Обработка пульпы Nd:YAG-лазером для устранения любых бактерий, которые могли привести к инфицированию пульпы и вызвать необходимость эндодонтического лечения.
Прямое покрытие пульпы помогает продлить срок службы больного зуба, сохраняя его жизнеспособность. Этот метод используется уже несколько десятилетий при обнаружении обнажения пульпы во время удаления кариеса, но в литературе говорится о низком уровне успеха. По-видимому, это зависит от того, какой материал используется для прямого покрытия пульпы. В отчетах о клинических случаях и докладах сообщается о лучших долгосрочных результатах применения минерального триоксидного заполнителя MTA и Biodentine (Septodent) по сравнению с гидроксидом кальция.
Причиной инфицирования пульпы и дальнейшим распространением в виде периапикальной патологии является бактериальная инфекция. Таким образом, уничтожение бактерий при контакте с пульпой до ее покрытия способствует устранению возбудителя инфекции. Поскольку дентин представляет собой пористую структуру, состоящую из канальцев, которые, будучи здоровыми, имеют волокна, идущие от пульпы к амелодентинному соединению, эти дентинные канальцы могут быть способом миграции бактерий с поверхности в ткань пульпы. Таким образом несмотря на то, что воздействие на пульпу может быть незаметным, тонкий дентин, покрывающий ткань пульпы после удаления кариеса, следует обрабатывать аналогично прямому воздействию, чтобы предотвратить воспаление пульпы и инфекцию.
Использование лазера в эндодонтическом лечении расширяется и включает в себя лечение воздействия на пульпу для устранения воспаления пульпы и ускорения ее заживления. Накапливаются данные о влиянии применения лазера на непосредственное пломбирование пульпы. Лазеры обладают превосходными характеристиками с точки зрения гемостаза и обеззараживания области применения. Реакция заживления пульпы имеет решающее значение для формирования дентинного мостика, который герметизирует обнажившуюся пульпу. Исследования показали, что лазеры стимулируют обнажение пульпы с образованием третичного дентина, закрывая доступ к нему. Однако после лазерного лечения все еще требуется герметизация открытой пульпы стоматологическим материалом, таким как гидроксид кальция, МТА или биокерамика. Более двух третей исследований, включенных в систематический обзор и метаанализ, показали, что лазерная терапия, используемая в качестве дополнения к прямому пломбированию пульпы, более эффективна в поддержании жизнеспособности пульпы, чем только традиционная терапия. Таким образом, лазерная обработка открытой пульпы может улучшить результаты процедур прямого пломбирования пульпы. Исследования показали эффективность лазеров в уменьшении воспаления, ускорении заживления и увеличении толщины дентинного мостика. Согласно имеющимся данным, лазеры, используемые в сочетании с препаратами для пломбирования пульпы, повышают вероятность успеха жизненно важной терапии пульпы. Сравнение воздействия на пульпу лазером, полученным до пломбирования пульпы, по сравнению с отсутствием лазера показало, что в группе без лазерного облучения воспаление было более выраженным.
Лазерное лечение пульпы
При фотобиомодуляционной терапии используется электромагнитное излучение в видимом диапазоне длины волн (380-700 нм) или в ближнем инфракрасном диапазоне (700-1070 нм), проникающее в твердые и мягкие ткани на глубину 3-15 мм. Лазерная пульпотерапия стимулирует одонтобласты высвобождать третичный дентин и формировать вторичный дентин в месте воздействия на пульпу или поверх тонкого дентина, покрывающего пульпарную ткань. Фотобиомодуляция также может быть полезна для уменьшения воспаления или повреждения пульпы из-за ее биостимулирующей способности, что приводит к повышению комфорта пациента после лечения. Сообщалось, что после прямого пломбирования пульпы Nd:YAG-лазер дает успешные результаты в плане устранения послеоперационной чувствительности.
Пациенты в случаях, показанных в этой статье, проходили лечение с использованием Nd:YAG лазера в режиме непрерывной волны и с длиной волны 1064 нм, энергией 100 МДж, частотой 10 Гц, выходной мощностью 1 Вт и временем действия 60 секунд на расстоянии 1 мм от поверхности зуба и пульпы. После удаления глубокого кариеса и любого имеющегося реставрационного материала, остаточный кариес может присутствовать на поверхности препарирования либо в непосредственной близости от пульпы, либо при наличии небольшого обнажения пульпы (фото 1a). Лазерное лечение проводится для удаления остаточных образований кариеса на поверхности зубов и для того, чтобы избежать обнажения пульпы или увеличения любых имеющихся незначительных образований (фото 1b). Результатом является уничтожение бактерий в дентинных канальцах, которые могут привести к патологии пульпы, а также гемостаз при любом незначительном воздействии пульпы и подготовка поверхности к непосредственному бондингу (фото 1c).
Фото 1a–c: Пример лазерного лечения для удаления остаточного кариеса после препарирования полости стандартными борами. Отмечен кариес на дне пульпы и небольшое обнажение пульпы (a). Использование Nd:YAG лазера (b). Полученное в результате препарирования дно готово к нанесению прямой реставрации смолой (c).
