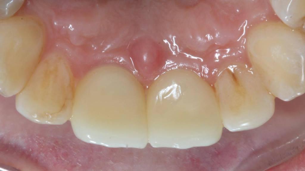
Пациентке около 40 лет. Еще в детстве она упала с велосипеда и повредила два центральных зуба на верхней челюсти.
И вот пациентка, устав от неоднократных визитов к стоматологам по поводу этих зубов, решила попрощаться с ними и установить имплантаты. Но в четырех клиниках, куда она обращалась, ей сообщали, что нужно удалить эти зубы, подождать 2-3 месяца, потом сделать костную пластику, через 6 месяцев установить имплантаты и еще через 6 месяцев сделать коронки. Т.е. все лечение должно занять больше года.
Фото 1.
По рекомендации своего супруга она обратилась в нашу клинику. Действительно, анатомическое расположение зубов таково, что после их удаления образуется большой горизонтальный костный дефект. Будет дефицит костной ткани.
Фото 2.
Но! Воссоздать, восстановить то, что дано природой всегда сложнее, чем сохранить! А сохранить есть что: объем костной ткани, уровень мягких тканей - симметрию зенитов и межзубные сосочки! Во фронтальном отделе это критически, экстремально важно. Особенно при высокой линии улыбки, когда обнажаются не только зубы, но и десна.
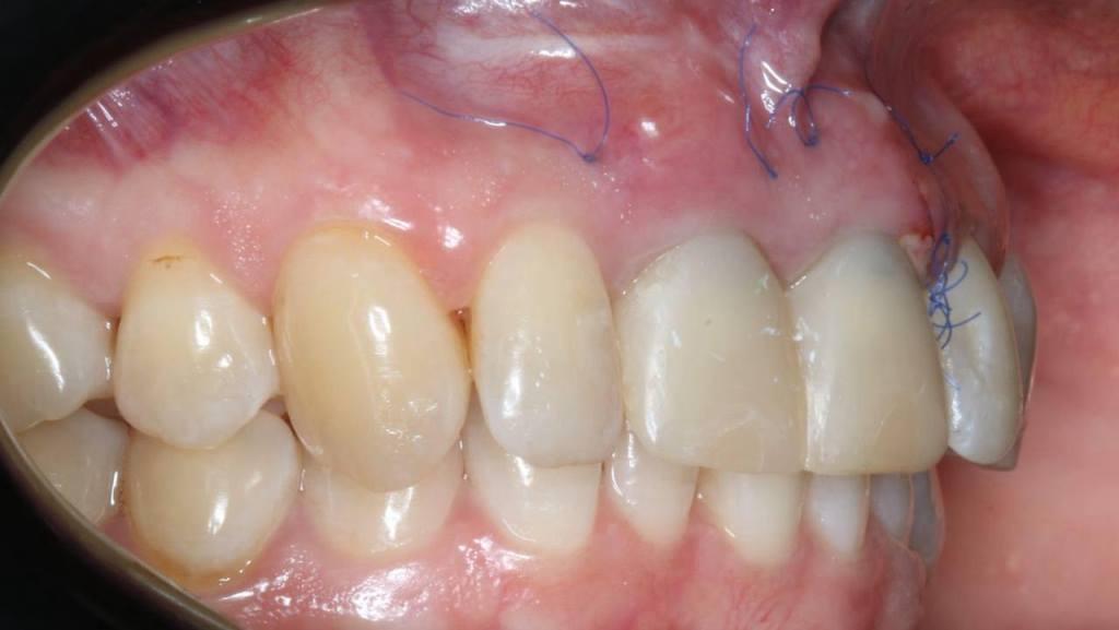
И существует такая методика как IDR - immediately dentoalveolar reconstruction. Суть методики заключается в том, что при дефиците костной ткани мы заполняем пространство костной и мягкой тканями, взятыми с бугра верхней челюсти пациента (за последним зубом). Берется трехслойный трансплантат, и здесь важно до операции по компьютерной томограмме оценить объем донорской зоны. При этом не делается никаких разрезов во фронте. Зубы удаляются очень атравматично, аккуратно, чтобы сохранить все имеющиеся ткани.
