В последние годы все большее клиническое значение приобретает эрозия зубов, вызванная прямым воздействием кислоты без участия бактерий. Степень потери структуры зуба из-за такой эрозии зависит от различных индивидуальных факторов. Эрозию могут вызывать как эндогенные кислоты, такие как желудочная кислота, так и экзогенные кислоты. Экзогенные кислоты могут образовываться в результате приема лекарств или паров кислот в воздухе во время профессионального воздействия. Однако наиболее распространенными источниками являются продукты питания и напитки.
Предварительный этап лечения позволяет проверить эстетический и фонетический оптимум, а также провести тест-драйв нового OVD. Временные реставрации должны быть минимально инвазивными и соответствовать растущим требованиям к эстетике и функциональности. При хорошем восприятии пациентом челюстных отношений временная реставрация может быть перенесена на окончательную.
Долгосрочные временные реставрации могут быть изготовлены в зуботехнической лаборатории по технологии CAD/CAM с использованием субтрактивных процессов. Субтрактивное производство отличается от аддитивного производства, широко известного как 3D-печать, которое стремительно становится дополнительным или альтернативным методом в цифровой стоматологии. Из-за контактного давления инструментов в ходе субтрактивного производства могут появиться сколы на краевых участках реставраций. В то время, как аддитивный метод, создающий слоистую структуру, позволяет с минимальными затратами времени создавать изделия сложной геометрии. Настоящий клинический случай иллюстрирует потенциал временных реставраций, напечатанных на 3D-принтере, для комплексной реабилитации с увеличением OVD.
Описание клинического случая и диагностика
В январе 2023 года 40-летняя пациентка с ничем не примечательным общим анамнезом обратилась в отделение консервативной стоматологии и пародонтологии общей амбулаторной клиники при университете Мюнхена имени Людвига Максимилиана (LMU). Пациентка была недовольна эстетическим видом своих зубов и жаловалась на периодическую повышенную чувствительность к горячим и холодным напиткам. В ее диетическом анамнезе было выявлено чрезмерное потребление колы - около 2 литров в день.
Клиническое и рентгенологическое обследование выявило выраженные эрозивные дефекты на всех зубах (фото 1a-f). Чтобы предотвратить ночное изнашивание оставшимся структурам зубов, стоматолог общей практики ранее изготовил пациентке окклюзионную шину (каппу). Был проведен экспресс-скрининг на височно-нижнечелюстные расстройства с использованием инструмента, разработанного Немецким обществом краниомандибулярных функций и расстройств, который не выявил никаких функциональных отклонений. Был определен общий диагноз: сильно выраженная эрозия из-за воздействия экзогенной кислоты (кола), истирание с уменьшением OVD, множественные кариозные поражения, гиперчувствительность дентина, гингивит и нарушение эстетики.
Фото 1a: Исходная ситуация. Заметная потеря вертикального размера. Фронтальный вид.
Фото 1b: Исходная ситуация. Вид слева.
Фото 1c: Исходная ситуация. Вид справа.
Фото 1d: Почти полная потеря окклюзионного рельефа верхней челюсти.
Фото 1e: Почти полная потеря окклюзионного рельефа нижней челюсти.
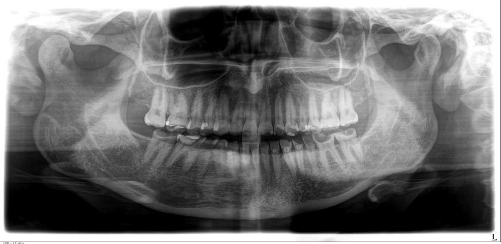
Фото 1f: Панорамная томограмма.
Планирование лечения и предварительная консервативная подготовка
Как часть предварительной подготовки к протезированию (фото 2), кариозные очаги были обработаны полимерными композитными пломбами. Кроме того, была проведена профессиональная чистка зубов, даны инструкции по гигиене полости рта и предоставлена информация о здоровом питании (включая отказ от чрезмерного употребления колы). В течение курса лечения профессиональная чистка зубов была проведена несколько раз.
Фото 2: Процедура лечения.
