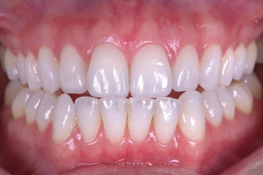
Консервативный гибридный подход, использованный в данном случае, позволил восстановить как правильную направляющую функцию клыков и окклюзионную функцию, так и улучшить симметрию и эстетику улыбки.
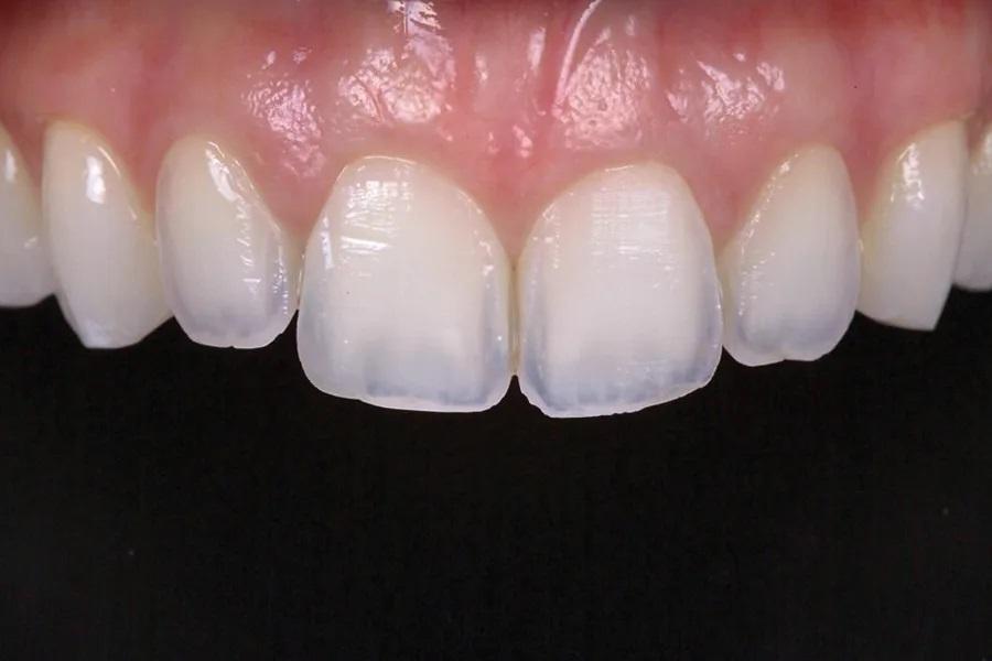
Ей нравился оттенок ее зубов B1, и она хотела виниры, соответствующие этому оттенку, с добавлением текстуры и прозрачности в области режущего края.
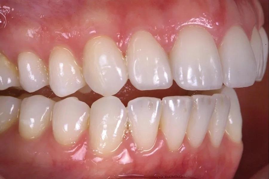
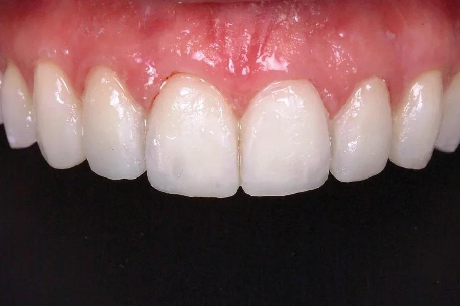
Фото 1. 24-летняя женщина обратилась после ортодонтического лечения с желанием улучшить эстетику, так как на ее зубах были белые пятна эмали и наблюдалась незначительная мезиальная ротация клыков.
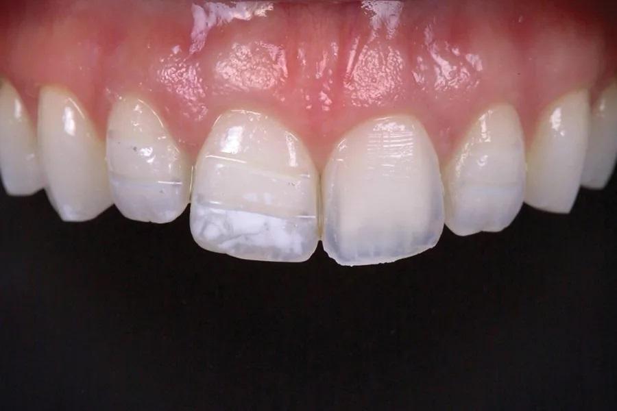
Фото 2.
Фото 3.
Фото 4.
Фото 5.
Фото 6.
Фото 7.
Фото 8.
Фото 9.
Фото 10.
Фото 11.
Фото 12.
Фото 13.
Фото 14.
Ключевые моменты
Консервативный гибридный подход, использованный в данном случае, позволил восстановить как правильную направляющую функцию клыков и окклюзионную функцию, так и улучшить симметрию и эстетику улыбки.
Сочетание виниров без препарирования и с минимальным препарированием позволяет сохранить структуру зуба, одновременно достигая точности в форме, посадке и прозрачности, адаптированной к улыбке пациента.
Согласованное планирование между стоматологом, пациентом и мастером-керамистом, начиная с воскового моделирования и заканчивая точным подбором оттенка и функциональной фиксацией, помогает обеспечить оптимальные результаты. Использование полной адгезивной системы с цветостабильным, высокопрочным композитом способствует надежной фиксации и безупречной эстетике для долговременного успеха виниров.
Автор: Todd Snyder, DDS (частная практика, Лагуна-Найгел, Калифорния, и Лас-Вегас, Невада; Член Американской академии эстетической стоматологии)
Консервативный гибридный подход, использованный в данном случае, позволил восстановить как правильную направляющую функцию клыков и окклюзионную функцию, так и улучшить симметрию и эстетику улыбки.
Ей нравился оттенок ее зубов B1, и она хотела виниры, соответствующие этому оттенку, с добавлением текстуры и прозрачности в области режущего края.
Фото 1. 24-летняя женщина обратилась после ортодонтического лечения с желанием улучшить эстетику, так как на ее зубах были белые пятна эмали и наблюдалась незначительная мезиальная ротация клыков.
Фото 2.
Фото 3.
Фото 4.
Фото 5.
Фото 6.
Фото 7.
Фото 8.
Фото 9.
Фото 10.
Фото 11.
Фото 12.
Фото 13.
Фото 14.
Ключевые моменты
Консервативный гибридный подход, использованный в данном случае, позволил восстановить как правильную направляющую функцию клыков и окклюзионную функцию, так и улучшить симметрию и эстетику улыбки.
Сочетание виниров без препарирования и с минимальным препарированием позволяет сохранить структуру зуба, одновременно достигая точности в форме, посадке и прозрачности, адаптированной к улыбке пациента.
Согласованное планирование между стоматологом, пациентом и мастером-керамистом, начиная с воскового моделирования и заканчивая точным подбором оттенка и функциональной фиксацией, помогает обеспечить оптимальные результаты. Использование полной адгезивной системы с цветостабильным, высокопрочным композитом способствует надежной фиксации и безупречной эстетике для долговременного успеха виниров.
Автор: Todd Snyder, DDS (частная практика, Лагуна-Найгел, Калифорния, и Лас-Вегас, Невада; Член Американской академии эстетической стоматологии)



0 комментариев