При послойном выполнении прямых композитных реставраций врачу бывает сложно вручную добиться точных окклюзионных контактов и сложного контура, необходимых для корректного восстановления дооперационной окклюзионной анатомии и функции. В статье рассматривается использование «штампа» для воссоздания точной окклюзионной топографии при прямых композитных реставрациях в боковом отделе. Метод включает изготовление окклюзионного индекса, реплицирующего исходную анатомию зуба, что способствует обеспечению точной окклюзии и сведению к минимуму послеоперационных корректировок. Техника продемонстрирована на клиническом случае пациента с окклюзионным кариесом класса 1. Перенос дооперационной окклюзионной анатомии на финальный слой композита упрощает процесс реставрации, сокращает время у кресла и улучшает исходы лечения.
Однако послойное внесение композита при прямой реставрации ставит перед врачом задачу вручную воспроизвести точные окклюзионные контакты и сложный контур, необходимые для восстановления дооперационной окклюзионной анатомии и функции. Даже небольшое отклонение может приводить к дискомфорту, а при отсутствии коррекции — к серьезным функциональным и структурным проблемам в полости рта. Для многих клиницистов необходимость вручную восстанавливать корректные окклюзионные контуры и контакты после внесения композита — задача утомительная и времязатратная.
В представленном клиническом случае демонстрируется использование окклюзионного ключа («штампа»), позволяющего предсказуемо и эффективно воссоздавать точную окклюзионную топографию при прямых композитных реставрациях боковых зубов.
Воссоздание дооперационной окклюзии
Основная цель любой прямой реставрации — восстановить форму, посадку и функцию зуба, пораженного заболеванием. Для кабинетного протезирования пораженных зубов как в переднем, так и в боковом отделе композиты под цвет зуба стали универсальным выбором клиницистов благодаря способности имитировать эстетику естественных зубов и обеспечивать минимальный объем препарирования. В отличие от непрямых методик, где контакты, контуры и окклюзия задаются тем, что фиксируется цифровой интраоральной камерой или при традиционном получении оттисков, прямая композитная реставрация, особенно в боковых отделах, создает значительные трудности при попытке «с руки» воссоздать точное дооперационное окклюзионное положение, проксимальные контакты и контуры восстановленного зуба. Этот процесс может быть длительным, чувствительным к технике и приводить к неточной репликации формы зуба и окклюзии пациента. Можно использовать прием фиксации до лечения точек окклюзионных контактов с помощью артикуляционной бумаги и запоминания формы и высоты для последующего восстановления композитом в ходе лечения, однако и этот подход нередко приводит к пере- или недовосстановленным поверхностям и, как следствие, окклюзионным несоответствиям.
Эти несоответствия выявляются, когда пациента просят открыть, закрыть рот и выполнить жевательные движения после завершения прямой композитной реставрации. Пациенты, явно ощущающие, насколько правильно смыкаются зубы, могут сообщать, что не могут полностью закрыть челюсть и/или ощущают препятствие при боковых жевательных движениях. В результате рутинный протокол усложняется: врачу приходится прибегать к порой утомительным манипуляциям с артикуляционной бумагой и бором, чтобы вернуть дооперационную функцию окклюзии. Даже если в кресле пациент сообщает о правильной окклюзии, дома, когда действие анестезии проходит, он может столкнуться с окклюзионными проблемами и вернуться для дополнительной корректировки.
Методика «штампа» — это клинический прием, предназначенный для воспроизведения точной окклюзионной топографии при прямых композитных реставрациях и минимизации послеоперационных корректировок. Техника включает изготовление индекса, копирующего окклюзионную анатомию зуба до начала лечения, и использование этого индекса для вдавливания зафиксированной окклюзионной анатомии в финальный слой композита перед полимеризацией, что создает положительную реплику исходной окклюзионной топографии. Эта методика представлена в следующем отчете о клиническом случае.
Клинический случай
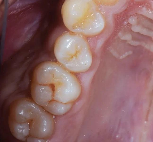
Пациент, мужчина 32 лет, направлен в клинику автора с жалобами на чувствительность зуба в левом верхнечелюстном квадранте к холоду и сладкому. При зондировании выявлен окклюзионный кариес класса 1 в центральной ямке окклюзионных фиссур зуба 2.6 (Фото 1). Выполнены прицельные рентгенограммы для оценки распространенности поражения и исключения вовлечения пульпы. Пациенту разъяснено наличие заболевания; показано прямое восстановление композитной смолой для устранения боли и чувствительности и восстановления функции и эстетики зуба. Пациент согласился; лечение запланировано на следующую неделю.
