Вертикальный контроль с помощью элайнеров и мини-винтов обеспечивает предсказуемую нехирургическую коррекцию открытого прикуса за счет контролируемой фиксации коренных зубов и автоматической ротации нижней челюсти, обеспечивая стабильные долгосрочные клинические результаты.
Однако эта парадигма значительно изменилась с появлением скелетной фиксации, что позволило добиться более предсказуемого внедрения задних зубов и изменить окклюзионную плоскость. Эти биомеханические изменения способствуют автоматической ротации нижней челюсти - ключевому механизму, который в настоящее время считается вертикальным контролем при нехирургическом закрытии открытых прикусов.
Несмотря на эти достижения, по-прежнему часто можно наблюдать, как клиницисты, особенно на конференциях, пытаются исправить открытые прикусы, главным образом, с помощью передней экструзии. К сожалению, этот метод имеет высокую склонность к рецидивам, и после лечения часто наблюдается рецидив открытого прикуса. Напротив, когда коррекция достигается за счет интрузии коренных зубов, естественные жевательные силы, как правило, поддерживают смыкание зубов, что значительно снижает вероятность рецидива.
Важно подчеркнуть, что элайнеры - это идеальное устройство для обеспечения вертикального контроля. Физическая толщина элайнеров в сочетании с окклюзионными усилиями во время их использования может способствовать интрузии задних зубов.
Однако успешные результаты требуют точного планирования с самого начала, в частности, расчета необходимого объема вмешательства и четкого понимания сагиттальных изменений, которые могут возникнуть в результате устранения вертикального расхождения. Для достижения этой цели важно использовать артикулятор (ранее аналоговый, а теперь виртуальный), чтобы оценить окончательное сагиттальное соотношение после вертикальной коррекции. Кроме того, крайне важно использовать программное обеспечение для планирования лечения, которое учитывает фактическую ось шарнира или дугу смыкания, чтобы управлять автоматическим вращением нижней челюсти и обеспечивать физиологичные и стабильные результаты.
Цель этой статьи - представить серию клинических случаев открытого прикуса, которые были успешно вылечены с использованием методов вертикального контроля, сочетающих применение элайнеров и скелетного крепления с помощью мини-винтов.
Случай 1: Передний открытый прикус у пациентки с долихофациальной патологией
18-летняя девушка обратилась в клинику с основной жалобой на передний открытый прикус. У нее был долихофациальный (вертикальный) тип строения лица с симметричным внешним видом, отсутствием видимости резцов в состоянии покоя и обращенной вверх линией улыбки. Из-за бимаксиллярной ретрузии выпуклый профиль лица, сопровождается тупым носогубным углом (фото 1).
Фото 1a–f: Дооперационные экстраоральные фотографии.
Клинический осмотр выявил передний открытый прикус, по классификации III класса, сужение верхней челюсти, легкая скученность в обеих челюстных дугах и отклонение средней линии нижней челюсти вправо. Верхняя челюсть имела треугольную форму, в то время как нижняя челюсть была квадратной по форме (фото 2).
Фото 2a–e: Дооперационные интраоральные фотографии.
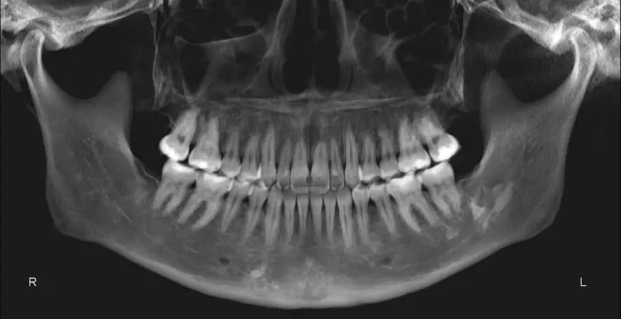
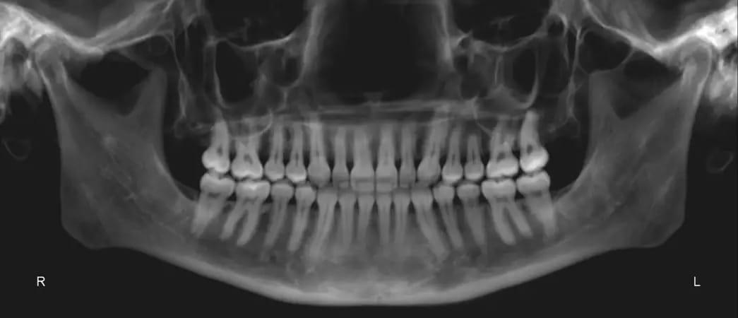
Панорамная рентгенограмма подтвердила наличие всех четырех зачатков третьих моляров. Примечательно, что в верхней челюсти наблюдалась выраженная резорбция корней, хотя общее состояние пародонта казалось хорошим (фото 3). Цефалометрический анализ показал тип скелета II класса, тенденцию к вертикальному росту и заднюю ротацию нижней челюсти. Было обнаружено, что резцы верхней и нижней челюсти слегка наклонены (фото 4).
Фото 3: Дооперационная панорамная рентгенограмма.
Фото 4a-b: Дооперационная цефалометрическая рентгенография перед лечением (а) и трассировка (b).
Измерения базальной ширины при КЛКТ-сканировании с использованием анализа по Penn показали, что ширина верхней челюсти составляет 57,7 мм, а ширина нижней челюсти - 54,8 мм, что дает разницу в +2,9 мм. Это указывало на то, что в данном случае не было необходимости в расширении скелета (фото 5).
Фото 5: Поперечный анализ КЛКТ-сканирования по Penn.
Планирование лечения
Чтобы предоставить четкие инструкции по установке элайнера и биомеханике, была создана виртуальная цель лечения (VTO). Было определено, что для облегчения автоматического поворота нижней челюсти и эффективного закрытия открытого прикуса потребуется проникновение внутрь зуба с задней стороны на 4 мм. Соответственно, для достижения вертикального контроля и благоприятного окклюзионного результата было запланировано вмешательство с задней стороны в обе челюсти (фото 6).
Фото 6a–c: Визуальные цели лечения. Дооперационная ситуация (a). Ситуация после автоматического поворота и позиционирования резцов (b). Ситуация после интрузии коренных зубов (c).
Механика и биомеханика лечения
Выбранная система элайнеров позволила имитировать вращение нижней челюсти спереди вокруг истинной оси шарнира - дуги смыкания, что является решающим фактором в успешном лечении передних открытых прикусов.
Используя программное обеспечение для планирования лечения, удалось смоделировать выравнивание обеих дуг (без выпячивания резцов), расширение верхней челюсти, проникновение сзади как в верхней, так и в нижней челюсти, коррекцию средней линии нижней челюсти и, в конечном счете, авторотацию нижней челюсти. Для устранения скученности зубов на нижней челюсти без дальнейшего удлинения зубов была применения техника задней интерпроксимальной редукции IPR (фото 7).
Фото 7a–f: 3D наложение запланированных движений.
Важно отметить, что в области коренных зубов максимальное предсказуемое проникновение только с помощью элайнеров составляет примерно 1 мм. Поэтому в случаях, требующих большего проникновения, важно усилить вертикальное перемещение с помощью каркасного крепления - в данном случае мини-винтов и эластиков.