Для лечения этого случая был выбран традиционный подход адаптации жевательной системы к новым челюстным отношениям с увеличенным OVD с использованием нижнечелюстной шины. Для изготовления шины было проведено интраоральное сканирование (Primescan, программное обеспечение CEREC 5.2.9, Dentsply Sirona) (фото 3a-b). Челюстные взаимоотношения при центральной окклюзии регистрировались в цифровом виде с помощью переднего кондуктора и сканирования лица. Данные сканирования были отправлены в зуботехническую лабораторию, и модели были выровнены в виртуальном артикуляторе с помощью ведущей стоматологической системы автоматизированного проектирования Exocad DentalCAD. Необходимый уровень OVD был определен с помощью цифровой диагностической восковой модели. Шина для нижней челюсти была спроектирована цифровым способом и изготовлена с использованием субтрактивной техники из полиметилметакрилата (PMMA) (фото 4a-b).
Фото 3a: Цифровое сканирование исходной ситуации. Верхняя челюсть.
Фото 3b: Цифровое сканирование исходной ситуации. Нижняя челюсть.
Фото 4a: Шина для нижней челюсти из PMMA.
Фото 4b: Шина на нижней челюсти in situ.
Ключ (mock-up)
Чтобы облегчить коммуникацию с пациентом в ходе дальнейшего курса лечения, на основе цифрового оттиска на 3D-принтере был напечатан силиконовый оттиск (ключ) из светоотверждаемой смолы для производства высокоэстетичных временных реставраций V-Print c&b temp (VOCO; фото 5). Ключ был предназначен для того, чтобы дать пациенту первоначальное представление о предполагаемых эстетических и функциональных корректировках
Препарирование
После завершения предварительной обработки шины и хорошего восприятия пациентом новых окклюзионных контактов было проведено препарирование зубов с учетом дефектов. В задней области большие участки обнажившегося дентина были восстановлены с помощью адгезивных пломб Tetric EvoFlow Bleach (Ivoclar). Задние зубы верхней и нижней челюсти, а также передние зубы верхней челюсти были препарированы для долговременных временных реставраций, изготовленных с помощью 3D-печати (фото 6a-b). Установка виниров на передние зубы нижней челюсти была проведена в рамках заключительной реставрации на последнем этапе лечения.
Было проведено интраоральное сканирование препарированных зубов (Primescan), и данные сканирования были переданы в зуботехническую лабораторию (фото 7a-b). На препарированные зубы по прямому методу изготовления временных реставраций с помощью 3D-моделирования были установлены временные реставрации из материала Structur 3 (VOCO) до завершения долгосрочных временных реставраций. С помощью шин, изготовленных из напечатанного на 3D-принтере ключа, для изготовления прямых временных реставраций стал возможен интраоральный перенос. Это позволило заранее отработать форму и размер будущих постоянных реставраций с учётом особенностей лица и улыбки.
Фото 5: Ключ, напечатанный на 3D-принтере.
Фото 6a: Препарирование зубов на верхней челюсти.
Фото 6b: Препарирование зубов на нижней челюсти.
Фото 7a: Цифровое сканирование препарированных зубов верхней челюсти.
Фото 7b: Цифровое сканирование препарированных зубов нижней челюсти.
Фото 8: Временные реставрации в программном обеспечении CAM с опорными конструкциями.
3D-печать
Данные сканирования верхней и нижней челюсти были в цифровом виде сопоставлены с данными цифрового сканирования исходной ситуации с помощью анатомических опорных точек в программном обеспечении exocad. Таким образом, можно было бы использовать челюстные отношения, изначально определенные для изготовления шины, и выполнить цифровой дизайн реставраций. Для обеспечения стабильности временные реставрации в передней и задней областях в данном случае были разделены на несколько сегментов. Затем набор данных STL для реставраций был перенесен в программное обеспечение для аддитивного производства, проектирования и моделирования Autodesk Netfabb 2022.0, и в нефункциональные области были добавлены поддерживающие конструкции (фото 8). Из светоотверждаемой смолы для производства высокоэстетичных временных реставраций зубов V-Print c&b temp (VOCO) были напечатаны долгосрочные временные реставрации (фото 9).