Фото 1. Пациент жаловался на чувствительность и боль в боковом моляре при воздействии сладких или холодных раздражителей. В зубе 2.6 был обнаружен кариес 1-го класса с окклюзионной стороны.
Поскольку дооперационная окклюзионная анатомия зуба 2.6 была интактна и не должна была измениться в ходе лечения, было решено использовать технику «штампа» для эффективного восстановления дооперационной окклюзионной функции. Хотя создание композитного «штампа» дооперационной окклюзионной анатомии добавляет времени на начальном этапе, эта техника призвана экономить время у кресла на завершающем этапе за счет минимизации или даже исключения длительных послеоперационных окклюзионных корректировок. Методика может быть полезна и при кариесе класса 2 с глубокими фиссурами, а также при изготовлении секционных штампов для диагностических восковых моделирований при реабилитации/стираемости.
Изготовление окклюзионного штампа
После анестезии зуб 2.6 изолирован коффердамом и частично рассверленным клампом (Фото 2). На всю поверхность непредпрепарированного зуба 2.6 нанесен тонкий слой разделительного агента — вазелина — микрокистью (Micro Applicator, Ultradent). Для изготовления окклюзионного индекса на поверхность зуба нанесен текучий композит для объемного внесения (Admira Fusion x-base, VOCO) (Фото 3). Микрокистью с легким давлением зафиксированы окклюзионные особенности и топография, создав необходимые детали на «штампе». Композит засвечен 20 секунд (Bluephase, Ivoclar); стержень микрокисти внедрен в композит, но не касается анатомии зуба.
Фото 2. Зуб 2.6 изолирован.
Фото 3. После нанесения разделительного средства на непрепарированный зуб 2.6 на поверхность зуба наносили текучий композит и подвергали светоотверждению.
Следует отметить: внедрение стержня микрокисти в окклюзионный «штамп» помогает затем правильно ориентировать его на финальном слое композита при перенесении дооперационной окклюзионной анатомии. Для ориентации также можно пометить отвержденный «штамп» черной точкой по щечному или язычному краю. После отверждения «штамп» снимают с зуба (Фото 4).
Фото 4. Светоотвержденный окклюзионный «штамп» с прикрепленной к нему микроручкой сняли с поверхности зуба 2.6.
После изготовления «штамп» следует высушить и хранить в чистом сухом месте, чтобы избежать контаминации и деформации; для сохранения формы и стабильности его можно поместить на небольшой шарик из воска. Оптимально использовать «штамп» в течение 30 минут после удаления кариозных тканей для точной репликации.
Удаление кариеса и реставрационное лечение
На зуб 2.6 нанесена жидкость для выявления кариеса (Snoop, Pulpdent) для визуализации пораженных участков (Фото 5). Дентиновые кариозные ткани удалены на окклюзионной поверхности зуба № 14 карбидным бором № 557 (Straight Carbide Bur, Brasseler USA) в электрическом наконечнике (Forza, Brasseler USA) (Фото 6).
Фото 5. На зуб 2.6 была нанесена жидкость для определения кариеса, чтобы осветить участки кариозных поражений для удаления.
Фото 6. Окончательное препарирование после подтвержденного полного удаления кариеса.
Полость обработана абразивоструйно аппаратом (AquaCare, Velopex International) 29 мкм оксида алюминия в течение 20 секунд для удаления остаточного распада и бактерий. Нанесен протравочный состав (Vococid, VOCO) на 20 секунд по эмали и 10 секунд по дентину с последующим тщательным смыванием (Фото 7). Затем нанесен универсальный адгезив (Futurabond U, VOCO) (Фото 8). После этого внесен один слой текучего композита (Admira Fusion x-base). Финальным слоем использован омнихромный объемно-вносимый жесткий композит (Admira Fusion x-tra packable, VOCO). Полость целенаправленно «переполнена» композитом для приема окклюзионного «штампа» (Фото 9).
Фото 7. После абразивоструйной обработки нанесен протравочный состав; смыт через 20 секунд по эмали и 10 секунд по дентину.
Фото 8. После протравливания и смывания нанесен универсальный адгезив.
Фото 9. После внесения одного слоя текучего композита внесен жесткий объемно-вносимый композит; полость переполнена для приема «штампа».