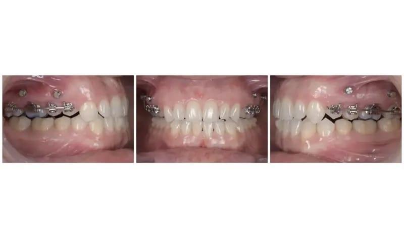
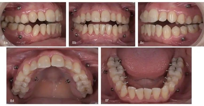
При первом приеме были прикреплены аттачменты. С буккальной стороны верхней челюсти были установлены мини-винты (1,6 × 10,0 мм) между первым и вторым премолярами и между первым и вторым молярами и с небной стороны - между первым и вторым премолярами. Пациентке было рекомендовано поверх элайнеров носить вертикальные эластики диаметром 12,7 мм, проходящие с двух сторон от буккальных до небных мини-винтов. В нижнюю челюсть с буккальной стороны были также поставлены мини-винты между первым и вторым премолярами и между первым и вторым молярами. Пациентку проинструктировали надевать эластики от этих мини-винтов поверх элайнеров на лингвальные кнопки (фото 8).
Фото 8a–e: Ситуация после установки верхнечелюстных и нижнечелюстных аттачментов и мини-винтов.
После установки 20-го элайнера лечение было приостановлено, чтобы повторно обследовать пациентку и спланировать заключительный этап. На этом этапе скученность была устранена, и открытый прикус был закрыт, хотя для установления стабильного правильного прикуса все еще требовалась дополнительная задняя интрузия. Эта доработка в процессе лечения имеет решающее значение для обеспечения точной подгонки и постоянной точности элайнеров.
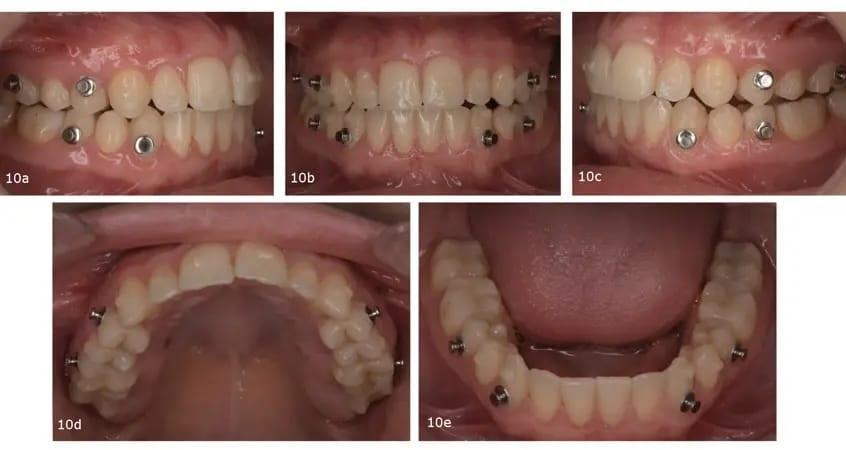
После этапа восстановления, который включал в себя использование 12 пар элайнеров, лечение было продолжено с акцентом на дальнейшее проникновение в заднюю часть верхней челюсти для точной настройки вертикальной коррекции (фото 9). Вторая серия элайнеров была нацелена на окончание лечения с конкретными целями улучшения задней интеркуспации, достижения точной коррекции средней линии и улучшения сагиттальных взаимоотношений с помощью задней IPR и билатеральное использование эластиков III класса (фото 10).
Фото 9a–d: Ситуация после установки 20-й пары элайнеров (FACE reset).
Фото 10a–e: Завершающий этап с элайнерами.
Окончательные результаты
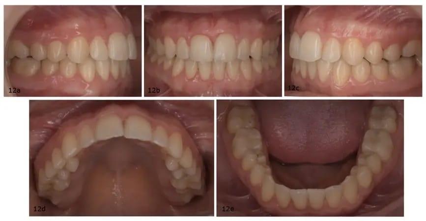
После 18 месяцев лечения, включая фазу восстановления и доработки, у пациентки наблюдались значительные улучшения в интраоральной области, в том числе более гармоничная линия улыбки, увеличенный вид резцов в состоянии покоя и заметное улучшение профиля лица благодаря эффективному автоматическому повороту нижней челюсти (фото 11). При интраоральном исследовании были получены следующие результаты: соотношение моляров и клыков I класса, правильное выравнивание обеих дуг, идеальный прикус, а также совпадение средних линий верхней и нижней челюсти (фото 12).
Фото 11a–f: Послеоперационные экстраоральные фотографии.
Фото 12a–e: Послеоперационные интраоральные фотографии.
Помимо окклюзионных и эстетических улучшений, вертикальный контроль привел к значительным изменениям лица, включая укорочение нижней трети лица, улучшение поддержки верхней и нижней губ и выдвижение подбородка на 5 мм вперед (фото 13). Важно отметить, что все эти изменения были достигнуты без усиления начальной резорбции корня, что подтверждается заключительной панорамной рентгенограммой (фото 14). Заключительная цефалометрическая рентгенограмма и трассировка подтвердили успешный результат лечения, продемонстрировав явные признаки авторотации нижней челюсти и укорочения нижней трети лица, что способствовало улучшению пропорций лица (фото 15).
Фото 13a-b: Сравнение профиля лица до (a) и после (b).
Фото 14: Послеоперационная панорамная рентгенограмма.
Фото 15: Послеоперационная панорамная рентгенограмма.
Более того, окончательная крепление виртуального артикулятора продемонстрировало точное соответствие между максимальной интеркуспацией пациента и истинной дугой смыкания. Такое выравнивание отражает достижение ортопедической стабильности — непременного условия для долгосрочного здоровья зубов, функционального прикуса и стабильности результатов лечения (фото 16).
Фото 16a–c: Крепление виртуального артикулятора с помощью MODJAW, демонстрирующее ортопедическую стабильность.
Случай 2: Сложный неправильный прикус и дисфункция височно-нижнечелюстного сустава
23-летняя девушка обратилась в клинику с основной жалобой на постоянные признаки и симптомы расстройства височно-нижнечелюстного сустава (ВНЧС). У пациента было симметричное строение лица, бимаксиллярный ретрузивный профиль и слегка увеличенная нижняя треть лица. При улыбке скученность зубов становилась очевидной (фото 17).
Фото 17a–f: Дооперационные экстраоральные фотографии.
Окклюзионный анализ выявил неправильный прикус 2-го класса, а также тенденцию к переднему открытому прикусу, недостаточную подвижность и неправильный прикус, сужение верхней и нижнечелюстной области, отрицательный крутящий момент в обоих задних сегментах и на резцах верхней челюсти, слишком выраженная кривая Шпее и сильная скученность на обеих дугах. Средние линии зубов не были выровнены по центру. Средняя линия нижней челюсти отклонена влево, главным образом из-за наклона резцов нижней челюсти. Несмотря на благоприятный биотип десны и адекватное прилегание десны, у пациентки наблюдалась локализованная рецессия десны и абфракционные поражения — скорее всего, результат окклюзионной нестабильности и функциональной перегрузки (фото 18).
Фото 18a–e: Дооперационные интраоральные фотографии.
Панорамная рентгенограмма показала предварительное удаление всех третьих моляров, локальную резорбцию корней нескольких зубов, в целом хорошее состояние пародонта и атипичную морфологию мыщелков, свидетельствующую о ремоделировании височно-нижнечелюстного сустава (ВНЧС) или дегенеративных изменениях (фото 19). Цефалометрическая рентгенограмма и трассировка выявили мезобрахиально-лицевой тип скелета и тенденцию к формированию скелета II класса (фото 20).
Фото 19: Дооперационная панорамная рентгенограмма.
Фото 20a-b: Дооперационная цефалометрическая рентгенография перед лечением (а) и трассировка (b).
Оценка состояния ВНЧС
Основная проблема пациентки, связанная с неуверенностью в жевании, является классическим показателем нестабильности окклюзии. Дополнительные симптомы включали ночной бруксизм, утреннюю мышечную усталость и редкие эпизоды заклинивания нижней челюсти.