Через 10 минут остатки неполимеризованной смолы удалили с отпечатанных объектов кисточкой, смоченной в изопропаноле. Затем объекты были отсоединены от платформы, а несущие конструкции удалены. Постполимеризацию проводили через 15 минут после последнего контакта с изопропанолом, используя по два цикла на каждый по 2000 вспышек Otoflash G171 (NK Optik). После последующей обработки временные реставрации были закончены и отполированы до блеска (фото 10 a-g). Наконец, временное покрытие было дополнено временным цементом на основе композита с двойной полимеризацией Bifix Temp (VOCO; фото 11 a-e).
Фото 9: Напечатанные на 3D-принтере временные реставрации на несущих конструкциях.
Фото 10a: Временные реставрации после последующей обработки и глянцевой полировки. Детальный вид переднего сегмента верхней челюсти.
Фото 10b–g: Временные реставрации после последующей обработки и глянцевой полировки. Задний (b–e) и передний сегменты (f-g).
Фото 11a: Временно зацементированные долгосрочные временные реставрации. Вид спереди.
Фото 11b: Временно зацементированные долгосрочные временные реставрации. Вид слева.
Фото 11c: Временно зацементированные долгосрочные временные реставрации. Вид справа.
Фото 11d: Временно зацементированные долгосрочные временные реставрации. Окклюзионный вид верхней челюсти.
Фото 11e: Временно зацементированные долгосрочные временные реставрации. Окклюзионный вид нижней челюсти.
Окончательные реставрации
После того полугодового использования временных реставраций, вновь установленные окклюзионные отношения были перенесены на окончательные реставрации. Были выбраны адгезивные реставрации из монолитного дисиликата лития (IPS e.max Press, Ivoclar) (фото 12-13). Из-за тонких краев в некоторых местах было предпочтительно, чтобы реставрации изготавливались с использованием технологии прессования.
В конце лечения была рекомендована защитная шина для ношения в ночное время, чтобы обеспечить долгосрочную клиническую стабильность. Для защиты от эрозивной потери структуры зубов, вызванной кислотой, также было предложено использовать зубную пасту с низкой абразивностью, содержащую фтор, и избегать употребления кислых продуктов и напитков.
Фото 12: Подготовка передних зубов нижней челюсти к установке виниров.
Фото 13: Окончательные реставрации из дисиликата лития.
Обсуждение
При изготовлении временных реставраций все чаще используется 3D-печать. В настоящее время долгосрочные реставрации из композита, напечатанные на 3D-принтере, в основном изготавливаются с использованием стереолитографии (SLA) и соответствующей технологии цифровой обработки света (DLP). Результаты недавних исследований показывают, что временные реставрации, изготовленные с использованием технологий DLP и SLA, обладают достаточной прочностью на изгиб. В представленном клиническом случае за все время ношения печатных реставраций не было зафиксировано ни одного перелома.
Принцип SLA основан на послойном создании объекта из смеси жидких мономеров, чувствительных к ультрафиолетовому излучению, которая полимеризуется и затвердевает с помощью лазера. Обычно печатается слой толщиной от 25 до 100 мкм. Меньшая толщина слоя позволяет получить поверхности объектов с высоким разрешением, и также сокращает время изготовления. Принтеры DLP отличаются от принтеров SLA только конструкцией блока экспонирования и полимеризацией мономера структурированным светом, а не лазером. Это обеспечивает более быструю печать нескольких объектов.
Мономеры, используемые для SLA- и DLP-принтеров, основаны на метакрилатах, к которым добавлены фотоинициаторы весом 3-5% из-за изначально короткого времени экспозиции в процессе печати. При печати смола полимеризуется только до состояния геля. Поэтому для достижения конечной степени конверсии и желаемых механических и биологических свойств после процесса печати также необходима светополимеризация конкретного материала.
На абсолютные механические свойства композитов в основном влияет добавляемый наполнитель. В ходе исследований композиты с наполнителем, пригодные для печати, показали сопоставимые механические свойства с композитами, пригодными для фрезерования или прямого нанесения. Композитам с наполнителем, пригодным для печати следует отдавать предпочтение перед композитами без наполнителя, пригодными для печати, из-за соотношения между количеством наполнителя и механическими свойствами.
