Получение точной оценки причин серьезного разрушения зубов имеет решающее значение при планировании клинического процесса в случаях полной реабилитации полости рта. Некоторые случаи, которые изначально кажутся чрезвычайно сложными, могут оказаться на удивление простыми, особенно если у пациента приемлемая функциональная окклюзия. В представленном, казалось бы, очень сложном случае для получения надежной точки опоры при протезировании для восстановления всей полости рта потребовалось использовать только упорную пластину Lucia jig. Увеличение вертикального размера окклюзии позволило обеспечить предсказуемое восстановление функций и эстетики. Лечение проводилось поэтапно для удобства пациента, и конечный результат обеспечил пациенту вновь обретенную уверенность в своей улыбке и комфорт во время приема пищи.
Обзор клинического случая
Мужчина, 54 года, был направлен к автору по поводу истирания зубных рядов и эрозии, которые, как предполагалось, были вызваны выраженным бруксизмом (Фото 1 и Фото 2). Его лечащий врач не был уверен, с чего начать планирование лечения, из-за предполагаемой сложности случая. Основной проблемой пациента был страх потерять часть или все зубы из-за обширного разрушения эмали (Фото 3). Были собраны снимки и подробные медицинские и стоматологические истории болезни, а также проведено детальное клиническое обследование. Полные снимки, фотографии и цифровые сканы были отправлены в зуботехническую лабораторию, и был разработан план лечения. У пациента было сильное желание действовать, и он принял этот план. Клинический случай был разбит на сегменты для обеспечения предсказуемой и более удобной реконструкции.
Фото 1: Фото улыбки анфас до лечения. Пациент хотел сохранить свои зубы и улучшить свою улыбку.
Фото 2: Максимальный бугорково-фиссурный контакт зубов-антагонистов до лечения. Обратите внимание на эрозию шейки и потерю эмали, не связанные с окклюзией.
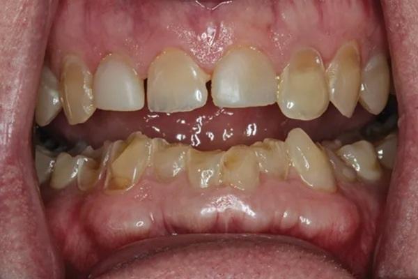
Фото 3: Передние зубы до лечения. Обратите внимание на сильное разрушение большинства зубов пациента.
Медицинский и стоматологический анамнез
Пациент сообщил об аллергии на несколько лекарственных препаратов, включая Имитрекс, Нуприн, Индерал, Топамакс и пенициллин. Он проходил лечение от сахарного диабета (уровень гемоглобина A1c составлял 7,5) и гипертонии лизиноприлом и верапамилом. Пациент также сообщил о ранее поставленных диагнозах апноэ во сне и кислотного рефлюкса. Эти два состояния были в значительной степени преодолены благодаря значительной потере веса и изменению привычек ко сну, поэтому его врач больше не рекомендовал использовать аппарат для поддержания непрерывного положительного давления в дыхательных путях (НПДДП) или лекарства от рефлюкса. Пациент был отнесен к классу III по Американской ассоциации анестезиологов (ASA).
Стоматологический анамнез пациента включал истончение и сколы зубов, ограниченное открывание рта, усталость челюстей и неспособность употреблять твердую пищу. Он сообщил, что предыдущие стоматологи говорили ему, что он скрежещет зубами. Он также сообщил о сухости во рту.
Диагностика, оценка рисков и прогноз
Пародонт: Глубина зондирования пациента составила 3 мм, при зондировании были обнаружены три очага кровотечения. Прикрепленная десна была в норме. Рентгенологически выраженная потеря костной массы составила от 2 до 4 мм. Состояние пародонта пациента было диагностировано как II стадия, степень С по Американской академии пародонтологии (AAP) из-за незначительной потери костной массы и сопутствующего диабета.
Риск: умеренный
Прогноз: хороший
Биомеханика: Сильная эрозия с обнажением дентина была отмечена на язычных поверхностях зубов с 1.4 по 2.4 (Фото 4), а также на лицевой и резцовой поверхностях зубов с 3.6 и 3.3 по 4.6 (Фото 5). В зубе 3.4 ранее проводилось лечение корневых каналов, а на зубах 3.6 и 3.5 были установлены большие реставрации, превышающие треть ширины их перешейка. На зубах с 1.3 по 2.3 имелись сколы. Хотя кариес в зубном ряду пациента не отмечался, потеря структуры зубов привела к серьезным структурным нарушениям во всех зубах, за исключением моляров верхней челюсти. На зубах 1.6 и 2.6 были выполнены окклюзионные реставрации из амальгамы, которые были приемлемы при незначительной эрозии на кончиках бугорков. Зубы 1.5 и 2.5 имели незначительную эрозию на окклюзионной поверхности.
