На примере конкретного клинического случая показано как пациенту, чья основная жалоба заключалась в "Стертости и разрушении передних зубов", удалось восстановить функциональную и эстетичную окклюзию благодаря междисциплинарному взаимодействию специалистов при проведении лечения. Данный пример демонстрирует как своевременное, консервативное, разумное применение нескольких направлений стоматологии, в частности, проведенное ортодонтическое лечение позволило увеличить объем пространства, доступного для рационального восстановления передних зубов, лечение у пародонтолога позволило улучшить состояние десен, и позволило консервативно восстановить естественную длину коронок зубов путем постановки керамических виниров, фиксированных к эмали зубов пациента, что улучшило внешний вид улыбки пациента.
В представленном клиническом случае врач должен был определить, что явилось причиной чрезмерного износа зубов, это либо привычное трение зубов при жевании, либо ограниченное открывание рта, либо наличие различных дисфункций либо парафункций. Результаты обследования позволили разработать консервативный план лечения пациента.
Обзор клинического случая
35-летняя пациентка женского пола, наблюдаясь у своего стоматолога с детства выразила заинтересованность в улучшении внешнего вида своих передних зубов, которые в свою очередь, имеют значительные дефекты твёрдых тканей и сколы. Вид улыбки пациентки до лечения "во все зубы" (фото 1); При большом приближении видны сколы во фронтальном отделе зубных рядов (фото 2) Горизонтальный тип стираемости зубов на верхней челюсти (фото 3.). Ее история болезни была отмечена Американским обществом анестезиологов (ASA) II, ввиду ее непереносимости к анестетикам, тем не менее она успешно лечилась с применим препарата Диован. В остальном ее соматическое здоровье никак не отражалось на стоматологическом лечении. В стоматологическом анамнезе у пациенты были выполнены ресторации отдельных зубов и удаление зубов мудрости в подростковом возрасте Представлены прицельные снимки зубов перед восстановительным лечением (фото 4). Также она проходила стоматологическое лечение ранее в детстве. Ее больше всего беспокоил неприглядный вид фронтальных зубов со сколотыми неровными краями на всем протяжении от моляров до первых резцов.
Фото 1
Фото 2
Фото 3
Фото 4
Пациентка рассказала, что ее зубы начали истираться 5 лет назад, так что, она не может теперь понять как ей закрывать рот в одном положении. Она также сообщила, что ее кожа становится все более красной и воспаленной. Вид воспаленных десневых сосочков (фото 5).
Фото 5
Диагностика, оценка риска и прогноз
Пародонт: Клиническое и рентгенологическое обследование выявило наличие кровоточивости при зондировании во всех четырех квадрантах, глубину периодонтальных карманов от 2 мм до 4 мм, при обычном прикреплении кости до эмалево-цементной границы. Подвижности зубов не отмечалось. Выявлена генерализованная потеря горизонтального прикрепления от 1 мм до 2 мм наряду с явлениями умеренного гингивита от области первых моляров до первых резцов. Таким образом по классификации Американской Академии Пародонтологии (ААП) ее периодонтальный статус соответствовал пародонтиту II степени тяжести, класс В. Пациентка обычно посещала стоматолога с интервалом 1 раз в 6 месяцев с детства, но в последнее время нужны семьи и занятость на работе повлияли на ее возможность прийти на прием и должным образом ухаживать за собой дома.
Риск: Умеренный
Прогноз: Благоприятный
Функционально: Пациентка пожаловалась на наличии “двойного прикуса” в анамнезе. Она также пожаловалась на прогрессирование процесса истирания зубов за последние 5 лет. Она отметила наличие симптомов дисфункции височно-нижнечелюстного сустава в прошлом, но клиническое обследование не выявило наличие боли или болезненности, либо щелчков или звуков в области суставов. Результаты нагрузочных тестов и в состояние сустава в состоянии покоя были в пределах нормы, максимальное открывание рта составило 54 мм без девиаций. Пальпация мышц также была отрицательной. Поставлен диагноз по смыканию зубов – окклюзионная дисфункция.