Установка виртуального артикулятора с использованием MODJAW выявила значительное несоответствие между максимальной интеркуспацией и центральной окклюзией (фото 21). КЛКТ суставов дополнительно подтвердила патологию суставов, показав смещение правого мыщелка вниз, уплощение суставных поверхностей обоих мыщелков и раздвоение морфологии левого мыщелка (фото 22). Наличие симптомов ВНЧС, выраженное несоответствие между максимальной интеркуспацией и центральной окклюзией, а также клинические признаки рецессии десны и абфракционных поражений свидетельствуют о нестабильности сустава - лечение началось с помощью аппарата для репозиции мыщелков.
Фото 21a–c: Крепление виртуального артикулятора с помощью MODJAW, демонстрирующее несоответствие между максимальной интеркуспацией и центральной окклюзией.
Фото 22a–h: Сагиттальные изображения височно-нижнечелюстного сустава, полученные при КЛКТ-сканировании.
Шинотерапия
Была выбрана сплинт-шина, состоящая из двух частей, ее можно носить 24 часа в сутки в заднем сегменте днем и в переднем сегменте ночью (фото 23). Лечение шинами продолжалось в течение четырех месяцев, в течение которых было достигнуто стабильное положение мыщелков, пациентка добилась одномоментного закрывания рта и была достигнута полная ремиссия симптомов ВНЧС. В результате ротации нижней челюсти изменился прикус, что привело к увеличению переднего открытого прикуса (фото 24), увеличенное горизонтальное перекрытие верхних и нижних передних зубов (фото 25) и улучшение челюсти до классификации II класса (фото 26).
Фото 23a-b: Cплинт-шина, состоящая из двух частей. Задний сегмент (a). Передний сегмент (b).
Фото 24: Рентгенограмма лобной области после наложения шины (увеличенный передний открытый прикус).
Фото 25: Цефалометрическая рентгенограмма после шинотерапии (увеличенное горизонтальное перекрытие).
Фото 26a–c: Виртуальный артикулятор, показывающий окклюзионные изменения после наложения шины.
Планирование лечения
VTO, основанная на цефалометрическом анализе после наложения шины, определила биомеханические потребности для решения проблемы и достижения целей: наклонение резцов верхней челюсти на 9°, смещение резцов нижней челюсти на 2 мм для выравнивания кривой Шпее и смещение задних сегментов верхней челюсти на 3 мм для облегчения смыкания открытого прикуса за счет авторотации нижней челюсти. Затем этот комплексный план был передан группе планирования для изготовления цифрового элайнера (фото 27).
Фото 27a–d: Визуальные цели лечения. Ситуация после наложения шины (a). Ситуация после первой вертикальной авторотации нижней челюсти (b); столкновение резцов и коренных зубов. Ситуация после коррекции положения резцов верхней и нижней челюсти в 3D (c). Ситуация после интрузии коренных зубов (d).
Механика и биомеханика лечения
В ходе цифровой 3D-процедуры обе дуги были улучшены за счет приложения положительного крутящего момента к задним сегментам, что способствовало правильному выравниванию. Конкретные запланированные движения включали в себя проклинацию резцов верхней челюсти, а также ретракцию и интрузию резцов нижней челюсти. IPR в области нижней челюсти была запланирована для того, чтобы уменьшить скученность без дальнейшей проклинации.
Поскольку для обеспечения авторотации нижней челюсти требуемая интрузия задних зубов верхней челюсти превышала 1 мм, были рекомендованы межрадиулярные мини-винты для увеличения приложения усилия и обеспечения контролируемого вертикального перемещения (фото 28). На первом приеме были прикреплены аттачменты в соответствии с цифровой настройкой. В верхнюю челюсть было вживлено в общей сложности шесть мини-винтов: четыре с буккальной стороны между первым и вторым премолярами и два с небной стороны между первым и вторым молярами. Пациентке было рекомендовано надеть эластики с двух сторон поверх элайнеров и закрепить их мини-винтами для облегчения задней интрузии (фото 29).
Фото 28: 3D наложение запланированных интрузивных движений.
Фото 29a–e Ситуация после установки верхнечелюстных и нижнечелюстных аттачментов и мини-винтов (a–c). Эластики на верхнечелюстном элайнере (d). Нижнечелюстной элайнер после установки аттачментов (e).
Активное ортодонтическое лечение проводилось с использованием 60 элайнеров для верхней и нижней челюстей, поставленных поэтапно: 30 пар элайнеров для начальной фазы, 18 элайнеров для первой коррекции и 12 пар элайнеров для второй коррекции. На заключительном этапе лечения были назначены межчелюстные эластики для улучшения соотношения зубов II класса и усиления окончательной интеркуспации. Общее время лечения составило 18 месяцев, включая периоды, когда пациентка носила ретейнеры типа Essix между этапами лечения.
Окончательные результаты
Улучшенная эстетика улыбки была достигнута благодаря расширению челюстной дуги и устранению скученности. Также была уменьшена нижняя треть лица, улучшена проекция подбородка и улучшена поддержка губ (фото 30).
Фото 30a–f: Послеоперационные экстраоральные фотографии.
Обе дуги имели улучшенную форму (увеличились примерно на 1,5 мм с каждой стороны), хорошо выровненные зубы и была устранена первоначальная скученность. Были достигнуты двусторонние взаимоотношения коренных зубов и клыков I класса, а также хороший конечный прикус. Резцы верхней челюсти были наклонены (U1–PP от 93° до 106°), а резцы нижней челюсти были слегка втянуты (IMPA от 99,4° до 97,2°). Средние линии были расположены по центру (фото 31).
Фото 31a–e: Послеоперационные интраоральные фотографии.
Послеоперационная панорамная рентгенограмма показала хорошую параллельность корней, отсутствие ранее существовавшей резорбции корней и состояние пародонта (фото 32). Заключительная цефалометрическая рентгенограмма и трассировка показали, что несмотря на то, что у пациентки сохранился скелет II класса, показатели улучшились благодаря авторотации нижней челюсти (ANB с 6,9° после наложения шин до 4,4° в конце лечения. Такая авторотация также улучшила вертикальные измерения в период от шинотерапии до конца лечения: угол наклона верхней челюсти (SN–OP) уменьшился с 18,6° до 16,2°, лицевая ось по Ricketts от 92,7° до 91,4° и сумма углов Бьёрку от 392,0° до 387,6° (фото 33).
Фото 32: Послеоперационная панорамная рентгенограмма
Фото 33a-b: Послеоперационная цефалометрическая рентгенограмма (a) и трассировка (b).
Наконец, и это самое важное, была достигнута ортопедическая стабильность, и не было никаких расхождений между максимальной интеркуспацией и центральной окклюзией (фото 34). Также наблюдалось полное исчезновение симптомов ВНЧС.
Фото 34a–c: Крепление виртуального артикулятора с помощью MODJAW, демонстрирующее ортопедическую стабильность.
Случай 3: Признаки и симптомы ВНЧС после установки элайнера
В этом случае речь идет о 29-летней женщине, симптомы которой были связаны с прикусом. Несмотря на то, что ранее она проходила ортодонтическое лечение, она испытывала дискомфорт в области ВНЧС.
У нее было симметричное лицо, недостаточная видимость резцов в покое и повышенная видимость десен в задних сегментах во время улыбки. Отмечалась гипертрофия жевательных мышц (фото 35). Были отмечены нормальные мезио-дистальные соотношения зубных дуг, а также молярные и клыковые взаимоотношения Class I. Средние линии зубов были выровнены по центру. Однако наблюдалась тенденция к переднему открытому прикусу, отсутствию как избыточного, так и отрицательного крутящего момента на резцах верхней челюсти. Кроме того, у пациентки наблюдались признаки износа зубов и искривления резцов нижней челюсти - оба эти явления часто встречаются у пациентов с бруксизмом или привычкой сжимать зубы (фото 36).