Клинический случай 1
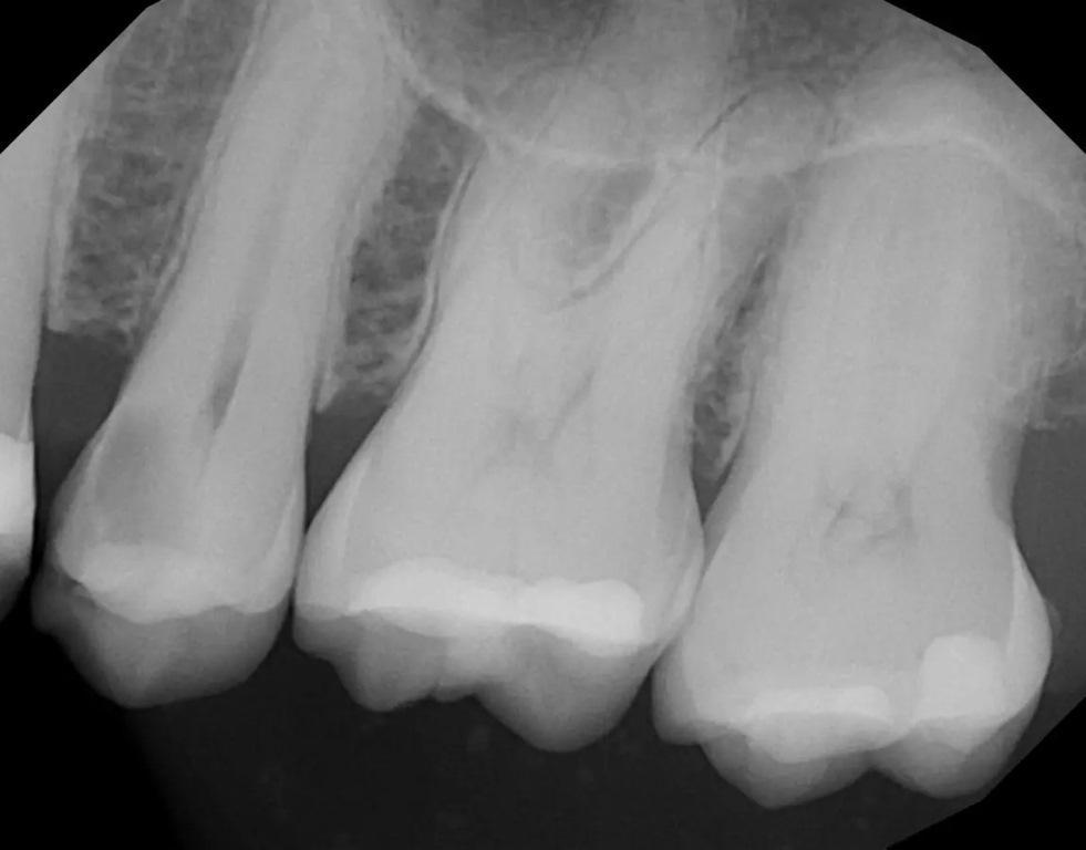
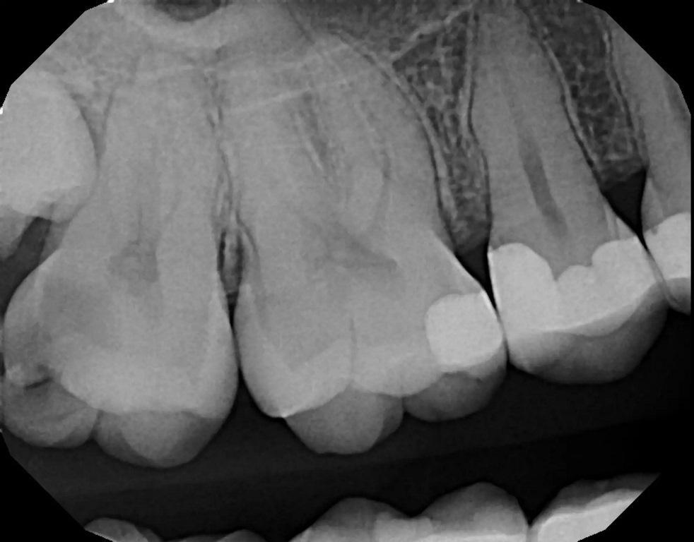
57-летний пациент обратился с жалобами на повышенную чувствительность к температуре в левом квадранте верхней челюсти. Был сделан рентгеновский снимок (фото 2), на котором был отмечен глубокий кариес на втором премоляре с возможным вовлечением пульпы. Периапикальная патология рентгенологически не была отмечена. Чтобы убедиться в жизнеспособности пульпы зуб подвергли испытанию холодом (фриз-тест). При проведении фриз-теста была отмечена слабая реакция, которая немедленно прошла, когда холод был удален с зуба, что указывало на то, что зуб был жизненно важным. Пациенту сообщили, что может потребоваться эндодонтическое лечение, если в результате удаления кариеса произойдет значительное обнажение пульпы или у зуба появятся симптомы после лечения. Если обнаруживается небольшое обнажение пульпы или в результате удаления кариеса дентин над пульпой становится тонким, перед установкой культевой вкладки следует провести лазерную обработку, чтобы стерилизовать область и избежать развития пульпита. Для этого зуба планировалось установить культевую вкладку и полную коронку. Пациент принял рекомендации по лечению.
Фото 2: Периапикальная рентгенограмма зуба №25, на которой виден кариес в непосредственной близости от пульпарной ткани.
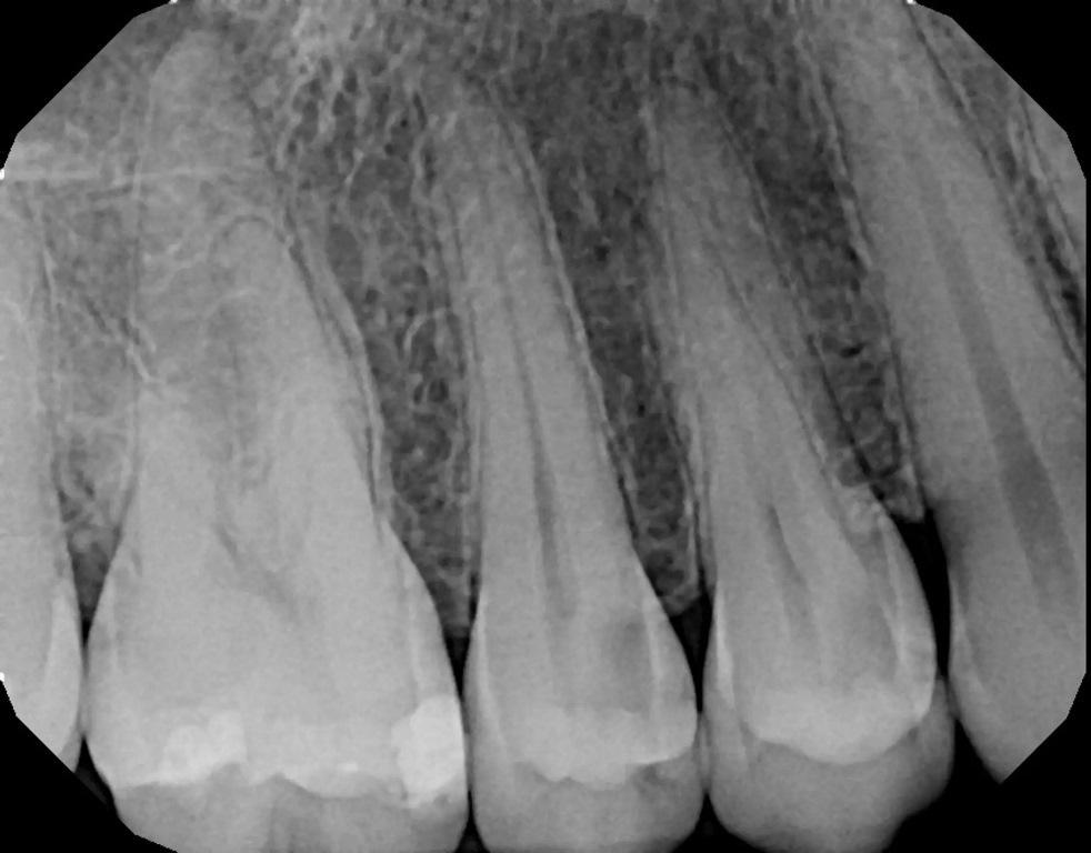
В буккальное преддверие, прилегающее к подлежащему лечению зубу, ввели местный анестетик. В высокоскоростном наконечнике использовались твердосплавные и алмазные боры с водой для доступа к кариесу и его удаления, оставляя слой на пульпе (фото 3). Затем с помощью круглого бора № 4 с медленным вращением наконечника удаляли оставшийся пораженный дентин до тех пор, пока не сохранилась здоровая структура зуба (фото 4). Последним было удалено небольшое пятно пораженного кожистого дентина над пульпой, в результате чего обнажилась пульпа (фото 5).
