Протокол LANAP может выполняться только с использованием свободноимпульсного Nd:YAG лазера PerioLase MVP-7. Его переменная длительность импульса особенно подходит для управления взаимодействием лазера с тканью.
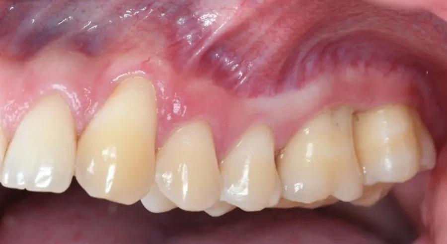
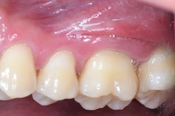
Фото 1 и Фото 2. Внеоральный осмотр выявил легкую болезненность в левом ВНЧС; интраоральный осмотр показал тонкий фенотип десны, локализованную рецессию десны и потерю клинического прикрепления. Предоперационные вестибулярный (Фото 1) и окклюзионный (Фото 2) виды показали воспаление десны, минимальную рецессию и глубину зондирования 12 мм с вестибулярной поверхности зуба № 2.6.
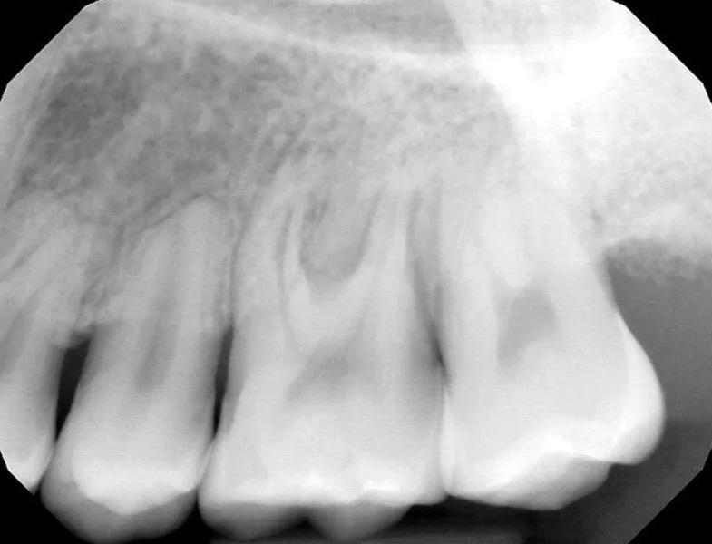
Фото 3. Предоперационный периапикальный рентгеновский снимок, показывающий короткие, затупленные корни зубов № 2.4, с апикальной резорбцией корня зуба № 2.5 и дистального щечного корня зуба № 2.6. Отмечалась тесная близость корней зубов №№ 2.6 и 2.7 с умеренным образованием интерпроксимальных кариозных полостей. Рентгенологическое просветление в основном затрагивало фуркацию зуба № 2.6.
Фото 4. Предоперационное КЛКТ-исследование, указывающее на глубокую фуркацию, распространяющуюся на щечную поверхность небного корня зуба № 2.6, отсутствие щечной компактной пластинки и вестибулярное смещение с лингвальным торком корня.
Фото 5. До операции зуб № 2.6 демонстрировал крутые плоскости бугров и фасетки стираемости.
Фото 6. Окклюзионный вид во время значительной окклюзионной коррекции в рамках протокола лазерного лечения LANAP. В борозде зуба № 2.6 присутствовал локализованный гемодинамически стабильный кровяной сгусток. Тупое рассечение и декортикация кости высвобождают стволовые клетки пациента. Лазерное облучение формирует стабильный кровяной сгусток с живыми жизнеспособными клетками.
Фото 7. Окклюзионный вид подчеркивает значительное уменьшение небного бугра зуба № 2.6.
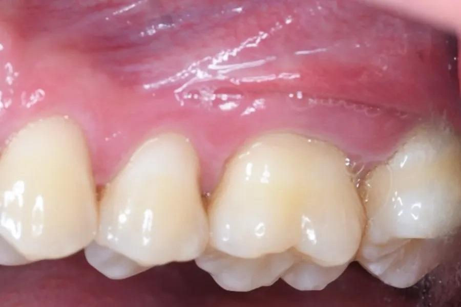
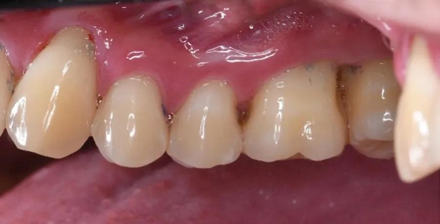
Фото 8 – Фото 11. Шесть месяцев после лечения. Через 6 месяцев после операции (Фото 8) отмечалось улучшение качества тканей и минимальное уменьшение потери клинического прикрепления, на что указывала локализованная вестибулярная рецессия в 2 мм с щечной поверхности зуба № 2.6.