Фото 35a-f: Дооперационные экстраоральные фотографии.
Фото 36a-e: Дооперационные экстраоральные фотографии.
Панорамная рентгенограмма выявила отсутствие третьих моляров, хорошую морфологию корней и параллельность резцов (фото 37). Цефалометрическая рентгенограмма и трассировка показали тенденцию к формированию скелета III класса, характеризующегося коротким основанием черепа и длинной нижней челюстью - чрезмерным развитием нижней трети лица. Наклон верхних резцов внутрь, к нёбу (ретроклинация), и проклинированные (проклонённые) нижние резцы (фото 38).
Фото 37: Дооперационная панорамная рентгенограмма.
Фото 38a-b: Дооперационная цефалометрическая рентгенография (a) и трассировка (b).
Оценка состояния ВНЧС
Пациентка пожаловалась на боли в суставах и орофациальных мышцах, головные боли, боли в шее и ночной бруксизм. На КЛКТ были видны небольшие мыщелки с уплощенными суставными поверхностями. Правый мыщелок был расположен немного назад в нижнечелюстной ямке (фото 39). Кроме того, виртуальный артикулятор с использованием системы MODJAW показал, что существует значительное расхождение между максимальным смыканием и центральной окклюзией и что первый окклюзионный контакт произошел на зубе №27 (фото 40).
Фото 39a–h: Сагиттальные изображения височно-нижнечелюстного сустава, полученные при КЛКТ-сканировании.
Фото 40a–e: Предварительное крепление виртуального артикулятора с помощью MODJAW, демонстрирующее несоответствие между максимальной интеркуспацией и центральной окклюзией.
Шинотерапия
Учитывая эти данные, лечение было начато с шинотерапии, предназначенной для репозиции мыщелка и установления стабильных окклюзионных отношений. Пациентка носила шину в течение пяти месяцев, за это время было достигнуто стабильное положение мыщелка, единая замыкающая дуга и полная ремиссия симптомов ВНЧС (фото 41). Как было продемонстрировано при первоначальной установке виртуального артикулятора, шинотерапия привела к заметному улучшению переднего открытого прикуса (фото 42).
Фото 41a-b: Cплинт-шина, состоящая из двух частей. Задний сегмент (a). Передний сегмент (b)
Фото 42a–c: Окклюзионные изменения после наложения шины.
Механика и биомеханика лечения
Ортодонтическое лечение было запланировано с использованием гибридного подхода, сочетающего несъемные приспособления и элайнеры для эффективного устранения неправильного прикуса. Лечение началось с установки аппликаторов для коррекции прикуса на зубы №16, 17, 26 и 27, точно в соответствии с дугой смыкания зубов пациентки. Это послужило ключевым целям поддержания стабильного положения мыщелков, достигнутого с помощью сплит-терапии, и облегчения заднего проникновения для поддержания вертикального контроля.
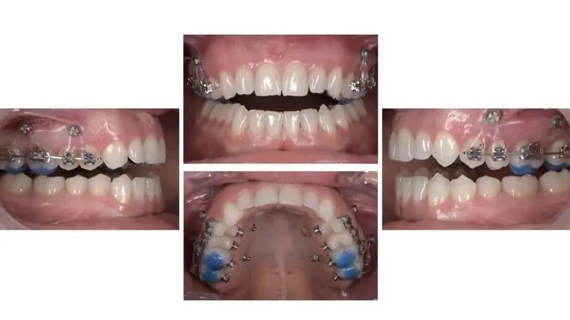
Трубки и брекеты были прикреплены к зубам № 14, 15, 16, 17, 24, 25, 26 и 27 и соединены с помощью секционных дуговых проволок. Кроме того, к небным поверхностям этих же зубов были прикреплены кнопки. Для поддержания вертикального контроля были стратегически установлены восемь мини-винтов (1,6 × 10,0 мм) — по четыре с каждой стороны, к небу с буккальной стороны между первым и вторым премолярами и между первым и вторым молярами в верхней дуге. Для передачи усилий от винтов к брекетам и небным кнопкам использовались С-образные чейны (фото 43).
Фото 43a–d: Секционная механика (гибридный подход): фиксаторы, трубки, брекеты и мини-винты для задней интрузии.
Одновременно была начата терапия элайнерами в области нижнечелюстной дуги, направленная на:
- улучшение формы дуги;
- положительный крутящий момент в задних сегментах;
- улучшенная поперечная координация;
- устранение преждевременных контактов;
- и опора для закрытия переднего прикуса (фото 44).
Фото 44a–c: Поперечная декомпенсация нижней челюсти, достигаемая с помощью элайнеров.
Эта первая гибридная фаза длилась всего три месяца, в течение которых была достигнута эффективная задняя интрузия верхней челюсти. В результате передний открытый прикус быстро закрылся за счет авторотации нижней челюсти, что подчеркивает эффективность гибридной техники. Более того, такой подход значительно сократил количество необходимых элайнеров и сократил общее время лечения (фото 45).
Фото 45a–c: Улучшение переднего открытого прикуса благодаря вертикальному контролю и авторотации нижней челюсти.
Как только прикус закрылся, лечение продолжили с помощью элайнеров в обеих дугах. Цели на этом этапе состояли в том, чтобы приложить положительный крутящий момент к резцам верхней челюсти и клыкам и слегка втянуть резцы нижней челюсти, а также использовать IPR для улучшения горизонтального перекрытия верхних и нижних передних зубов и достижения идеальной задней интеркуспации (фото 46). Всего было запланировано десять элайнеров для верхней и нижнечелюстной области, после чего был проведен дополнительный этап доработки с использованием еще десяти элайнеров для каждой дуги для окончательной обработки и детализации. Общее время лечения, включая первоначальную шинотерапию, составило 17 месяцев.
Фото 46a-b: 3D наложение запланированных движений с помощью элайнеров.
Окончательные результаты
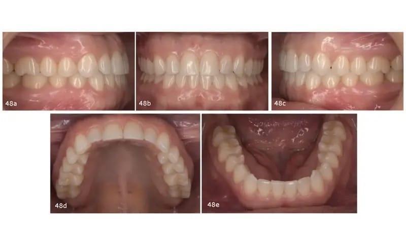
Стоит отметить два аспекта: значительное улучшение улыбки, заключающееся в том, что у пациентки больше не было видно задней десны из-за интрузии задних зубов верхней челюсти; а также более стройный внешний вид лица благодаря расслаблению мышц и уменьшению размера жевательных мышц (фото 47). Были достигнуты взаимоотношения коренных зубов и клыков I класса, а передний открытый прикус был закрыт, что привело к правильным выступу и прикусу. Положительный крутящий момент, приложенный к задним сегментам верхней и нижней челюсти, улучшил форму дуги. Резцы верхней челюсти были наклонены вперед (U1–PP от 105° до 112° после обработки), а резцы нижней челюсти - назад (IMPA от 98° до 93° после обработки; фото 48).
Фото 47a–f: Послеоперационные экстраоральные фотографии.
Фото 48a–e: Послеоперационные интраоральные фотографии.
Заключительная панорамная рентгенограмма показала хорошую параллельность корней и подтвердила, что все цели лечения были достигнуты без резорбции корней и вреда для здоровья пародонта (фото 49). Заключительная цефалометрическая рентгенограмма и трассировка подтвердили авторотацию нижней челюсти: лицевая ось составляла 95° до лечения и 97° после лечения, а высота передней части лица составляла 117,5 мм до лечения и 115,9 мм после лечения (фото 50).