Риск: Умеренный
Прогноз: Благоприятный
Челюстно-лицевая область: У пациентки отмечен гипертонус губ, нормальная форма альвеолярных гребней и горизонтальная симметрия. состоянии покоя ее правый клык верхней челюсти выступал на 1мм ниже окклюзионной плоскости, в то время как режущий край левого клыка стоял на одном уровне с верхней губой в покое или не так называемом “нулевом уровне”. Губы в состоянии покоя (фото 6). Губа пациента поднялась на 11 мм при переходе из состояния при диагностике гипермобильности по верхней губы по шкале Дюшенна.
Риск: Высокий
Прогноз: Неудовлетворительный
Фото 6
План лечения
Врач стоматолог составил всесторонний план лечения который был признан идеальным для пациента. Он включал лечение у пародонтолога, ортодонтическое лечение и работы по реставрации зубов. Пациентка согласилась с планом.
Пародонтологическое лечение было рекомендовано для устранения воспаления десен пациентки, которое усилилось пока она не могла попасть к стоматологу. У ортодонтического лечения пациентки были две задачи. Во-первых, для решения функциональной проблемы - окклюзионной дисфункции - ортодонтическое лечение было направлено на создание равномерного давления с обеих сторон на всем протяжении зубного ряда. Нарушение смыкания часто проявляется множественными участками стираемости зубов, включающими фронтальный и боковые отделы зубных рядов и часто сопряжено с попытками бороться с вредными привычками, такими как грызть пишущие ручки или ногти. Такое состояние отличается от истинной от истинной парафункции, которая обычно проявляется меньшей степенью стираемости зубов и поражает центральную нервную систему. Дисфункцию окклюзии также нужно дифференцировать от привычного чрезмерного сжимания зубов при жевании, которое часто чревато стираемостью язычных поверхностей зубов на верхней и нижней челюсти, также пациент отмечает, что его челюсть “сдвинулась назад. Второй основной целью ортодонтического лечения было перемещение зубов с целью создания рациональных условий для дальнейшей постановки реставраций и восстановления естественной формы и цвета зубов от первых моляров до первых резцов. Для восстановления формы и цвета зубов, а также улучшения внешнего вида улыбки пациентки будут использованы керамические виниры, фиксированные к эмали зубов.
Этапы лечения
Пародонтологический
Было проведено 4 сеанса ультразвукового удаления налета зубов и зубного камня с кюретажем корней под местной анестезией. После чего была проведена профессиональная чистка зубов и полирование поверхностей их корней. Явления воспаления и кровоточивости заметно уменьшились глубина карманов с 4 мм редуцировала до 3 мм. Стоматолог решил, что периодическое постоянное наблюдение у врача-пародонтолога на начальном этапе для оценки ее способности поддерживать здоровье десен в домашних условиях. Интервал между пародонтологическими манипуляциями в 6 месяцев-вот долгосрочная цель лечащего врача-стоматолога.
Ортодонтический этап
Во время ортодонтического лечения врач-ортодонт устранить жалобу пациентки на наличие “двойного прикуса”, улучшив фиссурно-бугорковые контакты. Ортодонт создал место для будущих реставраций при помощи виниров, наклонив зубы вперед от второго моляра до первого резца на приблизительно 5 градусов (ориентируясь на угол проведенный от режушего края резца верхней челюсти к точкам Sella-Nasion [SN]) и внедрил зубы от 2.2., до 2.7 на 1,5 мм, как было установлено на восковом шаблоне и окончательном моделировании конструкции зубного ряда в состоянии покоя и "нулевой точке клыка".
Ретенционный период после ортодонтического лечения
Окклюзия была выверена как непосредствннно после ортодонтического лечения, так и после постановки виниров, чтобы обеспечить стабильное не деструктивное, функциональное положение челюстей. Были достигнуты одновременные двусторонние контакты зубов в боковом отделе, с равной степенью распределения жевательной нагрузки, с точечными контактами на клыках и отсутствием контактов на резцах при максимальном смыкании рта. Затем при положении пациента под 45 градусов, наличие одноименных окклюзионных контактов в боковых отделах с обеих сторон было подтверждено при помощи артикуляционной бумаги 200 микрон синего цвета (Bausch) и далее использовалась фольга 8 микрон (TrollFoil, TrollDental). Наконец, пациента усадили прямо, чтобы с помощью 200-микронной бумаги подтвердить отсутствие супер контактов при жевании. Отпечатков на зубах от вторых моляров до премоляров не было, лишь точечные контакты на протяжении от первых моляров до центральных резцов.
