Протезирование на передних дентальных имплантатов выполняют с использованием коронок либо на цементной, либо на винтовой фиксации. Обе опции обеспечивают хорошую функциональность и долгосрочную стабильность, однако темный цвет титана абатментов может создавать эстетические проблемы. Один из способов снизить эстетические ограничения из-за «просвечивания» титана — анодировать абатмент, изменив его цвет так, чтобы он ближе соответствовал керамической коронке и/или мягким тканям. Золотое анодирование улучшает согласование по цвету с покрывающей керамикой, а розовое анодирование лучше маскирует титан под мягкими тканями. В данном исследовании сравнивали цвет образцов из диоксид циркония и литий-дисиликата разной толщины на фоне различных оттенков титана с эталоном — композитом цвета дентина. Цели работы: оценить, влияет ли оттенок титана на конечный цвет каждого керамического материала, и определить, какая толщина каждой керамики при разных оттенках титана обеспечивает приемлемое совпадение по цвету с той же керамикой на фоне дентина. В статье также обсуждается процесс анодирования титана абатментов и делается вывод, что селективное анодирование — практичный метод балансирования эстетики и структурной целостности при восстановлении передних имплантатов.
Более сложный выбор встает, если имплантат ориентирован через вестибулярную поверхность планируемой коронки, так как доступ к винтовому каналу окажется на вестибулярной поверхности. В этом случае, согласно тому же опросу, 55% респондентов выбрали бы систему углового винтового доступа, а 41% — коронку на цементной фиксации. Абатменты с угловым винтовым каналом позволяют сместить доступ примерно до 25° к небной стороне, но требуют шаровидной отвертки для затяжки винта абатмента (Фото 1, B).
Среди тех, кто выбирает цементную фиксацию, 33% применяют индивидуальные титановыe абатменты (Фото 1, C), а 42% — циркониевые абатменты с титановым основанием (Фото 1, D). Клиническая проблема цементно фиксированных реставраций — «просвечивание» титана абатмента через керамику коронки или мягкие ткани. При использовании циркониевого абатмента на титановом основании эта проблема в основном нивелируется, так как оттенок циркониевого абатмента можно подобрать к реставрации или к окружающим препарированным зубам (Фото 1, D). В отношении мягких тканей циркониевая часть абатмента ниже уровня мягких тканей обеспечивает более эстетичный результат по сравнению с титановым абатментом, поскольку титан может придавать мягким тканям темный оттенок, особенно у пациентов с тонким десневым биотипом. Кроме того, края («воротничок») титановогo основания в таких реставрациях могут быть толщиной всего 0,7 мм и, следовательно, не оказывать негативного влияния на стабильность кости, при этом титановое основание фактически скрыто в борозде.
Некоторые клиницисты предпочитают индивидуальные титановыe абатменты вместо циркониевых на титановом основании для цементно фиксированных коронок (Фото 1, C), чтобы избежать технических проблем со связью между титановым основанием и циркониевым абатментом. Однако проблема «просвечивания» при титановом абатменте выраженнее, чем при циркониевом. По данным упомянутого опроса, коронки на цементной фиксации изготавливают из диоксида циркония (42%), литий-дисиликата (33%) или металлокерамики (25%). Металлокерамика не зависит от цвета подлежащего титана, тогда как относительно транспарентные керамические материалы — зависят. Коронки можно сделать толще, чтобы лучше блокировать цвет титана, однако толщину ограничивает необходимое пространство для достаточной толщины стенок абатмента.
Фото 1. Разные варианты коронок на передних имплантатах.
«Просвечивание» титана через десну также может быть проблемой. Фото 2 иллюстрирует титановый абатмент, видимый сквозь мягкие ткани в зоне передней имплантатной реставрации. В том же опросе отмечено, что 42% клиницистов располагают края абатмента на 1 мм субгингивально, 33% — на 0,5 мм субгингивально, а 25% — на уровне десны. Более глубокое расположение краев в борозде может помочь скрыть титан; однако края на 1 мм и 3 мм субгингивально ассоциировались примерно с 12-кратным и 24-кратным увеличением недиагностированного избытка цемента соответственно по сравнению с краями на уровне десны.
Фото 2. Титановый абатмент просвечивает через мягкие ткани в области передней имплантатной реставрации на верхнем левом латеральном резце.
