Доказано, что немедленная имплантация в свежие лунки сразу после экстракции дает хорошие результаты. В литературе сообщается о хороших показателях приживаемости имплантатов, а также о приемлемой незначительной потере костной массы, рецессии десен и эстетическом состоянии. В частности, имеются доказательства того, что немедленная имплантация в места расположения коренных зубов приводит к предсказуемым результатам и высоким показателям успеха. Это же исследование показывает, что в таких ситуациях процесс добавления или замены костной или мягкой ткани на месте имплантации (мукопластика) и использование анатомического абатмента для заживления могут еще больше уменьшить резорбцию кости.
Клинический случай
57-летний мужчина обратился в клинику с жалобами на разрушение двух коренных зубов, 46 и 47. У пациента не было патологий в анамнезе, оба коренных зуба имели обширный кариес и поврежденные пломбы (фото 1–6).
Фото 1: Исходная ситуация, интраоральный осмотр.
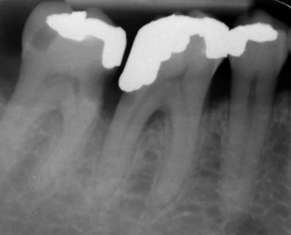
Фото 2: Предоперационная рентгенограмма.
Фото 3: Виртуальная экстракция.
Фото 4: Цифровое планирование имплантации, окклюзионный вид.
Фото 5: Цифровое планирование имплантации, вид с вестибулярной стороны.
Фото 6: Дизайн хирургической направляющей.
Планирование лечения
После тщательного обсуждения пациенту было предложено два варианта: глубокое краевое поднятие эмали в сочетании с лечением корневых каналов или имплантация. Пациент выбрал имплантацию, выразив предпочтение долговременному фиксированному решению.
Учитывая отсутствие острой инфекции и наличие достаточной костной ткани, было принято решение о немедленной имплантации с отсроченной нагрузкой на оба места. Немедленная имплантация предпочтительнее, поскольку сохранение существующей структуры твердых и мягких тканей гораздо более предсказуемо, чем попытки изменить ее позже.
Был выбран хирургический подход с использованием направляющей, а именно, бесшовной направляющей. Для планирования лечения и точного позиционирования имплантата использовалось программное обеспечение DentiqGuide (3DII). Затем хирургическая направляющая была напечатана на принтере Sonic Mini 8K S (Phrozen), что обеспечило высокую точность выполнения.
Хирургическое лечение
Поврежденные зубы были рассечены и удалены атравматичным способом для сохранения окружающей кости (фото 7). Лунки были тщательно обработаны кюретами Lucas для удаления любой остаточной инфекции или грануляционной ткани (фото 8).
Фото 7: Присутствующие корни рассечены таким образом, чтобы обеспечить атравматичную экстракцию.
Фото 8: Тщательно обработанные лунки.
Затем с помощью хирургической направляющей без рукавов и набора CONELOG были установлены имплантаты (5×9 мм CONELOG PROGRESSIVE-LINE, BioHorizons Camlog) (фото 9-10).
Фото 9: Имплантаты устанавливаются с использованием хирургической направляющей для обеспечения точности.
Фото 10: Имплантаты на месте, состояние после графтинга.
После проверки правильности установки имплантата на место имплантации до уровня кости был уложен аллографт MinerOss Putty (BioHorizons Camlog), чтобы уменьшить скопление трансплантационного материала в мягких тканях.
Были изготовлены индивидуальные заживляющие абатменты с использованием временного абатмента и композита, отполированы до высокого блеска с помощью силиконовых шлифовальных кругов, а затем установлены (фото 11). Пациенту были даны стандартные послеоперационные инструкции для поддержания заживления операционного поля в течение последующих месяцев.
Фото 11: Специальные заживляющие абатменты установлены.
Восстановительное лечение
Прошло три месяца после заживления. Для определения положения имплантата и профиля мягких тканей использовался интраоральный сканер Medit i700, он обеспечивает оптимальное планирование протезирования и точную реставрацию (фото 12). Коронки-имплантаты были изготовлены с использованием специально отфрезерованных титановых абатментов с циркониевой коронкой. Любой диоксид циркония, контактировавший с тканью, был отполирован, а не покрыт глазурью, чтобы обеспечить оптимальное здоровье мягких тканей.
Фото 12: Послеоперационная рентгенограмма.
Итоги и обсуждение
Немедленная имплантация CONELOG PROGRESSIVE-LINE в обе лунки коренных зубов прошла гладко, обеспечив превосходную первичную стабильность. Твердые и мягкие ткани были в хорошем состоянии и были достигнуты превосходная толщина мягких тканей и устойчивая полоса ороговевшей ткани (фото 13–16). Такой подход не только сохранил существующие кости и мягкие ткани, но и заложил прочную основу для будущего протезирования. Этот случай подчеркивает важность выбора метода, имплантата и трансплантационного материала для оптимизации долгосрочных результатов в имплантологической стоматологии.
