Пять вещей, которые искусственный интеллект не может заменить в стоматологии, и почему врачи по-прежнему важны
Искусственному интеллекту не хватает человеческих нюансов, понимания контекста и способности интерпретировать сложную или неполную информацию, которые имеют решающее значение в стоматологии.
Кто виноват, когда после брекетов зубы испортились? Разбор реального судебного дела на 5 млн рублей.
Эта история — наглядный пример того, почему юридическая защита клиники начинается с правильной документации и коммуникации с пациентом. Давайте разберем все по полочкам.
Использование технологии цифрового дизайна улыбки в эстетической реставрационной стоматологии
Цифровой дизайн улыбки изменил подход к планированию и проведению эстетических стоматологических процедур. Возможность цифровой визуализации и индивидуальной коррекции улыбки пациента до начала клинического вмешательства повышает точность прецизионности и уверенность в конечном результате, а также повышает удовлетворенность пациентов. Современные цифровые инструменты стали незаменимыми в процессе лечения, позволяя врачам интегрировать анализ лица, оценку окклюзии и анатомии зубов для достижения естественных и гармоничных результатов благодаря точности измерений, индивидуальному дизайну с учетом уникальных особенностей пациента и эффективному сотрудничеству между междисциплинарными командами. Используя эти технологии, врачи могут упростить диагностику и планирование лечения, а также повысить точность прогнозирования конечных результатов. В настоящей статье рассматриваются преимущества цифрового дизайна улыбки при планировании эстетического лечения, а также ключевые принципы дизайна улыбки и гармонии лица, которые необходимо учитывать для успешной трансформации улыбки.
Как желудочная кислота воздействует на зубные протезы, напечатанными на 3D-принтере
У пациентов с гастроэзофагеальной рефлюксной болезнью (ГЭРБ) зубные протезы, изготовленные с помощью 3D-печати, могут быть более эффективными, чем композитные протезы, изготовленные с помощью CAD/CAM-технологий.
Боль в теле и мигрень у женщин связано с плохим состоянием полости рта
Результаты недавнего исследования показали возможную взаимосвязь между микробиомом полости рта и нервной системой.
Гемисекция моляра с вертикальным переломом корня (четыре года наблюдения)
Вертикальный перелом корня (VRF) — это продольно ориентированный перелом корня, который, в зависимости от его причины, обычно начинается от апикальной части корня и распространяется на коронковую часть или наоборот, обычно обрекая зуб на удаление. Чаще встречается при эндодонтическом лечении зубов, хотя существуют и другие предрасполагающие факторы риска, которые могут спровоцировать появление трещин, приводящих к таким переломам в жизненно важных или некротизированных зубах. VRF может развиваться медленно и без каких-либо явных признаков или симптомов, что затрудняет его диагностику. Общими признаками и симптомами являются болезненность при перкуссии, легкая или тупая боль при жевании, припухлость десен, глубокий, узкий и изолированный пародонтальный карман, который обычно ассоциируется с абсцессом, и развитие J-образной рентгенопрозрачности.
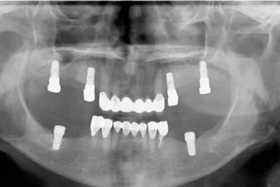
Цифровой рабочий процесс для создания окончательного гибридного протеза с опорой на имплантаты
Гибридные протезы с опорой на имплантаты стали популярным решением при лечении пациентов с не подлежащими восстановлению зубами или полным отсутствием зубов. С момента внедрения остеоинтегрируемых дентальных имплантатов для лечения потери зубов для изготовления несъемных гибридных протезов всего зубного ряда использовались различные ортопедические конструкции и материалы. Хотя такие реставрации могут быть весьма успешными, наиболее частые неудачи связаны с отсутствием места для протеза или с отсутствием пассивного прилегания каркаса, что может привести к сколам, расслоению и/или переломам. В данной статье рассматриваются клинические и лабораторные этапы изготовления окончательных гибридных протезов с опорой на имплантаты с применением шаблонов для снижения объема кости, шаблонов для создания ложа имплантата и немедленной фиксации временного протеза, изготовленного с использованием цифровых технологий.
Заболевания десен могут увеличить риск развития ССПМ синдрома
Люди с заболеваниями десен могут иметь более высокий риск сердечно-сосудисто-почечно-метаболического синдрома (ССПМ), что подчеркивает важность включения гигиены полости рта в кардиометаболическую терапию, говорится в результатах исследования.
Для облегчения ксеростомии появился гель-заменитель слюны
Исследователи разработали многоразовый гидрогелевый резервуар, который можно помещать в рот для постепенного выделения искусственной слюны, предлагая потенциальную новую терапию для пациентов с ксеростомией.
Одномоментная имплантация в эстетически значимой зоне с использованием системы дентальных имплантатов Straumann
Клинический случай удаления лопнувшего зуба 2.2 с одномоментной имплантацией и отсроченной нагрузкой.

Статьи от брендов