Фото 49: Послеоперационная панорамная рентгенограмма.
Фото 50a-b: Послеоперационная цефалометрическая рентгенограмма (a) и трассировка (b).
Наконец, в результате лечения была достигнута ортопедическая стабильность (максимальная интеркуспация совпала с центральной окклюзией), а также улучшилось положение и морфология мыщелков. У пациентки также полностью отсутствовали симптомы ВНЧС (фото 51).
Фото 51a–c: Крепление виртуального артикулятора с помощью MODJAW, демонстрирующее ортопедическую стабильность.
Заключение
Вертикальный контроль с помощью элайнеров и мини-винтов доказал свою высокую эффективность при закрытии передних открытых прикусов, обеспечивая стабильные долгосрочные результаты. Использование системы элайнеров, которая включает в свое программное обеспечение для планирования смыкающуюся дугу пациента, особенно ценно для точного планирования ротации нижней челюсти и точного позиционирования резцов. Используя дугу закрытия при планировании лечения, можно избежать ненужных возвратно-поступательных движений, которые обычно приводят к использованию большего количества элайнеров, увеличению количества уточнений и увеличению продолжительности лечения.
Авторы:
Dr Domingo Martín
Dr Javier Aznar Arraiz
Вертикальный контроль с помощью элайнеров и мини-винтов обеспечивает предсказуемую нехирургическую коррекцию открытого прикуса за счет контролируемой фиксации коренных зубов и автоматической ротации нижней челюсти, обеспечивая стабильные долгосрочные клинические результаты.
Однако эта парадигма значительно изменилась с появлением скелетной фиксации, что позволило добиться более предсказуемого внедрения задних зубов и изменить окклюзионную плоскость. Эти биомеханические изменения способствуют автоматической ротации нижней челюсти - ключевому механизму, который в настоящее время считается вертикальным контролем при нехирургическом закрытии открытых прикусов.
Несмотря на эти достижения, по-прежнему часто можно наблюдать, как клиницисты, особенно на конференциях, пытаются исправить открытые прикусы, главным образом, с помощью передней экструзии. К сожалению, этот метод имеет высокую склонность к рецидивам, и после лечения часто наблюдается рецидив открытого прикуса. Напротив, когда коррекция достигается за счет интрузии коренных зубов, естественные жевательные силы, как правило, поддерживают смыкание зубов, что значительно снижает вероятность рецидива.
Важно подчеркнуть, что элайнеры - это идеальное устройство для обеспечения вертикального контроля. Физическая толщина элайнеров в сочетании с окклюзионными усилиями во время их использования может способствовать интрузии задних зубов.
Однако успешные результаты требуют точного планирования с самого начала, в частности, расчета необходимого объема вмешательства и четкого понимания сагиттальных изменений, которые могут возникнуть в результате устранения вертикального расхождения. Для достижения этой цели важно использовать артикулятор (ранее аналоговый, а теперь виртуальный), чтобы оценить окончательное сагиттальное соотношение после вертикальной коррекции. Кроме того, крайне важно использовать программное обеспечение для планирования лечения, которое учитывает фактическую ось шарнира или дугу смыкания, чтобы управлять автоматическим вращением нижней челюсти и обеспечивать физиологичные и стабильные результаты.
Цель этой статьи - представить серию клинических случаев открытого прикуса, которые были успешно вылечены с использованием методов вертикального контроля, сочетающих применение элайнеров и скелетного крепления с помощью мини-винтов.
Случай 1: Передний открытый прикус у пациентки с долихофациальной патологией
18-летняя девушка обратилась в клинику с основной жалобой на передний открытый прикус. У нее был долихофациальный (вертикальный) тип строения лица с симметричным внешним видом, отсутствием видимости резцов в состоянии покоя и обращенной вверх линией улыбки. Из-за бимаксиллярной ретрузии выпуклый профиль лица, сопровождается тупым носогубным углом (фото 1).
Фото 1a–f: Дооперационные экстраоральные фотографии.
Клинический осмотр выявил передний открытый прикус, по классификации III класса, сужение верхней челюсти, легкая скученность в обеих челюстных дугах и отклонение средней линии нижней челюсти вправо. Верхняя челюсть имела треугольную форму, в то время как нижняя челюсть была квадратной по форме (фото 2).
Фото 2a–e: Дооперационные интраоральные фотографии.
Панорамная рентгенограмма подтвердила наличие всех четырех зачатков третьих моляров. Примечательно, что в верхней челюсти наблюдалась выраженная резорбция корней, хотя общее состояние пародонта казалось хорошим (фото 3). Цефалометрический анализ показал тип скелета II класса, тенденцию к вертикальному росту и заднюю ротацию нижней челюсти. Было обнаружено, что резцы верхней и нижней челюсти слегка наклонены (фото 4).
Фото 3: Дооперационная панорамная рентгенограмма.
Фото 4a-b: Дооперационная цефалометрическая рентгенография перед лечением (а) и трассировка (b).
Измерения базальной ширины при КЛКТ-сканировании с использованием анализа по Penn показали, что ширина верхней челюсти составляет 57,7 мм, а ширина нижней челюсти - 54,8 мм, что дает разницу в +2,9 мм. Это указывало на то, что в данном случае не было необходимости в расширении скелета (фото 5).
Фото 5: Поперечный анализ КЛКТ-сканирования по Penn.
Планирование лечения
Чтобы предоставить четкие инструкции по установке элайнера и биомеханике, была создана виртуальная цель лечения (VTO). Было определено, что для облегчения автоматического поворота нижней челюсти и эффективного закрытия открытого прикуса потребуется проникновение внутрь зуба с задней стороны на 4 мм. Соответственно, для достижения вертикального контроля и благоприятного окклюзионного результата было запланировано вмешательство с задней стороны в обе челюсти (фото 6).
Фото 6a–c: Визуальные цели лечения. Дооперационная ситуация (a). Ситуация после автоматического поворота и позиционирования резцов (b). Ситуация после интрузии коренных зубов (c).
Механика и биомеханика лечения
Выбранная система элайнеров позволила имитировать вращение нижней челюсти спереди вокруг истинной оси шарнира - дуги смыкания, что является решающим фактором в успешном лечении передних открытых прикусов.
Используя программное обеспечение для планирования лечения, удалось смоделировать выравнивание обеих дуг (без выпячивания резцов), расширение верхней челюсти, проникновение сзади как в верхней, так и в нижней челюсти, коррекцию средней линии нижней челюсти и, в конечном счете, авторотацию нижней челюсти. Для устранения скученности зубов на нижней челюсти без дальнейшего удлинения зубов была применения техника задней интерпроксимальной редукции IPR (фото 7).
Фото 7a–f: 3D наложение запланированных движений.
Важно отметить, что в области коренных зубов максимальное предсказуемое проникновение только с помощью элайнеров составляет примерно 1 мм. Поэтому в случаях, требующих большего проникновения, важно усилить вертикальное перемещение с помощью каркасного крепления - в данном случае мини-винтов и эластиков.
При первом приеме были прикреплены аттачменты. С буккальной стороны верхней челюсти были установлены мини-винты (1,6 × 10,0 мм) между первым и вторым премолярами и между первым и вторым молярами и с небной стороны - между первым и вторым премолярами. Пациентке было рекомендовано поверх элайнеров носить вертикальные эластики диаметром 12,7 мм, проходящие с двух сторон от буккальных до небных мини-винтов. В нижнюю челюсть с буккальной стороны были также поставлены мини-винты между первым и вторым премолярами и между первым и вторым молярами. Пациентку проинструктировали надевать эластики от этих мини-винтов поверх элайнеров на лингвальные кнопки (фото 8).