Использование аллотрансплантата для костной трансплантации MinerOss Putty сыграло решающую роль в поддержании объема кости и целостности мягких тканей, что в дальнейшем способствовало долгосрочному успеху имплантатов. Этот аллотрансплантат обычно выбирается в таких случаях. Его исключительные эксплуатационные свойства облегчают установку. Кроме того, благодаря 10%-ному составу коллагена, он обеспечивает превосходную интеграцию, снижая риск миграции частиц или плохого сцепления при размещении, что наблюдается при использовании других трансплантационных материалов.
Фото 13: Заживающие абатменты удаляются.
Фото 14: Установлены окончательные коронки из диоксида циркония лабиальный вид.
Фото 15: Установлены окончательные циркониевые коронки, окклюзионный вид.
Фото 16: Послереставрационная рентгенограмма.
Немедленная имплантация, когда это возможно, дает значительные преимущества в упрощении долгосрочного обслуживания по сравнению с обширной реконструкцией твердых и мягких тканей. Система имплантатов CONELOG PROGRESSIVE-LINE продолжает оставаться надежным выбором для немедленной имплантации, особенно в области коренных зубов, благодаря своему превосходному дизайну и адаптивности, а винты CONELOG обеспечивают очень точное позиционирование.
Конструктивные особенности CONELOG PROGRESSIVE-LINE, которые делают ее особенно эффективной, включают в себя Aggressive thread (профиль импланта), обеспечивающий высокую первичную стабильность; the Promote (пескоструйная обработка, кислотное травление), способствующая быстрой остеоинтеграции; и Grade IV titanium, чистый титан, обеспечивающий предсказуемую остеоинтеграцию. Имплантаты CONELOG PROGRESSIVE-LINE особенно хорошо подходят для установки на моляры благодаря коническому соединению с возможностью переключения платформы.
В сочетании с правильной глубиной размещения обеспечивается стабильный уровень костной ткани с течением времени. Одной из отличительных особенностей является наличие имплантатов различных размеров, включая имплантат диаметром 5 мм, который обеспечивает коническое соединение при сохранении менее агрессивного профиля выхода по сравнению с другими системами.
Автор: Dr Alex Payne
Доказано, что немедленная имплантация в свежие лунки сразу после экстракции дает хорошие результаты. В литературе сообщается о хороших показателях приживаемости имплантатов, а также о приемлемой незначительной потере костной массы, рецессии десен и эстетическом состоянии. В частности, имеются доказательства того, что немедленная имплантация в места расположения коренных зубов приводит к предсказуемым результатам и высоким показателям успеха. Это же исследование показывает, что в таких ситуациях процесс добавления или замены костной или мягкой ткани на месте имплантации (мукопластика) и использование анатомического абатмента для заживления могут еще больше уменьшить резорбцию кости.
Клинический случай
57-летний мужчина обратился в клинику с жалобами на разрушение двух коренных зубов, 46 и 47. У пациента не было патологий в анамнезе, оба коренных зуба имели обширный кариес и поврежденные пломбы (фото 1–6).
Фото 1: Исходная ситуация, интраоральный осмотр.
Фото 2: Предоперационная рентгенограмма.
Фото 3: Виртуальная экстракция.
Фото 4: Цифровое планирование имплантации, окклюзионный вид.
Фото 5: Цифровое планирование имплантации, вид с вестибулярной стороны.
Фото 6: Дизайн хирургической направляющей.
Планирование лечения
После тщательного обсуждения пациенту было предложено два варианта: глубокое краевое поднятие эмали в сочетании с лечением корневых каналов или имплантация. Пациент выбрал имплантацию, выразив предпочтение долговременному фиксированному решению.
Учитывая отсутствие острой инфекции и наличие достаточной костной ткани, было принято решение о немедленной имплантации с отсроченной нагрузкой на оба места. Немедленная имплантация предпочтительнее, поскольку сохранение существующей структуры твердых и мягких тканей гораздо более предсказуемо, чем попытки изменить ее позже.
Был выбран хирургический подход с использованием направляющей, а именно, бесшовной направляющей. Для планирования лечения и точного позиционирования имплантата использовалось программное обеспечение DentiqGuide (3DII). Затем хирургическая направляющая была напечатана на принтере Sonic Mini 8K S (Phrozen), что обеспечило высокую точность выполнения.