Фото 3: Пораженный дентин, заметный в области пульпы после удаления кариеса с мезиальной и окклюзионной сторон.
Фото 4: Пораженный кожистый дентин над областью пульпы с мезиальной стороны.
Фото 5: Небольшое обнажение пульпы, отмеченное мезиально после тщательного удаления пораженного дентина.
Сразу после контакта с пульпой, использовался Nd:YAG-лазер в режиме абляции (4,6 Вт, 100 мкс, 230 МДж, 20 Гц) на область воздействия при 50-75 Дж, чтобы остановить кровотечение и закрыть область воздействия, не проникая в пульпарную камеру более чем на 3 мм (фото 6). Затем на тех же настройках лазер использовался с мощностью 162 Дж для стерилизации окружающих структур зуба и биостимуляции для активации стволовых клеток, повышения репаративной активности дентина и снижения уровня простагландинов в послеоперационном периоде. Когда обработанный участок зуба был стерильным, перед нанесением покрытия на дентин и пульпу были приняты меры по предотвращению загрязнения. Сразу использовали небольшое количество стеклоиономерного цемента GC FujiCEM (GC America, фото 7). Затем была выполнена реконструкция культи зуба с использованием смолы RelyX Unicem (3M ESPE) на окружающих здоровых участках зуба для обеспечения хорошего сцепления между материалом культи и дентином. Подготовка коронки была завершена (фото 8). С помощью сканера TRIOS (3Shape) был снят цифровой слепок, изготовлена временная коронка и зацементирована с помощью цинкоксидэвгенольного цемента IRM (Dentsply Sirona). Окончательная коронка была установлена и закреплена через две недели, пациент сообщил об отсутствии чувствительности, так как лечение проводилось при воздействии пульпы.
Фото 6: Обработка пульпы с помощью Nd:YAG-лазера для устранения любых бактерий, которые могли привести к инфицированию пульпы и потребовали бы эндодонтического лечения.
Фото 7: Установка стержня из смолы RelyX Unicem поверх коронки GC FujiCEM, предназначенной для покрытия обнажения пульпы, при подготовке к установке коронки.
Фото 8: Завершенная подготовка коронки и культевая вкладка на мезиальной поверхности, защищающей поверхность пульпы.
Через четыре недели пациента пригласили на повторный осмотр и на периапикальную рентгенограмму (фото 9). Периапикальная рентгенопрозрачность не была отмечена, и пациент продолжал сообщать об отсутствии чувствительности к температуре или окклюзии, что указывает на успешное лазерное лечение пульпарного поражения.
Фото 9: Периапикальная рентгенограмма, сделанная через четыре недели после установки реставрации, демонстрирует отсутствие периапикальной патологии.
Клинический случай 2
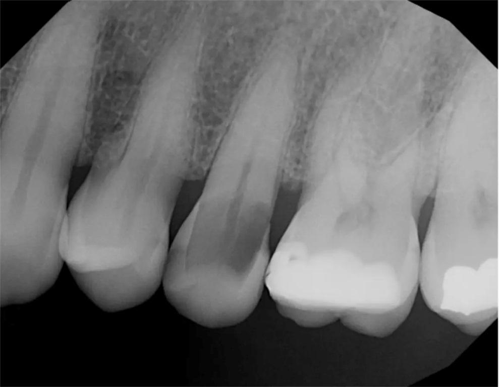
34-летняя пациентка обратилась с жалобами на болевую и температурную чувствительность в задней правой части верхней челюсти. При клиническом обследовании был выявлен кариес на дистальной стороне второго моляра, и была сделана периапикальная рентгенограмма (фото 10). Рентгенологически был подтвержден глубокий кариес на дистоокклюзионном участке зуба №17, который находился очень близко к пульпе. Периапикальной патологии не наблюдалось. Чтобы убедиться в жизнеспособности пульпы зуб подвергли испытанию холодом (фриз-тест). При проведении фриз-теста была отмечена слабая реакция, которая немедленно прошла, когда холод был удален с зуба, что указывало на то, что зуб был жизненно важным. Пациентке сообщили, что в результате удаления кариеса скорее всего, произойдет обнажение пульпы, и поэтому может потребоваться эндодонтическое лечение. Либо же оно будет необходимо позже после лечения пульпы. Лечение будет состоять из лазерной обработки пульпы, если не возникнет большого воздействия, с последующим восстановлением культи зуба и реставрацией полной коронкой. Пациентка согласилась на рекомендованное лечение.
Фото 10: Периапикальная рентгенограмма, сделанная до операции, демонстрирует глубокий кариес с дистально-окклюзионной стороны и минимальное количество зубной субстанции над пульпой.