Фото 8 – Фото 11. Шесть месяцев после лечения. Через 6 месяцев после операции (Фото 8) отмечалось улучшение качества тканей и минимальное уменьшение потери клинического прикрепления, на что указывала локализованная вестибулярная рецессия в 2 мм с щечной поверхности зуба № 2.6. Окклюзионный вид (Фото 9) через 6 месяцев после операции.
Фото 8 – Фото 11. Периапикальный рентгеновский снимок (Фото 10) и КЛКТ-изображение (Фото 11) на шестом месяце, показывающие костное наполнение и улучшение плотности в области фуркации в локализации зуба № 2.6.
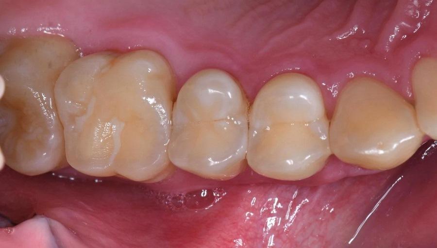
Фото 12 – Фото 15. Двенадцать месяцев после лечения. Через 12 месяцев после операции (Фото 12); обратите внимание на улучшение качества тканей.
Фото 12 – Фото 15. Двенадцать месяцев после лечения. Через 12 месяцев после операции (Фото 12); обратите внимание на улучшение качества тканей. Окклюзию также оценивали через 6 и 12 месяцев после лечения, и при необходимости выполняли коррекцию (Фото 13).
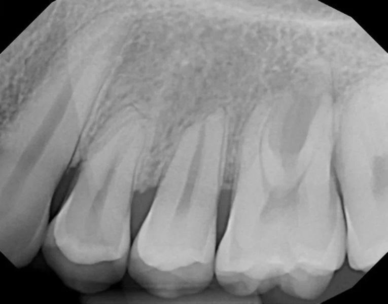
Фото 12 – Фото 15. Двенадцать месяцев после лечения. Через 12 месяцев после операции (Фото 12); обратите внимание на улучшение качества тканей. Окклюзию также оценивали через 6 и 12 месяцев после лечения, и при необходимости выполняли коррекцию (Фото 13). Периапикальный рентгеновский снимок (Фото 14) и КЛКТ-изображение (Фото 15) через 12 месяцев после лечения, показывающие регенерацию кости в области фуркации зуба № 2.6 с продолжающимся улучшением костной плотности. Клиническая глубина зондирования с вестибулярной поверхности зуба № 2.6 улучшилась с 12 мм до 3 мм. Ожидается, что регенерация кости будет продолжать улучшаться до 3 лет после лечения по протоколу LANAP, причем большая часть регенерации происходит в течение первого года.
Ключевые моменты
Несколько этиологических факторов могут способствовать деструкции пародонта и прогрессированию заболевания, особенно в случаях с выраженной потерей костной ткани в области фуркаций. Точная диагностика, исключающая эндодонтическую патологию, является критически важным компонентом комплексной оценки.
Травма от нарушения окклюзии может усугублять течение пародонтологического заболевания.
Протокол LANAP с использованием лазера точно воздействует на пораженную ткань, в то время как окклюзионная коррекция снижает дальнейшее травмирование прикусом, что приводит к истинной регенерации аппарата прикрепления, включая образование нового цемента, периодонтальной связки и кости. Протокол LANAP может выполняться только с использованием свободноимпульсного Nd:YAG лазера PerioLase MVP-7. Его переменная длительность импульса особенно подходит для управления взаимодействием лазера с тканью.
Автор: Andrew Peterson, DMD, MS (частная практика, Калифорния, США)
Протокол LANAP может выполняться только с использованием свободноимпульсного Nd:YAG лазера PerioLase MVP-7. Его переменная длительность импульса особенно подходит для управления взаимодействием лазера с тканью.
Фото 1 и Фото 2. Внеоральный осмотр выявил легкую болезненность в левом ВНЧС; интраоральный осмотр показал тонкий фенотип десны, локализованную рецессию десны и потерю клинического прикрепления. Предоперационные вестибулярный (Фото 1) и окклюзионный (Фото 2) виды показали воспаление десны, минимальную рецессию и глубину зондирования 12 мм с вестибулярной поверхности зуба № 2.6.