Фото 8a–e: Ситуация после установки верхнечелюстных и нижнечелюстных аттачментов и мини-винтов.
После установки 20-го элайнера лечение было приостановлено, чтобы повторно обследовать пациентку и спланировать заключительный этап. На этом этапе скученность была устранена, и открытый прикус был закрыт, хотя для установления стабильного правильного прикуса все еще требовалась дополнительная задняя интрузия. Эта доработка в процессе лечения имеет решающее значение для обеспечения точной подгонки и постоянной точности элайнеров.
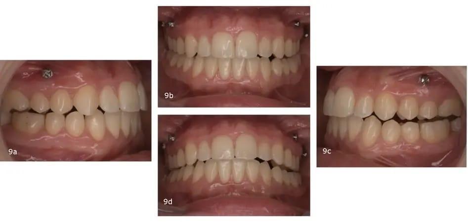
После этапа восстановления, который включал в себя использование 12 пар элайнеров, лечение было продолжено с акцентом на дальнейшее проникновение в заднюю часть верхней челюсти для точной настройки вертикальной коррекции (фото 9). Вторая серия элайнеров была нацелена на окончание лечения с конкретными целями улучшения задней интеркуспации, достижения точной коррекции средней линии и улучшения сагиттальных взаимоотношений с помощью задней IPR и билатеральное использование эластиков III класса (фото 10).
Фото 9a–d: Ситуация после установки 20-й пары элайнеров (FACE reset).
Фото 10a–e: Завершающий этап с элайнерами.
Окончательные результаты
После 18 месяцев лечения, включая фазу восстановления и доработки, у пациентки наблюдались значительные улучшения в интраоральной области, в том числе более гармоничная линия улыбки, увеличенный вид резцов в состоянии покоя и заметное улучшение профиля лица благодаря эффективному автоматическому повороту нижней челюсти (фото 11). При интраоральном исследовании были получены следующие результаты: соотношение моляров и клыков I класса, правильное выравнивание обеих дуг, идеальный прикус, а также совпадение средних линий верхней и нижней челюсти (фото 12).
Фото 11a–f: Послеоперационные экстраоральные фотографии.
Фото 12a–e: Послеоперационные интраоральные фотографии.
Помимо окклюзионных и эстетических улучшений, вертикальный контроль привел к значительным изменениям лица, включая укорочение нижней трети лица, улучшение поддержки верхней и нижней губ и выдвижение подбородка на 5 мм вперед (фото 13). Важно отметить, что все эти изменения были достигнуты без усиления начальной резорбции корня, что подтверждается заключительной панорамной рентгенограммой (фото 14). Заключительная цефалометрическая рентгенограмма и трассировка подтвердили успешный результат лечения, продемонстрировав явные признаки авторотации нижней челюсти и укорочения нижней трети лица, что способствовало улучшению пропорций лица (фото 15).
Фото 13a-b: Сравнение профиля лица до (a) и после (b).
Фото 14: Послеоперационная панорамная рентгенограмма.
Фото 15: Послеоперационная панорамная рентгенограмма.
Более того, окончательная крепление виртуального артикулятора продемонстрировало точное соответствие между максимальной интеркуспацией пациента и истинной дугой смыкания. Такое выравнивание отражает достижение ортопедической стабильности — непременного условия для долгосрочного здоровья зубов, функционального прикуса и стабильности результатов лечения (фото 16).
Фото 16a–c: Крепление виртуального артикулятора с помощью MODJAW, демонстрирующее ортопедическую стабильность.
Случай 2: Сложный неправильный прикус и дисфункция височно-нижнечелюстного сустава
23-летняя девушка обратилась в клинику с основной жалобой на постоянные признаки и симптомы расстройства височно-нижнечелюстного сустава (ВНЧС). У пациента было симметричное строение лица, бимаксиллярный ретрузивный профиль и слегка увеличенная нижняя треть лица. При улыбке скученность зубов становилась очевидной (фото 17).
Фото 17a–f: Дооперационные экстраоральные фотографии.
Окклюзионный анализ выявил неправильный прикус 2-го класса, а также тенденцию к переднему открытому прикусу, недостаточную подвижность и неправильный прикус, сужение верхней и нижнечелюстной области, отрицательный крутящий момент в обоих задних сегментах и на резцах верхней челюсти, слишком выраженная кривая Шпее и сильная скученность на обеих дугах. Средние линии зубов не были выровнены по центру. Средняя линия нижней челюсти отклонена влево, главным образом из-за наклона резцов нижней челюсти. Несмотря на благоприятный биотип десны и адекватное прилегание десны, у пациентки наблюдалась локализованная рецессия десны и абфракционные поражения — скорее всего, результат окклюзионной нестабильности и функциональной перегрузки (фото 18).
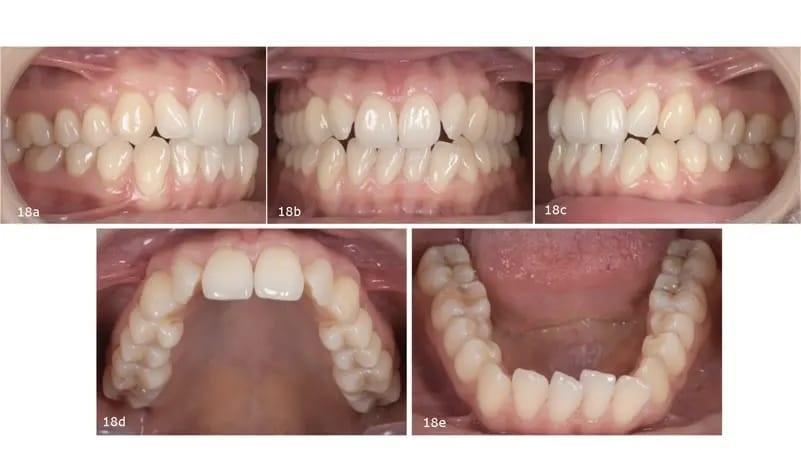
Фото 18a–e: Дооперационные интраоральные фотографии.
Панорамная рентгенограмма показала предварительное удаление всех третьих моляров, локальную резорбцию корней нескольких зубов, в целом хорошее состояние пародонта и атипичную морфологию мыщелков, свидетельствующую о ремоделировании височно-нижнечелюстного сустава (ВНЧС) или дегенеративных изменениях (фото 19). Цефалометрическая рентгенограмма и трассировка выявили мезобрахиально-лицевой тип скелета и тенденцию к формированию скелета II класса (фото 20).
Фото 19: Дооперационная панорамная рентгенограмма.
Фото 20a-b: Дооперационная цефалометрическая рентгенография перед лечением (а) и трассировка (b).
Оценка состояния ВНЧС
Основная проблема пациентки, связанная с неуверенностью в жевании, является классическим показателем нестабильности окклюзии. Дополнительные симптомы включали ночной бруксизм, утреннюю мышечную усталость и редкие эпизоды заклинивания нижней челюсти.
Установка виртуального артикулятора с использованием MODJAW выявила значительное несоответствие между максимальной интеркуспацией и центральной окклюзией (фото 21). КЛКТ суставов дополнительно подтвердила патологию суставов, показав смещение правого мыщелка вниз, уплощение суставных поверхностей обоих мыщелков и раздвоение морфологии левого мыщелка (фото 22). Наличие симптомов ВНЧС, выраженное несоответствие между максимальной интеркуспацией и центральной окклюзией, а также клинические признаки рецессии десны и абфракционных поражений свидетельствуют о нестабильности сустава - лечение началось с помощью аппарата для репозиции мыщелков.
Фото 21a–c: Крепление виртуального артикулятора с помощью MODJAW, демонстрирующее несоответствие между максимальной интеркуспацией и центральной окклюзией.