Хирургическое лечение
Поврежденные зубы были рассечены и удалены атравматичным способом для сохранения окружающей кости (фото 7). Лунки были тщательно обработаны кюретами Lucas для удаления любой остаточной инфекции или грануляционной ткани (фото 8).
Фото 7: Присутствующие корни рассечены таким образом, чтобы обеспечить атравматичную экстракцию.
Фото 8: Тщательно обработанные лунки.
Затем с помощью хирургической направляющей без рукавов и набора CONELOG были установлены имплантаты (5×9 мм CONELOG PROGRESSIVE-LINE, BioHorizons Camlog) (фото 9-10).
Фото 9: Имплантаты устанавливаются с использованием хирургической направляющей для обеспечения точности.
Фото 10: Имплантаты на месте, состояние после графтинга.
После проверки правильности установки имплантата на место имплантации до уровня кости был уложен аллографт MinerOss Putty (BioHorizons Camlog), чтобы уменьшить скопление трансплантационного материала в мягких тканях.
Были изготовлены индивидуальные заживляющие абатменты с использованием временного абатмента и композита, отполированы до высокого блеска с помощью силиконовых шлифовальных кругов, а затем установлены (фото 11). Пациенту были даны стандартные послеоперационные инструкции для поддержания заживления операционного поля в течение последующих месяцев.
Фото 11: Специальные заживляющие абатменты установлены.
Восстановительное лечение
Прошло три месяца после заживления. Для определения положения имплантата и профиля мягких тканей использовался интраоральный сканер Medit i700, он обеспечивает оптимальное планирование протезирования и точную реставрацию (фото 12). Коронки-имплантаты были изготовлены с использованием специально отфрезерованных титановых абатментов с циркониевой коронкой. Любой диоксид циркония, контактировавший с тканью, был отполирован, а не покрыт глазурью, чтобы обеспечить оптимальное здоровье мягких тканей.
Фото 12: Послеоперационная рентгенограмма.
Итоги и обсуждение
Немедленная имплантация CONELOG PROGRESSIVE-LINE в обе лунки коренных зубов прошла гладко, обеспечив превосходную первичную стабильность. Твердые и мягкие ткани были в хорошем состоянии и были достигнуты превосходная толщина мягких тканей и устойчивая полоса ороговевшей ткани (фото 13–16). Такой подход не только сохранил существующие кости и мягкие ткани, но и заложил прочную основу для будущего протезирования. Этот случай подчеркивает важность выбора метода, имплантата и трансплантационного материала для оптимизации долгосрочных результатов в имплантологической стоматологии.
Использование аллотрансплантата для костной трансплантации MinerOss Putty сыграло решающую роль в поддержании объема кости и целостности мягких тканей, что в дальнейшем способствовало долгосрочному успеху имплантатов. Этот аллотрансплантат обычно выбирается в таких случаях. Его исключительные эксплуатационные свойства облегчают установку. Кроме того, благодаря 10%-ному составу коллагена, он обеспечивает превосходную интеграцию, снижая риск миграции частиц или плохого сцепления при размещении, что наблюдается при использовании других трансплантационных материалов.
Фото 13: Заживающие абатменты удаляются.
Фото 14: Установлены окончательные коронки из диоксида циркония лабиальный вид.
Фото 15: Установлены окончательные циркониевые коронки, окклюзионный вид.
Фото 16: Послереставрационная рентгенограмма.
Немедленная имплантация, когда это возможно, дает значительные преимущества в упрощении долгосрочного обслуживания по сравнению с обширной реконструкцией твердых и мягких тканей. Система имплантатов CONELOG PROGRESSIVE-LINE продолжает оставаться надежным выбором для немедленной имплантации, особенно в области коренных зубов, благодаря своему превосходному дизайну и адаптивности, а винты CONELOG обеспечивают очень точное позиционирование.
Конструктивные особенности CONELOG PROGRESSIVE-LINE, которые делают ее особенно эффективной, включают в себя Aggressive thread (профиль импланта), обеспечивающий высокую первичную стабильность; the Promote (пескоструйная обработка, кислотное травление), способствующая быстрой остеоинтеграции; и Grade IV titanium, чистый титан, обеспечивающий предсказуемую остеоинтеграцию. Имплантаты CONELOG PROGRESSIVE-LINE особенно хорошо подходят для установки на моляры благодаря коническому соединению с возможностью переключения платформы.
В сочетании с правильной глубиной размещения обеспечивается стабильный уровень костной ткани с течением времени. Одной из отличительных особенностей является наличие имплантатов различных размеров, включая имплантат диаметром 5 мм, который обеспечивает коническое соединение при сохранении менее агрессивного профиля выхода по сравнению с другими системами.
Автор: Dr Alex Payne



0 комментариев