В настоящее время количество добавляемого наполнителя составляет максимум 30% по объему и, следовательно, ниже, чем при использовании прямых композитов или композитов, поддающихся фрезерованию. Если увеличить количество наполнителя в композите, пригодном для печати, повысится вязкость материала, и поток между основанием емкости и рабочей платформой после цикла печати больше не будет гарантирован.
Несмотря на то, что время изготовления линейно увеличивается с увеличением количества объектов, которые должны быть изготовлены в субтрактивном производстве, оно не зависит от количества объектов на платформе в процессе 3D-печати. Это дает значительное преимущество во времени при изготовлении долгосрочных временных реставраций. С чисто экономической точки зрения аддитивное производство создает только необходимый объект и минимум несущих конструкций, что приводит к повышению эффективности использования материалов. В отличие от этого, в субтрактивном производстве необходимо учитывать потери материала при переходе от заготовки к конечному продукту и износ обрабатывающих инструментов. Еще одним преимуществом аддитивного производства является геометрическая свобода, которую оно обеспечивает в процессе проектирования. Сложные конструкции, включая выступы и внутренние полости, могут быть легко воспроизведены, в то время как субтрактивные процессы ограничены доступностью режущего инструмента. Кроме того, в субтрактивном производстве фрезерный инструмент оказывает давление на объект, увеличивая риск образования сколов на участках с тонкими краями.
Заключение
Представленный клинический случай демонстрирует, что временные реставрации, изготовленные с использованием аддитивных средств, открывают новые возможности для комплексной ортопедической реабилитации. Можно внедрить полностью цифровой рабочий процесс, позволяющий печатать временные реставрации на 3D-принтере для быстрого улучшения эстетики и тестирования изменений в OVD.
Благодаря возможности нанесения очень тонких слоев, переход реставрации к зубу может быть выполнен очень аккуратно. Это снижает риск вторичного кариеса, а краевое окрашивание можно легко отполировать. Подводя итог, можно сказать, что аддитивное производство позволяет экономично изготавливать реставрации высокой сложности и с высокими эстетическими требованиями.
Авторы:
Dr Andreas Keßler
Dr Stefanie Lindner
Производители:
В последние годы все большее клиническое значение приобретает эрозия зубов, вызванная прямым воздействием кислоты без участия бактерий. Степень потери структуры зуба из-за такой эрозии зависит от различных индивидуальных факторов. Эрозию могут вызывать как эндогенные кислоты, такие как желудочная кислота, так и экзогенные кислоты. Экзогенные кислоты могут образовываться в результате приема лекарств или паров кислот в воздухе во время профессионального воздействия. Однако наиболее распространенными источниками являются продукты питания и напитки.
Предварительный этап лечения позволяет проверить эстетический и фонетический оптимум, а также провести тест-драйв нового OVD. Временные реставрации должны быть минимально инвазивными и соответствовать растущим требованиям к эстетике и функциональности. При хорошем восприятии пациентом челюстных отношений временная реставрация может быть перенесена на окончательную.
Долгосрочные временные реставрации могут быть изготовлены в зуботехнической лаборатории по технологии CAD/CAM с использованием субтрактивных процессов. Субтрактивное производство отличается от аддитивного производства, широко известного как 3D-печать, которое стремительно становится дополнительным или альтернативным методом в цифровой стоматологии. Из-за контактного давления инструментов в ходе субтрактивного производства могут появиться сколы на краевых участках реставраций. В то время, как аддитивный метод, создающий слоистую структуру, позволяет с минимальными затратами времени создавать изделия сложной геометрии. Настоящий клинический случай иллюстрирует потенциал временных реставраций, напечатанных на 3D-принтере, для комплексной реабилитации с увеличением OVD.
Описание клинического случая и диагностика
В январе 2023 года 40-летняя пациентка с ничем не примечательным общим анамнезом обратилась в отделение консервативной стоматологии и пародонтологии общей амбулаторной клиники при университете Мюнхена имени Людвига Максимилиана (LMU). Пациентка была недовольна эстетическим видом своих зубов и жаловалась на периодическую повышенную чувствительность к горячим и холодным напиткам. В ее диетическом анамнезе было выявлено чрезмерное потребление колы - около 2 литров в день.
