Новости и статьи по метке «передний зуб»
Упрощение немедленной установки имплантата и восстановления в зоне верхних передних зубов
В статье представлен клинический случай, демонстрирующий упрощенный протокол немедленной установки имплантата и последующего восстановления одиночного несостоятельного переднего зуба верхней челюсти.
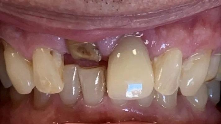
Перелом коронки зуба с повреждением пульпы 21
Исходная ситуация.
Прямая реставрация после травмы переднего зуба
Молодая, но довольно таки совершеннолетняя девушка накануне получила травму (без подробностей), осколок зуба утерян - в противном случае кейс был бы намного проще (я бы его приклеил на место и всё). Зуб остался витальным.
