Динамическая навигация при установке дентальных имплантатов: основные концепции и правила
Прогрессивное развитие дентальной имплантации в наши дни обусловлено влиянием четырех основных открытий, а именно: (1) явление остеоинтеграции, открытое доктором Per-Ingvar Branemark; (2) внедрение компьютерной томографии (КТ) с изменением концепции имплантации на протетически направленную; (3) моделирование с использованием компьютера стереолитографических хирургических направляющих; и (4) конусно-лучевая компьютерная томография (КЛКТ), которая позволила снизить дозу радиации и позволила внедрить томографические методы исследования в частную стоматологическую практику.
Тотальная реконструкция зубов верхней и нижней челюсти
Исходная ситуация.
Новые зубы и улыбка с помощью композита за 5 часов
Исходная ситуация.
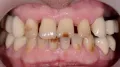
Восстановление резорциненного зуба
Старая пломба из композита химического отверждения, резорцин.
Тотальное восстановление зубов на имплантатах
Исходная ситуация.
Замена неэстетичной пломбы на композитную реставрацию
Исходная ситуация.
Дизайн десневой улыбки - когда 2 мм отделяют обаяние от красоты
Дизайн десневой улыбки - одно из направлений эстетической пародонтологии, которое решает вопросы улучшения эстетики десневой улыбки, чтобы сделать её более привлекательной и красивой.
Плановая замена несостоятельных пломб 36 и 37 зубов
Прямая реставрация с внутренним прокрашиванием фиссур.
Восстановление эстетики через 2 часа после травмы
Пациентка, 55 лет, упала и ударилась лицом, вследствие чего сломала 2 центральных зуба, это хорошо видно на срезе компьютерной томограммы.