В буккальном преддверии ввели местный анестетик. Кариес и пораженная структура зуба были удалены с помощью твердосплавных и алмазных боров. Обнажения пульпы не наблюдалось, но была отмечена тонкая структура зуба, покрывающая пульпу (фото 11). Nd:YAG-лазер был настроен на абляцию и воздействовал на область над тонким слоем дентина, покрывающим пульпу, при 50-75 Дж. Затем лазер использовался на той же мощности до 162 Дж для стерилизации окружающих структур зуба и для биостимуляции, как описано в предыдущем случае. Для покрытия нижележащей пульпы было нанесено небольшое количество стеклоиономерного цемента GC FujiCEM. Затем на окружающую здоровую структуру зуба было нанесено покрытие из смолы RelyX Unicem, чтобы обеспечить хорошее сцепление материала культи с дентином. Подготовка коронки на зуб была завершена. Был сделан слепок, изготовлена временная коронка и зацементирована с помощью цинкоксидэвгенольного цемента IRM (Dentsply Sirona). Пациентка вернулась для завершения установки коронки через две недели и сообщила в период, прошедший с момента ее предыдущего обращения чувствительности, не наблюдала. Временная коронка была снята, на окончательная коронка была установлена с помощью самоадгезивного композитного цемента RelyX Unicem, проверена и скорректирована окклюзия.
Фото 11: Пульпарная ткань видна под тонким слоем дентина после удаления кариеса.
На повторном плановом профилактическом приеме через пять лет была сделана периапикальная рентгенограмма (фото 12). Как было отмечено на предыдущих контрольных рентгенограммах, периапикальная рентгенопрозрачность отсутствовала, что свидетельствует об успешном лазерном лечении в предотвращении периапикальной патологии и инфекции пульпы.
Фото 12: Периапикальная рентгенограмма, сделанная через пять лет после лазерного удаления пульпы и реставрации зуба, не выявила периапикальной патологии.
Клинический случай 3
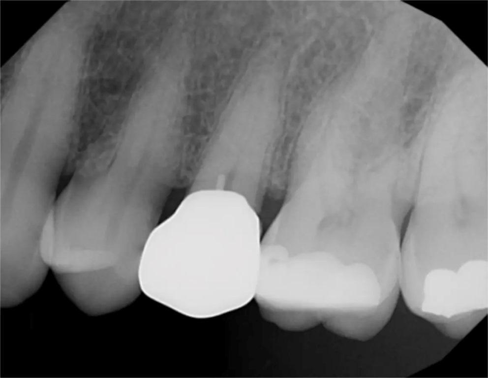
53-летня пациентка обратилась с жалобой на боль в левом квадранте верхней челюсти. Клиническое обследование выявило отсутствие лингвального бугорка на втором премоляре, а также кариес. Была сделана периапикальная рентгенограмма (фото 13). Глубокий кариес был подтвержден рентгенологически, и большая часть коронки была рентгенопрозрачной, что указывало на обширный кариес. Рентгенологически можно было различить контуры коронковой пульпы, но было отмечено отсутствие периапикальной патологии. Чтобы убедиться в жизнеспособности пульпы зуб подвергли испытанию холодом (фриз-тест). При проведении фриз-теста была отмечена слабая реакция, которая немедленно прошла, когда холод был удален с зуба, что указывало на то, что зуб был жизненно важным. Пациентке сообщили, что в результате удаления кариеса ожидается обнажение пульпы и потребуется эндодонтическое лечение. После предполагаемого эндодонтического лечения в зуб будет установлена штифтовая культевая вкладка и будет реставрация полной коронкой. Пациентка согласилась на рекомендованное лечение.
Фото 13: Периапикальная рентгенограмма, демонстрирующая обширный кариес на зубе №25 и отсутствие периапикальной патологии.
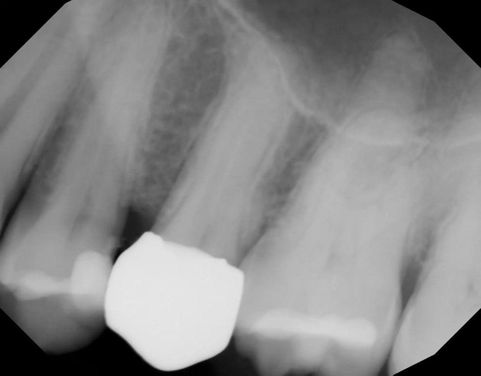
В буккальном преддверии ввели местный анестетик. Кариес и пораженная структура зуба были удалены с помощью твердосплавных и алмазных боров. Было отмечено очень небольшое обнажение пульпы (фото 14). После обсуждения с пациенткой вариантов немедленного эндодонтического лечения или лазерной обработки обнажения и установка вкладки с последующей установкой коронки (при условии, что в течение следующих нескольких недель не возникнет никаких симптомов), пациентка выбрала лазерное лечение пульпы. Nd:YAG-лазером в режиме абляции была проведена лазерная обработка поверхности пульпы после удаления кариеса при 50-75 Дж (фото 15). Затем в тех же настройках использовали лазер мощностью до 162 Дж для стерилизации окружающих структур зуба и биостимуляции, как описано в двух предыдущих клинических случаях. С лингвальной стороны в дентин был введен стабилизирующий штифт, чтобы помочь стабилизировать образование вкладки. Для покрытия нижележащей пульпы было нанесено небольшое количество стеклоиономерного цемента GC FujiCEM. Затем на окружающую здоровую структуру зуба был нанесен самоадгезивный композитный цемент RelyX Unicem (3M ESPE), чтобы обеспечить хорошее сцепление материала культи с дентином (фото 16). Подготовка коронки была завершена. Был сделан слепок, изготовлена временная коронка и зацементирована с помощью цинкоксидэвгенольного цемента IRM (Dentsply Sirona). Пациентка вернулась для послеоперационного осмотра зуба через неделю и сообщила об отсутствии какой-либо чувствительности к температуре или окклюзии временной коронки. Слепок был отправлен в лабораторию для изготовления коронки. Затем, через две недели, пациентка вернулась для окончательной установки коронки и по-прежнему отмечала отсутствие чувствительности. Временная коронка была снята, на окончательная коронка была установлена с помощью самоадгезивного композитного цемента RelyX Unicem, проверена и скорректирована окклюзия.
Фото 14: Обнажение пульпы после удаления кариеса.
Фото 15: Лазерная обработка поверхности пульпы после удаления кариеса.
Фото 16: Установка культевой вкладки и подготовка коронки.
На повторном осмотре после лазерного лечения пациентка еще раз подтвердила отсутствие чувствительности к температуре или окклюзии. Была сделана периапикальная рентгенограмма, на которой не было отмечено рентгенопрозрачности периапикальной области, что указывает на то, что лазерная обработка пульпы успешно помогла избежать эндодонтического лечения (фото 17).