Анодирование: изменение цвета титана
Одна из стратегий компенсации цвета титановогo абатмента — анодирование абатмента. Анодирование (анодное окисление) — способ изменить цвет титана путем формирования оксидных слоев разной толщины, что вызывает изменение цвета вследствие интерференции света. Изменяя напряжение, подаваемое на титан, влияют на толщину оксидного слоя и, соответственно, на цвет: определенные напряжения создают оттенки золота или розового на поверхности титана. По сравнению с неанодированным титaном у анодированных абатментов наблюдали увеличение шероховатости и снижение контактного угла; при этом морфология клеток, пролиферация и жизнеспособность гингивальных фибробластов на анодированном титане сопоставимы с таковыми на неанодированном титане. Анодированные титановыe абатменты демонстрировали гистологические и клинические исходы, аналогичные неанодированному титану.
Ряд исследований показал, что золотое анодирование титановогo абатмента позволяет эффективнее согласовывать цвет литий-дисиликатных коронок с окружающими зубами. В одном исследовании образцы литий-дисиликата толщиной 1,0; 1,5 и 2,0 мм фиксировали на золото-анодированных и неанодированных титaновых блоках; затем сравнивали их цвет с эталоном — 5-мм блоком литий-дисиликата. Золотое анодирование обеспечивало лучшее совпадение цвета литий-дисиликата для всех толщин. В другом исследовании образцы литий-дисиликата (толщиной 1,0–2,5 мм) сравнивали на фоне циркония, золото-анодированного титана и неанодированного титана. Литий-дисиликат на фоне золото-анодированного титана совпадал с литий-дисиликатом на фоне дентина (оттенок A2) лучше, чем на любом другом фоне.
На фото 3 и фото 4 показаны абатмент, анодированный золотом, и зафиксированный на ней протез из дисиликата лития, соответственно. Цирконий — относительно опаковая керамика, и данные по пользе золото-анодированных абатментов под циркониевыми коронками неоднозначны. В одном исследовании с образцами циркония толщиной 0,7–1,1 мм золотое анодирование титановогo фона не улучшало совпадение цвета коронки на фоне циркония. В то же время в другом исследовании показано, что для образцов циркония толщиной 0,5 мм цвет на титановом фоне улучшался при золотом анодировании.
Фото 3. Индивидуальный титановый абатмент после золотого анодирования, подготовленный к фиксации коронки.
Фото 4. Литий-дисиликатная коронка, зафиксированная на золото-анодированном титановом абатменте с Фото 3.
Анодирование абатментов в розовый цвет может маскировать титан через мягкие ткани. В одном исследовании каждому участнику изготавливали четыре абатмента: золото-анодированный титановый, розово-анодированный титановый, неанодированный титановый и циркониевый. После установки абатментов и соответствующих коронок цвет периимплантных мягких тканей и естественной десны на противоположной стороне измеряли спектрофотометром. Было показано, что средняя разница в цвете (от наименьшей к наибольшей) выстраивалась в ряд: цирконий, розово-анодированный титан, золото-анодированный титан, неанодированный титан.
В другом исследовании с участием 25 пациентов с отсутствующим верхним зубом в эстетической зоне сравнивали 25 коронок на серых титановыx, розово-анодированных титановыx и гибридных циркониевых абатментах. Разницу цвета мягких тканей в зоне имплантата и контралатерального зуба оценивали спектрофотометром; наименьшая разница отмечалась у гибридных циркониевых абатментов, за ними — розово-анодированные титановыe; наибольшая — у серых титановыx. В еще одном исследовании на 40 пациентах перевод временных коронок с серых на розовые абатменты статистически значимо улучшал цвет периимплантной слизистой, приближая его к естественной десне, особенно у пациентов с тонким гингивальным биотипом. В сумме, розовое анодирование абатментов обеспечивает лучшее соответствие цвета окружающих мягких тканей по сравнению с неанодированным титаном, но уступает циркониевым абатментам.
Однако розовое анодирование в интересах мягких тканей ухудшает совпадение по цвету керамических коронок: для литий-дисиликатных коронок розово-анодированные абатменты давали большую разницу цвета относительно фона дентина, чем золото-анодированные или неанодированные титановыe абатменты. Аналогичная тенденция отмечена для образцов циркония толщиной 0,5 мм.