На окклюзионную поверхность уложена тонкая полоска тефлоновой ленты, чтобы предотвратить прилипание используемого далее «штампа» к композиту (Фото 10). «Штамп» сориентирован относительно зуба и плотно прижат для вдавливания дооперационной окклюзионной топографии в поверхность композита (Фото 11 и Фото 12). Излишки композита легко удалены моделировочным инструментом (OptraSculpt, Ivoclar) (Фото 13). До финальной полимеризации нанесен тинт (Creative Color Honey Yellow, Cosmedent) для эстетической репродукции фиссур (Фото 14), после чего произведена засветка 20 секунд. Окончательная реставрация финишно обработана и отполирована (A.S.A.P. Polishers, Clinician’s Choice).
Фото 10. На поверхность композита была нанесена тонкая полоска тефлоновой ленты, чтобы предотвратить прилипание окклюзионного штампа к композиту.
Фото 11. «Штамп» правильно сориентирован и прижат для переноса дооперационной окклюзионной топографии на композит.
Фото 12. Вид зуба после снятия «штампа».
Фото 13. Удаление излишков композита.
Фото 14. Нанесен желто-коричневый краситель для восстановления эстетики зуба 2.6 перед финальной полимеризацией и полировкой.
Затем пациента посадили под углом 45 градусов и наложили артикуляционную бумагу на восстановленный участок. Пациенту предложили выполнять жевательные движения. Метки на восстановленном зубе (Фото 15) показали корректное соотношение бугорков и фиссур с антагонистами, и необходимость окклюзионной корректировки отсутствовала.
Фото 15. Окончательная реставрация, демонстрирующая репликацию дооперационной окклюзии с использованием техники «штампа».
Вывод
Техника окклюзионного «штампа» — ценное средство для копирования окклюзионной анатомии непредпрепарированного зуба с последующим переносом этой дооперационной анатомии на зуб при прямых реставрациях композитом для объемного внесения (класс 1 или 2). Экономичный прием помогает свести к минимуму или исключить трудоемкие «угадывания» при попытке вручную восстановить точные окклюзионные соотношения в кресельных кейсах с объемным внесением композита, экономя ценное время у кресла врача.
Автор: Dimple Desai, DDS
При послойном выполнении прямых композитных реставраций врачу бывает сложно вручную добиться точных окклюзионных контактов и сложного контура, необходимых для корректного восстановления дооперационной окклюзионной анатомии и функции. В статье рассматривается использование «штампа» для воссоздания точной окклюзионной топографии при прямых композитных реставрациях в боковом отделе. Метод включает изготовление окклюзионного индекса, реплицирующего исходную анатомию зуба, что способствует обеспечению точной окклюзии и сведению к минимуму послеоперационных корректировок. Техника продемонстрирована на клиническом случае пациента с окклюзионным кариесом класса 1. Перенос дооперационной окклюзионной анатомии на финальный слой композита упрощает процесс реставрации, сокращает время у кресла и улучшает исходы лечения.
Однако послойное внесение композита при прямой реставрации ставит перед врачом задачу вручную воспроизвести точные окклюзионные контакты и сложный контур, необходимые для восстановления дооперационной окклюзионной анатомии и функции. Даже небольшое отклонение может приводить к дискомфорту, а при отсутствии коррекции — к серьезным функциональным и структурным проблемам в полости рта. Для многих клиницистов необходимость вручную восстанавливать корректные окклюзионные контуры и контакты после внесения композита — задача утомительная и времязатратная.
В представленном клиническом случае демонстрируется использование окклюзионного ключа («штампа»), позволяющего предсказуемо и эффективно воссоздавать точную окклюзионную топографию при прямых композитных реставрациях боковых зубов.
Воссоздание дооперационной окклюзии
Основная цель любой прямой реставрации — восстановить форму, посадку и функцию зуба, пораженного заболеванием. Для кабинетного протезирования пораженных зубов как в переднем, так и в боковом отделе композиты под цвет зуба стали универсальным выбором клиницистов благодаря способности имитировать эстетику естественных зубов и обеспечивать минимальный объем препарирования. В отличие от непрямых методик, где контакты, контуры и окклюзия задаются тем, что фиксируется цифровой интраоральной камерой или при традиционном получении оттисков, прямая композитная реставрация, особенно в боковых отделах, создает значительные трудности при попытке «с руки» воссоздать точное дооперационное окклюзионное положение, проксимальные контакты и контуры восстановленного зуба. Этот процесс может быть длительным, чувствительным к технике и приводить к неточной репликации формы зуба и окклюзии пациента. Можно использовать прием фиксации до лечения точек окклюзионных контактов с помощью артикуляционной бумаги и запоминания формы и высоты для последующего восстановления композитом в ходе лечения, однако и этот подход нередко приводит к пере- или недовосстановленным поверхностям и, как следствие, окклюзионным несоответствиям.