Фото 17: Периапикальная рентгенограмма через четыре недели после лазерного лечения и реставрации зуба, демонстрирующая отсутствие периапикальной патологии с момента завершения лечения.
Клинический случай 4
29-летняя пациентка обратилась с жалобой на чувствительность в правом квадранте верхней челюсти и попросила дать повторное заключение о возможной необходимости эндодонтического лечения, которое в связи с глубоким кариесом рекомендовал ее предыдущий стоматолог. Она сообщила о чувствительности второго премоляра к горячему и холодному, а также о сохраняющейся чувствительности второго премоляра к холоду. Была сделана периапикальная рентгенограмма, которая показала кариес на зубах №15 и 14 с мезио-окклюзионной стороны, а у зуба №15 в непосредственной близости от пульпы. Периапикальной патологии отмечено не было (фото 18). Пациентка была проинформирована о возможной необходимости эндодонтического лечения и о том, что это будет определено после удаления кариеса и в случае обнаружения обнажения пульпы. При отсутствии контакта с пульпой можно провести лазерное удаление пульпы и восстановить зуб, но более поздние проявления повышенной чувствительности зубов могут указывать на необходимость эндодонтического лечения. Пациентка согласилась продолжить лечение.
Фото 18: Первичная периапикальная рентгенограмма, демонстрирующая кариес с мезио-окклюзионной стороны зубов №15 и 14 и отсутствие периапикальной патологии.
Была введена местная анестезия, и зуб был изолирован. Кариес был удален с зуба №15 с помощью алмазного бора на высокоскоростном наконечнике, и была отмечена непосредственная близость кариеса к пульпе. Однако обнажения пульпы отмечено не было. Лазерная терапия пульпы Nd:YAG-лазером проводилась в режиме абляции, при этом энергия 87 Дж подавалась непосредственно на зуб. Для покрытия нижележащей пульпы было нанесено небольшое количество стеклоиономерного цемента GC FujiCEM. Как описано в предыдущих случаях, на зубы №15 и 14 были установлены вкладки и выполнена подготовка коронки. Был сделан слепок, изготовлена временная коронка и зацементирована с помощью цинкоксидэвгенольного цемента IRM (Dentsply Sirona). Пациентка вернулась для послеоперационного осмотра зуба через неделю и сообщил об отсутствии какой-либо чувствительности к температуре или окклюзии временной коронки. Слепок был отправлен в лабораторию для изготовления окончательных коронок. Коронки были установлены на следующем приеме, и пациентка еще раз подтвердила отсутствие чувствительности этих зубов.
На плановых профилактических осмотрах пациентка продолжала подтверждать отсутствие чувствительности в правом квадранте верхней челюсти. Через пять лет после лечения периапикальная рентгенограмма продемонстрировала отсутствие периапикальной патологии (фото 19).
Фото 19: Периапикальная рентгенограмма через пять лет после лазерной пломбировки пульпы и реставрации зуба №15, демонстрирующая отсутствие периапикальной патологии.
Заключение
Когда воздействие пульпы минимально или слой дентина, покрывающий пульпу, минимален, но зуб жизненно важен и нет заметной периапикальной рентгенопрозрачности, лазерная обработка пульпы является альтернативой эндодонтическому лечению. Лечение Nd:YAG лазером стерилизует открытую пульпу или дентинные канальцы, уничтожая бактерии, которые могут привести к инфекции в пульпарной ткани. Кроме того, это помогает свести к минимуму воспаление пульпы и, таким образом, снять боль. Биостимулирующий эффект приводит к тому, что одонтобласты пульпы образуют вторичный дентин для дальнейшей защиты нижележащей ткани пульпы. В показанных случаях у каждого из пациентов на рентгенограммах был обнаружен кариес в непосредственной близости от пульпарной ткани. Как правило, в таких случаях изначально планируется эндодонтическое лечение. В качестве альтернативы, поскольку после обследования зубы оказались жизнеспособными и периапикальной патологии не выявлено, с разрешения пациентов в качестве альтернативного метода лечения была выбрана лазерная пломбировка пульпы. В каждом из случаев пациенты отмечали отсутствие какой-либо чувствительности к температурным изменениям и окклюзии на этих зубах в течение длительного периода наблюдения, что подтверждает ценность лазерной пломбировки пульпы в таких случаях.
Авторы:
Dr Randy McCormick
Dr Gregori M. Kurtzman
Обработка пульпы Nd:YAG-лазером для устранения любых бактерий, которые могли привести к инфицированию пульпы и вызвать необходимость эндодонтического лечения.
Прямое покрытие пульпы помогает продлить срок службы больного зуба, сохраняя его жизнеспособность. Этот метод используется уже несколько десятилетий при обнаружении обнажения пульпы во время удаления кариеса, но в литературе говорится о низком уровне успеха. По-видимому, это зависит от того, какой материал используется для прямого покрытия пульпы. В отчетах о клинических случаях и докладах сообщается о лучших долгосрочных результатах применения минерального триоксидного заполнителя MTA и Biodentine (Septodent) по сравнению с гидроксидом кальция.
Причиной инфицирования пульпы и дальнейшим распространением в виде периапикальной патологии является бактериальная инфекция. Таким образом, уничтожение бактерий при контакте с пульпой до ее покрытия способствует устранению возбудителя инфекции. Поскольку дентин представляет собой пористую структуру, состоящую из канальцев, которые, будучи здоровыми, имеют волокна, идущие от пульпы к амелодентинному соединению, эти дентинные канальцы могут быть способом миграции бактерий с поверхности в ткань пульпы. Таким образом несмотря на то, что воздействие на пульпу может быть незаметным, тонкий дентин, покрывающий ткань пульпы после удаления кариеса, следует обрабатывать аналогично прямому воздействию, чтобы предотвратить воспаление пульпы и инфекцию.