Фото 22a–h: Сагиттальные изображения височно-нижнечелюстного сустава, полученные при КЛКТ-сканировании.
Шинотерапия
Была выбрана сплинт-шина, состоящая из двух частей, ее можно носить 24 часа в сутки в заднем сегменте днем и в переднем сегменте ночью (фото 23). Лечение шинами продолжалось в течение четырех месяцев, в течение которых было достигнуто стабильное положение мыщелков, пациентка добилась одномоментного закрывания рта и была достигнута полная ремиссия симптомов ВНЧС. В результате ротации нижней челюсти изменился прикус, что привело к увеличению переднего открытого прикуса (фото 24), увеличенное горизонтальное перекрытие верхних и нижних передних зубов (фото 25) и улучшение челюсти до классификации II класса (фото 26).
Фото 23a-b: Cплинт-шина, состоящая из двух частей. Задний сегмент (a). Передний сегмент (b).
Фото 24: Рентгенограмма лобной области после наложения шины (увеличенный передний открытый прикус).
Фото 25: Цефалометрическая рентгенограмма после шинотерапии (увеличенное горизонтальное перекрытие).
Фото 26a–c: Виртуальный артикулятор, показывающий окклюзионные изменения после наложения шины.
Планирование лечения
VTO, основанная на цефалометрическом анализе после наложения шины, определила биомеханические потребности для решения проблемы и достижения целей: наклонение резцов верхней челюсти на 9°, смещение резцов нижней челюсти на 2 мм для выравнивания кривой Шпее и смещение задних сегментов верхней челюсти на 3 мм для облегчения смыкания открытого прикуса за счет авторотации нижней челюсти. Затем этот комплексный план был передан группе планирования для изготовления цифрового элайнера (фото 27).
Фото 27a–d: Визуальные цели лечения. Ситуация после наложения шины (a). Ситуация после первой вертикальной авторотации нижней челюсти (b); столкновение резцов и коренных зубов. Ситуация после коррекции положения резцов верхней и нижней челюсти в 3D (c). Ситуация после интрузии коренных зубов (d).
Механика и биомеханика лечения
В ходе цифровой 3D-процедуры обе дуги были улучшены за счет приложения положительного крутящего момента к задним сегментам, что способствовало правильному выравниванию. Конкретные запланированные движения включали в себя проклинацию резцов верхней челюсти, а также ретракцию и интрузию резцов нижней челюсти. IPR в области нижней челюсти была запланирована для того, чтобы уменьшить скученность без дальнейшей проклинации.
Поскольку для обеспечения авторотации нижней челюсти требуемая интрузия задних зубов верхней челюсти превышала 1 мм, были рекомендованы межрадиулярные мини-винты для увеличения приложения усилия и обеспечения контролируемого вертикального перемещения (фото 28). На первом приеме были прикреплены аттачменты в соответствии с цифровой настройкой. В верхнюю челюсть было вживлено в общей сложности шесть мини-винтов: четыре с буккальной стороны между первым и вторым премолярами и два с небной стороны между первым и вторым молярами. Пациентке было рекомендовано надеть эластики с двух сторон поверх элайнеров и закрепить их мини-винтами для облегчения задней интрузии (фото 29).
Фото 28: 3D наложение запланированных интрузивных движений.
Фото 29a–e Ситуация после установки верхнечелюстных и нижнечелюстных аттачментов и мини-винтов (a–c). Эластики на верхнечелюстном элайнере (d). Нижнечелюстной элайнер после установки аттачментов (e).
Активное ортодонтическое лечение проводилось с использованием 60 элайнеров для верхней и нижней челюстей, поставленных поэтапно: 30 пар элайнеров для начальной фазы, 18 элайнеров для первой коррекции и 12 пар элайнеров для второй коррекции. На заключительном этапе лечения были назначены межчелюстные эластики для улучшения соотношения зубов II класса и усиления окончательной интеркуспации. Общее время лечения составило 18 месяцев, включая периоды, когда пациентка носила ретейнеры типа Essix между этапами лечения.
Окончательные результаты
Улучшенная эстетика улыбки была достигнута благодаря расширению челюстной дуги и устранению скученности. Также была уменьшена нижняя треть лица, улучшена проекция подбородка и улучшена поддержка губ (фото 30).
Фото 30a–f: Послеоперационные экстраоральные фотографии.
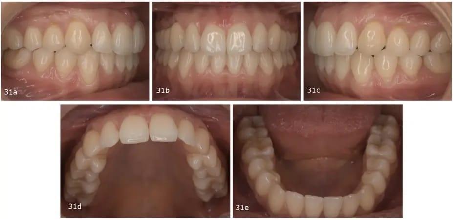
Обе дуги имели улучшенную форму (увеличились примерно на 1,5 мм с каждой стороны), хорошо выровненные зубы и была устранена первоначальная скученность. Были достигнуты двусторонние взаимоотношения коренных зубов и клыков I класса, а также хороший конечный прикус. Резцы верхней челюсти были наклонены (U1–PP от 93° до 106°), а резцы нижней челюсти были слегка втянуты (IMPA от 99,4° до 97,2°). Средние линии были расположены по центру (фото 31).
Фото 31a–e: Послеоперационные интраоральные фотографии.
Послеоперационная панорамная рентгенограмма показала хорошую параллельность корней, отсутствие ранее существовавшей резорбции корней и состояние пародонта (фото 32). Заключительная цефалометрическая рентгенограмма и трассировка показали, что несмотря на то, что у пациентки сохранился скелет II класса, показатели улучшились благодаря авторотации нижней челюсти (ANB с 6,9° после наложения шин до 4,4° в конце лечения. Такая авторотация также улучшила вертикальные измерения в период от шинотерапии до конца лечения: угол наклона верхней челюсти (SN–OP) уменьшился с 18,6° до 16,2°, лицевая ось по Ricketts от 92,7° до 91,4° и сумма углов Бьёрку от 392,0° до 387,6° (фото 33).
Фото 32: Послеоперационная панорамная рентгенограмма
Фото 33a-b: Послеоперационная цефалометрическая рентгенограмма (a) и трассировка (b).
Наконец, и это самое важное, была достигнута ортопедическая стабильность, и не было никаких расхождений между максимальной интеркуспацией и центральной окклюзией (фото 34). Также наблюдалось полное исчезновение симптомов ВНЧС.
Фото 34a–c: Крепление виртуального артикулятора с помощью MODJAW, демонстрирующее ортопедическую стабильность.
Случай 3: Признаки и симптомы ВНЧС после установки элайнера
В этом случае речь идет о 29-летней женщине, симптомы которой были связаны с прикусом. Несмотря на то, что ранее она проходила ортодонтическое лечение, она испытывала дискомфорт в области ВНЧС.
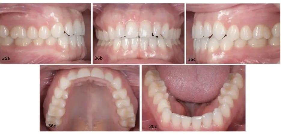
У нее было симметричное лицо, недостаточная видимость резцов в покое и повышенная видимость десен в задних сегментах во время улыбки. Отмечалась гипертрофия жевательных мышц (фото 35). Были отмечены нормальные мезио-дистальные соотношения зубных дуг, а также молярные и клыковые взаимоотношения Class I. Средние линии зубов были выровнены по центру. Однако наблюдалась тенденция к переднему открытому прикусу, отсутствию как избыточного, так и отрицательного крутящего момента на резцах верхней челюсти. Кроме того, у пациентки наблюдались признаки износа зубов и искривления резцов нижней челюсти - оба эти явления часто встречаются у пациентов с бруксизмом или привычкой сжимать зубы (фото 36).
Фото 35a-f: Дооперационные экстраоральные фотографии.
Фото 36a-e: Дооперационные экстраоральные фотографии.