Процесс анодирования титановыx абатментов
Процесс анодирования титана достаточно прост и требует лишь источника постоянного тока и емкости с электролитом (Фото 5). Источником постоянного тока может служить блок питания постоянного тока или последовательность батарей. Следует использовать небольшой ток — максимум 3 А. В качестве электролита предлагают, например, щелочное чистящее средство на основе тринатрийфосфата (ТНФ) (1 г ТНФ на 500 мл воды) или 1-М раствор ортофосфорной кислоты. Вид электролита влияет на напряжение, необходимое для получения целевого цвета.
Фото 5. Схема анодирования титановогo абатмента. Источник постоянного тока — блок питания (слева). После подключения к положительной клемме (красный провод) абатмент имплантата погружают в электролит.
Для анодирования абатмента отрицательную клемму блока питания подключают к кусочку алюминиевой фольги 3×6 см и погружают его в электролит (емкость ~250 мл). Положительную клемму подключают к чистому титановому абатменту, который затем погружают в электролит. Полное анодирование наступает через 10–20 с. Даже небольшие напряжения опасны: нельзя прикасаться к клеммам при включенном источнике питания; необходимо использовать изолирующие средства, например резиновые перчатки.
При использовании раствора ТНФ золотистый оттенок достигается при 60–65 В, розовый — при 70–80 В. Для ТНФ представлена цветовая шкала в зависимости от напряжения (Фото 6). При использовании 1М ортофосфорной кислоты золотые оттенки достигаются при 50–60 В, розовые — при 65–70 В.
Фото 6. Цветовая шкала титана после анодирования при разных напряжениях.
Деталь имплантата всегда можно дополнительно «докрасить», кратковременно погрузив ее при более высоком напряжении; однако повторное погружение при более низком напряжении не вернет исходный цвет. Поэтому при первых попытках разумно начинать с более низких напряжений и отслеживать получаемый оттенок. Возможна и селективная окраска: например, абатмент можно погрузить при 60–65 В для получения золотого оттенка, а затем субгингивальную часть на 75–80 В — для розового (Фото 7).
Фото 7. Абатмент с субгингивальной частью, анодированной в розовый цвет, и корональной, анодированной в золотой: демонстрация возможности получать разные цвета на одной детали.
Оценка изменения цвета: литий-дисиликат и цирконий на фоне анодированного титана
Ранее сообщалось, что золотое анодирование титанового фона может улучшать совпадение по цвету для литий-дисиликатных и циркониевых коронок, а розовое — ухудшать. Настоящее исследование сравнивало цвет образцов из диоксида циркония и литий-дисиликата различной толщины (0,5–2,0 мм) на фоне различных оттенков титана с эталоном — композитом цвета дентина. Цели: (1) определить, влияет ли оттенок титана на конечный цвет каждого из керамических материалов; (2) установить, какая толщина каждого материала на разных оттенках титана обеспечит приемлемое совпадение по цвету с той же керамикой на фоне дентина.
Титановые заготовки (Ti-6Al-4V, BioHorizons) разделили на три блока по 6 мм и шлифовали по влажной технологии до значения зернистости карбида кремния 1200. Блоки анодировали по описанному выше процессу: в растворе ТНФ один блок — в золотой цвет (60 В), другой — в розовый (80 В). Композит оттенка дентина A2 (Filtek Supreme A2D, 3M Oral Care) сформировали в блок 6 мм и полимеризовали.
Образцы литий-дисиликата (IPS e.max LT A2, Ivoclar) и 3-мольного иттриево-стабилизированного диоксида циркония (ZirCAD HT A2, Ivoclar) нарезали пластинками; керамику кристаллизовали или спекали согласно инструкциям производителя, затем полировали до зернистости 1200. Итоговые толщины контролировали штангенциркулем: 0,5; 0,8; 1,0; 1,2; 1,5; 1,8; 2,0 мм.
Керамические пластинки размещали на титaновых или «дентинных» блоках без промежуточной среды (например, цемента). Для каждой комбинации керамики (тип и толщина) и фона (золото-анодированный, розово-анодированный, неанодированный титан) либо композит «дентин» регистрировали значения цвета L*, a*, b* спектрофотометром. Разницу цвета каждой пластинки на титaновом фоне по сравнению с той же пластинкой на фоне «дентина» рассчитывали по формуле ΔE2000. Примеры сочетаний показаны на Фото 8.