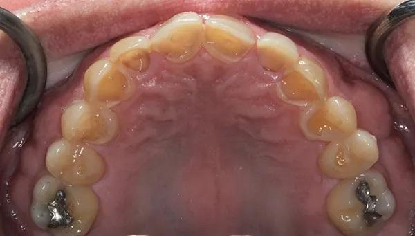
Фото 4: Верхняя челюсть: вид с окллюзионной стороны до лечения Обратите внимание на сильную потерю эмали.
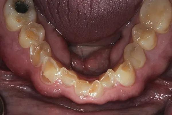
Фото 5: Нижняя челюсть: вид с окллюзионной стороны до лечения Обратите внимание на сильную потерю эмали.
Риск: высокий
Прогноз: неблагоприятный
Функция: Обследование показало, что максимальное раскрытие рта составляло 48 мм без болезненности мышц при пальпации, нагрузке или иммобилизации. Пациент не испытывал боли во время еды, ему не приходилось сжимать челюсть, чтобы соединить боковые зубы, у него не было нескольких положений прикуса, и он не замечал скрежета или стискивания зубов во время бодрствования. Пациент осознавал, что его зубы скалываются и истираются. Он боялся есть определенные продукты, особенно твердые, так как был сильно обеспокоен тем, что у него могут сломаться зубы. Тщательный анализ медицинской и стоматологической истории болезни привел к предположению, что, как указывалось ранее, эти заболевания не были связаны с его прикусом. Диагноз: "приемлемая функция".
Риск: низкий
Прогноз: хороший
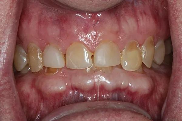
Зубочелюстно-лицевая система: При полной улыбке Дюшена пациента были видны все верхние зубы и ткани десен в апикальной части зубов (Фото 6). Проявлялось умеренное обнажение тканей. Его первоначальный оттенок зубов был С4 в соответствии с классической расцветкой Vitapan (VITA, Северная Америка). Пациент ожидал, что его улыбка будет полноценной, белой и естественной на вид, и сохранится надолго.
Риск: умеренный
Прогноз: благоприятный
Фото 6: Улыбка Дюшена до лечения. Обратите внимание на обнажение десен.
Цели и план лечения
Целью лечения было создание эстетически приятной, естественной улыбки, предотвращение дальнейшей эрозии и сколов зубов, а также облегчение дискомфорта при употреблении пациентом твердой пищи.
План лечения был разбит на шесть этапов:
- определение повторяемого исходного положения нижней челюсти для увеличения вертикального размера в восковой модели;
- увеличение вертикального размера окклюзии (ВРО) с помощью реставраций из диоксида циркония с полным покрытием на боковых зубах нижней челюсти;
- восстановление зубов верхней челюсти с обнаженным дентином с помощью циркониевых реставраций с полным покрытием;
- восстановление боковых зубов верхней челюсти композитом, где это показано;
- установка реставраций из диоксида циркония с полным покрытием на резцы нижней челюсти
- послеоперационное наблюдение в течение 2 лет для отслеживания любых возникающих проблем, после чего пациент возвращается к своему лечащему стоматологу для долгосрочного лечения.
Фазы лечения
Диагностика и регистрация окклюзии
Были получены все необходимые диагностические данные, включая рентгенограммы, фотографии и цифровые сканы. Диагностика приемлемой функции позволила использовать печатную упорную пластину Lucia jig (Kois Center) вместо окклюзионного депрограмматора (Фото 7). Центрическое соотношение было легко обнаружено и зарегистрировано с помощью восковой регистрации прикуса (Фото 8). Фотографии, на которых пациент носит очки для измерения параметров лица (Kois Facial Reference Glasses, Kois Center), были использованы для цифрового монтажа и анализа случая, а также для разработки плана лечения. Резцовый край клыка верхней челюсти располагался у края верхней губы в состоянии покоя. Соответствующее положение центральных резцов верхней и нижней челюсти и задних окклюзионных плоскостей было определено с использованием принципов Центра Койса.