Эти несоответствия выявляются, когда пациента просят открыть, закрыть рот и выполнить жевательные движения после завершения прямой композитной реставрации. Пациенты, явно ощущающие, насколько правильно смыкаются зубы, могут сообщать, что не могут полностью закрыть челюсть и/или ощущают препятствие при боковых жевательных движениях. В результате рутинный протокол усложняется: врачу приходится прибегать к порой утомительным манипуляциям с артикуляционной бумагой и бором, чтобы вернуть дооперационную функцию окклюзии. Даже если в кресле пациент сообщает о правильной окклюзии, дома, когда действие анестезии проходит, он может столкнуться с окклюзионными проблемами и вернуться для дополнительной корректировки.
Методика «штампа» — это клинический прием, предназначенный для воспроизведения точной окклюзионной топографии при прямых композитных реставрациях и минимизации послеоперационных корректировок. Техника включает изготовление индекса, копирующего окклюзионную анатомию зуба до начала лечения, и использование этого индекса для вдавливания зафиксированной окклюзионной анатомии в финальный слой композита перед полимеризацией, что создает положительную реплику исходной окклюзионной топографии. Эта методика представлена в следующем отчете о клиническом случае.
Клинический случай
Пациент, мужчина 32 лет, направлен в клинику автора с жалобами на чувствительность зуба в левом верхнечелюстном квадранте к холоду и сладкому. При зондировании выявлен окклюзионный кариес класса 1 в центральной ямке окклюзионных фиссур зуба 2.6 (Фото 1). Выполнены прицельные рентгенограммы для оценки распространенности поражения и исключения вовлечения пульпы. Пациенту разъяснено наличие заболевания; показано прямое восстановление композитной смолой для устранения боли и чувствительности и восстановления функции и эстетики зуба. Пациент согласился; лечение запланировано на следующую неделю.
Фото 1. Пациент жаловался на чувствительность и боль в боковом моляре при воздействии сладких или холодных раздражителей. В зубе 2.6 был обнаружен кариес 1-го класса с окклюзионной стороны.
Поскольку дооперационная окклюзионная анатомия зуба 2.6 была интактна и не должна была измениться в ходе лечения, было решено использовать технику «штампа» для эффективного восстановления дооперационной окклюзионной функции. Хотя создание композитного «штампа» дооперационной окклюзионной анатомии добавляет времени на начальном этапе, эта техника призвана экономить время у кресла на завершающем этапе за счет минимизации или даже исключения длительных послеоперационных окклюзионных корректировок. Методика может быть полезна и при кариесе класса 2 с глубокими фиссурами, а также при изготовлении секционных штампов для диагностических восковых моделирований при реабилитации/стираемости.
Изготовление окклюзионного штампа
После анестезии зуб 2.6 изолирован коффердамом и частично рассверленным клампом (Фото 2). На всю поверхность непредпрепарированного зуба 2.6 нанесен тонкий слой разделительного агента — вазелина — микрокистью (Micro Applicator, Ultradent). Для изготовления окклюзионного индекса на поверхность зуба нанесен текучий композит для объемного внесения (Admira Fusion x-base, VOCO) (Фото 3). Микрокистью с легким давлением зафиксированы окклюзионные особенности и топография, создав необходимые детали на «штампе». Композит засвечен 20 секунд (Bluephase, Ivoclar); стержень микрокисти внедрен в композит, но не касается анатомии зуба.
Фото 2. Зуб 2.6 изолирован.
Фото 3. После нанесения разделительного средства на непрепарированный зуб 2.6 на поверхность зуба наносили текучий композит и подвергали светоотверждению.
Следует отметить: внедрение стержня микрокисти в окклюзионный «штамп» помогает затем правильно ориентировать его на финальном слое композита при перенесении дооперационной окклюзионной анатомии. Для ориентации также можно пометить отвержденный «штамп» черной точкой по щечному или язычному краю. После отверждения «штамп» снимают с зуба (Фото 4).