Фото 8. Пластинки литий-дисиликата (A, B, C) и циркония (D, E, F) толщиной 0,5 мм (слева) и 1,0 мм (справа) над блоками дентинного композита (верхние ряды) и титана (нижние ряды): неанодированный (A, D), золото-анодированный (B, E) и розово-анодированный (C, F).
ΔE2000 — мера различия цветов между двумя объектами: чем выше значение, тем заметнее различие для человеческого глаза. В стоматологии ΔE2000 используют для оценки порогов различимости и приемлемости разницы цвета между реставрациями и естественными зубами. Порог различимости — минимальная разница, заметная глазу: в одном исследовании средний порог составил 0,81 (диапазон 0,34–1,28) — его фиксировали 50% наблюдателей. Порог приемлемости — наибольшая разница, все еще считающаяся клинически приемлемой: значение ΔE2000 равно 1,77 (диапазон 1,23–2,37) при 50% согласия наблюдателей.
Результаты (Фото 9 и Фото 10; горизонтальная сплошная красная линия — порог приемлемости; пунктирная — порог различимости) подтвердили данные предыдущих работ: золотое анодирование титана улучшает совпадение по цвету, тогда как розовое — ухудшает, для обеих керамик. Для литий-дисиликата клинически приемлемое совпадение с фоном «дентин» достигалось при толщине 1,0 мм на фоне золото-анодированного титана и при 1,8 мм — на фоне неанодированного титана; на фоне розово-анодированного титана этот порог не достигался. Для циркония приемлемое совпадение достигалось уже при 0,5 мм на фоне золото-анодированного титана и при 1,0 мм — на фоне неанодированного и розово-анодированного титана.
Фото 9. Изменение цвета литийдисиликата на фоне неанодированного (серебряного) и анодированного (золотого и розового) титана относительно фона цвета дентина (горизонтальные сплошные красные линии — пороги приемлемости, горизонтальные прерывистые красные линии — пороги различимости).
Фото 10. Изменение цвета циркония на фоне неанодированного и анодированного титана относительно фона цвета дентина (горизонтальные сплошные красные линии — пороги приемлемости, горизонтальные прерывистые красные линии — пороги различимости).
Резюме: протезирование на вестибулярно ориентированном имплантате винтовой коронкой с угловым каналом или коронкой на циркониевом абатменте может сопровождаться техническими проблемами адгезии коронки к титановому основанию. Индивидуальный титановый абатмент позволяет избежать этой проблемы. Для преодоления эстетического вызова при установке керамической коронки на титановый абатмент абатмент можно анодировать в золотой цвет (60–65 В): тогда литий-дисиликат толщиной 1,0 мм или цирконий 0,5 мм будут приемлемо маскировать цвет абатмента. Если же требуется «розовое» анодирование (75–80 В) для маскировки титана под мягкими тканями, для приемлемой маскировки понадобится не менее 1,0 мм циркония. Предпочтительно в таких клинических ситуациях проводить селективное анодирование лишь субгингивальной части абатмента.
Вывод
Выбор метода восстановления передних имплантатов требует учета и функции, и эстетики. Винтовые коронки обеспечивают извлекаемость и уменьшают цемент-ассоциированные осложнения; коронки на цементной фиксации с анодированными титановыми или циркониевыми абатментами — полноценная альтернатива. Анодирование титановыx абатментов — практичная стратегия улучшения эстетики: золотые оттенки улучшают согласование по цвету керамических коронок, розовые — лучше согласуются с мягкими тканями. Оптимизировать исходы позволяет индивидуальный подбор толщины керамики и селективное анодирование, что помогает сбалансировать техническую осуществимость и эстетические требования для достижения удовлетворяющих пациента результатов.