Фото 7: Распечатанная упорная пластина Lucia jig. Обратите внимание на темно-красную точку, обозначающую воспроизводимое положение прикуса (центральное соотношение).
Фото 8: Фиксация прикуса воском выполнена в центральном соотношении.
Данные были отправлены в лабораторию для уточнения диагноза, и пациенту был представлен комплексный план лечения. Он выразил обеспокоенность по поводу того, что может устать во время длительных встреч, поэтому лечение разделено на несколько этапов, чтобы смягчить эту проблему. Пациент принял этот план.
Восстановительный этап 1
Моляры и клыки нижней челюсти были подготовлены для полных реставраций из диоксида циркония. Цирконий был выбран в качестве меры предосторожности на случай рецидива рефлюкса или других сопутствующих заболеваний, связанных с эрозией. Временные реставрации (Luxatemp, оттенок B1, DMG America) были изготовлены в новом ВРО. Для переноса восковой модели в рот была использована силиконовая матрица, и реставрации были обрезаны у кресла стоматолога. Для регистрации прикуса в новом ВРО использовался вертикальный передний фиксатор с использованием эластомерного материала для регистрации прикуса (Futar, Kettenbach Dental). Данные о прикусе, фотографии и сканы препарированных зубов и временных протезов были отправлены в зуботехническую лабораторию. Реставрации были созданы в этом новом вертикальном измерении и доставлены 3 недели спустя.
Во время установки зубы были очищены с помощью системы воздушной абразии (PrepStart, Zest Dental Solutions) частицами оксида алюминия размером 27 мкм. Реставрации также подвергались микроабразивной обработке воздухом с последующим нанесением циркониевого праймера (Monobond Plus, Ivoclar) на внутренние поверхности коронок. Реставрации были зацементированы полимерным цементом двойного отверждения (RelyX Unicem 2, 3M Oral Care) (Фото 9).
Фото 9: Последующая цементация задних коронок нижней челюсти с увеличенным ВРО позволяет проводить поэтапное лечение.
Восстановительный этап 2
На зубах 1.6, 1.5, 2.5 и 2.6 были проведены малоинвазивные композитные реставрации для устранения незначительных биомеханических проблем и покрытия обнажившегося дентина. Этот консервативный подход был использован в связи с тем, что вертикальные изменения на боковых зубах верхней челюсти не были указаны в первоначальном плане лечения. Было установлено, что боковые зубы верхней челюсти находятся в правильном положении, соответствующем эстетическим целям пациента.
На передние зубы верхней челюсти и премоляры были установлены полные реставрации из диоксида циркония. Увеличенный вертикальный размер, предусмотренный в нижнем зубном ряду, привел к появлению переднего открытого прикуса, что позволило значительно сократить количество удаляемой структуры зубов во время препарирования их зубов. Временные реставрации были изготовлены на основе оригинальной восковой модели с использованием временного материала (Luxatemp). Для переноса восковой модели в рот была использована силиконовая матрица, и реставрации были обрезаны и отполированы у кресла стоматолога. Реставрации верхней челюсти с полным покрытием были выполнены по ранее описанному протоколу.
Восстановительный этап 3
Резцы нижней челюсти были последними четырьмя зубами, которые были восстановлены, и на них также были установлены полные реставрации из диоксида циркония, выполненные по тем же протоколам, что и на других реставрациях. Пациент был в восторге от своей новой улыбки (Фото 10 - Фото 12).
Фото 10: Фото улыбки анфас.
Фото 11: Вид крупным планом на улыбку пациента после лечения.
Фото 12: Вид пациента в положении максимального бугорково-фиссурного контакта зубов-антагонистов крупным планом после лечения.
Обсуждение
Точная диагностика окклюзии была ключевым моментом при разработке рабочего процесса и выборе материалов для этого клинического случая. Распространенное предположение о том, что бруксизм или окклюзионная дисфункция являются причиной большинства случаев серьезного износа зубов, может неоправданно усложнить планирование и ведение серьезных случаев, когда фактическая этиология может быть иной. Стоматологическая и медицинская истории болезни пациента помогли лечащему врачу определить, что у пациента приемлемый и функциональный прикус. Хотя нельзя было исключить возможность некоторой окклюзионной дисфункции или парафункциональных привычек в прошлом, пациент, ответивший "нет" на все вопросы о функциональных проблемах или опасениях при первичном осмотре, подтвердил диагноз приемлемой функции.