Клиническое и рентгенологическое обследование выявило выраженные эрозивные дефекты на всех зубах (фото 1a-f). Чтобы предотвратить ночное изнашивание оставшимся структурам зубов, стоматолог общей практики ранее изготовил пациентке окклюзионную шину (каппу). Был проведен экспресс-скрининг на височно-нижнечелюстные расстройства с использованием инструмента, разработанного Немецким обществом краниомандибулярных функций и расстройств, который не выявил никаких функциональных отклонений. Был определен общий диагноз: сильно выраженная эрозия из-за воздействия экзогенной кислоты (кола), истирание с уменьшением OVD, множественные кариозные поражения, гиперчувствительность дентина, гингивит и нарушение эстетики.
Фото 1a: Исходная ситуация. Заметная потеря вертикального размера. Фронтальный вид.
Фото 1b: Исходная ситуация. Вид слева.
Фото 1c: Исходная ситуация. Вид справа.
Фото 1d: Почти полная потеря окклюзионного рельефа верхней челюсти.
Фото 1e: Почти полная потеря окклюзионного рельефа нижней челюсти.
Фото 1f: Панорамная томограмма.
Планирование лечения и предварительная консервативная подготовка
Как часть предварительной подготовки к протезированию (фото 2), кариозные очаги были обработаны полимерными композитными пломбами. Кроме того, была проведена профессиональная чистка зубов, даны инструкции по гигиене полости рта и предоставлена информация о здоровом питании (включая отказ от чрезмерного употребления колы). В течение курса лечения профессиональная чистка зубов была проведена несколько раз.
Фото 2: Процедура лечения.
Для лечения этого случая был выбран традиционный подход адаптации жевательной системы к новым челюстным отношениям с увеличенным OVD с использованием нижнечелюстной шины. Для изготовления шины было проведено интраоральное сканирование (Primescan, программное обеспечение CEREC 5.2.9, Dentsply Sirona) (фото 3a-b). Челюстные взаимоотношения при центральной окклюзии регистрировались в цифровом виде с помощью переднего кондуктора и сканирования лица. Данные сканирования были отправлены в зуботехническую лабораторию, и модели были выровнены в виртуальном артикуляторе с помощью ведущей стоматологической системы автоматизированного проектирования Exocad DentalCAD. Необходимый уровень OVD был определен с помощью цифровой диагностической восковой модели. Шина для нижней челюсти была спроектирована цифровым способом и изготовлена с использованием субтрактивной техники из полиметилметакрилата (PMMA) (фото 4a-b).
Фото 3a: Цифровое сканирование исходной ситуации. Верхняя челюсть.
Фото 3b: Цифровое сканирование исходной ситуации. Нижняя челюсть.
Фото 4a: Шина для нижней челюсти из PMMA.
Фото 4b: Шина на нижней челюсти in situ.
Ключ (mock-up)
Чтобы облегчить коммуникацию с пациентом в ходе дальнейшего курса лечения, на основе цифрового оттиска на 3D-принтере был напечатан силиконовый оттиск (ключ) из светоотверждаемой смолы для производства высокоэстетичных временных реставраций V-Print c&b temp (VOCO; фото 5). Ключ был предназначен для того, чтобы дать пациенту первоначальное представление о предполагаемых эстетических и функциональных корректировках
Препарирование
После завершения предварительной обработки шины и хорошего восприятия пациентом новых окклюзионных контактов было проведено препарирование зубов с учетом дефектов. В задней области большие участки обнажившегося дентина были восстановлены с помощью адгезивных пломб Tetric EvoFlow Bleach (Ivoclar). Задние зубы верхней и нижней челюсти, а также передние зубы верхней челюсти были препарированы для долговременных временных реставраций, изготовленных с помощью 3D-печати (фото 6a-b). Установка виниров на передние зубы нижней челюсти была проведена в рамках заключительной реставрации на последнем этапе лечения.