Панорамная рентгенограмма выявила отсутствие третьих моляров, хорошую морфологию корней и параллельность резцов (фото 37). Цефалометрическая рентгенограмма и трассировка показали тенденцию к формированию скелета III класса, характеризующегося коротким основанием черепа и длинной нижней челюстью - чрезмерным развитием нижней трети лица. Наклон верхних резцов внутрь, к нёбу (ретроклинация), и проклинированные (проклонённые) нижние резцы (фото 38).
Фото 37: Дооперационная панорамная рентгенограмма.
Фото 38a-b: Дооперационная цефалометрическая рентгенография (a) и трассировка (b).
Оценка состояния ВНЧС
Пациентка пожаловалась на боли в суставах и орофациальных мышцах, головные боли, боли в шее и ночной бруксизм. На КЛКТ были видны небольшие мыщелки с уплощенными суставными поверхностями. Правый мыщелок был расположен немного назад в нижнечелюстной ямке (фото 39). Кроме того, виртуальный артикулятор с использованием системы MODJAW показал, что существует значительное расхождение между максимальным смыканием и центральной окклюзией и что первый окклюзионный контакт произошел на зубе №27 (фото 40).
Фото 39a–h: Сагиттальные изображения височно-нижнечелюстного сустава, полученные при КЛКТ-сканировании.
Фото 40a–e: Предварительное крепление виртуального артикулятора с помощью MODJAW, демонстрирующее несоответствие между максимальной интеркуспацией и центральной окклюзией.
Шинотерапия
Учитывая эти данные, лечение было начато с шинотерапии, предназначенной для репозиции мыщелка и установления стабильных окклюзионных отношений. Пациентка носила шину в течение пяти месяцев, за это время было достигнуто стабильное положение мыщелка, единая замыкающая дуга и полная ремиссия симптомов ВНЧС (фото 41). Как было продемонстрировано при первоначальной установке виртуального артикулятора, шинотерапия привела к заметному улучшению переднего открытого прикуса (фото 42).
Фото 41a-b: Cплинт-шина, состоящая из двух частей. Задний сегмент (a). Передний сегмент (b)
Фото 42a–c: Окклюзионные изменения после наложения шины.
Механика и биомеханика лечения
Ортодонтическое лечение было запланировано с использованием гибридного подхода, сочетающего несъемные приспособления и элайнеры для эффективного устранения неправильного прикуса. Лечение началось с установки аппликаторов для коррекции прикуса на зубы №16, 17, 26 и 27, точно в соответствии с дугой смыкания зубов пациентки. Это послужило ключевым целям поддержания стабильного положения мыщелков, достигнутого с помощью сплит-терапии, и облегчения заднего проникновения для поддержания вертикального контроля.
Трубки и брекеты были прикреплены к зубам № 14, 15, 16, 17, 24, 25, 26 и 27 и соединены с помощью секционных дуговых проволок. Кроме того, к небным поверхностям этих же зубов были прикреплены кнопки. Для поддержания вертикального контроля были стратегически установлены восемь мини-винтов (1,6 × 10,0 мм) — по четыре с каждой стороны, к небу с буккальной стороны между первым и вторым премолярами и между первым и вторым молярами в верхней дуге. Для передачи усилий от винтов к брекетам и небным кнопкам использовались С-образные чейны (фото 43).
Фото 43a–d: Секционная механика (гибридный подход): фиксаторы, трубки, брекеты и мини-винты для задней интрузии.
Одновременно была начата терапия элайнерами в области нижнечелюстной дуги, направленная на:
- улучшение формы дуги;
- положительный крутящий момент в задних сегментах;
- улучшенная поперечная координация;
- устранение преждевременных контактов;
- и опора для закрытия переднего прикуса (фото 44).
Фото 44a–c: Поперечная декомпенсация нижней челюсти, достигаемая с помощью элайнеров.
Эта первая гибридная фаза длилась всего три месяца, в течение которых была достигнута эффективная задняя интрузия верхней челюсти. В результате передний открытый прикус быстро закрылся за счет авторотации нижней челюсти, что подчеркивает эффективность гибридной техники. Более того, такой подход значительно сократил количество необходимых элайнеров и сократил общее время лечения (фото 45).
Фото 45a–c: Улучшение переднего открытого прикуса благодаря вертикальному контролю и авторотации нижней челюсти.
Как только прикус закрылся, лечение продолжили с помощью элайнеров в обеих дугах. Цели на этом этапе состояли в том, чтобы приложить положительный крутящий момент к резцам верхней челюсти и клыкам и слегка втянуть резцы нижней челюсти, а также использовать IPR для улучшения горизонтального перекрытия верхних и нижних передних зубов и достижения идеальной задней интеркуспации (фото 46). Всего было запланировано десять элайнеров для верхней и нижнечелюстной области, после чего был проведен дополнительный этап доработки с использованием еще десяти элайнеров для каждой дуги для окончательной обработки и детализации. Общее время лечения, включая первоначальную шинотерапию, составило 17 месяцев.
Фото 46a-b: 3D наложение запланированных движений с помощью элайнеров.
Окончательные результаты
Стоит отметить два аспекта: значительное улучшение улыбки, заключающееся в том, что у пациентки больше не было видно задней десны из-за интрузии задних зубов верхней челюсти; а также более стройный внешний вид лица благодаря расслаблению мышц и уменьшению размера жевательных мышц (фото 47). Были достигнуты взаимоотношения коренных зубов и клыков I класса, а передний открытый прикус был закрыт, что привело к правильным выступу и прикусу. Положительный крутящий момент, приложенный к задним сегментам верхней и нижней челюсти, улучшил форму дуги. Резцы верхней челюсти были наклонены вперед (U1–PP от 105° до 112° после обработки), а резцы нижней челюсти - назад (IMPA от 98° до 93° после обработки; фото 48).
Фото 47a–f: Послеоперационные экстраоральные фотографии.
Фото 48a–e: Послеоперационные интраоральные фотографии.
Заключительная панорамная рентгенограмма показала хорошую параллельность корней и подтвердила, что все цели лечения были достигнуты без резорбции корней и вреда для здоровья пародонта (фото 49). Заключительная цефалометрическая рентгенограмма и трассировка подтвердили авторотацию нижней челюсти: лицевая ось составляла 95° до лечения и 97° после лечения, а высота передней части лица составляла 117,5 мм до лечения и 115,9 мм после лечения (фото 50).
Фото 49: Послеоперационная панорамная рентгенограмма.
Фото 50a-b: Послеоперационная цефалометрическая рентгенограмма (a) и трассировка (b).
Наконец, в результате лечения была достигнута ортопедическая стабильность (максимальная интеркуспация совпала с центральной окклюзией), а также улучшилось положение и морфология мыщелков. У пациентки также полностью отсутствовали симптомы ВНЧС (фото 51).
Фото 51a–c: Крепление виртуального артикулятора с помощью MODJAW, демонстрирующее ортопедическую стабильность.
Заключение
Вертикальный контроль с помощью элайнеров и мини-винтов доказал свою высокую эффективность при закрытии передних открытых прикусов, обеспечивая стабильные долгосрочные результаты. Использование системы элайнеров, которая включает в свое программное обеспечение для планирования смыкающуюся дугу пациента, особенно ценно для точного планирования ротации нижней челюсти и точного позиционирования резцов. Используя дугу закрытия при планировании лечения, можно избежать ненужных возвратно-поступательных движений, которые обычно приводят к использованию большего количества элайнеров, увеличению количества уточнений и увеличению продолжительности лечения.
Авторы:
Dr Domingo Martín
Dr Javier Aznar Arraiz



1 комментарий
Работа отличная, перевод ужасный!