Лечение стало более простым и, следовательно, приятным для лечащего врача, когда были исключены неправильный прикус и/или бруксизм, а также сопутствующие этим состояниям проблемы, и, таким образом, которые поэтому не требовали лечения. Поскольку это был случай с приемлемым функциональным состоянием, вместо окклюзионного депрограмматора была использована простая упорная пластина Lucia jig. Такой подход сэкономил время и ускорил лечение, но при этом обеспечил надежную исходную позицию для дизайна реставраций.
Прогноз значительно улучшился, поскольку пациенту удалось справиться с ГЭРБ и апноэ во сне. Его стремление к снижению веса и улучшению общего состояния здоровья должно помочь ограничить дальнейшее повреждение зубов. Результаты реставрации должны были быть долговременными и обеспечить существенное улучшение формы, функций и эстетики для пациента. Он вернулся через 3 месяца после окончательной фиксации для профилактики и послеоперационного обследования. Пациенту была дана рекомендация соблюдать правила гигиены в течение двух посещений, чтобы обеспечить стабильность состояния и устранить любые осложнения, если они возникнут. Однако он отклонил это предложение из-за значительного расстояния поездки и вместо этого решил вернуться к своему предыдущему стоматологу для регулярных гигиенических осмотров, согласившись при этом обратиться в кабинет автора, если у него возникнут какие-либо проблемы.
В ходе последующего опроса через 1 год после завершения лечения пациент сообщил об отсутствии каких-либо проблем и остался очень доволен результатами своего лечения. Судя по результатам этого опроса, у него по-прежнему низкий риск возникновения пародонтальных и функциональных проблем. Его биомеханический риск остается высоким из-за структурных нарушений, но прогноз улучшился. Эстетический риск для пациента остается умеренным из-за характера обнажения его тканей.
Заключение
Этот случай демонстрирует предсказуемую полноценную реабилитацию сильно изношенных и подвергнутых эрозии зубов. Обширные повреждения зубов в результате рефлюкса в сочетании с другими сопутствующими заболеваниями могут затруднить стоматологам определение плана лечения. Принципы постановки правильного диагноза окклюзии на основе тщательного клинического обследования, а также сбора подробного медицинского и стоматологического анамнеза упростили то, что казалось крайне сложным случаем. Увеличение вертикального размера в воспроизводимом положении сводит к минимуму подготовку зуба. Поскольку пациент в значительной степени справляется со своими сопутствующими заболеваниями до начала восстановительного лечения, а врач использует долговечные восстановительные материалы, ожидается долгосрочная стабильность и успех.
Автор: Wade Kifer, DDS
Получение точной оценки причин серьезного разрушения зубов имеет решающее значение при планировании клинического процесса в случаях полной реабилитации полости рта. Некоторые случаи, которые изначально кажутся чрезвычайно сложными, могут оказаться на удивление простыми, особенно если у пациента приемлемая функциональная окклюзия. В представленном, казалось бы, очень сложном случае для получения надежной точки опоры при протезировании для восстановления всей полости рта потребовалось использовать только упорную пластину Lucia jig. Увеличение вертикального размера окклюзии позволило обеспечить предсказуемое восстановление функций и эстетики. Лечение проводилось поэтапно для удобства пациента, и конечный результат обеспечил пациенту вновь обретенную уверенность в своей улыбке и комфорт во время приема пищи.
Обзор клинического случая
Мужчина, 54 года, был направлен к автору по поводу истирания зубных рядов и эрозии, которые, как предполагалось, были вызваны выраженным бруксизмом (Фото 1 и Фото 2). Его лечащий врач не был уверен, с чего начать планирование лечения, из-за предполагаемой сложности случая. Основной проблемой пациента был страх потерять часть или все зубы из-за обширного разрушения эмали (Фото 3). Были собраны снимки и подробные медицинские и стоматологические истории болезни, а также проведено детальное клиническое обследование. Полные снимки, фотографии и цифровые сканы были отправлены в зуботехническую лабораторию, и был разработан план лечения. У пациента было сильное желание действовать, и он принял этот план. Клинический случай был разбит на сегменты для обеспечения предсказуемой и более удобной реконструкции.
Фото 1: Фото улыбки анфас до лечения. Пациент хотел сохранить свои зубы и улучшить свою улыбку.