Авторы:
Mohammed Hammamy, DDS
Silvia Rojas-Rueda, DDS
Jonathan Esquivel, DDS
Nathaniel C. Lawson, DMD, PhD
Протезирование на передних дентальных имплантатов выполняют с использованием коронок либо на цементной, либо на винтовой фиксации. Обе опции обеспечивают хорошую функциональность и долгосрочную стабильность, однако темный цвет титана абатментов может создавать эстетические проблемы. Один из способов снизить эстетические ограничения из-за «просвечивания» титана — анодировать абатмент, изменив его цвет так, чтобы он ближе соответствовал керамической коронке и/или мягким тканям. Золотое анодирование улучшает согласование по цвету с покрывающей керамикой, а розовое анодирование лучше маскирует титан под мягкими тканями. В данном исследовании сравнивали цвет образцов из диоксид циркония и литий-дисиликата разной толщины на фоне различных оттенков титана с эталоном — композитом цвета дентина. Цели работы: оценить, влияет ли оттенок титана на конечный цвет каждого керамического материала, и определить, какая толщина каждой керамики при разных оттенках титана обеспечивает приемлемое совпадение по цвету с той же керамикой на фоне дентина. В статье также обсуждается процесс анодирования титана абатментов и делается вывод, что селективное анодирование — практичный метод балансирования эстетики и структурной целостности при восстановлении передних имплантатов.
Более сложный выбор встает, если имплантат ориентирован через вестибулярную поверхность планируемой коронки, так как доступ к винтовому каналу окажется на вестибулярной поверхности. В этом случае, согласно тому же опросу, 55% респондентов выбрали бы систему углового винтового доступа, а 41% — коронку на цементной фиксации. Абатменты с угловым винтовым каналом позволяют сместить доступ примерно до 25° к небной стороне, но требуют шаровидной отвертки для затяжки винта абатмента (Фото 1, B).
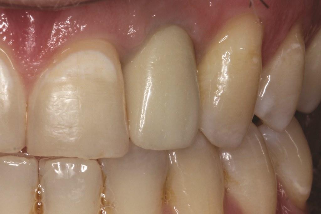
Среди тех, кто выбирает цементную фиксацию, 33% применяют индивидуальные титановыe абатменты (Фото 1, C), а 42% — циркониевые абатменты с титановым основанием (Фото 1, D). Клиническая проблема цементно фиксированных реставраций — «просвечивание» титана абатмента через керамику коронки или мягкие ткани. При использовании циркониевого абатмента на титановом основании эта проблема в основном нивелируется, так как оттенок циркониевого абатмента можно подобрать к реставрации или к окружающим препарированным зубам (Фото 1, D). В отношении мягких тканей циркониевая часть абатмента ниже уровня мягких тканей обеспечивает более эстетичный результат по сравнению с титановым абатментом, поскольку титан может придавать мягким тканям темный оттенок, особенно у пациентов с тонким десневым биотипом. Кроме того, края («воротничок») титановогo основания в таких реставрациях могут быть толщиной всего 0,7 мм и, следовательно, не оказывать негативного влияния на стабильность кости, при этом титановое основание фактически скрыто в борозде.
Некоторые клиницисты предпочитают индивидуальные титановыe абатменты вместо циркониевых на титановом основании для цементно фиксированных коронок (Фото 1, C), чтобы избежать технических проблем со связью между титановым основанием и циркониевым абатментом. Однако проблема «просвечивания» при титановом абатменте выраженнее, чем при циркониевом. По данным упомянутого опроса, коронки на цементной фиксации изготавливают из диоксида циркония (42%), литий-дисиликата (33%) или металлокерамики (25%). Металлокерамика не зависит от цвета подлежащего титана, тогда как относительно транспарентные керамические материалы — зависят. Коронки можно сделать толще, чтобы лучше блокировать цвет титана, однако толщину ограничивает необходимое пространство для достаточной толщины стенок абатмента.
Фото 1. Разные варианты коронок на передних имплантатах.
«Просвечивание» титана через десну также может быть проблемой. Фото 2 иллюстрирует титановый абатмент, видимый сквозь мягкие ткани в зоне передней имплантатной реставрации. В том же опросе отмечено, что 42% клиницистов располагают края абатмента на 1 мм субгингивально, 33% — на 0,5 мм субгингивально, а 25% — на уровне десны. Более глубокое расположение краев в борозде может помочь скрыть титан; однако края на 1 мм и 3 мм субгингивально ассоциировались примерно с 12-кратным и 24-кратным увеличением недиагностированного избытка цемента соответственно по сравнению с краями на уровне десны.
