Синус-лифтинг с одномоментной установкой имплантатов TSIII SA при высоте костного гребня менее 4 мм
Синус-лифтинг с последующей имплантацией позволяет прогнозируемо восстанавливать целостность верхнего зубного ряда у пациентов с выраженными пневматизацией верхнечелюстной пазухи и резорбцией костной ткани. Высота альвеолярного гребня 4-5 мм считается показанием к одноэтапному вмешательству, что позволяет добиться достаточно высокой первичной стабильности имплантатов в резидуальной кости. Ниже опубликованы результаты исследования выживаемости имплантатов TSIII SA, установленных одновременно с синус-лифтингом при исходной высоте альвеолярного гребня менее 4 мм.

От имплантации до постоянной коронки за 4,5 месяца
Весь протокол от одномоментной имплантации до постоянных эстетических коронок в области 36 и 46 зубов. От начала до завершения 4.5 месяца.

Скуловые имплантаты Zygoma для восстановления верхней челюсти
Пациентка, 39 лет. Обратилась в клинику с жалобами на отсутствие зубов. Была направлена из другой клиники на консультацию по имплантации с использованием системы Nobel Zygoma.

Формирование ороантрального соустья в результате неудачного имплантологического лечения
Ороантральное соустье (ОАС) представляет собой патологически сформированное соединение между полостью рта и верхнечелюстной пазухой в результате потери объемов мягких и твердых тканей, которые физиологически должны разделять данные анатомические структуры. ОАС часто путают с ороантральной фистулой (ОАФ), которая является уже постоянно эпителизированным формированием между полостью синуса и ротовой полостью. OAC и OAФ формируются чаще всего в результате экстракции дистальных зубов верхней челюсти (92,63%), патологических поражений в гайморовой пазухе (кисты и опухоли, 4,47%) и травм (1,30%). Пародонтологические инфекционные поражения могут вызвать формирование такого соустья только в 0,93% клинических случаев, а другие факторы играют роль лишь в 0,65% всех зарегистрированных патологий. Кроме того, ОАС могут быть также классифицированы как ранние осложнения процедуры дентальной имплантации, хотя, но уже совсем редко, они возникают в отдаленный от операции период вследствие дезинтеграции имплантатов.

Реабилитация пациента с экстремально тонким биотипом в один этап при помощи скуловых имплантатов
Операция QuadZygoma с временной нагрузкой на 8 месяцев, затем использование композитного протеза NobelProcera. Follow-up 1 год.

Применение монолитного имплантата
Пациентка обратилась с жалобой на 42 зуб. Диагностирована была трещина корня.

Расщепление альвеолярного гребня с помощью набора ESSET
Расщепление создает условия для установки имплантатов в узком альвеолярном гребне. После проведения длинного горизонтального распила вестибулярную кортикальную пластинку смещают в вестибулярном направлении. Со временем сформированное пространство заполняется новообразованной костной тканью и ширина гребня увеличивается. Традиционно для вмешательства используют долото, но такой подход не позволяет контролировать точность и усилие при надломе кости, а значит и создать условия для высокой первичной стабильности имплантатов.

Тотальная реконструкция верхней и нижней челюсти
Пациентка пришла со съемным протезом на верхней челюсти, а на нижней свои от 33 до 43 включительно, подвижность 4-ой степени и дальше также съемный протез, но уже с прямым прикусом. Как утверждала сама пациентка этот прикус для нее нонсенс, 4 раза протезировали, но прикус оставался прямым и не менялся. Болей в области суставов не замечалось.

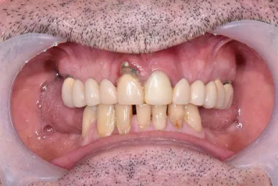
Реабилитация пациента с хроническим генерализованным пародонтитом и субтотальной атрофией верхней челюсти
В данном клиническом случае представлена реабилитация пациента с хроническим генерализованным пародонтитом тяжелой степени и субтотальной атрофией верхней челюсти без аугментации костной и мягких тканей в 2 хирургических этапа.



Статьи от брендов