Фото 2: Максимальный бугорково-фиссурный контакт зубов-антагонистов до лечения. Обратите внимание на эрозию шейки и потерю эмали, не связанные с окклюзией.
Фото 3: Передние зубы до лечения. Обратите внимание на сильное разрушение большинства зубов пациента.
Медицинский и стоматологический анамнез
Пациент сообщил об аллергии на несколько лекарственных препаратов, включая Имитрекс, Нуприн, Индерал, Топамакс и пенициллин. Он проходил лечение от сахарного диабета (уровень гемоглобина A1c составлял 7,5) и гипертонии лизиноприлом и верапамилом. Пациент также сообщил о ранее поставленных диагнозах апноэ во сне и кислотного рефлюкса. Эти два состояния были в значительной степени преодолены благодаря значительной потере веса и изменению привычек ко сну, поэтому его врач больше не рекомендовал использовать аппарат для поддержания непрерывного положительного давления в дыхательных путях (НПДДП) или лекарства от рефлюкса. Пациент был отнесен к классу III по Американской ассоциации анестезиологов (ASA).
Стоматологический анамнез пациента включал истончение и сколы зубов, ограниченное открывание рта, усталость челюстей и неспособность употреблять твердую пищу. Он сообщил, что предыдущие стоматологи говорили ему, что он скрежещет зубами. Он также сообщил о сухости во рту.
Диагностика, оценка рисков и прогноз
Пародонт: Глубина зондирования пациента составила 3 мм, при зондировании были обнаружены три очага кровотечения. Прикрепленная десна была в норме. Рентгенологически выраженная потеря костной массы составила от 2 до 4 мм. Состояние пародонта пациента было диагностировано как II стадия, степень С по Американской академии пародонтологии (AAP) из-за незначительной потери костной массы и сопутствующего диабета.
Риск: умеренный
Прогноз: хороший
Биомеханика: Сильная эрозия с обнажением дентина была отмечена на язычных поверхностях зубов с 1.4 по 2.4 (Фото 4), а также на лицевой и резцовой поверхностях зубов с 3.6 и 3.3 по 4.6 (Фото 5). В зубе 3.4 ранее проводилось лечение корневых каналов, а на зубах 3.6 и 3.5 были установлены большие реставрации, превышающие треть ширины их перешейка. На зубах с 1.3 по 2.3 имелись сколы. Хотя кариес в зубном ряду пациента не отмечался, потеря структуры зубов привела к серьезным структурным нарушениям во всех зубах, за исключением моляров верхней челюсти. На зубах 1.6 и 2.6 были выполнены окклюзионные реставрации из амальгамы, которые были приемлемы при незначительной эрозии на кончиках бугорков. Зубы 1.5 и 2.5 имели незначительную эрозию на окклюзионной поверхности.
Фото 4: Верхняя челюсть: вид с окллюзионной стороны до лечения Обратите внимание на сильную потерю эмали.
Фото 5: Нижняя челюсть: вид с окллюзионной стороны до лечения Обратите внимание на сильную потерю эмали.
Риск: высокий
Прогноз: неблагоприятный
Функция: Обследование показало, что максимальное раскрытие рта составляло 48 мм без болезненности мышц при пальпации, нагрузке или иммобилизации. Пациент не испытывал боли во время еды, ему не приходилось сжимать челюсть, чтобы соединить боковые зубы, у него не было нескольких положений прикуса, и он не замечал скрежета или стискивания зубов во время бодрствования. Пациент осознавал, что его зубы скалываются и истираются. Он боялся есть определенные продукты, особенно твердые, так как был сильно обеспокоен тем, что у него могут сломаться зубы. Тщательный анализ медицинской и стоматологической истории болезни привел к предположению, что, как указывалось ранее, эти заболевания не были связаны с его прикусом. Диагноз: "приемлемая функция".
Риск: низкий
Прогноз: хороший
Зубочелюстно-лицевая система: При полной улыбке Дюшена пациента были видны все верхние зубы и ткани десен в апикальной части зубов (Фото 6). Проявлялось умеренное обнажение тканей. Его первоначальный оттенок зубов был С4 в соответствии с классической расцветкой Vitapan (VITA, Северная Америка). Пациент ожидал, что его улыбка будет полноценной, белой и естественной на вид, и сохранится надолго.
Риск: умеренный
Прогноз: благоприятный
Фото 6: Улыбка Дюшена до лечения. Обратите внимание на обнажение десен.