Использование лазера в эндодонтическом лечении расширяется и включает в себя лечение воздействия на пульпу для устранения воспаления пульпы и ускорения ее заживления. Накапливаются данные о влиянии применения лазера на непосредственное пломбирование пульпы. Лазеры обладают превосходными характеристиками с точки зрения гемостаза и обеззараживания области применения. Реакция заживления пульпы имеет решающее значение для формирования дентинного мостика, который герметизирует обнажившуюся пульпу. Исследования показали, что лазеры стимулируют обнажение пульпы с образованием третичного дентина, закрывая доступ к нему. Однако после лазерного лечения все еще требуется герметизация открытой пульпы стоматологическим материалом, таким как гидроксид кальция, МТА или биокерамика. Более двух третей исследований, включенных в систематический обзор и метаанализ, показали, что лазерная терапия, используемая в качестве дополнения к прямому пломбированию пульпы, более эффективна в поддержании жизнеспособности пульпы, чем только традиционная терапия. Таким образом, лазерная обработка открытой пульпы может улучшить результаты процедур прямого пломбирования пульпы. Исследования показали эффективность лазеров в уменьшении воспаления, ускорении заживления и увеличении толщины дентинного мостика. Согласно имеющимся данным, лазеры, используемые в сочетании с препаратами для пломбирования пульпы, повышают вероятность успеха жизненно важной терапии пульпы. Сравнение воздействия на пульпу лазером, полученным до пломбирования пульпы, по сравнению с отсутствием лазера показало, что в группе без лазерного облучения воспаление было более выраженным.
Лазерное лечение пульпы
При фотобиомодуляционной терапии используется электромагнитное излучение в видимом диапазоне длины волн (380-700 нм) или в ближнем инфракрасном диапазоне (700-1070 нм), проникающее в твердые и мягкие ткани на глубину 3-15 мм. Лазерная пульпотерапия стимулирует одонтобласты высвобождать третичный дентин и формировать вторичный дентин в месте воздействия на пульпу или поверх тонкого дентина, покрывающего пульпарную ткань. Фотобиомодуляция также может быть полезна для уменьшения воспаления или повреждения пульпы из-за ее биостимулирующей способности, что приводит к повышению комфорта пациента после лечения. Сообщалось, что после прямого пломбирования пульпы Nd:YAG-лазер дает успешные результаты в плане устранения послеоперационной чувствительности.
Пациенты в случаях, показанных в этой статье, проходили лечение с использованием Nd:YAG лазера в режиме непрерывной волны и с длиной волны 1064 нм, энергией 100 МДж, частотой 10 Гц, выходной мощностью 1 Вт и временем действия 60 секунд на расстоянии 1 мм от поверхности зуба и пульпы. После удаления глубокого кариеса и любого имеющегося реставрационного материала, остаточный кариес может присутствовать на поверхности препарирования либо в непосредственной близости от пульпы, либо при наличии небольшого обнажения пульпы (фото 1a). Лазерное лечение проводится для удаления остаточных образований кариеса на поверхности зубов и для того, чтобы избежать обнажения пульпы или увеличения любых имеющихся незначительных образований (фото 1b). Результатом является уничтожение бактерий в дентинных канальцах, которые могут привести к патологии пульпы, а также гемостаз при любом незначительном воздействии пульпы и подготовка поверхности к непосредственному бондингу (фото 1c).
Фото 1a–c: Пример лазерного лечения для удаления остаточного кариеса после препарирования полости стандартными борами. Отмечен кариес на дне пульпы и небольшое обнажение пульпы (a). Использование Nd:YAG лазера (b). Полученное в результате препарирования дно готово к нанесению прямой реставрации смолой (c).
Клинический случай 1
57-летний пациент обратился с жалобами на повышенную чувствительность к температуре в левом квадранте верхней челюсти. Был сделан рентгеновский снимок (фото 2), на котором был отмечен глубокий кариес на втором премоляре с возможным вовлечением пульпы. Периапикальная патология рентгенологически не была отмечена. Чтобы убедиться в жизнеспособности пульпы зуб подвергли испытанию холодом (фриз-тест). При проведении фриз-теста была отмечена слабая реакция, которая немедленно прошла, когда холод был удален с зуба, что указывало на то, что зуб был жизненно важным. Пациенту сообщили, что может потребоваться эндодонтическое лечение, если в результате удаления кариеса произойдет значительное обнажение пульпы или у зуба появятся симптомы после лечения. Если обнаруживается небольшое обнажение пульпы или в результате удаления кариеса дентин над пульпой становится тонким, перед установкой культевой вкладки следует провести лазерную обработку, чтобы стерилизовать область и избежать развития пульпита. Для этого зуба планировалось установить культевую вкладку и полную коронку. Пациент принял рекомендации по лечению.
Фото 2: Периапикальная рентгенограмма зуба №25, на которой виден кариес в непосредственной близости от пульпарной ткани.
В буккальное преддверие, прилегающее к подлежащему лечению зубу, ввели местный анестетик. В высокоскоростном наконечнике использовались твердосплавные и алмазные боры с водой для доступа к кариесу и его удаления, оставляя слой на пульпе (фото 3). Затем с помощью круглого бора № 4 с медленным вращением наконечника удаляли оставшийся пораженный дентин до тех пор, пока не сохранилась здоровая структура зуба (фото 4). Последним было удалено небольшое пятно пораженного кожистого дентина над пульпой, в результате чего обнажилась пульпа (фото 5).
Фото 3: Пораженный дентин, заметный в области пульпы после удаления кариеса с мезиальной и окклюзионной сторон.
Фото 4: Пораженный кожистый дентин над областью пульпы с мезиальной стороны.
Фото 5: Небольшое обнажение пульпы, отмеченное мезиально после тщательного удаления пораженного дентина.
Сразу после контакта с пульпой, использовался Nd:YAG-лазер в режиме абляции (4,6 Вт, 100 мкс, 230 МДж, 20 Гц) на область воздействия при 50-75 Дж, чтобы остановить кровотечение и закрыть область воздействия, не проникая в пульпарную камеру более чем на 3 мм (фото 6). Затем на тех же настройках лазер использовался с мощностью 162 Дж для стерилизации окружающих структур зуба и биостимуляции для активации стволовых клеток, повышения репаративной активности дентина и снижения уровня простагландинов в послеоперационном периоде. Когда обработанный участок зуба был стерильным, перед нанесением покрытия на дентин и пульпу были приняты меры по предотвращению загрязнения. Сразу использовали небольшое количество стеклоиономерного цемента GC FujiCEM (GC America, фото 7). Затем была выполнена реконструкция культи зуба с использованием смолы RelyX Unicem (3M ESPE) на окружающих здоровых участках зуба для обеспечения хорошего сцепления между материалом культи и дентином. Подготовка коронки была завершена (фото 8). С помощью сканера TRIOS (3Shape) был снят цифровой слепок, изготовлена временная коронка и зацементирована с помощью цинкоксидэвгенольного цемента IRM (Dentsply Sirona). Окончательная коронка была установлена и закреплена через две недели, пациент сообщил об отсутствии чувствительности, так как лечение проводилось при воздействии пульпы.