Ортопедический этап
После 6 месяцев ретенционного периода от проведенного ортодонтического лечения, что бы уменьшить возможность возникновения рецидива внутриротовое моделирование (mock up) был изготовлен в технической лаборатории. Зубы от первого моляра до центрального резца были смоделированы при помощи воска с воччстановлением их идеальной длинны и формы. Также был изготовлены шпаклеванные мягкие матрицы. Стоматолог заполнил матрицу бис-акриловым светоотверждаемым временным материалом (Structur, VOCO America) и поместил его поверх зубов. Через 1 минуту и 45 секунд материал затвердел, и шпаклеванные матрицы были удалены Широкая улыбка пациента с временными конструкциями во рту (фото 7) и Фронтальный вид временных реставрации (фото 8). Бисакриловый материал был оставлен на зубах, и в материале были сделаны надрезы соответствующей глубины. Этот метод позволяет максимально сохранить структуру зуба. Поскольку ортодонт создал треммы в переднем отделе зубных рядов, то резцы были обточены всего лишь на 0.5 мм, что бы получить требуемую величину культи зубов в 2 мм. Врач выполнил процедуру апроксимальной редукции с применением бора Brasseler 330 (Brasseler, США), а для оставшейся части препарирования зубов, с полным погружением в эмаль. Благодаря такому малоинвазивному препарированию принципы биомеханики были полностью учтены при использовании полнослойных когезионных реставраций.
Фото 7
Фото 8
После снятия оттисков зубы были предварительно обработаны с использованием вышеупомянутого бисакрилового самоотверждающегося временного материала и светоотверждаемые , в течении 20 секунд, композитные провизорные коронки. Пациентка была назначена через 2 недели для примерки и фиксации итоговых конструкций во рту.
Процедура цементирования
После примерки во рту 6 единиц виниров (IPS e.max, Ivoclar Vivadent) и подтверждения их эстетичности по цвету и правильности посадки виниры были очищены с использованием 37%-ной фосфорной кислоты. Затем слой ортофосфорной кислоты был нанесен путем втирания на внутреннюю поверхность каждого винира на 60 секунд, затем виниры поместили в ультразвуковую ванну, наполненную деионизированной водой, на 5 минут. После чего виниры высушили, на них нанесли силан на 60 секунд и дали высохнуть на воздухе. На зубы также был нанесен слой ортофосфорной кислоты на 20 секунд, затем зубы промыли водой и нанесли тонкий слой адгезивного вещества (All-Bond Universal, BISCO). Адгезив был распределен по всей поверхности зубов струей воздуха из пустера и отвержден полтмерезационной лампой в течении 20 секунд.
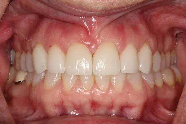
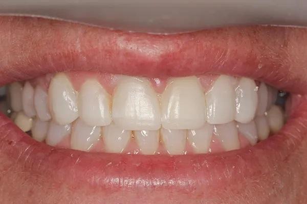
Для постоянной фиксации виниров использовался полупрозрачный цемент (RelyX Veneer Cement, 3M Oral Care) виниры были зафиксированы парами начиная с области центральных резцов, затем латеральные резцы и заканчивая клыками. Каждую реставрацию закрепляли с помощью 3-секундного светового отверждения, а излишки цемента удаляли с помощью ультразвукового скеллера. Окончательное отверждение осуществлялось путем полимерезации светом в течение дополнительных 20 секунд на каждый зуб. Результаты проведённого лечения показаны на фото с 9 по 12. Изменение улыбки пациентки с фиксированными постоянными реставрациями (фото 9). Демонстрация смыкания после лечения (фото 10). Портретная фотография анфас с широкой улыбкой (фото 11). Прицельные снимки зубов пациентки после проведенного лечения (фото 12).
