Ремоделирование улыбки с использование металлокерамических коронок с опорой на зубы и имплантаты
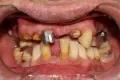
Пациент, 40 лет, обратился в тяжелейшем гигиеническом, эстетическом и функциональном статусе. Состояние полости рта объяснялось отрицательным предыдущим стоматологическим опытом. Требования пациента были восстановить жевательную функцию, сохранив как можно больше своих зубов. По результатам компьютерной томографии и полной функциональной диагностики, был составлен план лечения.
Альтернативный способ фиксации металлокерамических конструкций все на шести
Винтовая фиксация на четырёх мультиюнитах и с опорой на два имплантата без цементной фиксации в переднем сегменте челюстей.

Реабилитация на 4-х имплантатах на верхней и нижней челюсти
На сегодняшний день концепция протезирования на 4-х имплантатах при полной адентии, или при невозможности сохранения имеющихся зубов, приобретает все большую популярность среди пациентов. Это связано прежде всего с относительно быстрыми сроками реабилитации и возможностью на всем протяжении лечения пользоваться эстетичной и достаточно функциональной временной конструкцией.

Комплексная реабилитация пациента с применением одномоментной имплантации и немедленной нагрузки
Хочу поделиться клиническим случаем с одномоментной имплантацией и непосредственной нагрузкой на имплантатах Nobel.
Тотальная реабилитация на имплантах протезами с трансокклюзионной фиксацией
Прошел год после фиксации, теперь могу выложить этот кейс.
Пациентка, 80 лет, обратилась с полным съемным протезом на верхней челюсти и провизорной конструкцией на винтовой фиксации на нижней челюсти.

От имплантации до постоянной коронки за 4,5 месяца
Весь протокол от одномоментной имплантации до постоянных эстетических коронок в области 36 и 46 зубов. От начала до завершения 4.5 месяца.

Использование цифровых протоколов при тотальных реставрациях на имплантатах
Пациент из дальнего зарубежья. Реабилитация проводилась в два этапа.

Концепция All-on-4 как современный способ несъёмного протезирование в сложных клинических условиях
Мы получили отказ пациента на проведение имплантации в боковых отделах для протезирования на 6, 8 имплантатах, в связи с необходимостью проведения костных пластик, временем лечения и финансовыми затратами. Было принято решение о реализации концепции All-on-4.

Анализ 13-летней эффективности протезирования на имплантатах у пациента с пародонтитом и бруксизмом
Поскольку лечение с использованием дентальных имплантатов уже стало неким мейнстримом в стоматологической практике, сегодняшняя цель врачей-стоматологов – это обеспечить индивидуализированный подход к каждому пациенту уже после лечения, на этапах мониторинга, в форме специфических протоколов поддерживающей терапии. В данной статье описан клинический случай 13-летней поддержки пациента с патологиями агрессивного генерализированного пародонтита и бруксизма после его стоматологической реабилитации с использованием дентальных имплантатов Branemark TiUnite, которые характеризуются наличием нетекстурированной шейки.

Тотальная реконструкция зубных рядов металлокерамическими зубными протезами с опорой на имплантаты Биогоризонт
Пациент 3 года проходил с временными коронками на имплантатах, после чего обратился в клинику для завершения лечения.

