая ткань (сосочек) может быть слегка увеличена. Не рекомендуется надеяться, что плотный оттискной материал отодвинет ткань в сторону, чтобы позволить легкому оттискному материалу получить доступ к десневой борозде.
В данном случае, после установки ретракционной нити 1, в лицевой области препарирования образовался избыток ткани, который, возможно, препятствовал прохождению поддесневого оттискного материала. Сверхимпульсный диодный лазер (Gemini, Ultradent Products) использовался для тщательного удаления излишков ткани, прилегающей к нити, без повреждения нити (фото 12-13). Ретракционная нить была полностью видимой перед удалением, что обеспечивало беспрепятственный доступ легкого оттискного материала в отведенную область.
Фото 12: С помощью сверхимпульсного диодного лазера удаляют излишки ткани, надрезая верхнюю нить.
Фото 13: Резцовый вид после завершения гингивопластики.
Когда нить удаляется, оттиск края и 0,5 мм поверхности зуба или корня, апикальной к краю, практически гарантирован. Для получения точного мастер-оттиска необходимо нанести легкий оттискной материал не только на препарированный зуб, но и на все окклюзионные и резцовые поверхности, чтобы гипсовые модели можно было точно зафиксировать. После введения легкого оттискного материала лоток для оттиска с плотным оттискным материалом помещают в полость рта в соответствии с рекомендациями производителя.
Установка керамической реставрации
Предварительная реставрация важна для того, чтобы оценить эстетические аспекты и функциональную окклюзию, протрузию, переднее соединение и функциональность (фото 14). Это гораздо больше, чем просто временная реставрация! После удаления временной реставрации и любого оставшегося временного цемента была примерка реставрация, проксимальные контакты и окклюзия были отрегулированы, а затем отполированы. Затем место препарирования был продезинфицировано специальным средством Consepsis. Окончательная реставрация была протравлена в лаборатории, поэтому перед цементированием протравленную поверхность обработали силановым связующим в соответствии с инструкциями производителя. Затем реставрация была выполнена с использованием высоконаполненной, мелкочастичной, двухкомпонентной смолы (PermaFlo DC Translucent, Ultradent Products; фото 15–17).
Фото 14: Лицевой вид зуба 11 в ретракции после провизионирования. (Максимальная интеркуспация).
Фото 15: Ретракционный лицевой вид керамической коронки на зубе 11 после цементирования.
Фото 16: Небный вид на керамическую коронку на зубе 11, демонстрирующую повторение небной вогнутости с расположением наддесневого края.
Фото 17: Через шесть месяцев после операции восстановленные зубы 11 и 41 были восстановлены. Была достигнута эстетическая и функциональная гармония.
Заключение
Всегда важно учитывать, что восстановление одного зуба может существенно повлиять на окклюзию. Верно и обратное: игнорирование окклюзии может повлиять на однократное восстановление как контура, так и долговечности. Всегда рекомендуется рассмотреть эти вопросы до начала любых восстановительных мероприятий.
Автор: Dr Robert A. Lowe



0 комментариев