Было проведено интраоральное сканирование препарированных зубов (Primescan), и данные сканирования были переданы в зуботехническую лабораторию (фото 7a-b). На препарированные зубы по прямому методу изготовления временных реставраций с помощью 3D-моделирования были установлены временные реставрации из материала Structur 3 (VOCO) до завершения долгосрочных временных реставраций. С помощью шин, изготовленных из напечатанного на 3D-принтере ключа, для изготовления прямых временных реставраций стал возможен интраоральный перенос. Это позволило заранее отработать форму и размер будущих постоянных реставраций с учётом особенностей лица и улыбки.
Фото 5: Ключ, напечатанный на 3D-принтере.
Фото 6a: Препарирование зубов на верхней челюсти.
Фото 6b: Препарирование зубов на нижней челюсти.
Фото 7a: Цифровое сканирование препарированных зубов верхней челюсти.
Фото 7b: Цифровое сканирование препарированных зубов нижней челюсти.
Фото 8: Временные реставрации в программном обеспечении CAM с опорными конструкциями.
3D-печать
Данные сканирования верхней и нижней челюсти были в цифровом виде сопоставлены с данными цифрового сканирования исходной ситуации с помощью анатомических опорных точек в программном обеспечении exocad. Таким образом, можно было бы использовать челюстные отношения, изначально определенные для изготовления шины, и выполнить цифровой дизайн реставраций. Для обеспечения стабильности временные реставрации в передней и задней областях в данном случае были разделены на несколько сегментов. Затем набор данных STL для реставраций был перенесен в программное обеспечение для аддитивного производства, проектирования и моделирования Autodesk Netfabb 2022.0, и в нефункциональные области были добавлены поддерживающие конструкции (фото 8). Из светоотверждаемой смолы для производства высокоэстетичных временных реставраций зубов V-Print c&b temp (VOCO) были напечатаны долгосрочные временные реставрации (фото 9).
Через 10 минут остатки неполимеризованной смолы удалили с отпечатанных объектов кисточкой, смоченной в изопропаноле. Затем объекты были отсоединены от платформы, а несущие конструкции удалены. Постполимеризацию проводили через 15 минут после последнего контакта с изопропанолом, используя по два цикла на каждый по 2000 вспышек Otoflash G171 (NK Optik). После последующей обработки временные реставрации были закончены и отполированы до блеска (фото 10 a-g). Наконец, временное покрытие было дополнено временным цементом на основе композита с двойной полимеризацией Bifix Temp (VOCO; фото 11 a-e).
Фото 9: Напечатанные на 3D-принтере временные реставрации на несущих конструкциях.
Фото 10a: Временные реставрации после последующей обработки и глянцевой полировки. Детальный вид переднего сегмента верхней челюсти.
Фото 10b–g: Временные реставрации после последующей обработки и глянцевой полировки. Задний (b–e) и передний сегменты (f-g).
Фото 11a: Временно зацементированные долгосрочные временные реставрации. Вид спереди.
Фото 11b: Временно зацементированные долгосрочные временные реставрации. Вид слева.
Фото 11c: Временно зацементированные долгосрочные временные реставрации. Вид справа.
Фото 11d: Временно зацементированные долгосрочные временные реставрации. Окклюзионный вид верхней челюсти.
Фото 11e: Временно зацементированные долгосрочные временные реставрации. Окклюзионный вид нижней челюсти.
Окончательные реставрации
После того полугодового использования временных реставраций, вновь установленные окклюзионные отношения были перенесены на окончательные реставрации. Были выбраны адгезивные реставрации из монолитного дисиликата лития (IPS e.max Press, Ivoclar) (фото 12-13). Из-за тонких краев в некоторых местах было предпочтительно, чтобы реставрации изготавливались с использованием технологии прессования.
В конце лечения была рекомендована защитная шина для ношения в ночное время, чтобы обеспечить долгосрочную клиническую стабильность. Для защиты от эрозивной потери структуры зубов, вызванной кислотой, также было предложено использовать зубную пасту с низкой абразивностью, содержащую фтор, и избегать употребления кислых продуктов и напитков.
Фото 12: Подготовка передних зубов нижней челюсти к установке виниров.