Фото 2. Титановый абатмент просвечивает через мягкие ткани в области передней имплантатной реставрации на верхнем левом латеральном резце.
Анодирование: изменение цвета титана
Одна из стратегий компенсации цвета титановогo абатмента — анодирование абатмента. Анодирование (анодное окисление) — способ изменить цвет титана путем формирования оксидных слоев разной толщины, что вызывает изменение цвета вследствие интерференции света. Изменяя напряжение, подаваемое на титан, влияют на толщину оксидного слоя и, соответственно, на цвет: определенные напряжения создают оттенки золота или розового на поверхности титана. По сравнению с неанодированным титaном у анодированных абатментов наблюдали увеличение шероховатости и снижение контактного угла; при этом морфология клеток, пролиферация и жизнеспособность гингивальных фибробластов на анодированном титане сопоставимы с таковыми на неанодированном титане. Анодированные титановыe абатменты демонстрировали гистологические и клинические исходы, аналогичные неанодированному титану.
Ряд исследований показал, что золотое анодирование титановогo абатмента позволяет эффективнее согласовывать цвет литий-дисиликатных коронок с окружающими зубами. В одном исследовании образцы литий-дисиликата толщиной 1,0; 1,5 и 2,0 мм фиксировали на золото-анодированных и неанодированных титaновых блоках; затем сравнивали их цвет с эталоном — 5-мм блоком литий-дисиликата. Золотое анодирование обеспечивало лучшее совпадение цвета литий-дисиликата для всех толщин. В другом исследовании образцы литий-дисиликата (толщиной 1,0–2,5 мм) сравнивали на фоне циркония, золото-анодированного титана и неанодированного титана. Литий-дисиликат на фоне золото-анодированного титана совпадал с литий-дисиликатом на фоне дентина (оттенок A2) лучше, чем на любом другом фоне.
На фото 3 и фото 4 показаны абатмент, анодированный золотом, и зафиксированный на ней протез из дисиликата лития, соответственно. Цирконий — относительно опаковая керамика, и данные по пользе золото-анодированных абатментов под циркониевыми коронками неоднозначны. В одном исследовании с образцами циркония толщиной 0,7–1,1 мм золотое анодирование титановогo фона не улучшало совпадение цвета коронки на фоне циркония. В то же время в другом исследовании показано, что для образцов циркония толщиной 0,5 мм цвет на титановом фоне улучшался при золотом анодировании.
Фото 3. Индивидуальный титановый абатмент после золотого анодирования, подготовленный к фиксации коронки.
Фото 4. Литий-дисиликатная коронка, зафиксированная на золото-анодированном титановом абатменте с Фото 3.
Анодирование абатментов в розовый цвет может маскировать титан через мягкие ткани. В одном исследовании каждому участнику изготавливали четыре абатмента: золото-анодированный титановый, розово-анодированный титановый, неанодированный титановый и циркониевый. После установки абатментов и соответствующих коронок цвет периимплантных мягких тканей и естественной десны на противоположной стороне измеряли спектрофотометром. Было показано, что средняя разница в цвете (от наименьшей к наибольшей) выстраивалась в ряд: цирконий, розово-анодированный титан, золото-анодированный титан, неанодированный титан.
В другом исследовании с участием 25 пациентов с отсутствующим верхним зубом в эстетической зоне сравнивали 25 коронок на серых титановыx, розово-анодированных титановыx и гибридных циркониевых абатментах. Разницу цвета мягких тканей в зоне имплантата и контралатерального зуба оценивали спектрофотометром; наименьшая разница отмечалась у гибридных циркониевых абатментов, за ними — розово-анодированные титановыe; наибольшая — у серых титановыx. В еще одном исследовании на 40 пациентах перевод временных коронок с серых на розовые абатменты статистически значимо улучшал цвет периимплантной слизистой, приближая его к естественной десне, особенно у пациентов с тонким гингивальным биотипом. В сумме, розовое анодирование абатментов обеспечивает лучшее соответствие цвета окружающих мягких тканей по сравнению с неанодированным титаном, но уступает циркониевым абатментам.