Фото 6: Обработка пульпы с помощью Nd:YAG-лазера для устранения любых бактерий, которые могли привести к инфицированию пульпы и потребовали бы эндодонтического лечения.
Фото 7: Установка стержня из смолы RelyX Unicem поверх коронки GC FujiCEM, предназначенной для покрытия обнажения пульпы, при подготовке к установке коронки.
Фото 8: Завершенная подготовка коронки и культевая вкладка на мезиальной поверхности, защищающей поверхность пульпы.
Через четыре недели пациента пригласили на повторный осмотр и на периапикальную рентгенограмму (фото 9). Периапикальная рентгенопрозрачность не была отмечена, и пациент продолжал сообщать об отсутствии чувствительности к температуре или окклюзии, что указывает на успешное лазерное лечение пульпарного поражения.
Фото 9: Периапикальная рентгенограмма, сделанная через четыре недели после установки реставрации, демонстрирует отсутствие периапикальной патологии.
Клинический случай 2
34-летняя пациентка обратилась с жалобами на болевую и температурную чувствительность в задней правой части верхней челюсти. При клиническом обследовании был выявлен кариес на дистальной стороне второго моляра, и была сделана периапикальная рентгенограмма (фото 10). Рентгенологически был подтвержден глубокий кариес на дистоокклюзионном участке зуба №17, который находился очень близко к пульпе. Периапикальной патологии не наблюдалось. Чтобы убедиться в жизнеспособности пульпы зуб подвергли испытанию холодом (фриз-тест). При проведении фриз-теста была отмечена слабая реакция, которая немедленно прошла, когда холод был удален с зуба, что указывало на то, что зуб был жизненно важным. Пациентке сообщили, что в результате удаления кариеса скорее всего, произойдет обнажение пульпы, и поэтому может потребоваться эндодонтическое лечение. Либо же оно будет необходимо позже после лечения пульпы. Лечение будет состоять из лазерной обработки пульпы, если не возникнет большого воздействия, с последующим восстановлением культи зуба и реставрацией полной коронкой. Пациентка согласилась на рекомендованное лечение.
Фото 10: Периапикальная рентгенограмма, сделанная до операции, демонстрирует глубокий кариес с дистально-окклюзионной стороны и минимальное количество зубной субстанции над пульпой.
В буккальном преддверии ввели местный анестетик. Кариес и пораженная структура зуба были удалены с помощью твердосплавных и алмазных боров. Обнажения пульпы не наблюдалось, но была отмечена тонкая структура зуба, покрывающая пульпу (фото 11). Nd:YAG-лазер был настроен на абляцию и воздействовал на область над тонким слоем дентина, покрывающим пульпу, при 50-75 Дж. Затем лазер использовался на той же мощности до 162 Дж для стерилизации окружающих структур зуба и для биостимуляции, как описано в предыдущем случае. Для покрытия нижележащей пульпы было нанесено небольшое количество стеклоиономерного цемента GC FujiCEM. Затем на окружающую здоровую структуру зуба было нанесено покрытие из смолы RelyX Unicem, чтобы обеспечить хорошее сцепление материала культи с дентином. Подготовка коронки на зуб была завершена. Был сделан слепок, изготовлена временная коронка и зацементирована с помощью цинкоксидэвгенольного цемента IRM (Dentsply Sirona). Пациентка вернулась для завершения установки коронки через две недели и сообщила в период, прошедший с момента ее предыдущего обращения чувствительности, не наблюдала. Временная коронка была снята, на окончательная коронка была установлена с помощью самоадгезивного композитного цемента RelyX Unicem, проверена и скорректирована окклюзия.
Фото 11: Пульпарная ткань видна под тонким слоем дентина после удаления кариеса.
На повторном плановом профилактическом приеме через пять лет была сделана периапикальная рентгенограмма (фото 12). Как было отмечено на предыдущих контрольных рентгенограммах, периапикальная рентгенопрозрачность отсутствовала, что свидетельствует об успешном лазерном лечении в предотвращении периапикальной патологии и инфекции пульпы.
Фото 12: Периапикальная рентгенограмма, сделанная через пять лет после лазерного удаления пульпы и реставрации зуба, не выявила периапикальной патологии.
Клинический случай 3
53-летня пациентка обратилась с жалобой на боль в левом квадранте верхней челюсти. Клиническое обследование выявило отсутствие лингвального бугорка на втором премоляре, а также кариес. Была сделана периапикальная рентгенограмма (фото 13). Глубокий кариес был подтвержден рентгенологически, и большая часть коронки была рентгенопрозрачной, что указывало на обширный кариес. Рентгенологически можно было различить контуры коронковой пульпы, но было отмечено отсутствие периапикальной патологии. Чтобы убедиться в жизнеспособности пульпы зуб подвергли испытанию холодом (фриз-тест). При проведении фриз-теста была отмечена слабая реакция, которая немедленно прошла, когда холод был удален с зуба, что указывало на то, что зуб был жизненно важным. Пациентке сообщили, что в результате удаления кариеса ожидается обнажение пульпы и потребуется эндодонтическое лечение. После предполагаемого эндодонтического лечения в зуб будет установлена штифтовая культевая вкладка и будет реставрация полной коронкой. Пациентка согласилась на рекомендованное лечение.
Фото 13: Периапикальная рентгенограмма, демонстрирующая обширный кариес на зубе №25 и отсутствие периапикальной патологии.