Фото 9
Фото 10
Фото 11
Фото 12
Обсуждение
Пациентка была настроена на лечение поэтому с энтузиазмом переходила от стадии к стадии, чтобы решить свои многочисленные стоматологические проблемы, и после пародонтологического, ортодонтического и ортопедического лечения была в восторге от результатов. Общее время лечения составило 14 месяцев. С постоянным наблюдением у пародонтолога риск развития пародонтоза у пациентки остается умеренным, а состояние ее улучшилось.
С точки зрения биомехиникии риск рецидива остался поскольку завершение лечения подразумевало восстановление зубов с помощью фиксации к эмали виниров из дисиликата лития. Прогноз для данной манипуляции остается умеренным.
Функционально риск для пациентки был снижен с умеренного до низкого, поскольку ее окклюзия теперь приемлема и стабильна. Этого удалось добиться благодаря ортодонтическому лечению тщательному контролю и выравниванию прикуса, а также правильному планированию и установке винировых реставраций. С точки зрения лицевых признаков и их влияния на зубочелюстную систему, то риск развития рецидива остается высоким, т.к. на гипертонус губ и мышц врачи-стоматологи никак не воздействовали (например инъекции ботулотоксина или удлинение губ), чтобы уменьшить количество видимой десны при улыбке. Пациентка не выражала беспокойства ни до, ни после лечения о том сколько десны обнажается при ее улыбке. В долгосрочной перспективе ее прогноз улучшился, потому как лечение способствовало достижению более гармоничного внешнего вида зубов и десен.
Врач-стоматолог отказался от изготовления окклюзионной шины после проведенного лечения, так как ее окклюзия была стабильна и комфортна для пациента.
Заключение
Представленный клинический случай демонстрирует, как стоматолог может консервативно лечить пациента с генерализованной стираемостью зубов. Врачи часто сталкиваются с подобной проблемой и благодаря разумному планированию лечения, оценке рисков и использованию междисциплинарного подхода может быть достигнут желаемый эстетический результат при протезировании минимального количества зубов.
Автор: John Scalas, DDS
На примере конкретного клинического случая показано как пациенту, чья основная жалоба заключалась в "Стертости и разрушении передних зубов", удалось восстановить функциональную и эстетичную окклюзию благодаря междисциплинарному взаимодействию специалистов при проведении лечения. Данный пример демонстрирует как своевременное, консервативное, разумное применение нескольких направлений стоматологии, в частности, проведенное ортодонтическое лечение позволило увеличить объем пространства, доступного для рационального восстановления передних зубов, лечение у пародонтолога позволило улучшить состояние десен, и позволило консервативно восстановить естественную длину коронок зубов путем постановки керамических виниров, фиксированных к эмали зубов пациента, что улучшило внешний вид улыбки пациента.
В представленном клиническом случае врач должен был определить, что явилось причиной чрезмерного износа зубов, это либо привычное трение зубов при жевании, либо ограниченное открывание рта, либо наличие различных дисфункций либо парафункций. Результаты обследования позволили разработать консервативный план лечения пациента.
Обзор клинического случая
35-летняя пациентка женского пола, наблюдаясь у своего стоматолога с детства выразила заинтересованность в улучшении внешнего вида своих передних зубов, которые в свою очередь, имеют значительные дефекты твёрдых тканей и сколы. Вид улыбки пациентки до лечения "во все зубы" (фото 1); При большом приближении видны сколы во фронтальном отделе зубных рядов (фото 2) Горизонтальный тип стираемости зубов на верхней челюсти (фото 3.). Ее история болезни была отмечена Американским обществом анестезиологов (ASA) II, ввиду ее непереносимости к анестетикам, тем не менее она успешно лечилась с применим препарата Диован. В остальном ее соматическое здоровье никак не отражалось на стоматологическом лечении. В стоматологическом анамнезе у пациенты были выполнены ресторации отдельных зубов и удаление зубов мудрости в подростковом возрасте Представлены прицельные снимки зубов перед восстановительным лечением (фото 4). Также она проходила стоматологическое лечение ранее в детстве. Ее больше всего беспокоил неприглядный вид фронтальных зубов со сколотыми неровными краями на всем протяжении от моляров до первых резцов.