Фото 3, 4, 5.
Очень важно во фронтальном отделе корректное параллельное расположение имплантатов во всех трех плоскостях.
Фото 6, 7.
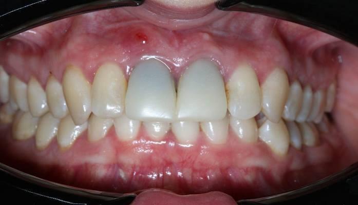
Зубо-альвеолярная реконструкция подразумевает немедленное протезирование. Необходимо во время операции получить достаточную стабильность имплантатов, чтобы ортопед смог сразу изготовить временные коронки, которые будут поддерживать контур мягких тканей. Пациент уходит из клиники с зубами.
Фото 8, 9, 10.
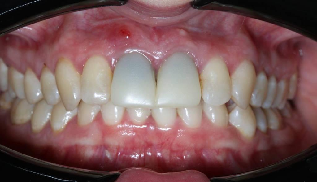
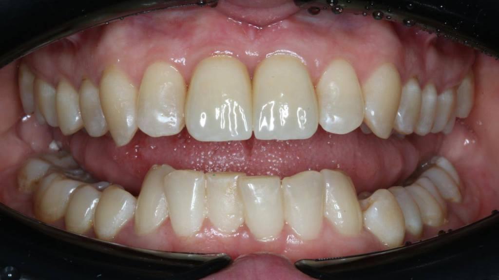
И через полгода после интеграции происходит замена временных коронок постоянными. Довольны результатом и врачи и пациентка!
Фото 11, 12, 13, 14.
Пациентке около 40 лет. Еще в детстве она упала с велосипеда и повредила два центральных зуба на верхней челюсти.
И вот пациентка, устав от неоднократных визитов к стоматологам по поводу этих зубов, решила попрощаться с ними и установить имплантаты. Но в четырех клиниках, куда она обращалась, ей сообщали, что нужно удалить эти зубы, подождать 2-3 месяца, потом сделать костную пластику, через 6 месяцев установить имплантаты и еще через 6 месяцев сделать коронки. Т.е. все лечение должно занять больше года.
Фото 1.
По рекомендации своего супруга она обратилась в нашу клинику. Действительно, анатомическое расположение зубов таково, что после их удаления образуется большой горизонтальный костный дефект. Будет дефицит костной ткани.
Фото 2.
Но! Воссоздать, восстановить то, что дано природой всегда сложнее, чем сохранить! А сохранить есть что: объем костной ткани, уровень мягких тканей - симметрию зенитов и межзубные сосочки! Во фронтальном отделе это критически, экстремально важно. Особенно при высокой линии улыбки, когда обнажаются не только зубы, но и десна.
И существует такая методика как IDR - immediately dentoalveolar reconstruction. Суть методики заключается в том, что при дефиците костной ткани мы заполняем пространство костной и мягкой тканями, взятыми с бугра верхней челюсти пациента (за последним зубом). Берется трехслойный трансплантат, и здесь важно до операции по компьютерной томограмме оценить объем донорской зоны. При этом не делается никаких разрезов во фронте. Зубы удаляются очень атравматично, аккуратно, чтобы сохранить все имеющиеся ткани.
Фото 3, 4, 5.
Очень важно во фронтальном отделе корректное параллельное расположение имплантатов во всех трех плоскостях.
Фото 6, 7.
Зубо-альвеолярная реконструкция подразумевает немедленное протезирование. Необходимо во время операции получить достаточную стабильность имплантатов, чтобы ортопед смог сразу изготовить временные коронки, которые будут поддерживать контур мягких тканей. Пациент уходит из клиники с зубами.
Фото 8, 9, 10.
И через полгода после интеграции происходит замена временных коронок постоянными. Довольны результатом и врачи и пациентка!
Фото 11, 12, 13, 14.



0 комментариев