Фото 3. Предоперационный периапикальный рентгеновский снимок, показывающий короткие, затупленные корни зубов № 2.4, с апикальной резорбцией корня зуба № 2.5 и дистального щечного корня зуба № 2.6. Отмечалась тесная близость корней зубов №№ 2.6 и 2.7 с умеренным образованием интерпроксимальных кариозных полостей. Рентгенологическое просветление в основном затрагивало фуркацию зуба № 2.6.
Фото 4. Предоперационное КЛКТ-исследование, указывающее на глубокую фуркацию, распространяющуюся на щечную поверхность небного корня зуба № 2.6, отсутствие щечной компактной пластинки и вестибулярное смещение с лингвальным торком корня.
Фото 5. До операции зуб № 2.6 демонстрировал крутые плоскости бугров и фасетки стираемости.
Фото 6. Окклюзионный вид во время значительной окклюзионной коррекции в рамках протокола лазерного лечения LANAP. В борозде зуба № 2.6 присутствовал локализованный гемодинамически стабильный кровяной сгусток. Тупое рассечение и декортикация кости высвобождают стволовые клетки пациента. Лазерное облучение формирует стабильный кровяной сгусток с живыми жизнеспособными клетками.
Фото 7. Окклюзионный вид подчеркивает значительное уменьшение небного бугра зуба № 2.6.
Фото 8 – Фото 11. Шесть месяцев после лечения. Через 6 месяцев после операции (Фото 8) отмечалось улучшение качества тканей и минимальное уменьшение потери клинического прикрепления, на что указывала локализованная вестибулярная рецессия в 2 мм с щечной поверхности зуба № 2.6.
Фото 8 – Фото 11. Шесть месяцев после лечения. Через 6 месяцев после операции (Фото 8) отмечалось улучшение качества тканей и минимальное уменьшение потери клинического прикрепления, на что указывала локализованная вестибулярная рецессия в 2 мм с щечной поверхности зуба № 2.6. Окклюзионный вид (Фото 9) через 6 месяцев после операции.
Фото 8 – Фото 11. Периапикальный рентгеновский снимок (Фото 10) и КЛКТ-изображение (Фото 11) на шестом месяце, показывающие костное наполнение и улучшение плотности в области фуркации в локализации зуба № 2.6.
Фото 12 – Фото 15. Двенадцать месяцев после лечения. Через 12 месяцев после операции (Фото 12); обратите внимание на улучшение качества тканей.
Фото 12 – Фото 15. Двенадцать месяцев после лечения. Через 12 месяцев после операции (Фото 12); обратите внимание на улучшение качества тканей. Окклюзию также оценивали через 6 и 12 месяцев после лечения, и при необходимости выполняли коррекцию (Фото 13).
Фото 12 – Фото 15. Двенадцать месяцев после лечения. Через 12 месяцев после операции (Фото 12); обратите внимание на улучшение качества тканей. Окклюзию также оценивали через 6 и 12 месяцев после лечения, и при необходимости выполняли коррекцию (Фото 13). Периапикальный рентгеновский снимок (Фото 14) и КЛКТ-изображение (Фото 15) через 12 месяцев после лечения, показывающие регенерацию кости в области фуркации зуба № 2.6 с продолжающимся улучшением костной плотности. Клиническая глубина зондирования с вестибулярной поверхности зуба № 2.6 улучшилась с 12 мм до 3 мм. Ожидается, что регенерация кости будет продолжать улучшаться до 3 лет после лечения по протоколу LANAP, причем большая часть регенерации происходит в течение первого года.
Ключевые моменты
Несколько этиологических факторов могут способствовать деструкции пародонта и прогрессированию заболевания, особенно в случаях с выраженной потерей костной ткани в области фуркаций. Точная диагностика, исключающая эндодонтическую патологию, является критически важным компонентом комплексной оценки.
Травма от нарушения окклюзии может усугублять течение пародонтологического заболевания.
Протокол LANAP с использованием лазера точно воздействует на пораженную ткань, в то время как окклюзионная коррекция снижает дальнейшее травмирование прикусом, что приводит к истинной регенерации аппарата прикрепления, включая образование нового цемента, периодонтальной связки и кости. Протокол LANAP может выполняться только с использованием свободноимпульсного Nd:YAG лазера PerioLase MVP-7. Его переменная длительность импульса особенно подходит для управления взаимодействием лазера с тканью.
Автор: Andrew Peterson, DMD, MS (частная практика, Калифорния, США)



0 комментариев