Фото 1
Фото 2
Фото 3
Фото 4
Пациентка рассказала, что ее зубы начали истираться 5 лет назад, так что, она не может теперь понять как ей закрывать рот в одном положении. Она также сообщила, что ее кожа становится все более красной и воспаленной. Вид воспаленных десневых сосочков (фото 5).
Фото 5
Диагностика, оценка риска и прогноз
Пародонт: Клиническое и рентгенологическое обследование выявило наличие кровоточивости при зондировании во всех четырех квадрантах, глубину периодонтальных карманов от 2 мм до 4 мм, при обычном прикреплении кости до эмалево-цементной границы. Подвижности зубов не отмечалось. Выявлена генерализованная потеря горизонтального прикрепления от 1 мм до 2 мм наряду с явлениями умеренного гингивита от области первых моляров до первых резцов. Таким образом по классификации Американской Академии Пародонтологии (ААП) ее периодонтальный статус соответствовал пародонтиту II степени тяжести, класс В. Пациентка обычно посещала стоматолога с интервалом 1 раз в 6 месяцев с детства, но в последнее время нужны семьи и занятость на работе повлияли на ее возможность прийти на прием и должным образом ухаживать за собой дома.
Риск: Умеренный
Прогноз: Благоприятный
Функционально: Пациентка пожаловалась на наличии “двойного прикуса” в анамнезе. Она также пожаловалась на прогрессирование процесса истирания зубов за последние 5 лет. Она отметила наличие симптомов дисфункции височно-нижнечелюстного сустава в прошлом, но клиническое обследование не выявило наличие боли или болезненности, либо щелчков или звуков в области суставов. Результаты нагрузочных тестов и в состояние сустава в состоянии покоя были в пределах нормы, максимальное открывание рта составило 54 мм без девиаций. Пальпация мышц также была отрицательной. Поставлен диагноз по смыканию зубов – окклюзионная дисфункция.
Риск: Умеренный
Прогноз: Благоприятный
Челюстно-лицевая область: У пациентки отмечен гипертонус губ, нормальная форма альвеолярных гребней и горизонтальная симметрия. состоянии покоя ее правый клык верхней челюсти выступал на 1мм ниже окклюзионной плоскости, в то время как режущий край левого клыка стоял на одном уровне с верхней губой в покое или не так называемом “нулевом уровне”. Губы в состоянии покоя (фото 6). Губа пациента поднялась на 11 мм при переходе из состояния при диагностике гипермобильности по верхней губы по шкале Дюшенна.
Риск: Высокий
Прогноз: Неудовлетворительный
Фото 6
План лечения
Врач стоматолог составил всесторонний план лечения который был признан идеальным для пациента. Он включал лечение у пародонтолога, ортодонтическое лечение и работы по реставрации зубов. Пациентка согласилась с планом.
Пародонтологическое лечение было рекомендовано для устранения воспаления десен пациентки, которое усилилось пока она не могла попасть к стоматологу. У ортодонтического лечения пациентки были две задачи. Во-первых, для решения функциональной проблемы - окклюзионной дисфункции - ортодонтическое лечение было направлено на создание равномерного давления с обеих сторон на всем протяжении зубного ряда. Нарушение смыкания часто проявляется множественными участками стираемости зубов, включающими фронтальный и боковые отделы зубных рядов и часто сопряжено с попытками бороться с вредными привычками, такими как грызть пишущие ручки или ногти. Такое состояние отличается от истинной от истинной парафункции, которая обычно проявляется меньшей степенью стираемости зубов и поражает центральную нервную систему. Дисфункцию окклюзии также нужно дифференцировать от привычного чрезмерного сжимания зубов при жевании, которое часто чревато стираемостью язычных поверхностей зубов на верхней и нижней челюсти, также пациент отмечает, что его челюсть “сдвинулась назад. Второй основной целью ортодонтического лечения было перемещение зубов с целью создания рациональных условий для дальнейшей постановки реставраций и восстановления естественной формы и цвета зубов от первых моляров до первых резцов. Для восстановления формы и цвета зубов, а также улучшения внешнего вида улыбки пациентки будут использованы керамические виниры, фиксированные к эмали зубов.