Однако розовое анодирование в интересах мягких тканей ухудшает совпадение по цвету керамических коронок: для литий-дисиликатных коронок розово-анодированные абатменты давали большую разницу цвета относительно фона дентина, чем золото-анодированные или неанодированные титановыe абатменты. Аналогичная тенденция отмечена для образцов циркония толщиной 0,5 мм.
Процесс анодирования титановыx абатментов
Процесс анодирования титана достаточно прост и требует лишь источника постоянного тока и емкости с электролитом (Фото 5). Источником постоянного тока может служить блок питания постоянного тока или последовательность батарей. Следует использовать небольшой ток — максимум 3 А. В качестве электролита предлагают, например, щелочное чистящее средство на основе тринатрийфосфата (ТНФ) (1 г ТНФ на 500 мл воды) или 1-М раствор ортофосфорной кислоты. Вид электролита влияет на напряжение, необходимое для получения целевого цвета.
Фото 5. Схема анодирования титановогo абатмента. Источник постоянного тока — блок питания (слева). После подключения к положительной клемме (красный провод) абатмент имплантата погружают в электролит.
Для анодирования абатмента отрицательную клемму блока питания подключают к кусочку алюминиевой фольги 3×6 см и погружают его в электролит (емкость ~250 мл). Положительную клемму подключают к чистому титановому абатменту, который затем погружают в электролит. Полное анодирование наступает через 10–20 с. Даже небольшие напряжения опасны: нельзя прикасаться к клеммам при включенном источнике питания; необходимо использовать изолирующие средства, например резиновые перчатки.
При использовании раствора ТНФ золотистый оттенок достигается при 60–65 В, розовый — при 70–80 В. Для ТНФ представлена цветовая шкала в зависимости от напряжения (Фото 6). При использовании 1М ортофосфорной кислоты золотые оттенки достигаются при 50–60 В, розовые — при 65–70 В.
Фото 6. Цветовая шкала титана после анодирования при разных напряжениях.
Деталь имплантата всегда можно дополнительно «докрасить», кратковременно погрузив ее при более высоком напряжении; однако повторное погружение при более низком напряжении не вернет исходный цвет. Поэтому при первых попытках разумно начинать с более низких напряжений и отслеживать получаемый оттенок. Возможна и селективная окраска: например, абатмент можно погрузить при 60–65 В для получения золотого оттенка, а затем субгингивальную часть на 75–80 В — для розового (Фото 7).
Фото 7. Абатмент с субгингивальной частью, анодированной в розовый цвет, и корональной, анодированной в золотой: демонстрация возможности получать разные цвета на одной детали.
Оценка изменения цвета: литий-дисиликат и цирконий на фоне анодированного титана
Ранее сообщалось, что золотое анодирование титанового фона может улучшать совпадение по цвету для литий-дисиликатных и циркониевых коронок, а розовое — ухудшать. Настоящее исследование сравнивало цвет образцов из диоксида циркония и литий-дисиликата различной толщины (0,5–2,0 мм) на фоне различных оттенков титана с эталоном — композитом цвета дентина. Цели: (1) определить, влияет ли оттенок титана на конечный цвет каждого из керамических материалов; (2) установить, какая толщина каждого материала на разных оттенках титана обеспечит приемлемое совпадение по цвету с той же керамикой на фоне дентина.
Титановые заготовки (Ti-6Al-4V, BioHorizons) разделили на три блока по 6 мм и шлифовали по влажной технологии до значения зернистости карбида кремния 1200. Блоки анодировали по описанному выше процессу: в растворе ТНФ один блок — в золотой цвет (60 В), другой — в розовый (80 В). Композит оттенка дентина A2 (Filtek Supreme A2D, 3M Oral Care) сформировали в блок 6 мм и полимеризовали.
Образцы литий-дисиликата (IPS e.max LT A2, Ivoclar) и 3-мольного иттриево-стабилизированного диоксида циркония (ZirCAD HT A2, Ivoclar) нарезали пластинками; керамику кристаллизовали или спекали согласно инструкциям производителя, затем полировали до зернистости 1200. Итоговые толщины контролировали штангенциркулем: 0,5; 0,8; 1,0; 1,2; 1,5; 1,8; 2,0 мм.