Фото 13: Окончательные реставрации из дисиликата лития.
Обсуждение
При изготовлении временных реставраций все чаще используется 3D-печать. В настоящее время долгосрочные реставрации из композита, напечатанные на 3D-принтере, в основном изготавливаются с использованием стереолитографии (SLA) и соответствующей технологии цифровой обработки света (DLP). Результаты недавних исследований показывают, что временные реставрации, изготовленные с использованием технологий DLP и SLA, обладают достаточной прочностью на изгиб. В представленном клиническом случае за все время ношения печатных реставраций не было зафиксировано ни одного перелома.
Принцип SLA основан на послойном создании объекта из смеси жидких мономеров, чувствительных к ультрафиолетовому излучению, которая полимеризуется и затвердевает с помощью лазера. Обычно печатается слой толщиной от 25 до 100 мкм. Меньшая толщина слоя позволяет получить поверхности объектов с высоким разрешением, и также сокращает время изготовления. Принтеры DLP отличаются от принтеров SLA только конструкцией блока экспонирования и полимеризацией мономера структурированным светом, а не лазером. Это обеспечивает более быструю печать нескольких объектов.
Мономеры, используемые для SLA- и DLP-принтеров, основаны на метакрилатах, к которым добавлены фотоинициаторы весом 3-5% из-за изначально короткого времени экспозиции в процессе печати. При печати смола полимеризуется только до состояния геля. Поэтому для достижения конечной степени конверсии и желаемых механических и биологических свойств после процесса печати также необходима светополимеризация конкретного материала.
На абсолютные механические свойства композитов в основном влияет добавляемый наполнитель. В ходе исследований композиты с наполнителем, пригодные для печати, показали сопоставимые механические свойства с композитами, пригодными для фрезерования или прямого нанесения. Композитам с наполнителем, пригодным для печати следует отдавать предпочтение перед композитами без наполнителя, пригодными для печати, из-за соотношения между количеством наполнителя и механическими свойствами.
В настоящее время количество добавляемого наполнителя составляет максимум 30% по объему и, следовательно, ниже, чем при использовании прямых композитов или композитов, поддающихся фрезерованию. Если увеличить количество наполнителя в композите, пригодном для печати, повысится вязкость материала, и поток между основанием емкости и рабочей платформой после цикла печати больше не будет гарантирован.
Несмотря на то, что время изготовления линейно увеличивается с увеличением количества объектов, которые должны быть изготовлены в субтрактивном производстве, оно не зависит от количества объектов на платформе в процессе 3D-печати. Это дает значительное преимущество во времени при изготовлении долгосрочных временных реставраций. С чисто экономической точки зрения аддитивное производство создает только необходимый объект и минимум несущих конструкций, что приводит к повышению эффективности использования материалов. В отличие от этого, в субтрактивном производстве необходимо учитывать потери материала при переходе от заготовки к конечному продукту и износ обрабатывающих инструментов. Еще одним преимуществом аддитивного производства является геометрическая свобода, которую оно обеспечивает в процессе проектирования. Сложные конструкции, включая выступы и внутренние полости, могут быть легко воспроизведены, в то время как субтрактивные процессы ограничены доступностью режущего инструмента. Кроме того, в субтрактивном производстве фрезерный инструмент оказывает давление на объект, увеличивая риск образования сколов на участках с тонкими краями.
Заключение
Представленный клинический случай демонстрирует, что временные реставрации, изготовленные с использованием аддитивных средств, открывают новые возможности для комплексной ортопедической реабилитации. Можно внедрить полностью цифровой рабочий процесс, позволяющий печатать временные реставрации на 3D-принтере для быстрого улучшения эстетики и тестирования изменений в OVD.
Благодаря возможности нанесения очень тонких слоев, переход реставрации к зубу может быть выполнен очень аккуратно. Это снижает риск вторичного кариеса, а краевое окрашивание можно легко отполировать. Подводя итог, можно сказать, что аддитивное производство позволяет экономично изготавливать реставрации высокой сложности и с высокими эстетическими требованиями.
Авторы:
Dr Andreas Keßler
Dr Stefanie Lindner



0 комментариев