Этапы лечения
Пародонтологический
Было проведено 4 сеанса ультразвукового удаления налета зубов и зубного камня с кюретажем корней под местной анестезией. После чего была проведена профессиональная чистка зубов и полирование поверхностей их корней. Явления воспаления и кровоточивости заметно уменьшились глубина карманов с 4 мм редуцировала до 3 мм. Стоматолог решил, что периодическое постоянное наблюдение у врача-пародонтолога на начальном этапе для оценки ее способности поддерживать здоровье десен в домашних условиях. Интервал между пародонтологическими манипуляциями в 6 месяцев-вот долгосрочная цель лечащего врача-стоматолога.
Ортодонтический этап
Во время ортодонтического лечения врач-ортодонт устранить жалобу пациентки на наличие “двойного прикуса”, улучшив фиссурно-бугорковые контакты. Ортодонт создал место для будущих реставраций при помощи виниров, наклонив зубы вперед от второго моляра до первого резца на приблизительно 5 градусов (ориентируясь на угол проведенный от режушего края резца верхней челюсти к точкам Sella-Nasion [SN]) и внедрил зубы от 2.2., до 2.7 на 1,5 мм, как было установлено на восковом шаблоне и окончательном моделировании конструкции зубного ряда в состоянии покоя и "нулевой точке клыка".
Ретенционный период после ортодонтического лечения
Окклюзия была выверена как непосредствннно после ортодонтического лечения, так и после постановки виниров, чтобы обеспечить стабильное не деструктивное, функциональное положение челюстей. Были достигнуты одновременные двусторонние контакты зубов в боковом отделе, с равной степенью распределения жевательной нагрузки, с точечными контактами на клыках и отсутствием контактов на резцах при максимальном смыкании рта. Затем при положении пациента под 45 градусов, наличие одноименных окклюзионных контактов в боковых отделах с обеих сторон было подтверждено при помощи артикуляционной бумаги 200 микрон синего цвета (Bausch) и далее использовалась фольга 8 микрон (TrollFoil, TrollDental). Наконец, пациента усадили прямо, чтобы с помощью 200-микронной бумаги подтвердить отсутствие супер контактов при жевании. Отпечатков на зубах от вторых моляров до премоляров не было, лишь точечные контакты на протяжении от первых моляров до центральных резцов.
Ортопедический этап
После 6 месяцев ретенционного периода от проведенного ортодонтического лечения, что бы уменьшить возможность возникновения рецидива внутриротовое моделирование (mock up) был изготовлен в технической лаборатории. Зубы от первого моляра до центрального резца были смоделированы при помощи воска с воччстановлением их идеальной длинны и формы. Также был изготовлены шпаклеванные мягкие матрицы. Стоматолог заполнил матрицу бис-акриловым светоотверждаемым временным материалом (Structur, VOCO America) и поместил его поверх зубов. Через 1 минуту и 45 секунд материал затвердел, и шпаклеванные матрицы были удалены Широкая улыбка пациента с временными конструкциями во рту (фото 7) и Фронтальный вид временных реставрации (фото 8). Бисакриловый материал был оставлен на зубах, и в материале были сделаны надрезы соответствующей глубины. Этот метод позволяет максимально сохранить структуру зуба. Поскольку ортодонт создал треммы в переднем отделе зубных рядов, то резцы были обточены всего лишь на 0.5 мм, что бы получить требуемую величину культи зубов в 2 мм. Врач выполнил процедуру апроксимальной редукции с применением бора Brasseler 330 (Brasseler, США), а для оставшейся части препарирования зубов, с полным погружением в эмаль. Благодаря такому малоинвазивному препарированию принципы биомеханики были полностью учтены при использовании полнослойных когезионных реставраций.