Керамические пластинки размещали на титaновых или «дентинных» блоках без промежуточной среды (например, цемента). Для каждой комбинации керамики (тип и толщина) и фона (золото-анодированный, розово-анодированный, неанодированный титан) либо композит «дентин» регистрировали значения цвета L*, a*, b* спектрофотометром. Разницу цвета каждой пластинки на титaновом фоне по сравнению с той же пластинкой на фоне «дентина» рассчитывали по формуле ΔE2000. Примеры сочетаний показаны на Фото 8.
Фото 8. Пластинки литий-дисиликата (A, B, C) и циркония (D, E, F) толщиной 0,5 мм (слева) и 1,0 мм (справа) над блоками дентинного композита (верхние ряды) и титана (нижние ряды): неанодированный (A, D), золото-анодированный (B, E) и розово-анодированный (C, F).
ΔE2000 — мера различия цветов между двумя объектами: чем выше значение, тем заметнее различие для человеческого глаза. В стоматологии ΔE2000 используют для оценки порогов различимости и приемлемости разницы цвета между реставрациями и естественными зубами. Порог различимости — минимальная разница, заметная глазу: в одном исследовании средний порог составил 0,81 (диапазон 0,34–1,28) — его фиксировали 50% наблюдателей. Порог приемлемости — наибольшая разница, все еще считающаяся клинически приемлемой: значение ΔE2000 равно 1,77 (диапазон 1,23–2,37) при 50% согласия наблюдателей.
Результаты (Фото 9 и Фото 10; горизонтальная сплошная красная линия — порог приемлемости; пунктирная — порог различимости) подтвердили данные предыдущих работ: золотое анодирование титана улучшает совпадение по цвету, тогда как розовое — ухудшает, для обеих керамик. Для литий-дисиликата клинически приемлемое совпадение с фоном «дентин» достигалось при толщине 1,0 мм на фоне золото-анодированного титана и при 1,8 мм — на фоне неанодированного титана; на фоне розово-анодированного титана этот порог не достигался. Для циркония приемлемое совпадение достигалось уже при 0,5 мм на фоне золото-анодированного титана и при 1,0 мм — на фоне неанодированного и розово-анодированного титана.
Фото 9. Изменение цвета литийдисиликата на фоне неанодированного (серебряного) и анодированного (золотого и розового) титана относительно фона цвета дентина (горизонтальные сплошные красные линии — пороги приемлемости, горизонтальные прерывистые красные линии — пороги различимости).
Фото 10. Изменение цвета циркония на фоне неанодированного и анодированного титана относительно фона цвета дентина (горизонтальные сплошные красные линии — пороги приемлемости, горизонтальные прерывистые красные линии — пороги различимости).
Резюме: протезирование на вестибулярно ориентированном имплантате винтовой коронкой с угловым каналом или коронкой на циркониевом абатменте может сопровождаться техническими проблемами адгезии коронки к титановому основанию. Индивидуальный титановый абатмент позволяет избежать этой проблемы. Для преодоления эстетического вызова при установке керамической коронки на титановый абатмент абатмент можно анодировать в золотой цвет (60–65 В): тогда литий-дисиликат толщиной 1,0 мм или цирконий 0,5 мм будут приемлемо маскировать цвет абатмента. Если же требуется «розовое» анодирование (75–80 В) для маскировки титана под мягкими тканями, для приемлемой маскировки понадобится не менее 1,0 мм циркония. Предпочтительно в таких клинических ситуациях проводить селективное анодирование лишь субгингивальной части абатмента.
Вывод
Выбор метода восстановления передних имплантатов требует учета и функции, и эстетики. Винтовые коронки обеспечивают извлекаемость и уменьшают цемент-ассоциированные осложнения; коронки на цементной фиксации с анодированными титановыми или циркониевыми абатментами — полноценная альтернатива. Анодирование титановыx абатментов — практичная стратегия улучшения эстетики: золотые оттенки улучшают согласование по цвету керамических коронок, розовые — лучше согласуются с мягкими тканями. Оптимизировать исходы позволяет индивидуальный подбор толщины керамики и селективное анодирование, что помогает сбалансировать техническую осуществимость и эстетические требования для достижения удовлетворяющих пациента результатов.
Авторы:
Mohammed Hammamy, DDS
Silvia Rojas-Rueda, DDS
Jonathan Esquivel, DDS
Nathaniel C. Lawson, DMD, PhD



0 комментариев