Цели и план лечения
Целью лечения было создание эстетически приятной, естественной улыбки, предотвращение дальнейшей эрозии и сколов зубов, а также облегчение дискомфорта при употреблении пациентом твердой пищи.
План лечения был разбит на шесть этапов:
- определение повторяемого исходного положения нижней челюсти для увеличения вертикального размера в восковой модели;
- увеличение вертикального размера окклюзии (ВРО) с помощью реставраций из диоксида циркония с полным покрытием на боковых зубах нижней челюсти;
- восстановление зубов верхней челюсти с обнаженным дентином с помощью циркониевых реставраций с полным покрытием;
- восстановление боковых зубов верхней челюсти композитом, где это показано;
- установка реставраций из диоксида циркония с полным покрытием на резцы нижней челюсти
- послеоперационное наблюдение в течение 2 лет для отслеживания любых возникающих проблем, после чего пациент возвращается к своему лечащему стоматологу для долгосрочного лечения.
Фазы лечения
Диагностика и регистрация окклюзии
Были получены все необходимые диагностические данные, включая рентгенограммы, фотографии и цифровые сканы. Диагностика приемлемой функции позволила использовать печатную упорную пластину Lucia jig (Kois Center) вместо окклюзионного депрограмматора (Фото 7). Центрическое соотношение было легко обнаружено и зарегистрировано с помощью восковой регистрации прикуса (Фото 8). Фотографии, на которых пациент носит очки для измерения параметров лица (Kois Facial Reference Glasses, Kois Center), были использованы для цифрового монтажа и анализа случая, а также для разработки плана лечения. Резцовый край клыка верхней челюсти располагался у края верхней губы в состоянии покоя. Соответствующее положение центральных резцов верхней и нижней челюсти и задних окклюзионных плоскостей было определено с использованием принципов Центра Койса.
Фото 7: Распечатанная упорная пластина Lucia jig. Обратите внимание на темно-красную точку, обозначающую воспроизводимое положение прикуса (центральное соотношение).
Фото 8: Фиксация прикуса воском выполнена в центральном соотношении.
Данные были отправлены в лабораторию для уточнения диагноза, и пациенту был представлен комплексный план лечения. Он выразил обеспокоенность по поводу того, что может устать во время длительных встреч, поэтому лечение разделено на несколько этапов, чтобы смягчить эту проблему. Пациент принял этот план.
Восстановительный этап 1
Моляры и клыки нижней челюсти были подготовлены для полных реставраций из диоксида циркония. Цирконий был выбран в качестве меры предосторожности на случай рецидива рефлюкса или других сопутствующих заболеваний, связанных с эрозией. Временные реставрации (Luxatemp, оттенок B1, DMG America) были изготовлены в новом ВРО. Для переноса восковой модели в рот была использована силиконовая матрица, и реставрации были обрезаны у кресла стоматолога. Для регистрации прикуса в новом ВРО использовался вертикальный передний фиксатор с использованием эластомерного материала для регистрации прикуса (Futar, Kettenbach Dental). Данные о прикусе, фотографии и сканы препарированных зубов и временных протезов были отправлены в зуботехническую лабораторию. Реставрации были созданы в этом новом вертикальном измерении и доставлены 3 недели спустя.
Во время установки зубы были очищены с помощью системы воздушной абразии (PrepStart, Zest Dental Solutions) частицами оксида алюминия размером 27 мкм. Реставрации также подвергались микроабразивной обработке воздухом с последующим нанесением циркониевого праймера (Monobond Plus, Ivoclar) на внутренние поверхности коронок. Реставрации были зацементированы полимерным цементом двойного отверждения (RelyX Unicem 2, 3M Oral Care) (Фото 9).
Фото 9: Последующая цементация задних коронок нижней челюсти с увеличенным ВРО позволяет проводить поэтапное лечение.
Восстановительный этап 2
На зубах 1.6, 1.5, 2.5 и 2.6 были проведены малоинвазивные композитные реставрации для устранения незначительных биомеханических проблем и покрытия обнажившегося дентина. Этот консервативный подход был использован в связи с тем, что вертикальные изменения на боковых зубах верхней челюсти не были указаны в первоначальном плане лечения. Было установлено, что боковые зубы верхней челюсти находятся в правильном положении, соответствующем эстетическим целям пациента.