Фото 4. Светоотвержденный окклюзионный «штамп» с прикрепленной к нему микроручкой сняли с поверхности зуба 2.6.
После изготовления «штамп» следует высушить и хранить в чистом сухом месте, чтобы избежать контаминации и деформации; для сохранения формы и стабильности его можно поместить на небольшой шарик из воска. Оптимально использовать «штамп» в течение 30 минут после удаления кариозных тканей для точной репликации.
Удаление кариеса и реставрационное лечение
На зуб 2.6 нанесена жидкость для выявления кариеса (Snoop, Pulpdent) для визуализации пораженных участков (Фото 5). Дентиновые кариозные ткани удалены на окклюзионной поверхности зуба № 14 карбидным бором № 557 (Straight Carbide Bur, Brasseler USA) в электрическом наконечнике (Forza, Brasseler USA) (Фото 6).
Фото 5. На зуб 2.6 была нанесена жидкость для определения кариеса, чтобы осветить участки кариозных поражений для удаления.
Фото 6. Окончательное препарирование после подтвержденного полного удаления кариеса.
Полость обработана абразивоструйно аппаратом (AquaCare, Velopex International) 29 мкм оксида алюминия в течение 20 секунд для удаления остаточного распада и бактерий. Нанесен протравочный состав (Vococid, VOCO) на 20 секунд по эмали и 10 секунд по дентину с последующим тщательным смыванием (Фото 7). Затем нанесен универсальный адгезив (Futurabond U, VOCO) (Фото 8). После этого внесен один слой текучего композита (Admira Fusion x-base). Финальным слоем использован омнихромный объемно-вносимый жесткий композит (Admira Fusion x-tra packable, VOCO). Полость целенаправленно «переполнена» композитом для приема окклюзионного «штампа» (Фото 9).
Фото 7. После абразивоструйной обработки нанесен протравочный состав; смыт через 20 секунд по эмали и 10 секунд по дентину.
Фото 8. После протравливания и смывания нанесен универсальный адгезив.
Фото 9. После внесения одного слоя текучего композита внесен жесткий объемно-вносимый композит; полость переполнена для приема «штампа».
На окклюзионную поверхность уложена тонкая полоска тефлоновой ленты, чтобы предотвратить прилипание используемого далее «штампа» к композиту (Фото 10). «Штамп» сориентирован относительно зуба и плотно прижат для вдавливания дооперационной окклюзионной топографии в поверхность композита (Фото 11 и Фото 12). Излишки композита легко удалены моделировочным инструментом (OptraSculpt, Ivoclar) (Фото 13). До финальной полимеризации нанесен тинт (Creative Color Honey Yellow, Cosmedent) для эстетической репродукции фиссур (Фото 14), после чего произведена засветка 20 секунд. Окончательная реставрация финишно обработана и отполирована (A.S.A.P. Polishers, Clinician’s Choice).
Фото 10. На поверхность композита была нанесена тонкая полоска тефлоновой ленты, чтобы предотвратить прилипание окклюзионного штампа к композиту.
Фото 11. «Штамп» правильно сориентирован и прижат для переноса дооперационной окклюзионной топографии на композит.
Фото 12. Вид зуба после снятия «штампа».
Фото 13. Удаление излишков композита.
Фото 14. Нанесен желто-коричневый краситель для восстановления эстетики зуба 2.6 перед финальной полимеризацией и полировкой.
Затем пациента посадили под углом 45 градусов и наложили артикуляционную бумагу на восстановленный участок. Пациенту предложили выполнять жевательные движения. Метки на восстановленном зубе (Фото 15) показали корректное соотношение бугорков и фиссур с антагонистами, и необходимость окклюзионной корректировки отсутствовала.
Фото 15. Окончательная реставрация, демонстрирующая репликацию дооперационной окклюзии с использованием техники «штампа».
Вывод
Техника окклюзионного «штампа» — ценное средство для копирования окклюзионной анатомии непредпрепарированного зуба с последующим переносом этой дооперационной анатомии на зуб при прямых реставрациях композитом для объемного внесения (класс 1 или 2). Экономичный прием помогает свести к минимуму или исключить трудоемкие «угадывания» при попытке вручную восстановить точные окклюзионные соотношения в кресельных кейсах с объемным внесением композита, экономя ценное время у кресла врача.
Автор: Dimple Desai, DDS



0 комментариев