В буккальном преддверии ввели местный анестетик. Кариес и пораженная структура зуба были удалены с помощью твердосплавных и алмазных боров. Было отмечено очень небольшое обнажение пульпы (фото 14). После обсуждения с пациенткой вариантов немедленного эндодонтического лечения или лазерной обработки обнажения и установка вкладки с последующей установкой коронки (при условии, что в течение следующих нескольких недель не возникнет никаких симптомов), пациентка выбрала лазерное лечение пульпы. Nd:YAG-лазером в режиме абляции была проведена лазерная обработка поверхности пульпы после удаления кариеса при 50-75 Дж (фото 15). Затем в тех же настройках использовали лазер мощностью до 162 Дж для стерилизации окружающих структур зуба и биостимуляции, как описано в двух предыдущих клинических случаях. С лингвальной стороны в дентин был введен стабилизирующий штифт, чтобы помочь стабилизировать образование вкладки. Для покрытия нижележащей пульпы было нанесено небольшое количество стеклоиономерного цемента GC FujiCEM. Затем на окружающую здоровую структуру зуба был нанесен самоадгезивный композитный цемент RelyX Unicem (3M ESPE), чтобы обеспечить хорошее сцепление материала культи с дентином (фото 16). Подготовка коронки была завершена. Был сделан слепок, изготовлена временная коронка и зацементирована с помощью цинкоксидэвгенольного цемента IRM (Dentsply Sirona). Пациентка вернулась для послеоперационного осмотра зуба через неделю и сообщила об отсутствии какой-либо чувствительности к температуре или окклюзии временной коронки. Слепок был отправлен в лабораторию для изготовления коронки. Затем, через две недели, пациентка вернулась для окончательной установки коронки и по-прежнему отмечала отсутствие чувствительности. Временная коронка была снята, на окончательная коронка была установлена с помощью самоадгезивного композитного цемента RelyX Unicem, проверена и скорректирована окклюзия.
Фото 14: Обнажение пульпы после удаления кариеса.
Фото 15: Лазерная обработка поверхности пульпы после удаления кариеса.
Фото 16: Установка культевой вкладки и подготовка коронки.
На повторном осмотре после лазерного лечения пациентка еще раз подтвердила отсутствие чувствительности к температуре или окклюзии. Была сделана периапикальная рентгенограмма, на которой не было отмечено рентгенопрозрачности периапикальной области, что указывает на то, что лазерная обработка пульпы успешно помогла избежать эндодонтического лечения (фото 17).
Фото 17: Периапикальная рентгенограмма через четыре недели после лазерного лечения и реставрации зуба, демонстрирующая отсутствие периапикальной патологии с момента завершения лечения.
Клинический случай 4
29-летняя пациентка обратилась с жалобой на чувствительность в правом квадранте верхней челюсти и попросила дать повторное заключение о возможной необходимости эндодонтического лечения, которое в связи с глубоким кариесом рекомендовал ее предыдущий стоматолог. Она сообщила о чувствительности второго премоляра к горячему и холодному, а также о сохраняющейся чувствительности второго премоляра к холоду. Была сделана периапикальная рентгенограмма, которая показала кариес на зубах №15 и 14 с мезио-окклюзионной стороны, а у зуба №15 в непосредственной близости от пульпы. Периапикальной патологии отмечено не было (фото 18). Пациентка была проинформирована о возможной необходимости эндодонтического лечения и о том, что это будет определено после удаления кариеса и в случае обнаружения обнажения пульпы. При отсутствии контакта с пульпой можно провести лазерное удаление пульпы и восстановить зуб, но более поздние проявления повышенной чувствительности зубов могут указывать на необходимость эндодонтического лечения. Пациентка согласилась продолжить лечение.
Фото 18: Первичная периапикальная рентгенограмма, демонстрирующая кариес с мезио-окклюзионной стороны зубов №15 и 14 и отсутствие периапикальной патологии.
Была введена местная анестезия, и зуб был изолирован. Кариес был удален с зуба №15 с помощью алмазного бора на высокоскоростном наконечнике, и была отмечена непосредственная близость кариеса к пульпе. Однако обнажения пульпы отмечено не было. Лазерная терапия пульпы Nd:YAG-лазером проводилась в режиме абляции, при этом энергия 87 Дж подавалась непосредственно на зуб. Для покрытия нижележащей пульпы было нанесено небольшое количество стеклоиономерного цемента GC FujiCEM. Как описано в предыдущих случаях, на зубы №15 и 14 были установлены вкладки и выполнена подготовка коронки. Был сделан слепок, изготовлена временная коронка и зацементирована с помощью цинкоксидэвгенольного цемента IRM (Dentsply Sirona). Пациентка вернулась для послеоперационного осмотра зуба через неделю и сообщил об отсутствии какой-либо чувствительности к температуре или окклюзии временной коронки. Слепок был отправлен в лабораторию для изготовления окончательных коронок. Коронки были установлены на следующем приеме, и пациентка еще раз подтвердила отсутствие чувствительности этих зубов.
На плановых профилактических осмотрах пациентка продолжала подтверждать отсутствие чувствительности в правом квадранте верхней челюсти. Через пять лет после лечения периапикальная рентгенограмма продемонстрировала отсутствие периапикальной патологии (фото 19).
Фото 19: Периапикальная рентгенограмма через пять лет после лазерной пломбировки пульпы и реставрации зуба №15, демонстрирующая отсутствие периапикальной патологии.
Заключение
Когда воздействие пульпы минимально или слой дентина, покрывающий пульпу, минимален, но зуб жизненно важен и нет заметной периапикальной рентгенопрозрачности, лазерная обработка пульпы является альтернативой эндодонтическому лечению. Лечение Nd:YAG лазером стерилизует открытую пульпу или дентинные канальцы, уничтожая бактерии, которые могут привести к инфекции в пульпарной ткани. Кроме того, это помогает свести к минимуму воспаление пульпы и, таким образом, снять боль. Биостимулирующий эффект приводит к тому, что одонтобласты пульпы образуют вторичный дентин для дальнейшей защиты нижележащей ткани пульпы. В показанных случаях у каждого из пациентов на рентгенограммах был обнаружен кариес в непосредственной близости от пульпарной ткани. Как правило, в таких случаях изначально планируется эндодонтическое лечение. В качестве альтернативы, поскольку после обследования зубы оказались жизнеспособными и периапикальной патологии не выявлено, с разрешения пациентов в качестве альтернативного метода лечения была выбрана лазерная пломбировка пульпы. В каждом из случаев пациенты отмечали отсутствие какой-либо чувствительности к температурным изменениям и окклюзии на этих зубах в течение длительного периода наблюдения, что подтверждает ценность лазерной пломбировки пульпы в таких случаях.
Авторы:
Dr Randy McCormick
Dr Gregori M. Kurtzman



2 комментария
авторы пишут что лазерное излучение непрерывное, также пишут в параметрах " частота 10 Гц:
если непрерывный то нет частоты если есть частота то лазерный луч пульсирующий
при использовании эрбиевого ER:YAG лазера для удаления кариеса нет необходимости неодимового излученияя