На передние зубы верхней челюсти и премоляры были установлены полные реставрации из диоксида циркония. Увеличенный вертикальный размер, предусмотренный в нижнем зубном ряду, привел к появлению переднего открытого прикуса, что позволило значительно сократить количество удаляемой структуры зубов во время препарирования их зубов. Временные реставрации были изготовлены на основе оригинальной восковой модели с использованием временного материала (Luxatemp). Для переноса восковой модели в рот была использована силиконовая матрица, и реставрации были обрезаны и отполированы у кресла стоматолога. Реставрации верхней челюсти с полным покрытием были выполнены по ранее описанному протоколу.
Восстановительный этап 3
Резцы нижней челюсти были последними четырьмя зубами, которые были восстановлены, и на них также были установлены полные реставрации из диоксида циркония, выполненные по тем же протоколам, что и на других реставрациях. Пациент был в восторге от своей новой улыбки (Фото 10 - Фото 12).
Фото 10: Фото улыбки анфас.
Фото 11: Вид крупным планом на улыбку пациента после лечения.
Фото 12: Вид пациента в положении максимального бугорково-фиссурного контакта зубов-антагонистов крупным планом после лечения.
Обсуждение
Точная диагностика окклюзии была ключевым моментом при разработке рабочего процесса и выборе материалов для этого клинического случая. Распространенное предположение о том, что бруксизм или окклюзионная дисфункция являются причиной большинства случаев серьезного износа зубов, может неоправданно усложнить планирование и ведение серьезных случаев, когда фактическая этиология может быть иной. Стоматологическая и медицинская истории болезни пациента помогли лечащему врачу определить, что у пациента приемлемый и функциональный прикус. Хотя нельзя было исключить возможность некоторой окклюзионной дисфункции или парафункциональных привычек в прошлом, пациент, ответивший "нет" на все вопросы о функциональных проблемах или опасениях при первичном осмотре, подтвердил диагноз приемлемой функции.
Лечение стало более простым и, следовательно, приятным для лечащего врача, когда были исключены неправильный прикус и/или бруксизм, а также сопутствующие этим состояниям проблемы, и, таким образом, которые поэтому не требовали лечения. Поскольку это был случай с приемлемым функциональным состоянием, вместо окклюзионного депрограмматора была использована простая упорная пластина Lucia jig. Такой подход сэкономил время и ускорил лечение, но при этом обеспечил надежную исходную позицию для дизайна реставраций.
Прогноз значительно улучшился, поскольку пациенту удалось справиться с ГЭРБ и апноэ во сне. Его стремление к снижению веса и улучшению общего состояния здоровья должно помочь ограничить дальнейшее повреждение зубов. Результаты реставрации должны были быть долговременными и обеспечить существенное улучшение формы, функций и эстетики для пациента. Он вернулся через 3 месяца после окончательной фиксации для профилактики и послеоперационного обследования. Пациенту была дана рекомендация соблюдать правила гигиены в течение двух посещений, чтобы обеспечить стабильность состояния и устранить любые осложнения, если они возникнут. Однако он отклонил это предложение из-за значительного расстояния поездки и вместо этого решил вернуться к своему предыдущему стоматологу для регулярных гигиенических осмотров, согласившись при этом обратиться в кабинет автора, если у него возникнут какие-либо проблемы.
В ходе последующего опроса через 1 год после завершения лечения пациент сообщил об отсутствии каких-либо проблем и остался очень доволен результатами своего лечения. Судя по результатам этого опроса, у него по-прежнему низкий риск возникновения пародонтальных и функциональных проблем. Его биомеханический риск остается высоким из-за структурных нарушений, но прогноз улучшился. Эстетический риск для пациента остается умеренным из-за характера обнажения его тканей.
Заключение
Этот случай демонстрирует предсказуемую полноценную реабилитацию сильно изношенных и подвергнутых эрозии зубов. Обширные повреждения зубов в результате рефлюкса в сочетании с другими сопутствующими заболеваниями могут затруднить стоматологам определение плана лечения. Принципы постановки правильного диагноза окклюзии на основе тщательного клинического обследования, а также сбора подробного медицинского и стоматологического анамнеза упростили то, что казалось крайне сложным случаем. Увеличение вертикального размера в воспроизводимом положении сводит к минимуму подготовку зуба. Поскольку пациент в значительной степени справляется со своими сопутствующими заболеваниями до начала восстановительного лечения, а врач использует долговечные восстановительные материалы, ожидается долгосрочная стабильность и успех.
Автор: Wade Kifer, DDS



0 комментариев