Фото 7
Фото 8
После снятия оттисков зубы были предварительно обработаны с использованием вышеупомянутого бисакрилового самоотверждающегося временного материала и светоотверждаемые , в течении 20 секунд, композитные провизорные коронки. Пациентка была назначена через 2 недели для примерки и фиксации итоговых конструкций во рту.
Процедура цементирования
После примерки во рту 6 единиц виниров (IPS e.max, Ivoclar Vivadent) и подтверждения их эстетичности по цвету и правильности посадки виниры были очищены с использованием 37%-ной фосфорной кислоты. Затем слой ортофосфорной кислоты был нанесен путем втирания на внутреннюю поверхность каждого винира на 60 секунд, затем виниры поместили в ультразвуковую ванну, наполненную деионизированной водой, на 5 минут. После чего виниры высушили, на них нанесли силан на 60 секунд и дали высохнуть на воздухе. На зубы также был нанесен слой ортофосфорной кислоты на 20 секунд, затем зубы промыли водой и нанесли тонкий слой адгезивного вещества (All-Bond Universal, BISCO). Адгезив был распределен по всей поверхности зубов струей воздуха из пустера и отвержден полтмерезационной лампой в течении 20 секунд.
Для постоянной фиксации виниров использовался полупрозрачный цемент (RelyX Veneer Cement, 3M Oral Care) виниры были зафиксированы парами начиная с области центральных резцов, затем латеральные резцы и заканчивая клыками. Каждую реставрацию закрепляли с помощью 3-секундного светового отверждения, а излишки цемента удаляли с помощью ультразвукового скеллера. Окончательное отверждение осуществлялось путем полимерезации светом в течение дополнительных 20 секунд на каждый зуб. Результаты проведённого лечения показаны на фото с 9 по 12. Изменение улыбки пациентки с фиксированными постоянными реставрациями (фото 9). Демонстрация смыкания после лечения (фото 10). Портретная фотография анфас с широкой улыбкой (фото 11). Прицельные снимки зубов пациентки после проведенного лечения (фото 12).
Фото 9
Фото 10
Фото 11
Фото 12
Обсуждение
Пациентка была настроена на лечение поэтому с энтузиазмом переходила от стадии к стадии, чтобы решить свои многочисленные стоматологические проблемы, и после пародонтологического, ортодонтического и ортопедического лечения была в восторге от результатов. Общее время лечения составило 14 месяцев. С постоянным наблюдением у пародонтолога риск развития пародонтоза у пациентки остается умеренным, а состояние ее улучшилось.
С точки зрения биомехиникии риск рецидива остался поскольку завершение лечения подразумевало восстановление зубов с помощью фиксации к эмали виниров из дисиликата лития. Прогноз для данной манипуляции остается умеренным.
Функционально риск для пациентки был снижен с умеренного до низкого, поскольку ее окклюзия теперь приемлема и стабильна. Этого удалось добиться благодаря ортодонтическому лечению тщательному контролю и выравниванию прикуса, а также правильному планированию и установке винировых реставраций. С точки зрения лицевых признаков и их влияния на зубочелюстную систему, то риск развития рецидива остается высоким, т.к. на гипертонус губ и мышц врачи-стоматологи никак не воздействовали (например инъекции ботулотоксина или удлинение губ), чтобы уменьшить количество видимой десны при улыбке. Пациентка не выражала беспокойства ни до, ни после лечения о том сколько десны обнажается при ее улыбке. В долгосрочной перспективе ее прогноз улучшился, потому как лечение способствовало достижению более гармоничного внешнего вида зубов и десен.
Врач-стоматолог отказался от изготовления окклюзионной шины после проведенного лечения, так как ее окклюзия была стабильна и комфортна для пациента.
Заключение
Представленный клинический случай демонстрирует, как стоматолог может консервативно лечить пациента с генерализованной стираемостью зубов. Врачи часто сталкиваются с подобной проблемой и благодаря разумному планированию лечения, оценке рисков и использованию междисциплинарного подхода может быть достигнут желаемый эстетический результат при протезировании минимального количества зубов.
Автор: John Scalas, DDS



0 комментариев